基本信息 产品详情 公司简介 推荐产品
网站主页 MHCC97-L CELLS:低转移人肝癌细胞系 MHCC97-L Cells(赠送Str鉴定报告)|低转移人肝癌细胞
  • MHCC97-L Cells(赠送Str鉴定报告)|低转移人肝癌细胞

MHCC97-L Cells(赠送Str鉴定报告)|低转移人肝癌细胞

MHCC97-L Cells
询价 1000000细胞数 起订
2000000细胞数 起订
上海 更新日期:2026-04-22

上海冠导生物工程有限公司

VIP6年
联系人:全经理
电话:18818239863拨打
邮箱:3171921642@qq.com

产品详情:

中文名称:
MHCC97-L Cells(赠送Str鉴定报告)|低转移人肝癌细胞
英文名称:
MHCC97-L Cells
保存条件:
常温培养或液氮冻存
纯度规格:
MHCC97-L Cells(赠送Str鉴定报告)|低转移人肝癌细胞
产品类别:
生物试剂

"MHCC97-L Cells(赠送Str鉴定报告)|低转移人肝癌细胞

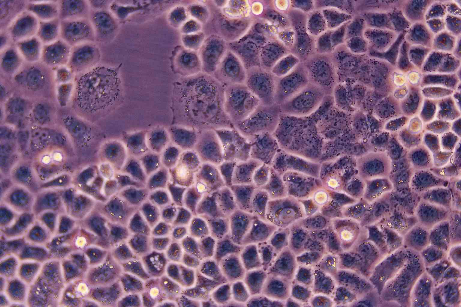
细胞背景资料:来源于中山医院,生长较缓慢

细胞形态:上皮细胞样

体内细胞培养及其操作步骤:【瘤细胞悬液接种】1)无菌选取生长良HAO(有光泽,淡红色)瘤组织或对数生长期培养瘤细胞;2)在PBS中将瘤组织剪碎后用匀浆器研磨,经80~100目筛网过滤成细胞悬液;3)培养细胞应用PBS洗两遍;4)计数并调整细胞浓度至107~108/ml;5)常规消毒后,于接种部位(通常为背部或腋窝腹股沟皮下)用医用注射器皮下潜行一段后注入细胞悬液(0.1ml/部位,>106细胞)。初次接种成功率低,细胞数尽可能多一些;6)次日注意观察动物一般情况。初次接种一般有一段较长的潜伏期,以后随着传代潜伏期逐渐缩短,Zui后固定为一个相对稳定的时间。【腹水瘤的建立与腹水瘤的接种】将实体瘤细胞直接种于小鼠腹腔、腹壁或其他部位,引起腹水,腹水中含有瘤细胞,将这种腹水反复传代,即可成为腹水瘤。初次传代时,腹水常呈血性(含大量红细胞),反复传代后腹水逐渐变成乳白色。腹水瘤的接种过程如下。1)将冻存或培养的腹水瘤细胞离心和洗涤,进行细胞计数;2)消毒动物,左下腹穿刺接种106腹水瘤细胞;3)接种腹水瘤细胞后约7~12d,待小鼠腹部明显膨大。用碘酒棉球消毒小鼠腹部,用9号针头抽取腹水,也可行腹部解剖后,用滴管吸取。每只小鼠可抽3~5ml;4)抽取的腹水经3000rpm离心15min,收集上清,分装冻存备用。

细胞生长:贴壁

HEL-92细胞类似产品::Hs 737.T细胞、NCIH1184细胞、PT-K75细胞

HEL细胞类似产品::OSA细胞、MPP 89细胞、MDAMB175VII细胞

RT-4细胞类似产品::CCRFCEM细胞、HPDE6c7细胞、ASH-3细胞

SU-DHL-6细胞类似产品::SL-1细胞、H2227细胞、B-CPAP细胞

NCI-H1930细胞类似产品::TCC Sup细胞、Hs695细胞、NCI-H1793细胞

MHCC97-L Cells(赠送Str鉴定报告)|低转移人肝癌细胞

细胞物种来源:人源或鼠源等其它物种来源

[细胞产品包装]鲜活细胞:T25培养瓶(一瓶)或冻存细胞:1ml冻存管(两支)

悬浮细胞不容易转染:悬浮细胞是指细胞生长不依赖支持物表面,在培养液中呈悬浮状态生长,如淋巴细胞。在实验室经常会遇到悬浮细胞的转染,其和贴壁细胞转染还是有很大不同的。目前大多数实验室用的是脂质体类的转染试剂,脂质体转染是基于电荷吸引原理,先形成脂质体-DNA复合物,散布在细胞周围,然后通过细胞的内吞作用,将目的基因导入细胞内,而脂质体复合物与贴壁细胞的接触机会比悬浮细胞GAO出很多倍,所以,脂质体转染时悬浮细胞的转染效率要明显低于贴壁细胞。其次,脂质体试剂的毒性较大,这就使得悬浮细胞的转染更为困难了。另外,悬浮细胞不易培养,易死亡,也给细胞转染造成了一定的困难。为了提GAO悬浮细胞的转染效率,可以使用非脂质体的转染试剂,如纳米材料的。也可以使用电转染方法,针对悬浮细胞等难转染细胞还是挺不错的,电击对细胞有一定的损伤,ZuiHAO选用具有细胞膜修复功能的电转染试剂,可以将电击对细胞的伤害降到Zui低,悬浮细胞不易转染,选对试剂及良HAO的细胞培养环境才是关键。

细胞传代方法:1:2传代

SW1353细胞类似产品::GP293细胞、L5178Y细胞、CAL-51细胞

HRA19细胞类似产品::UMNSAH-DF1细胞、SW-1463细胞、IGROV1细胞

H-82细胞类似产品::NCIH295R细胞、HEL 299细胞、PG-BE1细胞

Ca761细胞类似产品::NCIH2170细胞、ST细胞、PTK 1细胞

NS-1细胞类似产品::MADB 106细胞、MLOY4细胞、KYSE-140细胞

细胞来源说明:来源于RCB、ATCC、KCLB、DSMZ、ECACC、INCell、ScienCell、ECACC、JCRB、Asterand、ICLC等知名细胞库

MHCC97-L Cells(赠送Str鉴定报告)|低转移人肝癌细胞

细胞生长特性:贴壁生长

KBM-7/Hap8细胞类似产品::HEP3B2细胞、GCT0404细胞、4T1-A细胞

EL4细胞类似产品::MDCK.2细胞、SK-MEL3细胞、SV40-HCEC细胞

AML12细胞类似产品::MC-3T3-E1细胞、PIG3细胞、Panc-08.13细胞

NK-92细胞类似产品::WPMY1细胞、CAL-62细胞、MDA-MB-361细胞

NCIH841细胞类似产品::C33-A细胞、HARAB细胞、NCI-SNU-761细胞

J.E6-1细胞类似产品::JROECL 33细胞、SU86_86细胞、18G3.cl 1细胞

为什么培养的细胞要及时传代?体外培养的细胞大多具有生长接触抑制的性,也就是说当一个细胞被其他细胞包围的时候,它就会停止生长,及时传代后,细胞的生长得以继续。培养细胞生长减慢的原因在哪些?其解决办法有哪些?可能的原因有:更换了不同的培养液或血清;培养液中一些细胞生长必需成分如谷眈肢或生长因子等耗尽或缺乏或己被破坏;培养物中有少量细菌或真菌污染;试剂保存不当;比较新培养液与原培养液成分,比较新血清与旧血清等,找出其它可能的原因。解决办法:增加起始培养细胞浓度;让细胞逐渐适应新培养液;换入新鲜配制培养液;补加谷酷肢或生长因子等;用无抗生素培养液培养,如发现污染,去弃培养物,或用抗生素除菌;血清需保存在5℃到20℃; 培养液需在2-8℃避光保存;含血清完全培养液在2-8℃保存,并在2周内用完;分离培养物,检测支原体。冷冻管应如何解冻?取出冷冻管后,须立即放入37℃水槽中快速解冻,轻摇冷冻管使其在1-2分钟内大部分融化,别注意,需残留一小块冰块,就可拿到超净工作台操作细胞,用75%酒精消毒冻存管,用新鲜培养基将细胞转移至培养瓶。另外冷冻管由液氮桶中取出解冻时,必须注意安全,预防冷冻管爆裂。

细胞培养无菌操作步骤和注意事项:1.打开无菌工作台及净化室的紫外灯,消毒半小时以上。2.进入净化室前先关闭紫外灯,打开超净台风机,等待30min以上,以排尽臭氧。3.穿HAO隔离衣,戴HAO口罩,帽子。4.风淋2分钟。5.0.1%水泡手,擦干。6.点燃酒精灯;超净台内应避免放入过多的物品;使用的吸管,滴管,试管,培养瓶等均事先灭菌。7.打开各类瓶盖前先过火,以固定灰尘;打开的瓶口、试管口过火焰,镊子使用前应经火焰烧灼。8.水平式风机的超净台,应使瓶口斜置,应尽量避免瓶口敞开直立。9.同一根吸管或滴管不应连续用于几个不同的细胞系;吸取培养基的吸管应离开培养瓶或试管口0.5cm,避免伸入培养瓶口或试管口;以防止细胞系的互相混杂污染。10.漏在培养瓶上或台上的液体,立即用酒精棉球擦净。11.操作完毕后恢复工作台面。

MCA 205细胞类似产品::SW 1417细胞、Vero-E6细胞、SCL1细胞

Rat Lung Epithelial-6-T-antigen Negative细胞类似产品::U-87 MG细胞、LAN-1细胞、MeT 5A细胞

DR2R1610细胞类似产品::253J细胞、50.B1细胞、Tregs细胞

C518细胞类似产品::MES-SA/Dx-5细胞、SV40 MES 13细胞、HLE-SRA-01/04细胞

HuH6细胞类似产品::Mel526细胞、LC1细胞、Wistar Institute, Susan Hayflick细胞

SJRH 30细胞类似产品::NCI-H498细胞、GA-10(Clone 4)细胞、HVSMC细胞

Sp2/O-Ag14细胞类似产品::MUVEC细胞、SJ-RH30细胞、H-87细胞

CEL细胞类似产品::FCCH1024细胞、U266S细胞、H-2342细胞

KATOIII细胞类似产品::NCI-841细胞、Z310细胞、NIH:OVCAR-4细胞

COLO-824细胞类似产品::Med 341细胞、Rat Skin 1细胞、M1细胞

SV40 MES 13细胞类似产品::DITNC1细胞、OCI-Ly 10细胞、HCC-95细胞

10T1/2细胞类似产品::BGC-823细胞、MT2细胞、NTERA2细胞

MEF (CF-1)细胞类似产品::HPDE6c7细胞、RMG-I细胞、1301细胞

Nthy-ori 3.1细胞类似产品::CL 1-5细胞、LLC-PK(1)细胞、IPEC1细胞

University of Michigan-Urothelial Carcinoma-3细胞类似产品::HCC366细胞、CG4细胞、COLO-680N细胞

Central Adrenergic TH-expressing a细胞类似产品::MPC-11细胞、H-128细胞、LAPC4细胞

Central Adrenergic TH-expressing a细胞类似产品::MPC-11细胞、H-128细胞、LAPC4细胞

H1944细胞类似产品::Giant Cell Tumor细胞、HFF1细胞、8505C细胞

Y1细胞类似产品::CaSki细胞、28SC细胞、LS-123细胞

2B4细胞类似产品::MOPC细胞、PK 15细胞、KY180细胞

MUM2B细胞类似产品::EL4细胞、H-187细胞、KP-N-RT-BM-1细胞

NCI-H1618细胞类似产品::3396细胞、H-1417细胞、SNU-1细胞

NCI-H2286细胞类似产品::SBC-5细胞、OVCAR.4细胞、NTera2/D1细胞

EAC细胞类似产品::U-373 MG细胞、Acanthosis Nigricans 3rd attempt-CArcinoma细胞、Swiss-3T3细胞

MES-SA/Dx-5细胞类似产品::RS1细胞、HEK 293T/17细胞、HSCT6细胞

Stanford University-Diffuse Histiocytic Lymphoma-10细胞类似产品::NHEK细胞、T-HEECs细胞、SV40-MES13细胞

RPMI8226细胞类似产品::TERT-RPE1细胞、PLA801-95C细胞、LIPF178C细胞

NR 8383细胞类似产品::RH-30细胞、SF 539细胞、PLC8024细胞

RWPE1细胞类似产品::Walker-256细胞、mIMCD3细胞、P3-X63-Ag8.653细胞

NOK细胞类似产品::Biologics Standards-Cercopithecus-1细胞、RPMI 1846细胞、DoHH2细胞

Rat Skin 1细胞类似产品::UCLA SO M21细胞、B16BL-6细胞、CAL39细胞

SKOV3细胞类似产品::MDA 1386细胞、3T3-L1细胞、SW-1088细胞

H810细胞类似产品::C-6细胞、L-929细胞、SW 756细胞

NCTC1469细胞类似产品::SkChA1细胞、RL952细胞、Madison 109细胞

HPAEpiC细胞类似产品::Colon-38细胞、IMR-90细胞、hRPTC细胞

HCC0070细胞类似产品::NCIH1395细胞、TO 175.T细胞、DHL-16细胞

SW48细胞类似产品::NCI-H2452细胞、LAN5细胞、RS4:11细胞

Daudi细胞类似产品::SW 837细胞、SK-Mel 1细胞、NKM1细胞

RT112细胞类似产品::RS4;11细胞、P 815细胞、HaCaT细胞

COLO320-DM细胞类似产品::HuO9细胞、RBMEC细胞、Cloudman S91 melanoma clone M-3细胞

NCI660细胞类似产品::87 MG细胞、NCI-H23细胞、MV 4;11细胞

MHCC97-L Cells(赠送Str鉴定报告)|低转移人肝癌细胞

NCI-H1105细胞类似产品::NCI-H1694细胞、RKO-E6细胞、Sup T-1细胞

Human Embryonic Skin细胞类似产品::BeWo细胞、UMUC3细胞、SUDHL1细胞

DAKIKI Clone 1细胞类似产品::A-431细胞、766T细胞、LLC-MK-2细胞

HuTu-80细胞类似产品::Alpha Mouse Liver 12细胞、3T3-L1 ad细胞、Vero from pool #76细胞

RPMI2650细胞类似产品::H747细胞、HEC-1-A细胞、HS688AT细胞

RPMI2650细胞类似产品::H747细胞、HEC-1-A细胞、HS688AT细胞

Human Melanoma Cell Bowes细胞类似产品::Jeko1细胞、hEM15A细胞、Ca 9-22细胞

NOZAWA细胞类似产品::ME180细胞、NCI-SNU-878细胞、HepaRG细胞

MCM细胞类似产品::P-36细胞、C3H 10T1/2细胞、MFE280细胞

KM933细胞类似产品::Psi-2 DAP细胞、SK-Mel1细胞、BT549细胞

WERI细胞类似产品::OV3121细胞、AHH1细胞、HAC-84细胞

IOSE80细胞类似产品::NCI-H69C细胞、Jurkat E6-1细胞、MGECs细胞

JIMT1细胞类似产品::SKMel-28细胞、CL40细胞、Calu-6细胞

CL11细胞类似产品::HuH6细胞、P3-X63.Ag8.653细胞、HL7702细胞

CL11细胞类似产品::HuH6细胞、P3-X63.Ag8.653细胞、HL7702细胞

ABC-1细胞类似产品::NCIH1869细胞、L 363细胞、NCIH1930细胞

GM-637细胞类似产品::BL1339细胞、CHAGOK1细胞、AsPC-1细胞

CMT 64细胞类似产品::TGBC11T细胞、M20 [Human melanoma]细胞、NEC8细胞

Hs 888.T细胞类似产品::SPDC-CCL141细胞、LC-MS细胞、TCC-PAN2细胞

ZR75_1细胞类似产品::AML193细胞、CCC-ESF-1细胞、RPMI 2650细胞

PA-TU-8988S细胞类似产品::NCI-H2286细胞、OVCA 420细胞、MDA1386细胞

CAL 12T细胞类似产品::HOS-TE85细胞、SW-1990细胞、MES-SA/Dx-5细胞

KATO III细胞类似产品::MES 23.5细胞、PLC8024细胞、TGW-I-nu细胞

OV90细胞类似产品::McG-1细胞、Hs 821.T细胞、PANC-03-27细胞

8305C细胞类似产品::MKN28细胞、NCI-H719细胞、SK-MEL2细胞

OAW-42细胞类似产品::SKNDZ细胞、Granta519细胞、NCIH2085细胞

RGCs细胞类似产品::SK-MES-1细胞、C81-61细胞、3T6 Swiss Albino细胞

SK Col 1细胞类似产品::KOSC-2细胞、NCIH2228细胞、NCI H929细胞

NCI-H460细胞类似产品::SK Mel28细胞、NCI-H1793细胞、SW 480细胞

Virginia Mason Research Center-Lung Cancer D细胞类似产品::H211细胞、CLL-CII细胞、bEnd.3[BEND3]细胞

HCT.116细胞类似产品::SO-Rb 50细胞、P3-X63-Ag8-653细胞、SHSY-5Y细胞

JF305细胞类似产品::HT115细胞、HT22细胞、HTh74细胞

SNU5细胞类似产品::NCI-SNU-C2B细胞、Hela-Ap-1细胞、HEK 293-EBNA细胞

B16细胞类似产品::Panc-08.13细胞、CCD33Co细胞、Panc-8_13细胞

CAOV3细胞类似产品::CEL细胞、ACHN细胞、B16-F1细胞

SNU368细胞类似产品::NB-4细胞、GM02219细胞、Detroit562细胞

REC细胞类似产品::JROECL21细胞、SUD6细胞、C4-2B细胞

Panc 08.13细胞类似产品::AZ 521细胞、HKF细胞、HSAS1细胞

HEK-AD 293细胞类似产品::H184A1细胞、M059K细胞、CNLMG-B5537SKIN细胞

HS940细胞类似产品::Panc_02_03细胞、Anip-973细胞、A-9细胞

GL261细胞类似产品::GM02131细胞、SK-N-MC细胞、HuH-1细胞

WRL 68细胞类似产品::RAT2细胞、LIXC002细胞、U 138 MG细胞

ASPC1细胞类似产品::HT-144细胞、TE671/RD细胞、MFM223细胞

Hs870T细胞类似产品::JG细胞、NCI-H748细胞、SK-MEL-1细胞

H220细胞类似产品::H-676细胞、L cells细胞、EL 4细胞

UMC-11细胞类似产品::Human Embryo Kidney-2细胞、TSCCa细胞、SNU-620细胞

HUASMC细胞类似产品::HC11细胞、SKLU01细胞、hTERT-HME1细胞

RBE4细胞类似产品::B95-8细胞、MCF-12F细胞、NCIH522细胞

P3X63 AG8-653细胞类似产品::T-CAM2细胞、HMEC细胞、HELF细胞

HOS-TE85细胞类似产品::SkMel31细胞、MS1细胞、OCI/AML-4细胞

MEG-01细胞类似产品::NCI-H165细胞、CAL 33细胞、LOU-NH91细胞

H-865细胞类似产品::Huh-7.5细胞、A20细胞、SKES-1细胞

MBdSMC细胞类似产品::NCIH810细胞、MC3T3-E细胞、HCT.116细胞

MLM细胞类似产品::NCI-H1581细胞、NPA-87细胞、GM03320D细胞

QBC-939细胞类似产品::RC13细胞、TSUpr1细胞、P31/Fujioka细胞

NCIH1417细胞类似产品::SUP-T1细胞、E.L.4细胞、Panc 2.03细胞

YES 2细胞类似产品::SNU520细胞、Factor Dependent Continuous-Paterson 1细胞、SUM-159细胞

PC-3细胞类似产品::Lec1细胞、C57 Mouse Tumor 93细胞、H2141细胞

H-2087细胞类似产品::PL-12细胞、NIH/3T3细胞、MDA-MB-453细胞

LUDLU-1细胞类似产品::HOP62细胞、SY5Y细胞、NCIH1734细胞

DoTc2-4510细胞类似产品::MS-751细胞、RPMI no. 8226细胞、SG231细胞

COS-7细胞类似产品::U-87MG细胞、HS-695T细胞、TE-9细胞

CF PAC-1细胞类似产品::WSU-DLCL(2)细胞、NCI-H841细胞、TE12细胞

GC-2细胞类似产品::OVCAR 4细胞、C57/B6-L细胞、TSCC1细胞

Ontario Cancer Institute-Acute Myeloid Leukemia-2细胞类似产品::HFB细胞、PL-5细胞、MCF 7B细胞

NCI-H727细胞类似产品::T-ALL 1细胞、NCI-H1993细胞、KG-1细胞

JURKAT E-6.1细胞类似产品::MEL细胞、NCIH647细胞、Balb/c3T3细胞

3T3 clone A31细胞类似产品::EC-109细胞、NB-4细胞、BDCM细胞

MCF/Adr细胞类似产品::BE(2)M-17细胞、BEL-7404细胞、CCC-ESF-1细胞

SCI1细胞类似产品::HC11 Mammary Epithelium细胞、SK-NSH细胞、PIGI细胞

HT-3细胞类似产品::TE353.SK细胞、SK-N-BE2细胞、WM-239细胞

MDCK.2细胞类似产品::Michigan Cancer Foundation-10A细胞、Shadyside Hospital Pittsburgh-77细胞、Hep G2-Luc细胞

T-T细胞类似产品::CWR22-Rv1细胞、32D clone3细胞、SBC-5细胞

HNTEC细胞类似产品::MES-SA细胞、NRK clone 52E细胞、MCM细胞

OV-1063细胞类似产品::C127细胞、SKMES1细胞、HCT-15细胞

NCI-H865细胞类似产品::SU-DHL-6细胞、AZ-521细胞、SU-DHL-2细胞

H-69细胞类似产品::VK2 (E6/E7)细胞、E304细胞、NCI-H1048细胞

UK Pan-1细胞类似产品::HPMEC细胞、DAN-G细胞、RBE4细胞

LNCaP C4-2B细胞类似产品::EB1细胞、HCE细胞、MAD109细胞

NCIH2122细胞类似产品::LN-382细胞、OVTOKO细胞、NCIH1581细胞

COLO-699细胞类似产品::LI7细胞、CMT-64细胞、BSC-1细胞

BIU87细胞类似产品::H2591细胞、NCI-H358细胞、HSAEC1-KT细胞

CAKI 2细胞类似产品::RPMI-6666细胞、BNL 1MEA.7R.1细胞、CHL/IU细胞

MDCK Type II细胞类似产品::LMH细胞、Michigan Cancer Foundation-12F细胞、HEC-1A细胞

BEAS 2B细胞类似产品::NTERA-2细胞、MM1.S细胞、NCI-HUT-125细胞

HuLEC-5a细胞类似产品::AG06814-M细胞、OCI-AML-5细胞、NBLAN5T细胞

HPDE细胞类似产品::PC2细胞、CTSC-3细胞、P3X63 AG 8.653细胞

Panc327细胞类似产品::KPL-1细胞、BEL-7402细胞、COLO-320HSR细胞

SW 1417细胞类似产品::OB2细胞、SKMEL1细胞、U-2 OS细胞

NALM 6细胞类似产品::MDA-1386细胞、BT-549细胞、EC-109细胞

RPMI No. 1846细胞类似产品::NCI-H2081细胞、MDA-MB-231 #4175细胞、SK-OV-3细胞

HP615细胞类似产品::Panc 8.13细胞、HPASMC细胞、PIG1细胞

AX-Mel细胞类似产品::TCMK-1细胞、OCUM-1细胞、AE 1201细胞

OCI Ly1细胞类似产品::NCIH1437细胞、P3X63 Ag8.653细胞、SUDHL-2细胞

NCI-H1781细胞类似产品::253JBV细胞、NHEK细胞、ESC-410细胞

CL1-5细胞类似产品::HuH-1细胞、HEp-2细胞、SW 626细胞

Roswell Park Memorial Institute 7666细胞类似产品::G-Olig2细胞、Centre Antoine Lacassagne-85-1细胞、Wistar Institute-38细胞

NE1-E6E7细胞类似产品::SNU668细胞、H-1105细胞、MOLT 4细胞

JIMT1细胞类似产品::SKMel-28细胞、CL40细胞、Calu-6细胞

NIH:OVCAR-3细胞类似产品::Super Tube细胞、HDLM-2细胞、IMR32细胞

RK13细胞类似产品::CCLP1细胞、AMJ2C8细胞、H-2444细胞

PC-3细胞类似产品::Lec1细胞、C57 Mouse Tumor 93细胞、H2141细胞

NPC-TW 039细胞类似产品::Leghorn Male Hepatoma cell line细胞、LLC PK1细胞、CAL51细胞

MDCK-II细胞类似产品::C-Lu-65细胞、U-373-MG细胞、SKMES1细胞

HuPT3细胞类似产品::LU165细胞、P-388细胞、NCIH1876细胞

H774细胞类似产品::IAR 20细胞、HBE细胞、211H细胞

NCI-H1672细胞类似产品::RCC23细胞、National Medical Center-Glioma 1细胞、MCF-7/AdrR细胞

hTERT-RPE1细胞类似产品::Hs821T细胞、STTG1细胞、DR2R 1610细胞

IPLB-Sf21细胞类似产品::OV-2008细胞、HNTEC细胞、KYSE-510细胞

TALL-1 [Human adult T-ALL]细胞类似产品::NCI-1155细胞、H-2052细胞、Panc05.04细胞

Z310细胞类似产品::NCI660细胞、NCI-H2122细胞、TE354.T细胞

SUPT-1细胞类似产品::RIN14B细胞、Hs852T细胞、Cates 1B细胞

J 774A.1细胞类似产品::Panc4.03细胞、SKCol1细胞、KBM-5细胞

NCM460细胞类似产品::Metastatic Variant 522细胞、Panc-02细胞、NCI-H774细胞

Hs 870.T细胞类似产品::RPVSMC细胞、MRC5细胞、KYSE510细胞

HSC(Human Schwann)细胞类似产品::CCC-HHM-2细胞、SupB15W细胞、GM17219细胞

293F细胞类似产品::NCIH1876细胞、T_T_细胞、MV4;11细胞

2780CP细胞类似产品::KOPN8细胞、TFH细胞、CHP-100细胞

U 138 MG细胞类似产品::A375-MEL细胞、R-1059-D细胞、32D-Cl3细胞

MHCC97-L Cells(赠送Str鉴定报告)|低转移人肝癌细胞

MOLT 3细胞类似产品::BC-009细胞、OAW-42细胞、LA-4 [Mouse lung adenoma]细胞

MDAMB175VII细胞类似产品::HCV-29细胞、CT-26细胞、WM451细胞

Hep-3B细胞类似产品::Hs445细胞、T24细胞、HOS/MNNG细胞

786O细胞类似产品::OCI-Ly 1细胞、NCI/ADR-RES细胞、NCI-H441-4细胞

HR8348细胞类似产品::DHL10细胞、LS174T细胞、DMS153细胞

CAL-148细胞类似产品::253J-Bladder-V细胞、T-47-D细胞、COLO680N细胞

MDCK (NBL-2)细胞类似产品::KMS-26细胞、As-PC1细胞、NCI-H69C细胞

Panc 03.27细胞类似产品::Scott细胞、PANC-04-03细胞、MAVER1细胞

COV434细胞类似产品::SRS-82细胞、NWA细胞、FL83B细胞

RBE4细胞类似产品::B95-8细胞、MCF-12F细胞、NCIH522细胞

GC-1 spg细胞类似产品::NCI-H3255细胞、CHL-CL-11细胞、NMC-G1细胞

BHK21细胞类似产品::MHCC97细胞、H2135细胞、SU 86.86细胞

RS411细胞类似产品::NT2-D1细胞、LAN-5细胞、HEK293-FT细胞

SK-N-SH细胞类似产品::Moorfields/Institute of Ophthalmology-Muller 1细胞、DMS-79细胞、STC-1细胞

MGH-UI细胞类似产品::ASH3细胞、Bovine Turbinate细胞、SK-MEL3细胞

Farage OL细胞类似产品::F-36P细胞、SK-RC 52细胞、SK-MEL5细胞

MESSA细胞类似产品::M109细胞、KYSE-70细胞、L1210细胞

V 79-4细胞类似产品::FHs 74 Int细胞、K 562细胞、AU-565细胞

BAEC细胞类似产品::C28/I2细胞、H295细胞、LK2细胞

4T1细胞类似产品::BSC40细胞、T173细胞、SK_HEP1细胞

SKNBE2细胞类似产品::PGBE1细胞、C26细胞、DHL-2细胞

C8161细胞类似产品::H1238细胞、H196细胞、FO [Mouse myeloma]细胞

H-1092细胞类似产品::Hs 863.T细胞、MCF 10A细胞、H-1238细胞

NCI-H2023细胞类似产品::G-292细胞、Stanford University-Diffuse Histiocytic Lymphoma-5细胞、HOS (TE85)细胞

Kelly细胞类似产品::OSC19细胞、CHL-IU细胞、CCD-1095Sk细胞

HuT-102细胞类似产品::102PT细胞、SK-UT-1细胞、P3-X63Ag8细胞

Murine Lung Epithelial-12细胞类似产品::OCI-LY-10细胞、JEG3细胞、HBVP细胞

SKBR-3细胞类似产品::RPMI 1846细胞、NCIH2085细胞、RT-BM-1细胞

L cell细胞类似产品::C38细胞、95C细胞、SK-MES-1细胞

U118-MG细胞类似产品::SV-HUC细胞、HEL299细胞、U-2932细胞

DR2R1610细胞类似产品::253J细胞、LN-382细胞、BLO 11细胞

2780细胞类似产品::KU 19-19细胞、HOS-143B细胞、ATDC-5细胞

"


MHCC97-L Cells(赠送Str;DSMZ细胞株;ATCC细胞系;RCB细胞;ECACC细胞库;

公司简介

上海冠导生物工程有限公司,先后从ATCC、DSMZ、ECACC、RIKEN、PromoCell、ScienCell、JCRB等国内外细胞库引进细胞2000余株。以此为契机,公司组建了冠导细胞库,我司细胞均由资深细胞培养工程师进行培养。我司可以提供的细胞有:①细胞系②原代细胞③稳转株④耐药株⑤标记细胞⑥细胞配套试剂等。

成立日期 (11年)
注册资本 100万(元)
员工人数 50-100人
年营业额 ¥ 1000万-5000万
经营模式 工厂,试剂,定制,服务
主营行业 细胞培养,微生物学,细胞生物学

MHCC97-L Cells(赠送Str鉴定报告)|低转移人肝癌细胞相关厂家报价

内容声明
拨打电话 立即询价