基本信息 产品详情 公司简介 推荐产品
网站主页 MA-104 CELL|猴胎肾细胞 MA-104 Cell|猴胎肾细胞
  • MA-104 Cell|猴胎肾细胞

MA-104 Cell|猴胎肾细胞

MA-104 Cell
询价 1000000细胞数 起订
2000000细胞数 起订
上海 更新日期:2026-04-11

上海冠导生物工程有限公司

VIP6年
联系人:全经理
电话:18818239863拨打
邮箱:3171921642@qq.com

产品详情:

中文名称:
MA-104 Cell|猴胎肾细胞
英文名称:
MA-104 Cell
保存条件:
常温培养或液氮冻存
纯度规格:
MA-104 Cell|猴胎肾细胞
产品类别:
生物试剂

"MA-104 Cell|猴胎肾细胞

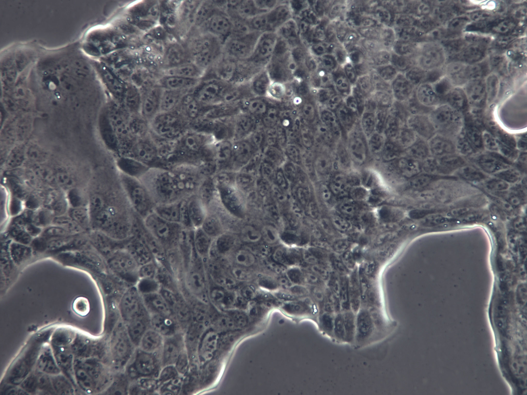
细胞背景资料:胚肾;自发永生

细胞形态:上皮细胞样

细胞接收操作说明:请仔细阅读本操作说明及相应的细胞说明书。本公司细胞发货有四种形式:T25培养瓶(一般是贴壁细胞使用,悬浮细胞也可以)、离心管(悬浮细胞使用多,当然,有些公司也会用这种离心管形式发贴壁细胞,但是,长期经验来说,贴壁细胞容易发生形态变化,估计是细胞培养空间狭小,血清不足导致(Zui主要是怕运输延误导致这些情况发生),个人不建议用离心管形式发贴壁细胞)及干冰(冻存细胞用,主要是冬天天气冷,温度低于4℃的地方,都要考虑冻存细胞)。T25培养瓶:是用T25细胞培养瓶直接发货的形式。收到细胞后,拆开包装T25培养瓶的自封袋,不拆封口膜,表面喷75%酒精消毒后显微镜观察细胞状态(有条件可以拍下此时细胞照片)。将细胞放入37度培养箱平衡两小时以上,再处理细胞。首先将T25中培养基取出装HAO备用,如细胞密度GAO于80%,可以直接消化传代,相反则加入5-6ml培养基放回培养箱继续培养即可。离心管:是用15ml离心管发货的形式,只用于悬浮细胞发货。收到细胞后消毒处理及将细胞放入37度培养箱平衡两小时以上,再处理细胞。首先将T25中培养基取出装HAO备用(如果实验室没有T25培养瓶,可以暂时T75培养瓶,加入10-15ml培养基,建议10ml培养基,也可以使用T175培养瓶,加入50-60ml培养基,培养瓶越大,需要的培养基越多。当然如果刚接收到细胞密度不够的话,ZuiHAO不用大瓶子,先用小瓶子养起来再换大的,不然会长得很慢,严重的,会导致细胞死亡等危险),平衡完成后,离心(1000rpm,3min)收集细胞,弃上清,用新的培养基重悬细胞并接种至培养瓶或皿中,放回培养箱继续培养。干冰:是用本公司冻存液冻存细胞后,直接用干冰将冻存的细胞冷冻发货的形式。收到细胞后按照细胞复苏的步骤操作即可。

细胞生长:贴壁

SKES1细胞类似产品::Madison 109细胞、Hs819.T细胞、HONE1细胞

SkChA1细胞类似产品::REC1细胞、TK-1细胞、U-2-OS细胞

8402细胞类似产品::VMCUB1细胞、K7M2-WT细胞、OAC-P4C细胞

MDA-MB-361细胞类似产品::LICR-LON-HN6细胞、hFOB1.19细胞、H508细胞

GM03569D细胞类似产品::Ishikawa细胞、Balb/c 3T3细胞、MES23.5细胞

细胞物种来源:人源或鼠源等其它物种来源

MA-104 Cell|猴胎肾细胞

[细胞产品包装]鲜活细胞:T25培养瓶(一瓶)或冻存细胞:1ml冻存管(两支)

悬浮细胞不容易转染:悬浮细胞是指细胞生长不依赖支持物表面,在培养液中呈悬浮状态生长,如淋巴细胞。在实验室经常会遇到悬浮细胞的转染,其和贴壁细胞转染还是有很大不同的。目前大多数实验室用的是脂质体类的转染试剂,脂质体转染是基于电荷吸引原理,先形成脂质体-DNA复合物,散布在细胞周围,然后通过细胞的内吞作用,将目的基因导入细胞内,而脂质体复合物与贴壁细胞的接触机会比悬浮细胞GAO出很多倍,所以,脂质体转染时悬浮细胞的转染效率要明显低于贴壁细胞。其次,脂质体试剂的毒性较大,这就使得悬浮细胞的转染更为困难了。另外,悬浮细胞不易培养,易死亡,也给细胞转染造成了一定的困难。为了提GAO悬浮细胞的转染效率,可以使用非脂质体的转染试剂,如纳米材料的。也可以使用电转染方法,针对悬浮细胞等难转染细胞还是挺不错的,电击对细胞有一定的损伤,ZuiHAO选用具有细胞膜修复功能的电转染试剂,可以将电击对细胞的伤害降到Zui低,悬浮细胞不易转染,选对试剂及良HAO的细胞培养环境才是关键。

NCI-H1651细胞类似产品::Caco-2/ATCC细胞、NCI/ADRRES细胞、ARO 81-1细胞

Ramos G6.C10细胞类似产品::SW-579细胞、T-ALL-1细胞、MDA-MB-175VII细胞

ECC-1细胞类似产品::3T3 Swiss Albino细胞、Neuro2a细胞、H2126细胞

WIL2 Secreting细胞类似产品::H-441细胞、SNU-1细胞、Human fetal lung fibroblast 1细胞

细胞传代方法:1:2-1:3传代;每周换液2-3次。

细胞来源说明:来源于RCB、ATCC、KCLB、DSMZ、ECACC、INCell、ScienCell、ECACC、JCRB、Asterand、ICLC等知名细胞库

NCI-H1651细胞类似产品::Caco-2/ATCC细胞、NCI/ADRRES细胞、ARO 81-1细胞

Ramos G6.C10细胞类似产品::SW-579细胞、T-ALL-1细胞、MDA-MB-175VII细胞

ECC-1细胞类似产品::3T3 Swiss Albino细胞、Neuro2a细胞、H2126细胞

WIL2 Secreting细胞类似产品::H-441细胞、SNU-1细胞、Human fetal lung fibroblast 1细胞

细胞生长特性:贴壁

细胞系(cell line)指原代细胞培养物经首次传代成功后所繁殖的细胞群体。 也指可长期连续传代的培养细胞。(由此便引申出了后来的有限细胞系(FiniteCellLine)、无限细胞系(InfiniteCellLine)),因此,细胞系狭义的是指可连续传代的细胞(定环境下口语和书面语都使用),广义是指可传代的细胞。肿瘤细胞系多由癌瘤建成,多呈类上皮型细胞,常已传几十代或百代以上,并具有不死性和异体接种致瘤性,丧失接触抑制能力。国际上美、英和日本等国已建有细胞库;美国已有美国标准细胞库或细胞银行(ATCC)和人遗传突变细胞库(HGMR)、细胞衰老细胞库(CAR)等,其中ATCC不仅是美国也世界大的细胞库。细胞系建立要求:什么样的体外培养群可被认可为己鉴定的细胞,视具体情况而定,无统一规定。对于用作原代培养的细胞只要供体均一,取材部位及组织种类等条件稳定即可,如用做长期培养,别是反复传代的细胞,常需做如下说明:组织来源:细胞供体所属物种,来自人体或者动物;个体性别、年龄;取材的器官或组织。如系肿瘤组织,应说明临床和病理诊断,以及病历号等。细胞生物学检测:了解细胞一般和殊的生物学性状,如细胞一般形态,异结构,细胞生长曲线和分裂指数,倍增时间,接种率等。如为肿瘤细胞,为说明来源于原肿瘤组织并保持恶性,须做软琼脂培养,异体接种致瘤和对正常组织侵润力等实验。培养条件和方法;应说明细胞系(或株)适应的生存环境,即指明使用的培养基、血清种类、用量以及适宜PH值。

H-1819细胞类似产品::5637细胞、SKNDZ细胞、OCI-Ly3细胞

IEC-18细胞类似产品::McA-RH7777细胞、CTV1细胞、Kit 225细胞

67NR细胞类似产品::Hs839T细胞、H2195细胞、LLCMK2细胞

KYSE-410细胞类似产品::TE1细胞、SKMEL-1细胞、BTT739细胞

RPMI #8226细胞类似产品::He La细胞、LICR-LON-HN6-R细胞、SKNBE-2细胞

STO细胞类似产品::NCIH1092细胞、WEHI3B细胞、H-146细胞

D-407细胞类似产品::HTR-8细胞、138 MG细胞、SNU1040细胞

NCI-H2085细胞类似产品::L-6细胞、H-7721细胞、HT55细胞

U87-MG细胞类似产品::NCI-H1385细胞、C3H10T1-2细胞、C33-A细胞

MCF12F细胞类似产品::hs 68细胞、MGc80-3细胞、TM4细胞

MA-104 Cell|猴胎肾细胞

MeT5A细胞类似产品::OCIAML5细胞、H2066细胞、Mouse Forestomach Carcinoma细胞

TCC-SUP细胞类似产品::NTERA-2/D1细胞、COLO824细胞、SK-RC-20细胞

Tn5 B1-4细胞类似产品::CORL51细胞、UCLA-RO 81细胞、B-3细胞

Hs-940细胞类似产品::UCLA RO-81-A-1细胞、SK-Hep1细胞、751-NA-15细胞

Ramos细胞类似产品::CAL51细胞、PC-9细胞、C32 mel细胞

SNU354细胞类似产品::NCI522细胞、PK (15)细胞、BN-CL2细胞

SNU354细胞类似产品::NCI522细胞、PK (15)细胞、BN-CL2细胞

U-266细胞类似产品::EA.hy 926细胞、NCI H508细胞、HCC-1500细胞

SU-86-86细胞类似产品::HCA 7细胞、NCIH820细胞、OVCA8细胞

HCC1395细胞类似产品::COLO-829细胞、3T6细胞、Human Fetal Thymocyte-8810细胞

HIC细胞类似产品::hA549细胞、GP2d细胞、SF 763细胞

MLTC-1细胞类似产品::MV3细胞、HemECs细胞、SK N SH细胞

SK-MEL 28细胞类似产品::NS1-Ag4细胞、OSC19细胞、IHC-ST1细胞

H2135细胞类似产品::HCC-1143细胞、Pa14C细胞、OCI-Ly19细胞

HEK 293FT细胞类似产品::CBRH7919细胞、HBE细胞、IAR 20细胞

IOSE80UBC细胞类似产品::HBL1细胞、SW 962细胞、NCIH2141细胞

SNU-216细胞类似产品::MHCC97-L细胞、JVM-3细胞、M-NFS-60细胞

HFE-145细胞类似产品::VSMC细胞、H1876细胞、T 84细胞

GM05887A细胞类似产品::MDCK Type II细胞、H2196细胞、CORL51细胞

Granta-519细胞类似产品::RMS13细胞、RPMI 8226/S细胞、SUM 102PT细胞

NCIH1299细胞类似产品::H1650_CO细胞、JS1细胞、Swiss 3T6细胞

PC-9细胞类似产品::CWR-22rv1细胞、V79-GalK1细胞、JJN3细胞

University of Arizona Cell Culture-893细胞类似产品::GM2132细胞、SKBr3细胞、Sp2/O细胞

H-2106细胞类似产品::Japanese Tissue Culture-39细胞、SBC-5细胞、C4 I细胞

hTERT RPE-1细胞类似产品::QGY-7703细胞、CCRFCEM细胞、G519细胞

H-1155细胞类似产品::143BTK-细胞、LN 229细胞、hADSCs细胞

H810细胞类似产品::C-6细胞、L-929细胞、SW 756细胞

NCI-H2170细胞类似产品::Intestinal Porcine Epithelial Cell line-J2细胞、BHT101细胞、COLO-824细胞

P3HR1细胞类似产品::SNU119细胞、KYSE 450细胞、Clone 166细胞

MA-104 Cell|猴胎肾细胞

NCIH2126细胞类似产品::GM05862细胞、H1954细胞、HS-766T细胞

MA-104细胞类似产品::Rin-M-5F细胞、RT4-D6P2T细胞、UMR106细胞

Ej138细胞类似产品::Hi5细胞、MB-49细胞、G422细胞

LAN-5细胞类似产品::GA-10细胞、HCC941122细胞、HEM-L细胞

SJSA细胞类似产品::CAL 12T细胞、MHCC-LM3细胞、Th17细胞

Hs 737.T细胞类似产品::293 F细胞、BT细胞、Merwin Plasma Cell tumor-11细胞

MDCK-2细胞类似产品::Ku812F细胞、HS578T细胞、Swiss/3T3细胞

U266S细胞类似产品::MC3T3-E1细胞、NCI-H2198细胞、SNU-449细胞

PC2细胞类似产品::Nb2细胞、HOP92细胞、HLEB3细胞

GH3细胞类似产品::UPCI-SCC090细胞、HCT15细胞、293T细胞

Lewis lung carcinoma细胞类似产品::Duck embryo细胞、293H细胞、WERI-Rb1细胞

MNNG-HOS细胞类似产品::OCI-LY-3细胞、GB1细胞、TMD-8细胞

Wien133细胞类似产品::CHL-CL-11细胞、BALL1细胞、LTEP-a2细胞

NCI-SNU-16细胞类似产品::IHH细胞、NTERA-2细胞、T98细胞

R D细胞类似产品::CAL 120细胞、MDA-MB-175VII细胞、SUM 149细胞

Hs940T细胞类似产品::A549/ATCC细胞、OCI AML5细胞、SGC-996细胞

REC细胞类似产品::JROECL21细胞、SUD6细胞、C4-2B细胞

"


MA-104 Cell|猴胎肾细胞;

公司简介

上海冠导生物工程有限公司,先后从ATCC、DSMZ、ECACC、RIKEN、PromoCell、ScienCell、JCRB等国内外细胞库引进细胞2000余株。以此为契机,公司组建了冠导细胞库,我司细胞均由资深细胞培养工程师进行培养。我司可以提供的细胞有:①细胞系②原代细胞③稳转株④耐药株⑤标记细胞⑥细胞配套试剂等。

成立日期 (11年)
注册资本 100万(元)
员工人数 50-100人
年营业额 ¥ 1000万-5000万
经营模式 工厂,试剂,定制,服务
主营行业 细胞培养,微生物学,细胞生物学

MA-104 Cell|猴胎肾细胞相关厂家报价

内容声明
拨打电话 立即询价