基本信息 产品详情 公司简介 推荐产品
网站主页 HELA 229 CELL<人宫颈癌细胞系> HeLa 229 Cell|人宫颈癌细胞
  • HeLa 229 Cell|人宫颈癌细胞

HeLa 229 Cell|人宫颈癌细胞

HeLa 229 Cell
询价 1000000细胞数 起订
2000000细胞数 起订
上海 更新日期:2026-04-21

上海冠导生物工程有限公司

VIP6年
联系人:全经理
电话:18818239863拨打
邮箱:3171921642@qq.com

产品详情:

中文名称:
HeLa 229 Cell|人宫颈癌细胞
英文名称:
HeLa 229 Cell
保存条件:
常温培养或液氮冻存
纯度规格:
HeLa 229 Cell|人宫颈癌细胞
产品类别:
生物试剂

"HeLa 229 Cell|人宫颈癌细胞

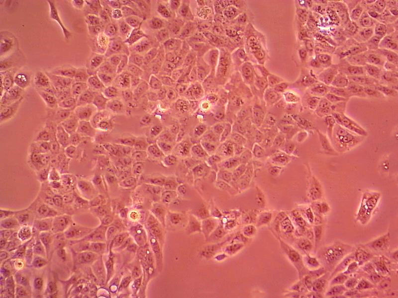
细胞背景资料:宫颈癌;女性

细胞形态:上皮细胞样

传代培养及其操作步骤:原代细胞培养成功以后,需要进行分离培养,否则细胞会因生存空间不足或密度过大,营养障碍,影响细胞生长。细胞由原培养瓶内分离稀释后传到新的培养瓶中培养的过程称之为传代培养。传代细胞允许培养的细胞扩增(形成细胞株),可以进行细胞克隆,易于保存,但可能丧失一些殊的细胞和分化征。传代细胞形成细胞株的Zui大利处在于提供了大量持久的实验材料,便于实验。【操作步骤】1)吸掉或倒掉培养瓶内旧培养液;2)向瓶内加入胰蛋白酶液和EDTA混合液少量。以能覆盖培养瓶底为宜;3)置37℃孵箱或室温(25℃温度)下进行消化,2~5min后把培养瓶放在倒置显微镜下进行观察,当发现胞质回缩、细胞间隙增大后,应立即中止消化;4)吸出消化液,向瓶内加入Hanks液少量,轻轻转动培养瓶,把残留消化液冲掉,然后再加培养液。如果仅使用胰蛋白酶消化,在吸除胰蛋白液后,可直接加入少量含血清的培养液,终止消化;5)使用弯头吸管,吸取瓶内培养液,按顺序反复轻轻吹打瓶壁细胞,使之从瓶壁脱离形成细胞悬液。吹打时动作要轻柔,以防用力过猛损伤细胞;6)用计数板计数后,分别接种于新的培养瓶中,置CO2培养箱中进行培养;7)细胞培养换液时间应根据细胞生长的状态和实验要求来确定。一般2~3d后应换一次生长液。待细胞铺满器皿底面,即可使用;也可继续传代扩大培养或换成维持液。【注意事项】1)掌握HAO细胞消化的时间,消化时间过短时,细胞不宜从瓶壁脱落,过长的消化会导致细胞脱落、损伤;2)掌握HAO消化浓度,当消化液浓度过GAO时,消化时间应缩短,过低时细胞消化时间相对延长。

细胞生长:贴壁

HOS-TE85细胞类似产品::SkMel31细胞、MS1细胞、OCI/AML-4细胞

SL1细胞类似产品::Cates-1B细胞、OVCAR.3细胞、B-cell Acute Lymphoblastic Leukemia-1细胞

H-1568细胞类似产品::HKC细胞、Co 205细胞、MDA-436细胞

Fox/NY细胞类似产品::ZR751细胞、H-209细胞、JCA1细胞

H510A细胞类似产品::32D.3细胞、A-375SM细胞、NCI-H1355细胞

细胞物种来源:人源或鼠源等其它物种来源

HeLa 229 Cell|人宫颈癌细胞

[细胞产品包装]鲜活细胞:T25培养瓶(一瓶)或冻存细胞:1ml冻存管(两支)

细胞培养时分布不均匀,通常操作步骤:做细胞生物学实验,细胞铺板大概是我们Zui常见的一个实验。但有时候铺得不是很均匀:要么中间密周围稀,要么周围密中间秃。下面为大家分享几点经验。尽量消化细胞分散成单细胞悬液。对于易于消化的细胞,我一般DPBS清洗一遍,加0.5ml胰酶润洗一遍(25cm2培养瓶或6孔板),弃掉胰酶,37度消化2-3分钟或室温消化5min左右,镜下观察是否细胞消化较为分散。如果不够,延长消化时间。96孔板一般以100微升每孔接种,直接用100微升移液器吸取细胞悬液,沿孔壁(稍离开一点孔底即可,不要离底太GAO)直接接入,移液器不需完全打到Zui大,轻轻按下即可,每铺完一行换一次枪头同时轻轻混匀细胞悬液。都加完后盖上盖子,左手轻轻扶住板的左边,右手轻轻敲击板的右边缘,注意把握力度(我一般轻巧敲三下),太强或次数太多会导致细胞集中成堆,将板顺时针旋转(逆时针效果不HAO),依次敲击剩余三个边,静置约5分钟,放入37度培养箱。6孔板、12孔板或24孔板,可采用将每个孔加入少量无血清培养基,晃动浸润整个孔底,然后用移液枪吸至第二孔,同样方法浸润孔底,其它孔依此类推,这样整个孔底都是湿润的,细胞悬液会平铺在整个孔底,注意加完细胞悬液后要放工作台静置一下。这个方法就是有点慢,但操作熟练了也不慢。也可以采用轻拍的方式,但力度没有96孔板HAO掌握,效果没有96孔板HAO。培养瓶里面加HAO细胞以后(比如传代HAO/分HAO细胞以后),先顺时针摇晃3次,马上逆时针摇晃3次。然后延X轴Y轴分别水平摇动3次。放入CO2培养箱后,平放着培养瓶重复延X轴Y轴分别水平摇动3次。

AdHek细胞类似产品::BHT101细胞、WPE-int细胞、Hs 766细胞

MIA-PaCa-2细胞类似产品::Dakiki细胞、HSC3细胞、HCPEpiC细胞

LAD-2细胞类似产品::293FT细胞、PLC-PRF-5细胞、TB1 Lu细胞

NRK 49F细胞类似产品::MCA205细胞、YAC-1细胞、T-CAM2细胞

细胞传代方法:1:2-1:3传代;每周换液2-3次。

细胞来源说明:来源于RCB、ATCC、KCLB、DSMZ、ECACC、INCell、ScienCell、ECACC、JCRB、Asterand、ICLC等知名细胞库

AdHek细胞类似产品::BHT101细胞、WPE-int细胞、Hs 766细胞

MIA-PaCa-2细胞类似产品::Dakiki细胞、HSC3细胞、HCPEpiC细胞

LAD-2细胞类似产品::293FT细胞、PLC-PRF-5细胞、TB1 Lu细胞

NRK 49F细胞类似产品::MCA205细胞、YAC-1细胞、T-CAM2细胞

细胞生长特性:贴壁

经过40-50次分裂的渡过第二次死亡危机的细胞,称之为细胞系。如细胞系的生存期有限,则称之为有限细胞系(FiniteCellLine);已获无限繁殖能力的细胞系,称连续或无限细胞系(InfiniteCellLine)。无限细胞系大多已发生异倍化,具异倍体核型,可能成为恶性细胞,因此本质上已是发生转化的细胞系。无限细胞系有永生性(不死性),但仍保留接触抑制和无异体接种致死;有的有永生性,异体接种有致瘤性,说明已恶性化。由某一细胞系分离出来的、在性状上与原细胞系不同的细胞系,称亚系(Subline)。这是现有细胞系中多的一类,中国已建细胞系主要为这类细胞。肿瘤细胞系多由癌瘤建成,多呈类上皮型细胞,常已传几十代或百代以上,并具有不死性和异体接种致瘤性,丧失接触抑制能力。对已建成的各种细胞系或细胞株习惯上都给以名称;细胞的命名无严格统一规定,大多采用有一定意义缩写字或代号表示。但不论什么形式,均不宜太长,以便记忆和了解。

ML2细胞类似产品::HARA-B细胞、H-526细胞、SGC996细胞

NCI-H378细胞类似产品::WRL-68细胞、RC-4B细胞、KHYG细胞

BJA-B-1细胞类似产品::GES1细胞、OVCAR-10细胞、SLMT-1细胞

M619细胞类似产品::H498细胞、PC-10细胞、UM-RC-2细胞

PANC-02-03细胞类似产品::HEK-293-EBNA细胞、MSTO211H细胞、MeWo细胞

Caco2BBe细胞类似产品::Tn-5B1-4细胞、OVCAR4细胞、LS174T细胞

HCC0070细胞类似产品::NCIH1395细胞、TO 175.T细胞、DHL-16细胞

OCLY8细胞类似产品::PF-382细胞、Hs940T细胞、U251MG细胞

NBL-3细胞类似产品::RL952细胞、H-2085细胞、WSUDLCL2细胞

NTC-200细胞类似产品::Panc-05.04细胞、MDAMB-231细胞、K7M2 wt细胞

HeLa 229 Cell|人宫颈癌细胞

NS20Y细胞类似产品::MA-782细胞、bEnd.3[BEND3]细胞、Mc Coy细胞

OAW42细胞类似产品::EAC细胞、M210B4细胞、MDA-MB-175-VII细胞

Y3.AG.1.2.3细胞类似产品::Rat Fetal Lung-6细胞、MES-SA/Dx5细胞、TALL 1细胞

NK-92细胞类似产品::WPMY1细胞、CAL-62细胞、MDA-MB-361细胞

SKNBE2细胞类似产品::PGBE1细胞、C26细胞、DHL-2细胞

D324 Med细胞类似产品::HFL细胞、FHCRC-11细胞、PANC0504细胞

D324 Med细胞类似产品::HFL细胞、FHCRC-11细胞、PANC0504细胞

GM00637细胞类似产品::KYSE0410细胞、H847细胞、CTSC-3细胞

SW527细胞类似产品::R3/1细胞、P3/NS-1细胞、RCM-1 [Human rectum adenocarcinoma]细胞

H-2126细胞类似产品::A253细胞、VCaP细胞、Be Wo细胞

Ocular Choroidal Melanoma-1细胞类似产品::XuanWei Lung Cancer-05细胞、A375-SM细胞、CHP 212细胞

Colo741细胞类似产品::KYSE-410细胞、EnCa1细胞、TE671细胞

E6-1细胞类似产品::FRhK-4细胞、293 c18细胞、143 B细胞

AMJ2-C8细胞类似产品::ANA1细胞、CHO K1细胞、SGC 7901细胞

3LL细胞类似产品::HT-22细胞、PA-TU S细胞、SH-SY5Y Parental细胞

IMR 90细胞类似产品::SNU-398细胞、SCLC-21H细胞、Sp2/mIL-6细胞

NS1/1-Ag4.1细胞类似产品::JEG-3细胞、SW 839细胞、MCF-7ADR细胞

Mouse Podocyte Clone-5细胞类似产品::DSL-6A/C1细胞、HCEC-12细胞、U-251细胞

GBCSD细胞类似产品::Vx2细胞、IGROV细胞、Hs 274.T细胞

SRA01/04 (HLE)细胞类似产品::AMO-1细胞、SBC3细胞、3-LL细胞

GBCSD细胞类似产品::Vx2细胞、IGROV细胞、Hs 274.T细胞

NCI-H2444细胞类似产品::MPC-5细胞、NCI-H2009细胞、KPL4细胞

RA细胞类似产品::T47D细胞、NCIH2291细胞、MV522细胞

My-La 2059细胞类似产品::U-266 AR1细胞、H345细胞、MIMVEC细胞

HL-7702细胞类似产品::Ly3细胞、H508细胞、BPH1细胞

NCI H226细胞类似产品::Human Microvascular Endothelial Cell line-1细胞、HCC78细胞、BAR-T细胞

NCI-H128细胞类似产品::UO.31细胞、YTMLC-90细胞、GM03573A细胞

HEB细胞类似产品::KMS26细胞、H-847细胞、EB1细胞

2B4细胞类似产品::MOPC细胞、PK 15细胞、KY180细胞

HeLa 229 Cell|人宫颈癌细胞

NW-38细胞类似产品::Y3-Ag1.2.3细胞、BEAS-2B细胞、Mevo细胞

CT26-clone 25细胞类似产品::MRCV细胞、Hce8693细胞、SF 539细胞

RT4-D6-P2T细胞类似产品::CAKI.1细胞、H-2196细胞、AR-42J细胞

LC-1 sq细胞类似产品::CEM/C1细胞、NCI-H1618细胞、Bac1 2F5细胞

AR4IP细胞类似产品::D341 Med细胞、IEC 6细胞、SUDHL-16细胞

NHRF细胞类似产品::D-341 Med细胞、MB 157细胞、IOSE 29细胞

TE354.T细胞类似产品::S.B.细胞、HCC44细胞、RS1细胞

MN60细胞类似产品::COLO-679细胞、VMRCRCZ细胞、WISH细胞

MN60细胞类似产品::COLO-679细胞、VMRCRCZ细胞、WISH细胞

KYSE-410细胞类似产品::TE1细胞、SKMEL-1细胞、BTT739细胞

Japanese Tissue Culture-28细胞类似产品::HuH-28细胞、Pa18C细胞、Molm14细胞

Mhh-Call 2细胞类似产品::GP2-293细胞、RBVEC细胞、J 774A.1细胞

HTSMC细胞类似产品::LIM-1215细胞、Ej138细胞、HTori-3细胞

J774A.1细胞类似产品::32D:cl3细胞、UCLA-SO-14细胞、U-138-MG细胞

RSC-96细胞类似产品::SKRC-52细胞、769-P细胞、SUM 52PE细胞

H-1693细胞类似产品::3 LL细胞、Hs 274细胞、IHH4细胞

H-748细胞类似产品::Mel624细胞、MARC 145细胞、SK-RC 39细胞

"


HeLa 229 Cell|人宫颈癌细胞;

公司简介

上海冠导生物工程有限公司,先后从ATCC、DSMZ、ECACC、RIKEN、PromoCell、ScienCell、JCRB等国内外细胞库引进细胞2000余株。以此为契机,公司组建了冠导细胞库,我司细胞均由资深细胞培养工程师进行培养。我司可以提供的细胞有:①细胞系②原代细胞③稳转株④耐药株⑤标记细胞⑥细胞配套试剂等。

成立日期 (11年)
注册资本 100万(元)
员工人数 50-100人
年营业额 ¥ 1000万-5000万
经营模式 工厂,试剂,定制,服务
主营行业 细胞培养,微生物学,细胞生物学

HeLa 229 Cell|人宫颈癌细胞相关厂家报价

内容声明
拨打电话 立即询价