基本信息 产品详情 公司简介 推荐产品
网站主页 化工产品目录 生物 细胞培养 细胞系 小鼠细胞系 小鼠胚胎瘤细胞 ATDC5(小鼠成软骨细胞)
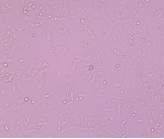
  • ATDC5(小鼠成软骨细胞)

ATDC5(小鼠成软骨细胞)

ATDC5
询价 1株 起订
湖北 更新日期:2021-05-24

武汉尚恩生物技术有限公司

非会员
联系人:王***
手机:185***
邮箱:939***

产品详情:

中文名称:
ATDC5(小鼠成软骨细胞)
英文名称:
ATDC5
产品类别:
细胞系
一、细胞基本属性
细胞名称小鼠成软骨细胞
细胞别称ATDC5
细胞货号SNL-178
细胞种属小鼠
生长情况贴壁
培养条件DMEM/F12+10%FBS+1%双抗
培养环境air, 95%; carbon dioxide (CO2), 5%
二、细胞培养操作
换液周期2-3天
培养基体积T25瓶10-12ml;10cm皿12-15ml
传代比例1:2-1:4(具体情况视细胞生长速度及密度决定)
传代方法1.尽量吸干净T25瓶原培养基;
2.加3-4ml 常温PBS轻轻润洗细胞10-20s,吸走润洗的PBS;
3.T25瓶加1ml左右胰酶,轻轻晃动培养瓶以使胰酶铺匀瓶底细胞层;
4.将培养瓶放入37度培养箱消化;
5.消化到细胞间隙变大,但未完全脱落时加2-3ml完全培养基终止胰酶消化;
6.混匀细胞,900rpm离心3-5min,弃上清;
7.加新的完全培养基轻轻重悬细胞,均匀分到新的培养瓶里;
8.补足完全培养基,将培养瓶放回培养箱静置培养;
注意事项不同品牌胰酶消化时间差别较大,注意严格控制消化时间
消化传代细胞时吹打细胞注意尽量轻柔,不要产生过多气泡以免影响细胞状态。
三、细胞冻存操作
冻存液配方92%FBS+8%DMSO(新手推荐)或92%完全培养基+8%DMSO(高手推荐);
冻存规格200-300万/ml,1ml每管
冻存方法1.消化并离心获得细胞沉淀后,加配置好的冻存液轻轻重悬细胞;
2.将细胞悬液尽快移入已经做好标记的冻存管;
3.将冻存管转入程序冻存盒,放入-80度冰箱过夜,第二天转入液氮保存;没有程序冻存盒的实验室,加入细胞后可以将冻存管放在泡沫盒中4度静置5-10min,再-20度静置2h后转入-80度过夜,第二天转入液氮保存
注意事项冻存细胞转入液氮后及时复苏一管检查细胞冻存活性,若有异常,及时调整实验方案


ATDC5;小鼠成软骨细胞;

公司简介

武汉尚恩生物技术有限公司专注于细胞产品的研究、生产、销售和服务。公司经过国家相关部门认证的“高新技术企业”,先后通过了ISO认证和部分产品CE认证。 我们拥有一套完整的研发、生产、质检、销售和运营团队;已完成从细胞辅助器材、细胞产品到细胞相关专业化服务的全细胞产业链发展布局;具备制造细胞产品、相关试剂及代做细胞实验的系统化专业能力。 产品种类包含细胞系、原代细胞、胎牛血清、辅助试剂、基础培养基、完全培养基、无血清培养基、无血清非程序冻存液等,细胞培养配套试剂一站式采购;细胞库储存细胞品种有500余种,可满足80%生物实验室的需求。 我们拥有丰富的市场管理经验和渠道管理能力,为产品经销商及终端客户提供完善的专业化服务。 把客户提供优质的产品作为企业的尊严和责任,通过不断的技术创新,为客户提供优质的产品和服务。

成立日期 (12年)
注册资本 100w
员工人数 50-100人
年营业额 ¥ 500万-1000万
经营模式 工厂
主营行业 细胞培养,细胞生物学

ATDC5(小鼠成软骨细胞)相关厂家报价 更多

  • ATDC5
  • ATDC5
  • 吉奥蓝图(广东)生命科学技术中心 VIP
  • 2026-04-17
  • ¥10000
内容声明
拨打电话 立即询价