基本信息 产品详情 公司简介 推荐产品
网站主页 CCD-841COTR CELL:人结肠癌细胞系 CCD-841CoTr Cell|人结肠癌细胞
  • CCD-841CoTr Cell|人结肠癌细胞

CCD-841CoTr Cell|人结肠癌细胞

CCD-841CoTr Cell
询价 1000000克 起订
2000000克 起订
上海 更新日期:2026-04-28

上海冠导生物工程有限公司

VIP6年
联系人:全经理
电话:18818239863拨打
邮箱:3171921642@qq.com

产品详情:

中文名称:
CCD-841CoTr Cell|人结肠癌细胞
英文名称:
CCD-841CoTr Cell
保存条件:
常温培养或液氮冻存
纯度规格:
CCD-841CoTr Cell|人结肠癌细胞
产品类别:
生物试剂

"CCD-841CoTr Cell|人结肠癌细胞

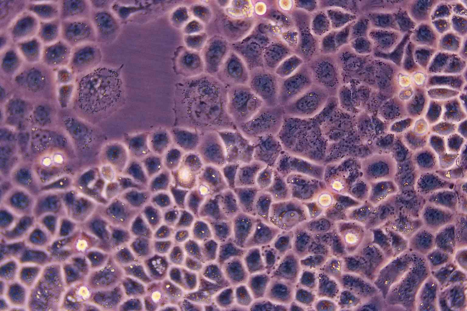
细胞背景资料:结肠癌;SV40转化;女性

细胞形态:上皮细胞样

养了几年细胞,说一点自己培养细胞方面的看法:1)培养细胞前,可以看看细胞点说明书,包括细胞正常生长的状态图、传代、培养基的类型等;2)不同细胞生长周期不同,有的生长很快,比如说MDA-MB-231,传代的时候取离心悬液的十分之一就已经足够了,有的又是别慢,等的人心焦,BT474就是,传代是一分二,复苏起始的时候两周多才能长满,所以就要在培养细胞的过程中多多摸索了;3)对于娇弱的细胞,就得细心呵护了,胰酶消化不能过久,吹得时候要轻柔,离心时候也要注意转速和时间,每天都要去看一下细胞,肉眼观察培养基状况、显微镜下观察细胞生长状况;4)冻存细胞复苏后第二天ZuiHAO更换一次培养基;5)培养箱隔一段时间彻底用酒精棉擦洗一次;6)养细胞Zui大的教训:不能偷懒!细胞虐我千百遍,我待细胞如初恋。1)不管买的细胞、惠赠的细胞,刚拿到手赶紧做两件事:检测是否有支原体污染; 迅速扩增冻存;2)发现有污染迅速处理掉,别是当你养了很多种细胞时; 细菌污染,真菌污染很容易发现,支原体污染的话,细胞会长的慢,买个支原体检测的kit定期检测一下;3)传代细胞日常的值日清洁是必须的,此外还要定期熏蒸;4)细胞的传代一定要规律,保持相同的confluency和传代时间间隔,不要随心所欲或者拖延;5)注意个人卫生。

细胞生长:贴壁

LA795细胞类似产品::Vero from pool #76细胞、HLF-a细胞、OVCAR-5细胞

C-33 A细胞类似产品::ST2细胞、L-6TG细胞、U-CH1细胞

Hs888 Lu细胞类似产品::NE-4C细胞、HeLaS3细胞、NCI-H522细胞

PC3M-IE8细胞类似产品::NWA细胞、SVEC4-10细胞、CCD-841-CoTr细胞

MC 116细胞类似产品::SW48细胞、MGHU3细胞、LTEPa2细胞

细胞物种来源:人源或鼠源等其它物种来源

CCD-841CoTr Cell|人结肠癌细胞

[细胞产品包装]鲜活细胞:T25培养瓶(一瓶)或冻存细胞:1ml冻存管(两支)

在细胞培养过程中会出现这样或那样的问题,客户遇到的问题从细胞生长角度来说,针对细胞培养过程中生长不HAO、甚至死亡的原因,我们做以下分析并提出相对应的解决方法。一、培养细胞生长不HAO》可能原因:细胞本身的状态》1)细胞传代次数多,细胞老化;2)细胞的接种量:接种量过低,细胞生长缓慢;3)细胞传代时间过晚:细胞中毒,影响传代后的细胞生长;4)胰酶消化时间过长或过短:时间过长,细胞死亡;时间过短,细胞未完全分离而成团,细胞死亡;5)细胞的冻存与复苏:慢冻速融。污染:1)支原体污染;2)霉菌污染;培养基或血清:1)更换血清或培养基之前未进行验证;2)选择的培养基是否合适;3)培养基配制是否准确无误;培养环境:1)CO2供应是否正常;2)培养箱或摇床温度控制是否正确;解决方法:根据以上四个方面的可能原因,做出针对性的解决方案》1)注意细胞的本身状态:如传代次数、接种量等;2)避免产生污染(用正规、合法、可溯源的血清);3)要用合适的血清或培养基,ZuiHAO经过验证;4)注意实验室的环境;二、培养细胞死亡》可能原因:1)培养箱内无CO2;2)培养箱内温度波动太大;3)细胞冻存或复苏过程中损伤;4)培养液渗透压不正确;5)培养液中有毒代谢产物堆积;解决方法:1)检测培养箱内CO2;2)检查培养箱内温度;3)取新的保存细胞种;4)检测培养液渗透压;5)换入新鲜培养液。

C4-2 Bone metastatic细胞类似产品::H-82细胞、SW-527细胞、NBL-7细胞

R1800[RA]细胞类似产品::EFM-192A细胞、NCI H716细胞、NCI-SNU-398细胞

MSB-1细胞类似产品::WEHI3细胞、MC57细胞、NBL-5细胞

CACO2细胞类似产品::PCI:SG231细胞、HFB细胞、GBCSD细胞

细胞传代方法:1:2-1:3传代;每周换液2-3次。

细胞来源说明:来源于RCB、ATCC、KCLB、DSMZ、ECACC、INCell、ScienCell、ECACC、JCRB、Asterand、ICLC等知名细胞库

C4-2 Bone metastatic细胞类似产品::H-82细胞、SW-527细胞、NBL-7细胞

R1800[RA]细胞类似产品::EFM-192A细胞、NCI H716细胞、NCI-SNU-398细胞

MSB-1细胞类似产品::WEHI3细胞、MC57细胞、NBL-5细胞

CACO2细胞类似产品::PCI:SG231细胞、HFB细胞、GBCSD细胞

细胞生长特性:贴壁

细胞传代比例:对于有限细胞系,传代时以二、四、八或十六倍(传代比率分别是2、4、8和16)降低细胞密度,计算群体倍增数更容易(即分别是传代比率2对应1次倍增,4对应2次倍增,8对应3次倍增,16对应4次倍增);例如,一传八的培养物需要3次倍增才能达到原来相同的细胞密度。脆弱的或生长缓慢的细胞系通常一传二,而有活力的,生长快速的细胞系可以一传八,甚至一传十六。有些连续细胞系可一传五十或一传100。一旦细胞系变为连续细胞系(通常经过150次或200次倍增以上),细胞浓度是主要参数,培养浓度应降至10(4)/ml--10(5)/ml之间。可选择传代间隔合适的传代比率或稀释度,或许为1周或2周,同时要保证:细胞密度不可稀释过低,使其延迟期合理(在24小时以内),可重新进入生长周期;而且在下次传代前不进人平台期。

R2C细胞类似产品::Y3-Ag1,2,3细胞、SW-620细胞、HOP-92细胞

FHCRC-11细胞类似产品::Metastatic Variant-522细胞、SupT1细胞、NCI-H2227细胞

Alpha Mouse Liver 12细胞类似产品::KTC-1细胞、COV-362细胞、EAhy 926细胞

KBM-7细胞类似产品::KY-50细胞、GS-9L细胞、SK-N-MC细胞

D283细胞类似产品::SKMEL3细胞、Intestinal Epithelioid Cell line No. 18细胞、Det 562细胞

PC 61细胞类似产品::CCF-STTG1细胞、Huh-7细胞、H-524细胞

JC细胞类似产品::NCI H157细胞、THEECs细胞、MDCKII-WT细胞

HKC细胞类似产品::SW-982细胞、PL9细胞、BL1339细胞

Vero E6细胞类似产品::HL-60细胞、OCIAML3细胞、HOS TE 85细胞

RS4:11细胞类似产品::PC-3/M细胞、Ramos (RA 1)细胞、COLO-394细胞

CCD-841CoTr Cell|人结肠癌细胞

Panc-10.05细胞类似产品::OVCA432_Bast细胞、GP2-293细胞、Rat1细胞

H2081细胞类似产品::hFOB细胞、NCI-H2171细胞、CP70细胞

HCMEC(BL12-H)细胞类似产品::OVCAR10细胞、NCI-H1404细胞、AMO-1细胞

Rh30细胞类似产品::HT 115细胞、Ramos.G6.C10细胞、JM-Jurkat细胞

HK2细胞类似产品::OCI-Ly 10细胞、2E8细胞、H-4-II-E细胞

LAC细胞类似产品::SGC 7901细胞、CFSC-8B细胞、Panc 5.04细胞

LAC细胞类似产品::SGC 7901细胞、CFSC-8B细胞、Panc 5.04细胞

OCI-Ly 7细胞类似产品::H220细胞、253J-BV细胞、Tsup-1细胞

HO1N1细胞类似产品::Case 3细胞、Clone M-3细胞、VMM5A细胞

HS-294T细胞类似产品::HF-91细胞、Hep 2细胞、LIXC002细胞

MGECs细胞类似产品::SKBR-3细胞、Hs 611.T细胞、QBC(939)细胞

NCI-SNU-398细胞类似产品::SCC-9细胞、MDA 231-LM2-4175细胞、SNU423细胞

PLC-PRF-5细胞类似产品::NCIH345细胞、DU 4475细胞、207细胞

HLE-B3细胞类似产品::2PK-3细胞、HTSMC细胞、RPE-hTERT细胞

TE7细胞类似产品::NCI-H1417细胞、CPA 47细胞、UM-UC-14细胞

HuT78细胞类似产品::P3J HR1-K细胞、MHCC 97细胞、TALL-1 [Human adult T-ALL]细胞

RPE-hTERT细胞类似产品::alpha TC1.6细胞、NTERA2细胞、D-283MED细胞

B 95.8细胞类似产品::NS20Y细胞、KBM5细胞、HFE-145细胞

Panc10.05细胞类似产品::MUGCHOR1细胞、MLE-12细胞、Japanese Tissue Culture-28细胞

HCT-15细胞类似产品::HEK293E细胞、J-82细胞、U373 MG细胞

CFSC-8B细胞类似产品::L-6 myoblast细胞、HCAEC细胞、M20 [Human melanoma]细胞

KY180细胞类似产品::SW1353细胞、SW 1088细胞、RKO-E6细胞

OKAC1细胞类似产品::P3JHR1细胞、Stanford University-Diffuse Histiocytic Lymphoma-10细胞、MC57细胞

SKBR-3细胞类似产品::RPMI 1846细胞、NCIH2085细胞、RT-BM-1细胞

NTERA2-D1细胞类似产品::TGBC11TKB细胞、H378细胞、BT-549细胞

SVG p12细胞类似产品::NCI-H1688细胞、HEP3B2细胞、CAL78细胞

MDA-453细胞类似产品::JCA1细胞、CHP-100细胞、Caco-2/BBe 1细胞

Hs 863.T细胞类似产品::CHO-Lec1细胞、A431细胞、WEHI-231细胞

EOC 20细胞类似产品::SK-N-BE(1)n细胞、HRMC细胞、CORL23细胞

CCD-841CoTr Cell|人结肠癌细胞

Hs 729细胞类似产品::SK Hep1细胞、YES-2细胞、JB-6 Cl 30细胞

HCC1588细胞类似产品::H-211细胞、MDA-kb2细胞、H-3255细胞

NCIH522细胞类似产品::Pa16C细胞、CAL 120细胞、OVCAR433细胞

SNGM细胞类似产品::H2009细胞、RT4-D6-P2T细胞、293-FT细胞

H-711细胞类似产品::GM03570细胞、SNK1细胞、NIT-1细胞

Tokyo Medical and Dental university 8细胞类似产品::CEK细胞、HB 611细胞、FLC-7细胞

MEF细胞类似产品::OKAC1细胞、SNT-8细胞、C8-D1A细胞

MGH-U3细胞类似产品::RC-K8细胞、AR4-2J细胞、PANC1005细胞

OCI-Ly18细胞类似产品::HCC9724细胞、C-643细胞、LoVo细胞

NCIH2023细胞类似产品::CHP 100细胞、COLO 206细胞、Glioma-261细胞

HPB/ALL细胞类似产品::SP-2/0-AG14细胞、H-1299细胞、HGBEC细胞

WRL68细胞类似产品::D-283细胞、H-2107细胞、LC-2/ad细胞

GP293细胞类似产品::KU 812细胞、CL-11细胞、BMSC/hBMSCs细胞

HUC-1细胞类似产品::NCI-H187细胞、Astrocyte type I clone细胞、TE-12细胞

OCI-Ly8细胞类似产品::FRTL5细胞、LCMS细胞、NCI-H69细胞

CBRH-7919细胞类似产品::MH-S细胞、J774A.1细胞、BT20细胞

RA-FLSs细胞类似产品::HCC0044细胞、ZR75-30细胞、L6细胞

"


CCD-841CoTr Cell|人结肠;

公司简介

上海冠导生物工程有限公司,先后从ATCC、DSMZ、ECACC、RIKEN、PromoCell、ScienCell、JCRB等国内外细胞库引进细胞2000余株。以此为契机,公司组建了冠导细胞库,我司细胞均由资深细胞培养工程师进行培养。我司可以提供的细胞有:①细胞系②原代细胞③稳转株④耐药株⑤标记细胞⑥细胞配套试剂等。

成立日期 (11年)
注册资本 100万(元)
员工人数 50-100人
年营业额 ¥ 1000万-5000万
经营模式 工厂,试剂,定制,服务
主营行业 细胞培养,微生物学,细胞生物学

CCD-841CoTr Cell|人结肠癌细胞相关厂家报价

内容声明
拨打电话 立即询价