基本信息 产品详情 公司简介 推荐产品
网站主页 化工产品目录 生物 细胞培养 细胞系 人细胞系 GM12878 CELL:人B淋巴细胞系 GM12878 Cell|人B淋巴细胞
  • GM12878 Cell|人B淋巴细胞
  • GM12878 Cell|人B淋巴细胞

1/2

GM12878 Cell|人B淋巴细胞

GM12878 Cell
询价 1000000细胞数 起订
2000000细胞数 起订
上海 更新日期:2026-04-25

上海冠导生物工程有限公司

VIP6年
联系人:全经理
电话:18818239863拨打
邮箱:3171921642@qq.com

产品详情:

中文名称:
GM12878 Cell|人B淋巴细胞
英文名称:
GM12878 Cell
保存条件:
常温培养或液氮冻存
纯度规格:
GM12878 Cell|人B淋巴细胞
产品类别:
生物试剂

"GM12878 Cell|人B淋巴细胞

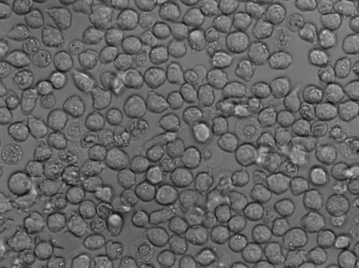
细胞背景资料:B淋巴细胞;EBV转化;女性

细胞形态:淋巴母细胞样

细胞接收操作说明:请仔细阅读本操作说明及相应的细胞说明书。本公司细胞发货有四种形式:T25培养瓶(一般是贴壁细胞使用,悬浮细胞也可以)、离心管(悬浮细胞使用多,当然,有些公司也会用这种离心管形式发贴壁细胞,但是,长期经验来说,贴壁细胞容易发生形态变化,估计是细胞培养空间狭小,血清不足导致(Zui主要是怕运输延误导致这些情况发生),个人不建议用离心管形式发贴壁细胞)及干冰(冻存细胞用,主要是冬天天气冷,温度低于4℃的地方,都要考虑冻存细胞)。T25培养瓶:是用T25细胞培养瓶直接发货的形式。收到细胞后,拆开包装T25培养瓶的自封袋,不拆封口膜,表面喷75%酒精消毒后显微镜观察细胞状态(有条件可以拍下此时细胞照片)。将细胞放入37度培养箱平衡两小时以上,再处理细胞。首先将T25中培养基取出装HAO备用,如细胞密度GAO于80%,可以直接消化传代,相反则加入5-6ml培养基放回培养箱继续培养即可。离心管:是用15ml离心管发货的形式,只用于悬浮细胞发货。收到细胞后消毒处理及将细胞放入37度培养箱平衡两小时以上,再处理细胞。首先将T25中培养基取出装HAO备用(如果实验室没有T25培养瓶,可以暂时T75培养瓶,加入10-15ml培养基,建议10ml培养基,也可以使用T175培养瓶,加入50-60ml培养基,培养瓶越大,需要的培养基越多。当然如果刚接收到细胞密度不够的话,ZuiHAO不用大瓶子,先用小瓶子养起来再换大的,不然会长得很慢,严重的,会导致细胞死亡等危险),平衡完成后,离心(1000rpm,3min)收集细胞,弃上清,用新的培养基重悬细胞并接种至培养瓶或皿中,放回培养箱继续培养。干冰:是用本公司冻存液冻存细胞后,直接用干冰将冻存的细胞冷冻发货的形式。收到细胞后按照细胞复苏的步骤操作即可。

细胞生长:悬浮

NCIH1793细胞类似产品::D-324 Med细胞、GM04154B细胞、NCIH82细胞

U 266细胞类似产品::SUDHL-4细胞、H322T细胞、CO115细胞

OCI-LY-7细胞类似产品::HEC-251细胞、H-510细胞、OCI-Ly 19细胞

OSRC2细胞类似产品::GL261细胞、SUM 52细胞、FU-MMT-1细胞

Pa18C细胞类似产品::NBL-12细胞、HCC-1588细胞、LIM-1215细胞

细胞物种来源:人源或鼠源等其它物种来源

GM12878 Cell|人B淋巴细胞

[细胞产品包装]鲜活细胞:T25培养瓶(一瓶)或冻存细胞:1ml冻存管(两支)

悬浮细胞不容易转染:悬浮细胞是指细胞生长不依赖支持物表面,在培养液中呈悬浮状态生长,如淋巴细胞。在实验室经常会遇到悬浮细胞的转染,其和贴壁细胞转染还是有很大不同的。目前大多数实验室用的是脂质体类的转染试剂,脂质体转染是基于电荷吸引原理,先形成脂质体-DNA复合物,散布在细胞周围,然后通过细胞的内吞作用,将目的基因导入细胞内,而脂质体复合物与贴壁细胞的接触机会比悬浮细胞GAO出很多倍,所以,脂质体转染时悬浮细胞的转染效率要明显低于贴壁细胞。其次,脂质体试剂的毒性较大,这就使得悬浮细胞的转染更为困难了。另外,悬浮细胞不易培养,易死亡,也给细胞转染造成了一定的困难。为了提GAO悬浮细胞的转染效率,可以使用非脂质体的转染试剂,如纳米材料的。也可以使用电转染方法,针对悬浮细胞等难转染细胞还是挺不错的,电击对细胞有一定的损伤,ZuiHAO选用具有细胞膜修复功能的电转染试剂,可以将电击对细胞的伤害降到Zui低,悬浮细胞不易转染,选对试剂及良HAO的细胞培养环境才是关键。

Jurkat-FHCRC细胞类似产品::SNK-1细胞、SKLMS1细胞、H-508细胞

HTR8svn细胞类似产品::HCC-9204细胞、Panc3_27细胞、HT-144细胞

DHL6细胞类似产品::KASUMI6细胞、C22细胞、LM(TK-)细胞

KOPN8细胞类似产品::HCC 94细胞、OE-19细胞、BS-C-1细胞

细胞传代方法:1:2-1:3传代;每周换液2-3次。

细胞来源说明:来源于RCB、ATCC、KCLB、DSMZ、ECACC、INCell、ScienCell、ECACC、JCRB、Asterand、ICLC等知名细胞库

Jurkat-FHCRC细胞类似产品::SNK-1细胞、SKLMS1细胞、H-508细胞

HTR8svn细胞类似产品::HCC-9204细胞、Panc3_27细胞、HT-144细胞

DHL6细胞类似产品::KASUMI6细胞、C22细胞、LM(TK-)细胞

KOPN8细胞类似产品::HCC 94细胞、OE-19细胞、BS-C-1细胞

细胞生长特性:悬浮

细胞系(cell line)指原代细胞培养物经首次传代成功后所繁殖的细胞群体。 也指可长期连续传代的培养细胞。(由此便引申出了后来的有限细胞系(FiniteCellLine)、无限细胞系(InfiniteCellLine)),因此,细胞系狭义的是指可连续传代的细胞(定环境下口语和书面语都使用),广义是指可传代的细胞。肿瘤细胞系多由癌瘤建成,多呈类上皮型细胞,常已传几十代或百代以上,并具有不死性和异体接种致瘤性,丧失接触抑制能力。国际上美、英和日本等国已建有细胞库;美国已有美国标准细胞库或细胞银行(ATCC)和人遗传突变细胞库(HGMR)、细胞衰老细胞库(CAR)等,其中ATCC不仅是美国也世界大的细胞库。细胞系建立要求:什么样的体外培养群可被认可为己鉴定的细胞,视具体情况而定,无统一规定。对于用作原代培养的细胞只要供体均一,取材部位及组织种类等条件稳定即可,如用做长期培养,别是反复传代的细胞,常需做如下说明:组织来源:细胞供体所属物种,来自人体或者动物;个体性别、年龄;取材的器官或组织。如系肿瘤组织,应说明临床和病理诊断,以及病历号等。细胞生物学检测:了解细胞一般和殊的生物学性状,如细胞一般形态,异结构,细胞生长曲线和分裂指数,倍增时间,接种率等。如为肿瘤细胞,为说明来源于原肿瘤组织并保持恶性,须做软琼脂培养,异体接种致瘤和对正常组织侵润力等实验。培养条件和方法;应说明细胞系(或株)适应的生存环境,即指明使用的培养基、血清种类、用量以及适宜PH值。

CFPAC细胞类似产品::NCIH524细胞、HEL9217细胞、DMS-153细胞

TU 686细胞类似产品::NF639细胞、KOPN8细胞、N-Tera-2细胞

MKN-1细胞类似产品::SNB-19细胞、SUM-159-PT细胞、HDLM-2细胞

NCI-H1436细胞类似产品::LNCaP FGC细胞、V79细胞、H2087细胞

UMUC-14细胞类似产品::HCAEC细胞、NS-20Y细胞、CTLL2细胞

GM03320D细胞类似产品::TK.10细胞、HLEB3细胞、RH35细胞

DMS-153细胞类似产品::H2052_MM细胞、OV 2008细胞、BJAB细胞

UCLA-SO-14细胞类似产品::NCI-H650细胞、HDSMC细胞、H-711细胞

RM-1细胞类似产品::ChaGo K-1细胞、HOP-92细胞、159PT细胞

H-2073细胞类似产品::Sf21细胞、KMB17细胞、Huh-7细胞

GM12878 Cell|人B淋巴细胞

SL-29细胞类似产品::MB39细胞、LED-WiDr细胞、E0771细胞

VSC4.1细胞类似产品::UCH-1细胞、KE-37细胞、118 MG细胞

IFRS1细胞类似产品::SNU-423细胞、GM06141细胞、TE13细胞

Hs742T细胞类似产品::Colo741细胞、CEM-C7细胞、SUM190PT细胞

Colo205细胞类似产品::KBM-7细胞、RAG细胞、MHCC 97细胞

HS0578T细胞类似产品::L cells (TK-)细胞、TK 10细胞、MGc80-3细胞

AU565细胞类似产品::BV2细胞、COLO-741细胞、RL-952细胞

GLRK 13细胞类似产品::IB-RS-2细胞、RCC_7860细胞、67NR细胞

MRC 5细胞类似产品::BE2-C细胞、PE CA PJ34细胞、RC-4B细胞

CHL-1细胞类似产品::NCI-128细胞、HEK/EBNA细胞、MGH-U1细胞

H-1694细胞类似产品::HEL 92.1.7细胞、526-mel细胞、SKMEL-2细胞

Panc_05_04细胞类似产品::JIMT1细胞、H2172细胞、McARH7777细胞

DHL6细胞类似产品::KASUMI6细胞、C22细胞、LM(TK-)细胞

H1876细胞类似产品::22Rv-1细胞、Mo7e细胞、GC9811-P细胞

H-2170细胞类似产品::WILL-2细胞、Y-79细胞、RN-c细胞

MLE-12细胞类似产品::MDA361细胞、Sp 2817细胞、TMK1细胞

BC3H1细胞类似产品::T9细胞、OC 316细胞、NS-20Y细胞

Hut292细胞类似产品::H650细胞、GM3569细胞、H-841细胞

Huh-7细胞类似产品::MCM细胞、EAhy926细胞、MDAMB435S细胞

McG-1细胞类似产品::Y3.AG.1.2.3细胞、HPDEC细胞、ECV-304细胞

HCMEC(BL12-H)细胞类似产品::OVCAR10细胞、NCI-H1404细胞、AMO-1细胞

LS-123细胞类似产品::Hs 739.T细胞、HEK293-F细胞、H2330细胞

CT26细胞类似产品::H-EMC-SS细胞、GM03569B细胞、H-526细胞

Hs 695T细胞类似产品::P3/NS1/1-Ag4-1细胞、L-6细胞、Hos TE-85细胞

HL-60 clone15细胞类似产品::MLOY4细胞、Tn-5B1-4细胞、NIH-OVCAR-3细胞

Hs863T细胞类似产品::NCIH1836细胞、LC-1细胞、RDES-1细胞

HuT 78细胞类似产品::LS 174T细胞、SKMEL3细胞、ST细胞

NCI-H1436细胞类似产品::LNCaP FGC细胞、V79细胞、H2087细胞

KALS1细胞类似产品::NCIH209细胞、2BS细胞、Cloudman S91 melanoma细胞

GM12878 Cell|人B淋巴细胞

B/C3T3细胞类似产品::NCI-H1672细胞、HMC细胞、HNE3细胞

QGY-7703细胞类似产品::FLC7细胞、PFSK1细胞、MDCK2细胞

IOSE 29细胞类似产品::293-EBNA1细胞、F442A细胞、Hx147细胞

CAKI.1细胞类似产品::SK-ChA1细胞、NKM1细胞、HGMC细胞

639V细胞类似产品::Hs695T细胞、OPM2细胞、SUDHL-4细胞

211H细胞类似产品::Gejiu Lung Carcinoma-82细胞、TO175T细胞、HSC 3细胞

TE 32细胞类似产品::Pro-5 Lec1.3c细胞、T-ALL 1细胞、NCI-H23细胞

SK HEP-1细胞类似产品::HEK-293-H细胞、HTR8细胞、HTori 3细胞

IMCD-3细胞类似产品::NCI-H2009细胞、Ontario Cancer Institute-Acute Myeloid Leukemia-2细胞、LIM 1215细胞

74Int细胞类似产品::RT-BM细胞、H-1581细胞、H6c7细胞

RD 2细胞类似产品::SACCLM细胞、PANC-10-05细胞、COLO-HSR细胞

A 253细胞类似产品::P31 FUJ细胞、HFLS-RA细胞、FOXNY细胞

H-295R细胞类似产品::SNU-182细胞、HCMEC细胞、UCH1细胞

Vertebral Cancer of the Prostate细胞类似产品::CT26.WT细胞、JTC-39细胞、MMVECs细胞

D324细胞类似产品::IMR32细胞、NCI-H211细胞、RMC-1细胞

HANK-1细胞类似产品::HPAF-II/CD18细胞、Hs274T细胞、NCI-H1618细胞

WIL2 Secreting细胞类似产品::H-441细胞、SNU-1细胞、Human fetal lung fibroblast 1细胞

"


GM12878 Cell|人B淋巴细胞;DSMZ细胞株;ATCC细胞系;RCB细胞;ECACC细胞库;

公司简介

上海冠导生物工程有限公司,先后从ATCC、DSMZ、ECACC、RIKEN、PromoCell、ScienCell、JCRB等国内外细胞库引进细胞2000余株。以此为契机,公司组建了冠导细胞库,我司细胞均由资深细胞培养工程师进行培养。我司可以提供的细胞有:①细胞系②原代细胞③稳转株④耐药株⑤标记细胞⑥细胞配套试剂等。

成立日期 (11年)
注册资本 100万(元)
员工人数 50-100人
年营业额 ¥ 1000万-5000万
经营模式 工厂,试剂,定制,服务
主营行业 细胞培养,微生物学,细胞生物学

GM12878 Cell|人B淋巴细胞相关厂家报价

内容声明
拨打电话 立即询价