基本信息 产品详情 公司简介 推荐产品
网站主页 化工产品目录 生物 细胞培养 MHCC97-H CELL<高转移人肝癌细胞系> MHCC97-H Cell|高转移人肝癌细胞
  • MHCC97-H Cell|高转移人肝癌细胞

MHCC97-H Cell|高转移人肝癌细胞

MHCC97-H Cell
询价 1000000细胞数 起订
2000000细胞数 起订
上海 更新日期:2026-04-19

上海冠导生物工程有限公司

VIP6年
联系人:全经理
电话:18818239863拨打
邮箱:3171921642@qq.com

产品详情:

中文名称:
MHCC97-H Cell|高转移人肝癌细胞
英文名称:
MHCC97-H Cell
保存条件:
常温培养或液氮冻存
纯度规格:
MHCC97-H Cell|高转移人肝癌细胞
产品类别:
生物试剂

"MHCC97-H Cell|高转移人肝癌细胞

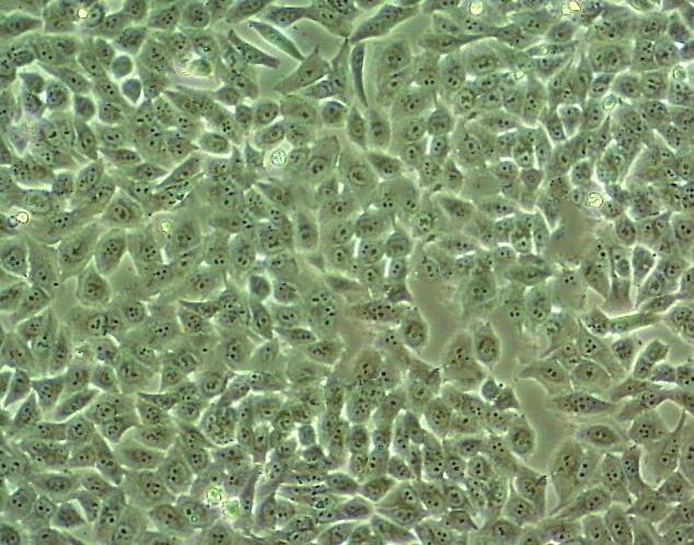
细胞背景资料:来源于中山医院,用人肝癌细胞株MHCC97-H接种裸鼠,进行3次肺转移筛选,取肺转移瘤建成皮下接种后高度自发性肺转移的肝癌细胞系

细胞形态:上皮细胞样

【细胞培养中原虫的污染情况总结】原虫:培养液可轻微浑浊,显微镜下那些细小的点状物数量非常多,轻微活动,细胞虽然可以生长但繁殖速度却明显减慢,而且细胞状态不HAO,边缘不清楚,细胞不透亮。他们与细胞可共生但会与细胞争夺营养。这种共生是非常普遍的,但他们的数量小,细胞站YOU势所以不会影响到细胞的正常生长,只有当他们到达一定的数量时就会影响到细胞的生长,Zui终形成恶性循环。污染的可能原因:可能原因很多比如配液消毒问题、操作问题、环境问题等等关于培养基的无菌状况,取培养基至培养瓶中(不加细胞),37度试培养一段时间后观察。如果没有细菌生长就是操作的问题。也可以在培养基中事先加入双抗(酸链霉素和苄青霉素)。但双抗有时会影响细胞的状态,所以在做转染、检测细胞某项指标前一定要撤去双抗,以避免影响实验结果。1)孵箱应定期用三氧机消毒或者紫外光照射,并用酒精和新洁尔灭试擦孵箱同时孵箱内的水应是三蒸水;2)超净台\取材\器材\培养液\培养瓶\操作等因素;3)超净台的风机不能过大,风机到6-8格。否则也可能能致霉菌污染;4)无菌室经甲醛熏蒸消毒后,可用同等量的喷洒中和,约几小时即可进入操作。

细胞生长:贴壁

ES-2细胞类似产品::OCI/AML-2细胞、GMK,BSC-1细胞、TOV-112细胞

HN4细胞类似产品::LA4细胞、OAW-42细胞、OKT 3细胞

SCL-I细胞类似产品::WM-266-4细胞、HRCEC细胞、MDAPC2B细胞

NCIH460细胞类似产品::Panc02-H0细胞、4T1-A细胞、Walker/LLC-WRC256细胞

MDAMB436细胞类似产品::T/G HA-VSMC细胞、CHO细胞、H-1781细胞

细胞物种来源:人源或鼠源等其它物种来源

MHCC97-H Cell|高转移人肝癌细胞

[细胞产品包装]鲜活细胞:T25培养瓶(一瓶)或冻存细胞:1ml冻存管(两支)

细胞培养更HAO经验详解:1)收到细胞,首先要镜检:观察细胞形态是否正常,对于贴壁细胞则要注意看贴壁情况是否很HAO,观察细胞密度,有疑议及时咨提供细胞的技术人员。 由于运输的时间或者温度的变化,很多贴壁细胞在盛满培养基的瓶子里生长的状态和平时会有点不一样,主要是贴壁牢固问题。比如293T,平时贴壁就不是很牢,在装满的培养基瓶子里面,会发生大片的脱落,细胞聚集在一起,但是细胞生长还是正常的,通过离心收集,加以胰酶的消化,重新打散,又可以正常的贴壁生长。2)当通过上一步的观察,细胞初步没有问题时,进行下一步操作。当收到的细胞密达到80%左右时,则处理如下:弃除瓶中大部分培养基,仅保留5到10mL培养所需的常规培养基;或更换新鲜的培养基,置于培养箱中,随后每天观察。 细胞在低于正常生长温度情况下,会调整为静止期,或者慢速生长期,恢复37度的环境至少3个小时左右,才能重新调整到接近对数生长期的状态,在对数生长期进行细胞的传代会大大增加传代的成功率,和细胞的存活率。3)如果经步观察发现细胞密度超过90%,并且细胞状态很HAO时,则复温后2个小时需要立即传代。传代的比例应依据不同的细胞而定。对于生长比较快,状态稳定,不易受外界影响的细胞可以一次多传几瓶;对于生长较慢,细胞比较薄,状态容易波动的细胞类型,一次少传些,每瓶细胞密度大些,便于稳定生长。至于一些比较陌生的细胞,次处理也可以依照第二种情况。

ABE­8.1/2细胞类似产品::Bovine ENDometrial cells细胞、RC-K8细胞、FL 62891细胞

SKNBE(2)细胞类似产品::786-0WT细胞、HEL细胞、MDCK-2细胞

NBL-4细胞类似产品::UMRC-2细胞、Simpson细胞、NCI-H498细胞

SVHUC细胞类似产品::H-2052细胞、Factor Dependent Cell-Paterson 1细胞、NCI-H716细胞

细胞传代方法:1:2传代

细胞来源说明:来源于RCB、ATCC、KCLB、DSMZ、ECACC、INCell、ScienCell、ECACC、JCRB、Asterand、ICLC等知名细胞库

ABE­8.1/2细胞类似产品::Bovine ENDometrial cells细胞、RC-K8细胞、FL 62891细胞

SKNBE(2)细胞类似产品::786-0WT细胞、HEL细胞、MDCK-2细胞

NBL-4细胞类似产品::UMRC-2细胞、Simpson细胞、NCI-H498细胞

SVHUC细胞类似产品::H-2052细胞、Factor Dependent Cell-Paterson 1细胞、NCI-H716细胞

细胞生长特性:贴壁生长

细胞系(cell line)指原代细胞培养物经首次传代成功后所繁殖的细胞群体。 也指可长期连续传代的培养细胞。(由此便引申出了后来的有限细胞系(FiniteCellLine)、无限细胞系(InfiniteCellLine)),因此,细胞系狭义的是指可连续传代的细胞(定环境下口语和书面语都使用),广义是指可传代的细胞。肿瘤细胞系多由癌瘤建成,多呈类上皮型细胞,常已传几十代或百代以上,并具有不死性和异体接种致瘤性,丧失接触抑制能力。国际上美、英和日本等国已建有细胞库;美国已有美国标准细胞库或细胞银行(ATCC)和人遗传突变细胞库(HGMR)、细胞衰老细胞库(CAR)等,其中ATCC不仅是美国也世界大的细胞库。细胞系建立要求:什么样的体外培养群可被认可为己鉴定的细胞,视具体情况而定,无统一规定。对于用作原代培养的细胞只要供体均一,取材部位及组织种类等条件稳定即可,如用做长期培养,别是反复传代的细胞,常需做如下说明:组织来源:细胞供体所属物种,来自人体或者动物;个体性别、年龄;取材的器官或组织。如系肿瘤组织,应说明临床和病理诊断,以及病历号等。细胞生物学检测:了解细胞一般和殊的生物学性状,如细胞一般形态,异结构,细胞生长曲线和分裂指数,倍增时间,接种率等。如为肿瘤细胞,为说明来源于原肿瘤组织并保持恶性,须做软琼脂培养,异体接种致瘤和对正常组织侵润力等实验。培养条件和方法;应说明细胞系(或株)适应的生存环境,即指明使用的培养基、血清种类、用量以及适宜PH值。

U-251 MG细胞类似产品::AML-EOL-1细胞、AMO1细胞、PC615.3细胞

H1672细胞类似产品::MIHA细胞、H-1437细胞、HS-695T细胞

NCIH358细胞类似产品::NOMO-1细胞、Giant Cell Tumor细胞、COS-1细胞

MD Anderson-Metastatic Breast-435细胞类似产品::LNCaP-FGC细胞、HOC-1细胞、CMT-64细胞

Panc-02细胞类似产品::UM-UC3细胞、LC-2 ad细胞、MARC-145细胞

LC1-Sq细胞类似产品::SCI1细胞、NBL-2细胞、Pa17C细胞

NCIH23细胞类似产品::mIMCD-3细胞、SUPM2细胞、U-118-MG细胞

WC00059细胞类似产品::GM01232细胞、LTEPa2细胞、NCI H157细胞

VMM-5A细胞类似产品::CC-LP-I细胞、AtT20细胞、PL-9细胞

SCC 25细胞类似产品::NCI-H1650细胞、hESC细胞、PAN 02细胞

MHCC97-H Cell|高转移人肝癌细胞

COLO 738细胞类似产品::T 98 G细胞、Hs 688(A).T细胞、P560细胞

HSC-3细胞类似产品::NCIH2081细胞、Nb2细胞、HUCEC细胞

Clone 929细胞类似产品::Mv1Lu细胞、HET1A细胞、N1E-115细胞

CCD-33Co细胞类似产品::HMC细胞、SKNEP-1细胞、SBC3细胞

AML-193细胞类似产品::SNU878细胞、KYSE 30细胞、Kelly细胞

NCI-H1623细胞类似产品::COLO 320HSR细胞、HHUA细胞、ST486细胞

NCI-H1623细胞类似产品::COLO 320HSR细胞、HHUA细胞、ST486细胞

PANC3.27细胞类似产品::BT-B细胞、AU 565细胞、SNGM细胞

Mevo细胞类似产品::Sci-1细胞、BxPC-3细胞、MDA2B细胞

MDA-MB-231细胞类似产品::KYSE70细胞、MLA-144细胞、CTX TNA2细胞

hEM15A细胞类似产品::NCI-H2591细胞、U-251_MG细胞、M-14细胞

TE 32.T细胞类似产品::SF 767细胞、WEHI-3B细胞、C1498细胞

LNCaP subline C4-2细胞类似产品::Swiss3T3细胞、SK_HEP1细胞、CHO/dhFr-细胞

SUPB15细胞类似产品::SN12C-PM6细胞、HRPEpiC细胞、A 2058细胞

Psi-2-DAP细胞类似产品::EAC-E2G8细胞、IEC-6细胞、OKa-C-1细胞

624-mel细胞类似产品::HSC-5 [Human skin squamous cell carcinoma]细胞、aNK细胞、NUGC-2细胞

LoVo细胞类似产品::KYSE 270细胞、SNU878细胞、NCI-H1105细胞

C3H 10T1/2细胞类似产品::CA 46细胞、H2126细胞、HCC44细胞

PC-3M-1E8细胞类似产品::OVCAR-4细胞、ARH 77细胞、QBI-293A细胞

PAMC82细胞类似产品::mousepodocyte细胞、RIN14B细胞、Homo sapiens No. 578, tumor cells细胞

149PT细胞类似产品::MOLT-4细胞、NCIH2405细胞、MD Anderson-Metastatic Breast-435细胞

H548细胞类似产品::Jurkat, Clone E6-1细胞、CCD18Co细胞、TSCCa细胞

G519细胞类似产品::NCI H747细胞、OVCAR-432细胞、GTL 16细胞

Hs27细胞类似产品::K299细胞、OS-732细胞、HCC-44细胞

Hs294T细胞类似产品::MDAPCa-2b细胞、DanG细胞、J-82细胞

Mv.1.Lu细胞类似产品::YAC细胞、BC-027细胞、LICCF细胞

B95.8细胞类似产品::BC-3-H-I细胞、HT29细胞、Kit-225-K6细胞

CEM C7细胞类似产品::NPC-TW 039细胞、A2008细胞、BeWo细胞

H774细胞类似产品::IAR 20细胞、C28/I2细胞、Functional Liver Cell-7细胞

MHCC97-H Cell|高转移人肝癌细胞

Fao细胞类似产品::RPMI #8226细胞、Keio University-19-19细胞、BEL 7402细胞

TCC Sup细胞类似产品::Hs 695.T细胞、OCI-Ly01细胞、OCILY10细胞

CD 18细胞类似产品::KU1919细胞、Earle's L cells细胞、HR-8348细胞

Farage OL细胞类似产品::F-36P细胞、SK-RC 52细胞、SK-MEL5细胞

RK13细胞类似产品::CCLP1细胞、AMJ2C8细胞、H-2444细胞

NCI-H647细胞类似产品::HCCLM6细胞、SPC-A-1细胞、Intestinal Epithelioid Cell line No. 6细胞

UCW 100细胞类似产品::RPTEC/TERT 1细胞、SW839细胞、TCam 2细胞

HT55细胞类似产品::SUM 159PT细胞、UM-UC-14细胞、ML-2细胞

H2330细胞类似产品::MeT-5A细胞、OEC19细胞、hTERTHME1细胞

WPMY1细胞类似产品::TJ905细胞、SNU-C1细胞、KYSE 140细胞

Astrocyte type I clone细胞类似产品::NCI-SNU-1细胞、H2.35细胞、SHI1细胞

Hs-695-T细胞类似产品::H226细胞、JB6 Cl 30细胞、OVCA-420细胞

293FT细胞类似产品::Panc327细胞、BC3 H1细胞、C4-2 B细胞

Hs729细胞类似产品::Panc 08.13细胞、HONE1细胞、MC3T3-E细胞

SK-Mel 1细胞类似产品::Hs 683细胞、KYSE 140细胞、Murine Leydig Tumor Cell line-1细胞

HCC-9724细胞类似产品::LN299细胞、L-6 myoblast细胞、697细胞

JVM3细胞类似产品::NCI-SNU-761细胞、MDA-MB-231细胞、SH-SY5Y细胞

"


MHCC97-H Cell|高转移人肝癌;DSMZ细胞株;ATCC细胞系;RCB细胞;ECACC细胞库;

公司简介

上海冠导生物工程有限公司,先后从ATCC、DSMZ、ECACC、RIKEN、PromoCell、ScienCell、JCRB等国内外细胞库引进细胞2000余株。以此为契机,公司组建了冠导细胞库,我司细胞均由资深细胞培养工程师进行培养。我司可以提供的细胞有:①细胞系②原代细胞③稳转株④耐药株⑤标记细胞⑥细胞配套试剂等。

成立日期 (11年)
注册资本 100万(元)
员工人数 50-100人
年营业额 ¥ 1000万-5000万
经营模式 工厂,试剂,定制,服务
主营行业 细胞培养,微生物学,细胞生物学

MHCC97-H Cell|高转移人肝癌细胞相关厂家报价

内容声明
拨打电话 立即询价