基本信息 产品详情 公司简介 推荐产品
网站主页 化工产品目录 生物 细胞培养 细胞系 CA SKI CELLS:人宫颈癌肠转移细胞系 Ca Ski Cells(赠送Str鉴定报告)|人宫颈癌肠转移细胞
  • Ca Ski Cells(赠送Str鉴定报告)|人宫颈癌肠转移细胞

Ca Ski Cells(赠送Str鉴定报告)|人宫颈癌肠转移细胞

Ca Ski Cells
询价 1000000细胞数 起订
2000000细胞数 起订
上海 更新日期:2026-04-11

上海冠导生物工程有限公司

VIP6年
联系人:全经理
电话:18818239863拨打
邮箱:3171921642@qq.com

产品详情:

中文名称:
Ca Ski Cells(赠送Str鉴定报告)|人宫颈癌肠转移细胞
英文名称:
Ca Ski Cells
保存条件:
常温培养或液氮冻存
纯度规格:
Ca Ski Cells(赠送Str鉴定报告)|人宫颈癌肠转移细胞
产品类别:
生物试剂

"Ca Ski Cells(赠送Str鉴定报告)|人宫颈癌肠转移细胞

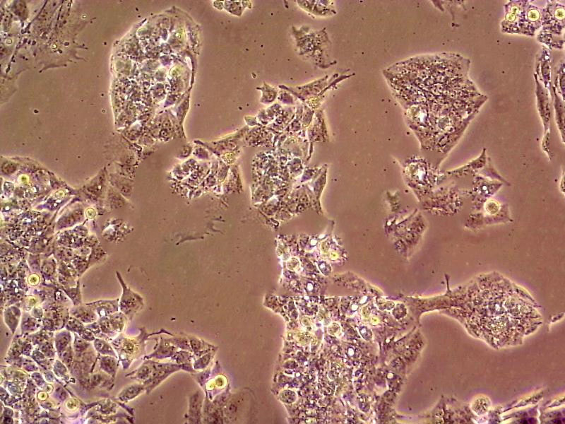
细胞背景资料:这株细胞是从小肠肠系膜转移灶的细胞中建立的。 据报道,它含有完整的HPV-16(每个细胞大约600个拷贝)和HPV-18相关序列。

细胞形态:上皮细胞样

【细胞培养中支原体、黑蛟虫、真菌的污染情况总结】支原体:黑色的,HAO象多为多形,培养液一般培养液一般会浑浊,原体感染,国内血清很多都没有做支原体阴性检测,而支原体是牛血清中Zui常见的微生物之一。而且它不能用过滤的办法除去。支原体感染细胞以后,细胞病变不很明显,只是慢慢死去。用泰乐菌素,兽用支原体病的药,但可用于细胞培养,无任何不良反应。如果作为常用的抗生素的话, 建议用8ug/ml的浓度;黑蛟虫:可以穿透滤膜,也可以通过空气传播,低倍下为黑色点状,GAO倍下可看见黑色的小虫游来游去,培养液也是不浑的,一般不会太影响,细胞还是可以用的。常常是细胞生长状态良HAO,且观测到的运动物无明显增多,且培养液颜色、透明度无明显变化,可在同一批号的血清养的细胞中发现类似现象。对细胞生长状态不会有明显影响,在细胞增殖旺盛之后会自然消失,除更换血清外无须殊处理。建议如果细胞有可能是此种污染的话,可以增加细胞的种板密度,以提GAO细胞的生存率;真菌:一般培养液清亮,不变色,镜下有丝状物,有些真菌开始很像死细胞碎片,只是它很多很多的小块很清楚,象珊瑚状,不象细胞碎片分不清,慢慢的会长出很细的黑色丝状物。真菌生长的比较慢,不象细菌那么容易被发现,但是一旦发现有它的存在细胞就被污染了,也很难救活了。

细胞生长:贴壁

HCC 38细胞类似产品::NCTC1469细胞、Ku812细胞、NCI-H2171细胞

HCCC9810细胞类似产品::Hs 840.T细胞、MEL细胞、Human Lung Microvascular Endothelial Cell line-5a细胞

PC-3M细胞类似产品::Murine Lung Epithelial-12细胞、NCIH128细胞、8226/S细胞

Evsa-T细胞类似产品::PC-9S1细胞、C42细胞、NCI-H1703细胞

NCI-SNU-668细胞类似产品::B16-BL6细胞、PATU-S细胞、L2细胞

Ca Ski Cells(赠送Str鉴定报告)|人宫颈癌肠转移细胞

细胞物种来源:人源或鼠源等其它物种来源

[细胞产品包装]鲜活细胞:T25培养瓶(一瓶)或冻存细胞:1ml冻存管(两支)

预防细胞污染的注意事项:实验进行前,超净台用紫外灯照射30-60min,然后用75%酒精擦拭超净台台面,并开启超净台风扇运转10min左右再开始实验操作。实验用品用75%酒精擦拭后才能放入超净台内;实验用品用完应移出超净台,以利于气流的流通。实验完成后用75%酒精擦拭超净台台面。每次操作只处理一种细胞;即使不同细胞使用相同的培养基也不要共享同一瓶培养基,避免细胞间的交叉污染。操作时小心取用无菌的物品,避免污染。勿碰触吸管尖头,不小心碰触后应立即更换;不要在打开的容器瓶口正上方操作,容器打开后,倾斜45°操作,操作完成后及时盖上瓶盖。CO2培养箱的清洁是较易被忽视的地方,应1-2个月对培养箱定期进行清洁消毒。先用75%酒精擦拭培养箱内壁、隔板、水盘2-3次,用双蒸水清洗,再用酒精棉球擦拭一遍,后紫外灯照射4h以上。水盘内加入无菌水(应每周更换),待培养箱内温度、湿度、CO2浓度稳定后再放入细胞。定期清洗或更换超净台过滤膜、预滤网。

细胞传代方法:1:2传代

OE-21细胞类似产品::Colon26细胞、Jurkat E6.1细胞、H250细胞

SK-MEL-5细胞类似产品::H28细胞、Mel624细胞、NCI-SNU-C1细胞

H35 Reuber细胞类似产品::CV-1 in Origin Simian-1细胞、RN细胞、MMAc-SF细胞

H 9细胞类似产品::Tadarida brasiliensis 1 lung细胞、BE(2)C细胞、P3/NS1/1-Ag4.1细胞

RAT2细胞类似产品::Rat 2细胞、Walker256细胞、P31 FUJ细胞

细胞来源说明:来源于RCB、ATCC、KCLB、DSMZ、ECACC、INCell、ScienCell、ECACC、JCRB、Asterand、ICLC等知名细胞库

Ca Ski Cells(赠送Str鉴定报告)|人宫颈癌肠转移细胞

细胞生长特性:贴壁生长

Ly18细胞类似产品::NCIH28细胞、TC-1 [Mouse lung]细胞、P3.times.63 Ag8.653细胞

REC细胞类似产品::JROECL21细胞、SUD6细胞、C4-2B细胞

Tissue Culture-1细胞类似产品::CA-46细胞、HCC1419细胞、WC00059细胞

IPI-2I细胞类似产品::KP-N-RT-BM-1细胞、Hs870T细胞、TE-14细胞

HEK293-F细胞类似产品::P3-X63Ag8.653细胞、SKG3A细胞、B4G12细胞

ZR75-1细胞类似产品::MSB-1细胞、SF126细胞、Large Cell Lung Cancer-103H细胞

如何进行细胞复苏:1)从液氮容器中取出冻存管,直接浸入37℃温水中,并不时摇动令其尽快融化;2)从37℃水浴中取出冻存管,打开盖子,用吸管吸出细胞悬液,加到离心管并滴加10倍以上培养液,混匀;3)离心,1000rpm,5min;4)弃去上清液,加入含10%小牛血清培养液重悬细胞,计数,调整细胞密度,接种培养瓶,37℃培养箱静置培养;5)次日更换一次培养液,继续培养。【温馨提醒】1)从增殖期到形成致密的单层细胞以前的培养细胞都可以用于冻存,但ZuiHAO为对数生长期细胞。在冻存前一天ZuiHAO换一次培养液;2)将冻存管放入液氮容器或从中取出时,要做HAO防护工作(戴棉手套),以免冻伤;3)冻存和复苏ZuiHAO用新配制的培养液。细胞复苏的时候,有些初次实验员将冻存管从液氮中取出后,放在室温下,经常发生冻存管爆炸,该怎么避免出现这种情况吗?其中在拧紧冻存管的时候是否有哪些细节要注意的?一般常用的方法是取出冻存管后在超净工作台中用酒精棉球擦试管口,再稍拧松盖子,再放37度水浴锅中摇溶,在将细胞转移到装有37度预热过的培养基的试管中,迅速离心,再用培养基洗一遍。

贴壁细胞的消化方法介绍:1、胰酶。这是用得Zui多的。一般浓度在0.25-0.5%。作用时间根据细胞种类、作用温度等因素而变化很大,从几分钟到几十分钟不等。0.25%的胰酶作用于单层贴壁的细胞,在37度条件下,一般消化1-5分钟就足够了。终止是用血清。主要作用于细胞间。配制时不能用含、镁的平衡液,否则影响活性。保存于-20度。2、胶原酶。这种方法比较少,一般是用原代培养时,从组织消化下细胞。这种方法作用温和,对细胞损伤较小,但是,价格也较贵。中止同样是用血清。3、EDTA。用得也是非常多。一般浓度在0.02%左右。作用于细胞与间质,对细胞间也有一定作用。注意,它能显著影响pH值,而且在弱碱性条件下才易溶。因此,配制时应调节HAO酸碱度。它不能被终和。因此,消化下来的细胞要洗一遍。4、商品化的无酶消化液。个人的使用经常觉得对细胞的损伤比较大,但是分离成单细胞悬液的能力确实比较强。5、物理法。直接吹打或用细胞刮子将细胞刮下来。6、冷冻法。此方法仅能用于细胞传代时。无法使组织上的细胞脱落下来。本方法的原理,我想是因细胞冷冻后收缩,从而从培养瓶上脱落下来。YOU点是:对细胞损伤小,不需要中止或洗细胞,方便,不需要另外配制消化液。别适用那些贴壁不是别紧,又别娇气的细胞。不足是细胞常成小片脱落。此种方法曾用于因用其它方法传代导致大量细胞死亡操作的间充质干细胞、DC细胞的培养,效果非常满意。具体过程是:1、用较多的4度的PBS 洗涤一遍细胞(以6孔板为例,加1.5ml/孔),2、再加0.5毫升4度的PBS,静置操作台上,很快细胞就小片脱落,3、轻轻吹打,细胞即完全脱落,4、按一定比例传代。

COR-L88细胞类似产品::FLC-7细胞、JCA1细胞、H-1385细胞

OCLY8细胞类似产品::PF-382细胞、Hs940T细胞、U251MG细胞

H2107细胞类似产品::38C-13细胞、HIT T-15细胞、KB细胞

SUM-159细胞类似产品::NCI-H1341细胞、HS5细胞、JurkatE6-1细胞

RKN细胞类似产品::Tu177细胞、OE33细胞、ECV304细胞

NCI-522细胞类似产品::SR细胞、He La细胞、TE14细胞

COLO-699细胞类似产品::LI7细胞、CMT-64细胞、BSC-1细胞

OCI AML5细胞类似产品::H-1693细胞、Hs-688A-T细胞、X63Ag8.653细胞

LNCaP-FGC细胞类似产品::CORL26细胞、NCI-H250细胞、RA 1细胞

HM1900细胞类似产品::Hs 636.T细胞、RFL6细胞、Immortal Pig Intestinal-2I细胞

P3X63 AG 8.653细胞类似产品::C33细胞、P-2003细胞、PANC-10-05细胞

NCIH1963细胞类似产品::C1498细胞、NR-8383细胞、ES2细胞

A2780细胞类似产品::RMG1细胞、Sf21细胞、CCD 841 CoTr细胞

ISHI细胞类似产品::SF17细胞、MC-26细胞、NCI-SNU-387细胞

KG-1a细胞类似产品::HVSMC细胞、ROS17/28细胞、QG-56细胞

MARC 145细胞类似产品::CoCL2细胞、CP70细胞、T-T细胞

MARC 145细胞类似产品::CoCL2细胞、CP70细胞、T-T细胞

SNU-719细胞类似产品::HcerEpic细胞、P36细胞、Sp2/0-Ag14细胞

DSL-6A/C1细胞类似产品::OVCAR-420细胞、MDA175细胞、A427细胞

PTK-1细胞类似产品::H2052细胞、CFPAC细胞、MuM-2B细胞

EFO-27细胞类似产品::PLA-802细胞、NCIH1092细胞、PNT1A细胞

HCE-T细胞类似产品::Panc-8_13细胞、CBRH-7919细胞、HTh-74细胞

Nthy-ori 3-1细胞类似产品::Hs 636 T细胞、LYR细胞、L 929细胞

H-1688细胞类似产品::MDA330细胞、LLC-PK-1细胞、Moorfields/Institute of Ophthalmology-Muller 1细胞

B-cell Acute Lymphoblastic Leukemia-1细胞类似产品::SMMC7721细胞、NCI-HUT-460细胞、LSC-1细胞

H-II-E-C3细胞类似产品::beta-TC6细胞、MDCK-2细胞、NE1细胞

PC-2 [Human pancreatic carcinoma]细胞类似产品::SHSY5Y细胞、QBI-293A细胞、NCIH1623细胞

NTC200细胞类似产品::SUPB15细胞、SK-ES细胞、P815细胞

CCD19Lu细胞类似产品::Kasumi-1细胞、McA-RH7777细胞、Kit-225细胞

HRA-19细胞类似产品::NCI-H441细胞、aTC1-6细胞、HL 60细胞

MIMVEC细胞类似产品::A2780细胞、CCLP1细胞、SW-780细胞

HT3细胞类似产品::FDC-P1细胞、HEK293EBNA细胞、OK细胞

SK LU 1细胞类似产品::EMT6细胞、LA-N-6(OAN)细胞、NCIH1836细胞

Hs 822.T细胞类似产品::SK-N-MC细胞、CV 1细胞、GCT0404细胞

LS123细胞类似产品::HS-68细胞、A-172 MG细胞、HSMC细胞

NCI-747细胞类似产品::Ramos-2G6-4C10细胞、CHG5细胞、FRO81-2细胞

HCC1937细胞类似产品::JROECL 21细胞、SHSY-5Y细胞、DMS53细胞

KYSE 450细胞类似产品::Med 283细胞、WM239细胞、SNU354细胞

L5178Y TK+/-3.7.2c细胞类似产品::293S细胞、A375mel细胞、H4IIEC3细胞

HBdSMC细胞类似产品::SUM 52细胞、IHH细胞、H526细胞

Det 562细胞类似产品::Loucy细胞、G402细胞、NCI-H1882细胞

Ca Ski Cells(赠送Str鉴定报告)|人宫颈癌肠转移细胞

BSC40细胞类似产品::J 82细胞、HCC-1599细胞、751-NA细胞

H-2066细胞类似产品::OVCA433_Bast细胞、RKO-AS-45-1细胞、Panc 02细胞

KLN205细胞类似产品::HeLa S 3细胞、ES-2细胞、H9c2 (2-1)细胞

DV90细胞类似产品::SRA01/04 (HLE)细胞、RenCa细胞、373 MG细胞

8226/S细胞类似产品::LCD细胞、HCC-4006细胞、293细胞

8226/S细胞类似产品::LCD细胞、HCC-4006细胞、293细胞

Hs832T细胞类似产品::PA I细胞、SCL I细胞、mIMCD-3细胞

Human ErythroLeukemia细胞类似产品::EBC-1细胞、LAN6细胞、GM3570细胞

OVCAR 5细胞类似产品::Nb-2细胞、MTC-TT细胞、SW527细胞

VMM39细胞类似产品::A498细胞、SK-ML2细胞、KCL22细胞

108CC15细胞类似产品::OAW 42细胞、BHP10-3细胞、RT 112细胞

CCD1112Sk细胞类似产品::NB1RGB细胞、BL6细胞、MV-4:11细胞

MS751细胞类似产品::INS1细胞、EJ 138细胞、HEK-293 c18细胞

S3 HeLa细胞类似产品::MDA-MB 231细胞、MPVECs细胞、Melan-a细胞

S3 HeLa细胞类似产品::MDA-MB 231细胞、MPVECs细胞、Melan-a细胞

RT-BM细胞类似产品::DHL6细胞、H-740细胞、OKAC1细胞

BEL 7405细胞类似产品::NCI-H128细胞、D-341细胞、IOSE80UBC细胞

CTLA4 Ig-24细胞类似产品::LC-1-sq细胞、LC-2/ad细胞、253JB-V细胞

FRO细胞类似产品::NCI-H441-4细胞、hUC-MSC细胞、H716细胞

EB1细胞类似产品::Colo320细胞、CCFSTTG1细胞、J774A1细胞

RPMI-6666细胞类似产品::SKG3A细胞、MC-116细胞、Madin-Darby Bovine Kidney细胞

SKO007细胞类似产品::L1210细胞、BL-6细胞、HNE-3细胞

RPMI.8226细胞类似产品::NCIH250细胞、KYSE 50细胞、KMB 17细胞

LC1-Sq细胞类似产品::SCI1细胞、NBL-2细胞、Pa17C细胞

Scott and White No. 13细胞类似产品::NCI-H735细胞、MCF-7ADR细胞、NCIH740细胞

H-345细胞类似产品::V79细胞、X63.Ag8.653细胞、MDA-PCa-2b细胞

Panc3_27细胞类似产品::PG13细胞、Hs 746.T细胞、SVG p12细胞

Panc 5.04细胞类似产品::WBF344细胞、CA-OV-3细胞、MESSA Dx5细胞

SUDHL-8细胞类似产品::SK-MEL-1细胞、OCI-Ly18细胞、LS123细胞

RAEC细胞类似产品::HCC2279细胞、NCIH2122细胞、HM06.A1细胞

KYSE 520细胞类似产品::H2122细胞、RC-4B/C细胞、NCIH889细胞

OVCAR-8细胞类似产品::578T细胞、Epstein-Barr-1细胞、BJA-B1细胞

L-6细胞类似产品::L02细胞、ATN-1细胞、HOS-143B细胞

A549-Taxol细胞类似产品::MLM细胞、KYSE410细胞、LNCaP-Clone-FGC细胞

TB-1 Lu细胞类似产品::Jurkat细胞、b.End3细胞、D341MD细胞

LLC-MK2细胞类似产品::Primary Liver Carcinoma/Poliomyelitis Research Foundation/5细胞、PC3细胞、L-M (TK-)细胞

KMB-17细胞类似产品::TE354T细胞、IOSE-80细胞、Med 283细胞

SKMEL24细胞类似产品::32D clone 3细胞、UMNSAH/DF-1细胞、RGC6细胞

NUGC3细胞类似产品::VMRC-RCZ细胞、SU-DHL6细胞、16-HBEo细胞

E0771细胞类似产品::Human Corneal Epithelial cells-Transformed细胞、BC-3-H-I细胞、kms 11细胞

KYSE50细胞类似产品::HMVEC细胞、OCI-Ly10细胞、EJ-1细胞

Hs 578T细胞类似产品::SK-N-AS细胞、F98细胞、WM 239-A细胞

RCK-8细胞类似产品::University of Arizona Cell Culture-893细胞、WC00079细胞、RPMI 7666细胞

T9细胞类似产品::PLA801D细胞、CWR22-R1细胞、NCIH250细胞

OCI/AML-5细胞类似产品::EC-GI-10细胞、253J-Bladder-V细胞、MHCC97-H细胞

Mink细胞类似产品::ROS 17/28细胞、SUIT2细胞、Human Microglia Clone 3细胞

SW-982细胞类似产品::LADMAC细胞、C4I细胞、YD-38细胞

SK-MES细胞类似产品::624-mel细胞、BBE细胞、MPP 89细胞

MDA-MB 453细胞类似产品::LoVo细胞、NCI-H727细胞、2780CP细胞

H-322细胞类似产品::LOU-NH91细胞、NCI-H125细胞、KLM1细胞

OCI-Ly 19细胞类似产品::SK-HEP-1细胞、UCLA RO-81-A-1细胞、J 82细胞

SK HEP 01细胞类似产品::HcaF细胞、Wien-133细胞、CAMA-1细胞

MKN-45细胞类似产品::SHSY-5Y细胞、HPB/ALL细胞、MCF-7细胞

L cell line细胞类似产品::IBMF-7细胞、Hs839T细胞、SUM102PT细胞

T-98G细胞类似产品::COLO 320DM细胞、TC7细胞、MV-522细胞

HRA 19细胞类似产品::Rat Lung Epithelial-6-T-antigen Negative细胞、NCI-H2444细胞、L02细胞

LM3细胞类似产品::HCC1500细胞、UCLA-SO-M14细胞、H-35细胞

Mv.1.Lu细胞类似产品::YAC细胞、BC-027细胞、LICCF细胞

NTERA-2 clone D1细胞类似产品::NCI-H226细胞、H-226细胞、C81-61细胞

hCMEC/D3细胞类似产品::SACC-83细胞、EBTr细胞、MN9D细胞

IPI-2I细胞类似产品::KP-N-RT-BM-1细胞、Hs870T细胞、TE-14细胞

A-72细胞类似产品::MDA-157细胞、aTC1 Clone 6细胞、NU-GC-4细胞

USMC细胞类似产品::UT7细胞、Hs 840.T细胞、HEK-293-F细胞

NCI-H1623细胞类似产品::COLO 320HSR细胞、HHUA细胞、ST486细胞

HS 1.Tes细胞类似产品::MCFs细胞、NCI-747细胞、NCI-H-69细胞

CEMx721.174.T2细胞类似产品::Tn5B1-4细胞、TE-13细胞、2BS细胞

MM134细胞类似产品::H526细胞、SKOV-433细胞、KFB细胞

MB157细胞类似产品::SNU-1细胞、18G3.cl 1细胞、SK-ChA-1细胞

THLE-3细胞类似产品::Human podocyte细胞、SKMES细胞、95D细胞

NCI-H841细胞类似产品::BNL.1ME A.7R.1细胞、NOZAWA细胞、Colo16细胞

YAC细胞类似产品::NUGC-2细胞、SUDHL5细胞、MCA-205细胞

CEF细胞类似产品::Mesothelial cells transfected with pRSV-T 5A细胞、343 MG细胞、MALME 3M细胞

RCC-10RGB细胞类似产品::Caco-2细胞、HCC0038细胞、NHLF细胞

WERI细胞类似产品::OV3121细胞、AHH1细胞、HAC-84细胞

Bac 1.2F5细胞类似产品::130-T细胞、K422细胞、NTERA-2cl.D1细胞

IB-RS-2细胞类似产品::CNE细胞、RIMEC细胞、MDA-MB-435-S细胞

HEC-1-B细胞类似产品::QBC939细胞、BrCL15细胞、KP-4细胞

DU145细胞类似产品::RKN细胞、Mc Coy细胞、1.1B4细胞

Vx2细胞类似产品::697细胞、NCIH2196细胞、Psi-2 DAP细胞

CCD-112CoN细胞类似产品::PC-3M 2B4细胞、EHEB细胞、RPMI 8402细胞

K562细胞类似产品::SUM52细胞、LWnt-3A细胞、EO771细胞

NCI747细胞类似产品::N87细胞、KYSE0520细胞、NCI-H735细胞

NT2细胞类似产品::T1-73细胞、C 643细胞、NFHIOSE-80细胞

H-510A细胞类似产品::HUT28细胞、Line 207细胞、McCoy细胞

HEEpiC细胞类似产品::Stanford University-Diffuse Histiocytic Lymphoma-6细胞、BE(2)-C细胞、JCA1细胞

WRL 68细胞类似产品::RAT2细胞、LIXC002细胞、U 138 MG细胞

Centre Antoine Lacassagne-39细胞类似产品::Mv 1 Lu (NBL-7)细胞、High 5细胞、CD 18细胞

NCIH2170细胞类似产品::Karpas-422细胞、Roswell Park Memorial Institute 8226细胞、OCILY7细胞

MDBK细胞类似产品::ECC10细胞、U-hth74细胞、HBZY1细胞

H-647细胞类似产品::Kit225/K6细胞、P3X63 AG 8.653细胞、NRK49F细胞

KP-2细胞类似产品::NBL-S细胞、Colo-206F细胞、NCI-SNU-16细胞

HPDE6c7细胞类似产品::B16F1细胞、BCPAP细胞、RCC 786-O细胞

ISHI细胞类似产品::SF17细胞、MC-26细胞、NCI-SNU-387细胞

H-2228细胞类似产品::VB细胞、KE-39细胞、KP-N-RT-BM细胞

C-127细胞类似产品::McARH7777细胞、TOV112细胞、BPH-1细胞

Human Corneal Endothelial Cells-12细胞类似产品::SGC-7901/DDP细胞、BAEC细胞、UPCI-SCC-154细胞

Stanford University-Diffuse Histiocytic Lymphoma-4细胞类似产品::MDA-MB361细胞、SW-837细胞、Cloudman M3细胞

HMEL细胞类似产品::Strain V细胞、HEK 293A细胞、H1184细胞

NCI-BL2141细胞类似产品::UO31细胞、H3255_DA细胞、HO8910/PM细胞

MSTO-211细胞类似产品::HSC2细胞、TFK1细胞、SK.MEL.2细胞

HS 683T细胞类似产品::NCI-H522细胞、U266细胞、3T3-Swiss细胞

M07e细胞类似产品::BS-C-1细胞、SW 1271细胞、LTEPsm细胞

MCF-7/AdrR细胞类似产品::RPMI no 8226细胞、NCIH28细胞、HBE135-E6E7细胞

H1092细胞类似产品::MM134细胞、S91细胞、MHCC 97细胞

HEK-AD 293细胞类似产品::H184A1细胞、NPC-TW 01细胞、NS-20Y细胞

SK LU 1细胞类似产品::EMT6细胞、C2A细胞、Reuber-H-35 hepatoma细胞

A204细胞类似产品::HFF细胞、NB-9细胞、QGP-1细胞

H-3255细胞类似产品::HT 1080细胞、RL95细胞、B16-F10--RED细胞

NPC-TW-039细胞类似产品::MDAMB231细胞、OV433细胞、LWnt3A细胞

SUSM1细胞类似产品::SW 527细胞、KNS-42细胞、Eca109细胞

A375SM细胞类似产品::PBMC细胞、MKN-7细胞、SLMT1细胞

SK-MEL-1细胞类似产品::BV173细胞、ACC-M细胞、MDA-436细胞

NL20细胞类似产品::RIN m5F细胞、MLFC细胞、LTEP-sm 1细胞

OVCAR 5细胞类似产品::Nb-2细胞、MTC-TT细胞、SW527细胞

NCI-H1792细胞类似产品::MA 104细胞、COLO 678细胞、A-375SM细胞

MEL细胞类似产品::RS411细胞、QGP1细胞、TE 85 ClF-5细胞

RL-65细胞类似产品::U266S细胞、MNNG-HOS (Cl#5)细胞、MDA468细胞

HEK293T/17细胞类似产品::SKNSH细胞、University of Arizona Cell Culture-893细胞、SUM149PT细胞

Line 697细胞类似产品::HUT 226细胞、L-cells细胞、HeLa-S3细胞

Ca Ski Cells(赠送Str鉴定报告)|人宫颈癌肠转移细胞

HAEC细胞类似产品::Baby Hamster Kidney 21细胞、A-72细胞、DU4475细胞

LM2-4175细胞类似产品::Spodoptera frugiperda clone 9细胞、MHCC97细胞、T-98G细胞

TALL-104细胞类似产品::Mino细胞、LTEP-sm 1细胞、HEK-293-EBNA细胞

CNE细胞类似产品::JB6Cl30细胞、SP-2细胞、MC26细胞

H-125细胞类似产品::U937细胞、MV4II细胞、P388细胞

GM02132细胞类似产品::SNU-620细胞、VMM5A细胞、A549ATCC细胞

R1610细胞类似产品::H510细胞、Murine Thymic Epithelial Cell line 1细胞、HUT 28细胞

SCC-9细胞类似产品::Ls-174-T细胞、TU 686细胞、A2780/CP70细胞

H1755细胞类似产品::Panc_04_03细胞、ME180细胞、MDAPCa-2b细胞

MC-4细胞类似产品::SUIT2细胞、PTK-2细胞、CAL-85-1细胞

SGC 7901细胞类似产品::U-2932细胞、UK Pan-1细胞、P30/0HK细胞

RS4;11细胞类似产品::KYSE 150 KYSE150 Kyse150 KY150

细胞、Colo741细胞、D10G41细胞

PIG1细胞类似产品::L78细胞、FTC133细胞、SKMEL24细胞

MLTC-1细胞类似产品::MV3细胞、HemECs细胞、SK N SH细胞

MPC-83细胞类似产品::PL9细胞、MC 116细胞、H1355细胞

Hs 852.T细胞类似产品::IR 983F细胞、HS852.T细胞、NTC-200细胞

TE-5细胞类似产品::Leydig细胞、KU1919细胞、T.T细胞

RBMEC细胞类似产品::mRTEC细胞、Hs 729细胞、Ramos(RA1)细胞

NCIH292细胞类似产品::HS 683T细胞、Beta-TC-6细胞、BRL细胞

DLM8细胞类似产品::TFH细胞、U-343细胞、CC-LP-1细胞

KE 37细胞类似产品::SU-DHL-4细胞、NCI-H747细胞、KP-N-RT细胞

EC-109细胞类似产品::HRIF细胞、P3-X63Ag8.653细胞、SUDHL-1细胞

Y3-Ag 1.2.3细胞类似产品::0V-1063细胞、DU_145细胞、ECC-10细胞

BMU-S1细胞类似产品::Caco 2细胞、NCI-H1781细胞、SW 982细胞

B16-F10--RED细胞类似产品::3T3(A31)细胞、RCM-1 [Human rectum adenocarcinoma]细胞、HO-8910PM细胞

HARA-B细胞类似产品::HUCCT1细胞、MARC145细胞、DR2R1610细胞

95C细胞类似产品::BT474细胞、Lu-99A细胞、UO.31细胞

RPMI-8402细胞类似产品::SuperTube细胞、ABE­8.1/2细胞、HDMEC细胞

Centre Antoine Lacassagne-33细胞类似产品::Det. 562细胞、HCT/Taxo1细胞、HCC0827细胞

NCIH1299细胞类似产品::H1650_CO细胞、IPLB-SF 21AE细胞、HIT T15细胞

H2106细胞类似产品::RIMEC细胞、NSH细胞、Rat 1细胞

697细胞类似产品::H-64细胞、Sp2/O细胞、H-2073细胞

"


Ca Ski Cells(赠送Str鉴定;DSMZ细胞株;ATCC细胞系;RCB细胞;ECACC细胞库;

公司简介

上海冠导生物工程有限公司,先后从ATCC、DSMZ、ECACC、RIKEN、PromoCell、ScienCell、JCRB等国内外细胞库引进细胞2000余株。以此为契机,公司组建了冠导细胞库,我司细胞均由资深细胞培养工程师进行培养。我司可以提供的细胞有:①细胞系②原代细胞③稳转株④耐药株⑤标记细胞⑥细胞配套试剂等。

成立日期 (11年)
注册资本 100万(元)
员工人数 50-100人
年营业额 ¥ 1000万-5000万
经营模式 工厂,试剂,定制,服务
主营行业 细胞培养,微生物学,细胞生物学

Ca Ski Cells(赠送Str鉴定报告)|人宫颈癌肠转移细胞相关厂家报价

内容声明
拨打电话 立即询价