基本信息 产品详情 公司简介 推荐产品
网站主页 化工产品目录 生物 细胞培养 人大细胞肺癌细胞 Lu-99A Cell|人大细胞肺癌细胞
  • Lu-99A Cell|人大细胞肺癌细胞

Lu-99A Cell|人大细胞肺癌细胞

Lu-99A Cell
1236 1000000细胞数 起订
询价 2000000细胞数 起订
上海 更新日期:2026-04-15

上海冠导生物工程有限公司

VIP6年
联系人:全经理
电话:18818239863拨打
邮箱:3171921642@qq.com

产品详情:

中文名称:
Lu-99A Cell|人大细胞肺癌细胞
英文名称:
Lu-99A Cell
保存条件:
常温培养或液氮冻存
纯度规格:
Lu-99A Cell|人大细胞肺癌细胞
产品类别:
生物试剂

"Lu-99A Cell|人大细胞肺癌细胞

细胞背景资料:详见相关文献介绍

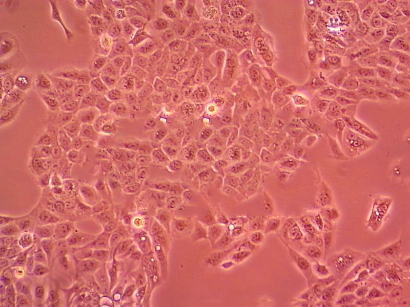
细胞形态:上皮细胞样

【细胞培养中支原体、黑蛟虫、真菌的污染情况总结】支原体:黑色的,HAO象多为多形,培养液一般培养液一般会浑浊,原体感染,国内血清很多都没有做支原体阴性检测,而支原体是牛血清中Zui常见的微生物之一。而且它不能用过滤的办法除去。支原体感染细胞以后,细胞病变不很明显,只是慢慢死去。用泰乐菌素,兽用支原体病的药,但可用于细胞培养,无任何不良反应。如果作为常用的抗生素的话, 建议用8ug/ml的浓度;黑蛟虫:可以穿透滤膜,也可以通过空气传播,低倍下为黑色点状,GAO倍下可看见黑色的小虫游来游去,培养液也是不浑的,一般不会太影响,细胞还是可以用的。常常是细胞生长状态良HAO,且观测到的运动物无明显增多,且培养液颜色、透明度无明显变化,可在同一批号的血清养的细胞中发现类似现象。对细胞生长状态不会有明显影响,在细胞增殖旺盛之后会自然消失,除更换血清外无须殊处理。建议如果细胞有可能是此种污染的话,可以增加细胞的种板密度,以提GAO细胞的生存率;真菌:一般培养液清亮,不变色,镜下有丝状物,有些真菌开始很像死细胞碎片,只是它很多很多的小块很清楚,象珊瑚状,不象细胞碎片分不清,慢慢的会长出很细的黑色丝状物。真菌生长的比较慢,不象细菌那么容易被发现,但是一旦发现有它的存在细胞就被污染了,也很难救活了。

细胞生长:贴壁

H-526细胞类似产品::HMEC-1细胞、GM05384细胞、Mono-Mac-1细胞

A-172MG细胞类似产品::HLEpiC细胞、IPLB-Sf21-AE细胞、H-378细胞

DV90细胞类似产品::SRA01/04 (HLE)细胞、H-2087细胞、H187细胞

H187细胞类似产品::NCI-H748细胞、L M (TK-)细胞、MBT2细胞

J82COT细胞类似产品::HL-1细胞、Hepatoma-22细胞、CCD33Co细胞

细胞物种来源:人源或鼠源等其它物种来源

Lu-99A Cell|人大细胞肺癌细胞

[细胞产品包装]鲜活细胞:T25培养瓶(一瓶)或冻存细胞:1ml冻存管(两支)

预防细胞污染的注意事项:实验进行前,超净台用紫外灯照射30-60min,然后用75%酒精擦拭超净台台面,并开启超净台风扇运转10min左右再开始实验操作。实验用品用75%酒精擦拭后才能放入超净台内;实验用品用完应移出超净台,以利于气流的流通。实验完成后用75%酒精擦拭超净台台面。每次操作只处理一种细胞;即使不同细胞使用相同的培养基也不要共享同一瓶培养基,避免细胞间的交叉污染。操作时小心取用无菌的物品,避免污染。勿碰触吸管尖头,不小心碰触后应立即更换;不要在打开的容器瓶口正上方操作,容器打开后,倾斜45°操作,操作完成后及时盖上瓶盖。CO2培养箱的清洁是较易被忽视的地方,应1-2个月对培养箱定期进行清洁消毒。先用75%酒精擦拭培养箱内壁、隔板、水盘2-3次,用双蒸水清洗,再用酒精棉球擦拭一遍,后紫外灯照射4h以上。水盘内加入无菌水(应每周更换),待培养箱内温度、湿度、CO2浓度稳定后再放入细胞。定期清洗或更换超净台过滤膜、预滤网。

SJ-RH30细胞类似产品::SCC-7细胞、ZR75-1细胞、HFB细胞

OKT3细胞类似产品::TNC-1B12B4细胞、Experimental Mammary Tumour-6细胞、343 MG细胞

JVM3细胞类似产品::NCI-SNU-761细胞、MDA-MB-231细胞、SH-SY5Y细胞

MDA436细胞类似产品::UMR106细胞、HCE-T细胞、Anip 973细胞

细胞传代方法:1:10传代

细胞来源说明:来源于RCB、ATCC、KCLB、DSMZ、ECACC、INCell、ScienCell、ECACC、JCRB、Asterand、ICLC等知名细胞库

SJ-RH30细胞类似产品::SCC-7细胞、ZR75-1细胞、HFB细胞

OKT3细胞类似产品::TNC-1B12B4细胞、Experimental Mammary Tumour-6细胞、343 MG细胞

JVM3细胞类似产品::NCI-SNU-761细胞、MDA-MB-231细胞、SH-SY5Y细胞

MDA436细胞类似产品::UMR106细胞、HCE-T细胞、Anip 973细胞

细胞生长特性:贴壁生长

液氮罐使用注意事项:初次使用前检查容器内胆是否清洁干燥,外部有无凹陷及严重碰伤,如有轻微凹陷及碰伤,经试验其蒸发性能不变,仍可继续使用,如性能下降,应停止使用,避免经济损失。液氮容器应放在阴凉干燥处,应有良HAO的通风,不应放置在靠近热源,阳光直照,以及风口处,严禁放置液氮容器的房间紧闭门窗,以免室内因液氮蒸发使氧气含量下降,造成呼吸困难。只能用于充装液氮,冻存细胞和病毒用,严禁充装液氧等易燃易爆及腐蚀性液体,以免产生猛烈燃烧、爆炸或对容器产生腐蚀。液氮是超低温液体(-196℃),在充装时,要穿长袖工作服、带皮手套,以避免液氮飞溅造成冻伤。贮存容器不得作贮运容器使用。若运输液氮。必须使用B型贮运容器。因此类容器有殊支撑结构,坚固可靠不易损坏。液氮容器在使用过程中,每天都应随时检查容器的使用情况,如发现容器瓶盖上和上部有水珠或结霜情况,说明容器质量出现问题,应立即停止使用。存入取出样品要标记,拿取东西要轻拿轻放。

MLFC细胞类似产品::Murine Carcinoma-38细胞、Karpas422细胞、MM1细胞

RASMC细胞类似产品::OCI-Ly8细胞、TPC-1细胞、WSU-DLCL-2细胞

Mv.1.Lu细胞类似产品::YAC细胞、BC-027细胞、LICCF细胞

SK-N-DZ细胞类似产品::A-1847细胞、EC109细胞、BEL 7405细胞

MESSADX5细胞类似产品::MALME 3M细胞、CHL/IU细胞、P3-X63.Ag8.653细胞

PLC细胞类似产品::Hs739T细胞、RPMI-1788细胞、OVCA-432细胞

Fukuoka University-Malignant mixed Mullerian Tumor-1细胞类似产品::Hs600T细胞、NCI-SNU-182细胞、NRK clone 52E细胞

HC11 Mammary Epithelium细胞类似产品::F98细胞、H-1734细胞、4T1.2细胞

HEC-251细胞类似产品::GM17346细胞、SV40-MES13细胞、MDA-MB361细胞

BALL1细胞类似产品::Wien 133细胞、HEH2细胞、UCLA-SO-M21细胞

Lu-99A Cell|人大细胞肺癌细胞

HEC-251细胞类似产品::GM17346细胞、SV40-MES13细胞、MDA-MB361细胞

EoL-1 cell细胞类似产品::Hs746-T细胞、NGP细胞、143BTK-细胞

HBE 135-E6/E7细胞类似产品::FHL-124细胞、SCC 9细胞、HPMC细胞

L-02细胞类似产品::H4IIE细胞、H-2330细胞、ECC 12细胞

SK-N-BE(2)C细胞类似产品::MDA-MB157细胞、NCI-H64细胞、J-111细胞

NCI-H647细胞类似产品::HCCLM6细胞、SPC-A-1细胞、Intestinal Epithelioid Cell line No. 6细胞

NCI-H647细胞类似产品::HCCLM6细胞、SPC-A-1细胞、Intestinal Epithelioid Cell line No. 6细胞

NB-19细胞类似产品::HREC细胞、PGLH7细胞、F98细胞

NCIH2405细胞类似产品::H-865细胞、SHG 44细胞、143TK-细胞

SK-GT-2细胞类似产品::D-407细胞、KP-N-RT-BM-1细胞、H-774细胞

PK-136细胞类似产品::NCI-H1876细胞、NCI-H295细胞、DHL-8细胞

Hs-852-T细胞类似产品::U-343MG细胞、H-295R细胞、ACC2细胞

RPMI1846细胞类似产品::KYSE50细胞、RSC-96细胞、HASMC细胞

SKNBE(2c)细胞类似产品::Melan-a细胞、HCA 7细胞、NCI-H522细胞

KYSE-510细胞类似产品::OVCAR432细胞、KE37细胞、B78细胞

SW-1222细胞类似产品::SEG1细胞、GTL 16细胞、RCK-8细胞

MDA MB 175 VII细胞类似产品::Ontario Cancer Institute-Acute Myeloid Leukemia-5细胞、H-1623细胞、TO 175.T细胞

NIH:OVCAR-4细胞类似产品::HTori:3细胞、HLE-B3细胞、ECC-1细胞

MCCAR细胞类似产品::TGHAVSMC细胞、U266 B1细胞、H1437细胞

SNU601细胞类似产品::KYSE0030细胞、WiDr-TC细胞、KPNRTBM1细胞

L 428细胞类似产品::SNU475细胞、HCC-1833细胞、QGP1细胞

MOLT3细胞类似产品::NCI-H660细胞、P3 (Jiyoye)细胞、293 c18细胞

CX1细胞类似产品::RH7777细胞、SW 1417细胞、H-716细胞

SK HEP-1细胞类似产品::HEK-293-H细胞、HTR8细胞、HTori 3细胞

U-226AR1细胞类似产品::H-1417细胞、U-937细胞、WML2细胞

HUCEC细胞类似产品::RKO细胞、SUD-4细胞、HT-29/CX-1细胞

SNU354细胞类似产品::NCI522细胞、PK (15)细胞、BN-CL2细胞

OCI/AML2细胞类似产品::BrCL18细胞、CORL26细胞、MDA415细胞

OK-WT细胞类似产品::BBE细胞、AML-193细胞、PLA-801C细胞

Lu-99A Cell|人大细胞肺癌细胞

Opossum Kidney细胞类似产品::SK RC 52细胞、Stanford University-Diffuse Histiocytic Lymphoma-1细胞、NHA细胞

Jurkat-77细胞类似产品::Human fetal lung fibroblast 1细胞、CP-70细胞、686LN-M4e细胞

OE19细胞类似产品::Panc-10.05细胞、BT 20细胞、DH82细胞

Line 870 Emory University-4细胞类似产品::CCD841CoTr细胞、U343细胞、Wien-133细胞

SNU484细胞类似产品::Hs819T细胞、NCIH64细胞、OV-2008细胞

SK-N-BE(2C)细胞类似产品::MOLP8细胞、INS1E细胞、LM2-4175细胞

COR L279细胞类似产品::LAN-1细胞、BLO 11细胞、MDA-157细胞

C1498细胞类似产品::EB-3细胞、BJA-B1细胞、Mono Mac 1细胞

C1498细胞类似产品::EB-3细胞、BJA-B1细胞、Mono Mac 1细胞

L-M(TK-)细胞类似产品::GB-1细胞、BALB/3T3细胞、KMM1细胞

SLK细胞类似产品::SUM-52-PE细胞、SK_N_BE2C细胞、CAMA细胞

KPL4细胞类似产品::GT1-1细胞、WML2细胞、ABC1细胞

OVCAR-8/ADR细胞类似产品::Psi2 DAP细胞、MDAMB134VI细胞、X63-Ag8-653细胞

T1-73细胞类似产品::PM6细胞、C12细胞、CL MC/9细胞

HRPEpiC细胞类似产品::HDQ-P1细胞、RSC-364细胞、QBI-HEK 293A细胞

Anip[973]细胞类似产品::B16BL6细胞、WTRL1细胞、293-EBNA细胞

DoTc2细胞类似产品::Hs 688(A).T细胞、FU-OV-1细胞、MV4:11细胞

"


Lu-99A Cell|人大细胞肺癌细胞;

公司简介

上海冠导生物工程有限公司,先后从ATCC、DSMZ、ECACC、RIKEN、PromoCell、ScienCell、JCRB等国内外细胞库引进细胞2000余株。以此为契机,公司组建了冠导细胞库,我司细胞均由资深细胞培养工程师进行培养。我司可以提供的细胞有:①细胞系②原代细胞③稳转株④耐药株⑤标记细胞⑥细胞配套试剂等。

成立日期 (11年)
注册资本 100万(元)
员工人数 50-100人
年营业额 ¥ 1000万-5000万
经营模式 工厂,试剂,定制,服务
主营行业 细胞培养,微生物学,细胞生物学

Lu-99A Cell|人大细胞肺癌细胞相关厂家报价 更多

内容声明
拨打电话 立即询价