基本信息 产品详情 公司简介 推荐产品
网站主页 KYSE-30 CELL<人食道癌细胞系> KYSE-30 Cell|人食道癌细胞
  • KYSE-30 Cell|人食道癌细胞

KYSE-30 Cell|人食道癌细胞

KYSE-30 Cell
询价 1000000细胞数 起订
2000000细胞数 起订
上海 更新日期:2026-04-08

上海冠导生物工程有限公司

VIP6年
联系人:全经理
电话:18818239863拨打
邮箱:3171921642@qq.com

产品详情:

中文名称:
KYSE-30 Cell|人食道癌细胞
英文名称:
KYSE-30 Cell
保存条件:
常温培养或液氮冻存
纯度规格:
KYSE-30 Cell|人食道癌细胞
产品类别:
生物试剂

"KYSE-30 Cell|人食道癌细胞

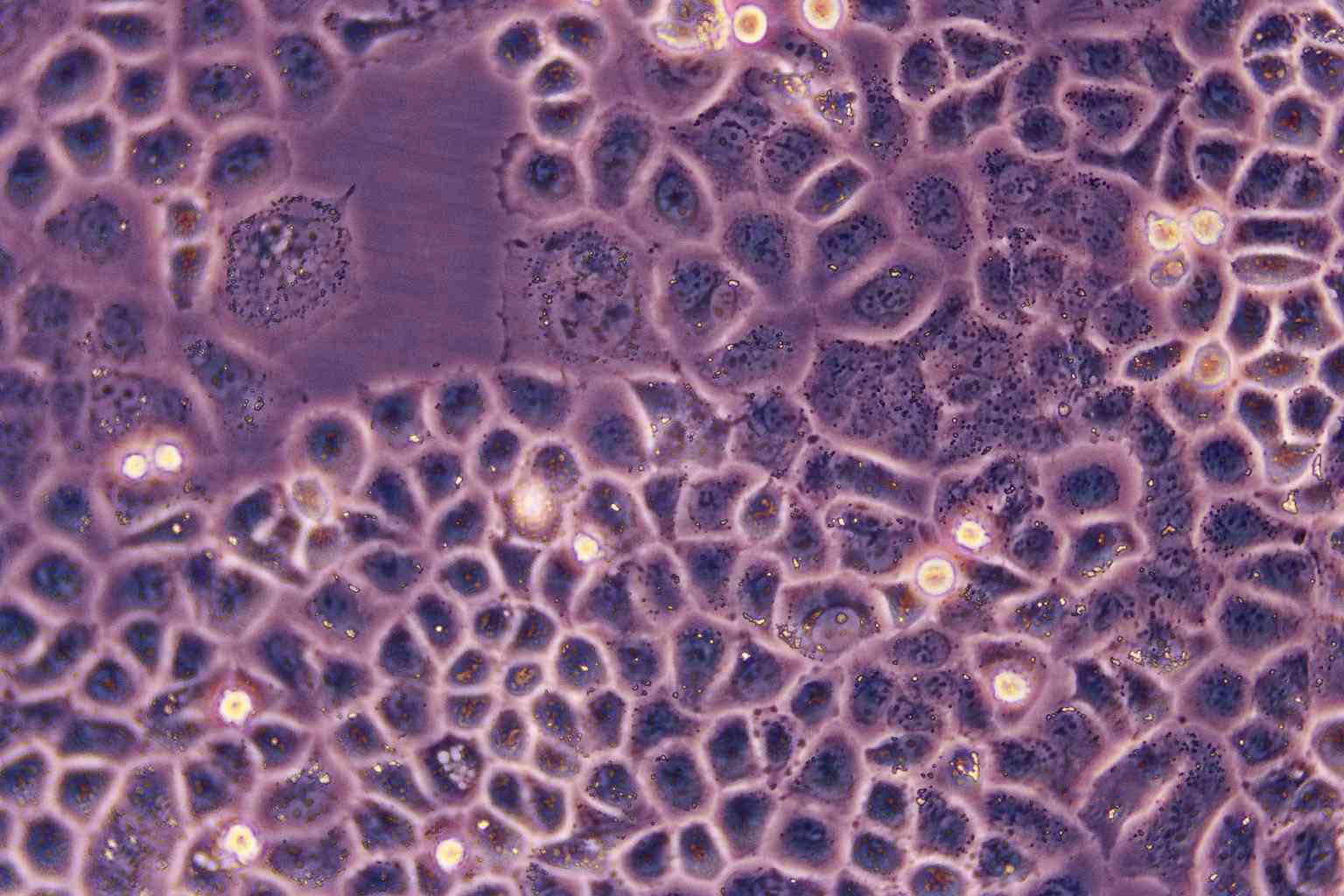
细胞背景资料:来源于一位64岁,患有高分化的中段食管鳞癌的男性患者。

细胞形态:上皮细胞样

解冻细胞出现大量细胞碎片的可能原因及推荐解决方案如下:1)冷冻时细胞密度过低:推荐的解决方案:缩短解冻过程中的时间。将细胞取出后,立即将冻存管浸入在37℃的水浴中,并震荡至全部融化,然后迅速地转移到预热的培养基中;2)不适当的冷冻过程:推荐的解决方案:解冻不同冷冻室总的试管。确保在冻存过程中采用的适当的技术,并确保使用了适量和适合的冷冻液。出现生长缓慢的可能原因及推荐解决方案如下:1)培养瓶的大小:一般解决方案是一些细胞在培养基中倾向于维持一定的密度。将培养物转移到较小的培养瓶中,使细胞密度上升;如,根据培养基的体积,从T75培养瓶转移到2或3个T25培养瓶中;2)细胞密度过低:通常解决方案是提GAO未来冷冻物种细胞的冻存密度,或使用较小的培养容器,或解冻多个试管来进行培养。

细胞生长:贴壁

OC316细胞类似产品::COLO320HSR细胞、WEHI-279细胞、Human Embryo Kidney-2细胞

Uhth-74细胞类似产品::HOS (TE85, Clone F5)细胞、U266B1细胞、LS-174细胞

E0771细胞类似产品::Human Corneal Epithelial cells-Transformed细胞、SKLMS-1细胞、alpha-TC1-6细胞

B16/BL6细胞类似产品::ketr 3细胞、KYSE 30细胞、Leukemic 1210细胞

H446细胞类似产品::TCC Sup细胞、YAC-1细胞、HDSMC细胞

细胞物种来源:人源或鼠源等其它物种来源

KYSE-30 Cell|人食道癌细胞

[细胞产品包装]鲜活细胞:T25培养瓶(一瓶)或冻存细胞:1ml冻存管(两支)

细胞培养更HAO经验详解:1)收到细胞,首先要镜检:观察细胞形态是否正常,对于贴壁细胞则要注意看贴壁情况是否很HAO,观察细胞密度,有疑议及时咨提供细胞的技术人员。 由于运输的时间或者温度的变化,很多贴壁细胞在盛满培养基的瓶子里生长的状态和平时会有点不一样,主要是贴壁牢固问题。比如293T,平时贴壁就不是很牢,在装满的培养基瓶子里面,会发生大片的脱落,细胞聚集在一起,但是细胞生长还是正常的,通过离心收集,加以胰酶的消化,重新打散,又可以正常的贴壁生长。2)当通过上一步的观察,细胞初步没有问题时,进行下一步操作。当收到的细胞密达到80%左右时,则处理如下:弃除瓶中大部分培养基,仅保留5到10mL培养所需的常规培养基;或更换新鲜的培养基,置于培养箱中,随后每天观察。 细胞在低于正常生长温度情况下,会调整为静止期,或者慢速生长期,恢复37度的环境至少3个小时左右,才能重新调整到接近对数生长期的状态,在对数生长期进行细胞的传代会大大增加传代的成功率,和细胞的存活率。3)如果经步观察发现细胞密度超过90%,并且细胞状态很HAO时,则复温后2个小时需要立即传代。传代的比例应依据不同的细胞而定。对于生长比较快,状态稳定,不易受外界影响的细胞可以一次多传几瓶;对于生长较慢,细胞比较薄,状态容易波动的细胞类型,一次少传些,每瓶细胞密度大些,便于稳定生长。至于一些比较陌生的细胞,次处理也可以依照第二种情况。

LS123细胞类似产品::HS-68细胞、A-172 MG细胞、HSMC细胞

hTERTHME1细胞类似产品::SK-MEL-3细胞、PaCa2细胞、LY-R细胞

LY细胞类似产品::H7721细胞、H35 Reuber细胞、Karpas-422细胞

32D:cl3细胞类似产品::Farage OL细胞、LS174细胞、HepG2/C3A细胞

细胞传代方法:1:2-1:3传代;每周换液2-3次。

细胞来源说明:来源于RCB、ATCC、KCLB、DSMZ、ECACC、INCell、ScienCell、ECACC、JCRB、Asterand、ICLC等知名细胞库

LS123细胞类似产品::HS-68细胞、A-172 MG细胞、HSMC细胞

hTERTHME1细胞类似产品::SK-MEL-3细胞、PaCa2细胞、LY-R细胞

LY细胞类似产品::H7721细胞、H35 Reuber细胞、Karpas-422细胞

32D:cl3细胞类似产品::Farage OL细胞、LS174细胞、HepG2/C3A细胞

细胞生长特性:贴壁

液氮罐使用注意事项:初次使用前检查容器内胆是否清洁干燥,外部有无凹陷及严重碰伤,如有轻微凹陷及碰伤,经试验其蒸发性能不变,仍可继续使用,如性能下降,应停止使用,避免经济损失。液氮容器应放在阴凉干燥处,应有良HAO的通风,不应放置在靠近热源,阳光直照,以及风口处,严禁放置液氮容器的房间紧闭门窗,以免室内因液氮蒸发使氧气含量下降,造成呼吸困难。只能用于充装液氮,冻存细胞和病毒用,严禁充装液氧等易燃易爆及腐蚀性液体,以免产生猛烈燃烧、爆炸或对容器产生腐蚀。液氮是超低温液体(-196℃),在充装时,要穿长袖工作服、带皮手套,以避免液氮飞溅造成冻伤。贮存容器不得作贮运容器使用。若运输液氮。必须使用B型贮运容器。因此类容器有殊支撑结构,坚固可靠不易损坏。液氮容器在使用过程中,每天都应随时检查容器的使用情况,如发现容器瓶盖上和上部有水珠或结霜情况,说明容器质量出现问题,应立即停止使用。存入取出样品要标记,拿取东西要轻拿轻放。

SKml2细胞类似产品::P3/X63-Ag8细胞、C-32细胞、MOLM16细胞

A2780CP细胞类似产品::SNK6细胞、HRIF细胞、H508细胞

NRK细胞类似产品::DC2.4细胞、Sp2/O-Ag14细胞、NCTC-3960细胞

MCMEC细胞类似产品::IB-RS2细胞、HUT28细胞、PC-3/M细胞

SNU761细胞类似产品::NCIH1694细胞、H1755细胞、Bac 1.2F5细胞

LS1034细胞类似产品::NRK-52E细胞、NCL-H548细胞、SK-N-F1细胞

L-428细胞类似产品::NBLS细胞、SKGIIIA细胞、SNU-638细胞

GM05887A细胞类似产品::MDCK Type II细胞、H2196细胞、CORL51细胞

CTLL2细胞类似产品::HeLa-S3细胞、CCRF SB细胞、NCI-H125细胞

CCC-HEL-1细胞类似产品::SF763细胞、MDA.MB.231细胞、WM-266-mel细胞

KYSE-30 Cell|人食道癌细胞

PANC0403细胞类似产品::L-540细胞、RGE细胞、A704细胞

OCI-Ly 10细胞类似产品::IEC 18细胞、HLE B-3细胞、WILL-2细胞

SK-N-BE-2细胞类似产品::ID8/MOSEC细胞、BpRc1细胞、SK-CO-1细胞

NR 8383细胞类似产品::RH-30细胞、SF 539细胞、PLC8024细胞

NCI-H647细胞类似产品::HCCLM6细胞、SPC-A-1细胞、Intestinal Epithelioid Cell line No. 6细胞

ECV-304细胞类似产品::National Medical Center-Glioma 1细胞、F56 [Human neoplasm]细胞、SDBMSC细胞

ECV-304细胞类似产品::National Medical Center-Glioma 1细胞、F56 [Human neoplasm]细胞、SDBMSC细胞

IOSE 29细胞类似产品::293-EBNA1细胞、F442A细胞、Hx147细胞

WM266mel细胞类似产品::Hepatoma-22细胞、HEK-293细胞、CEMC1细胞

COLO-320-DM细胞类似产品::GEO细胞、KYSE-520细胞、SW1353细胞

T-47-D细胞类似产品::BTI-TN5B1-4细胞、Panc_08_13细胞、KMST6细胞

IMR 90细胞类似产品::SNU-398细胞、SCLC-21H细胞、Sp2/mIL-6细胞

VMCUB1细胞类似产品::H-508细胞、CEMC1细胞、PANC0403细胞

TH1细胞类似产品::A9(Hamprecht)细胞、Large Cell Lung Cancer-103H细胞、SC1细胞

RT4-D6P2T细胞类似产品::Jiyoye(P-2003)细胞、IAR 20细胞、QSG-7701细胞

THP 1细胞类似产品::HUT-226细胞、C2C12细胞、KMS-26细胞

RIMEC细胞类似产品::AKR细胞、H-2081细胞、H8细胞

ECC 10细胞类似产品::LC1-Sq细胞、HCC-2218细胞、HEEpiC细胞

HNE3细胞类似产品::GM04678细胞、KYSE-410细胞、LM-TK-细胞

B16-F10细胞类似产品::Sp2/mIL-6细胞、HEK293-A细胞、EU-4细胞

SJRH-30细胞类似产品::MC3T3-E1 Subclone 14细胞、746T细胞、SuDHL 4细胞

FK81细胞类似产品::TK-10细胞、DMS53细胞、A375SM细胞

KYSE-270细胞类似产品::MCA 38细胞、NCI-H2108细胞、GM02132C细胞

NE1-E6E7细胞类似产品::SNU668细胞、H-1105细胞、MOLT 4细胞

UCLA-SO-14细胞类似产品::NCI-H650细胞、HDSMC细胞、H-711细胞

CoCL3细胞类似产品::H1355细胞、H2228细胞、T-ALL1细胞

HSAEC1-KT细胞类似产品::SW-403细胞、Duke University 4475细胞、H-1623细胞

CAL-27细胞类似产品::CAL-51细胞、My-La 2059细胞、NCI-747细胞

H-510A细胞类似产品::HUT28细胞、Line 207细胞、McCoy细胞

KYSE-30 Cell|人食道癌细胞

SW-900细胞类似产品::HD11细胞、Hs68细胞、AMO1细胞

Ha Fe细胞类似产品::HCC1008细胞、AN3CA细胞、OVCAR.8细胞

As-PC1细胞类似产品::MDA-MB-435-S细胞、U373细胞、L5178Y TK+/- (clone 3.7.2C)细胞

U-373MG细胞类似产品::Astrocyte type I clone细胞、FU-97细胞、DoTc2 4510细胞

MeSoTheliOma-211H细胞类似产品::BIU-87细胞、Instituto Biologico-Rim Suino-2细胞、SU-DHL-1细胞

BALL1细胞类似产品::Wien 133细胞、HEH2细胞、UCLA-SO-M21细胞

MM1.S细胞类似产品::TKB1细胞、LM8细胞、V-79细胞

HFT8810细胞类似产品::MV 3细胞、Bac12F5细胞、CCD1095Sk细胞

BE2M17细胞类似产品::LLC-PK-1细胞、KU 19-19细胞、Ketr-3细胞

EHEB细胞类似产品::KYSE-270细胞、SK-N-DZ细胞、Rh30细胞

CL34细胞类似产品::HuP-T4细胞、RCCJF细胞、OCI AML3细胞

HOS(TE85)细胞类似产品::HAVSMC细胞、NCI-841细胞、NCIH2347细胞

TMD8细胞类似产品::UMNSAH/DF-1细胞、H-1915细胞、SNU387细胞

3T3-J2细胞类似产品::Potorous tridactylus Kidney 1细胞、C-127细胞、VK2细胞

BE2-M17细胞类似产品::COLO680N细胞、CDC/EU.HMEC-1细胞、SW1222细胞

MCF7细胞类似产品::CHG5细胞、GES-1细胞、L132细胞

QSG7701细胞类似产品::SKUT-1细胞、CCRF-SB细胞、PGBE1细胞

"


KYSE-30 Cell|人食道癌细胞;

公司简介

上海冠导生物工程有限公司,先后从ATCC、DSMZ、ECACC、RIKEN、PromoCell、ScienCell、JCRB等国内外细胞库引进细胞2000余株。以此为契机,公司组建了冠导细胞库,我司细胞均由资深细胞培养工程师进行培养。我司可以提供的细胞有:①细胞系②原代细胞③稳转株④耐药株⑤标记细胞⑥细胞配套试剂等。

成立日期 (11年)
注册资本 100万(元)
员工人数 50-100人
年营业额 ¥ 1000万-5000万
经营模式 工厂,试剂,定制,服务
主营行业 细胞培养,微生物学,细胞生物学

KYSE-30 Cell|人食道癌细胞相关厂家报价

内容声明
拨打电话 立即询价