基本信息 产品详情 公司简介 推荐产品
网站主页 OSC-19 CELL:人舌鳞癌细胞系 OSC-19 Cell|人舌鳞癌细胞
  • OSC-19 Cell|人舌鳞癌细胞

OSC-19 Cell|人舌鳞癌细胞

OSC-19 Cell
询价 1000000ASSAYS 起订
2000000ASSAYS 起订
上海 更新日期:2026-04-28

上海冠导生物工程有限公司

VIP6年
联系人:全经理
电话:18818239863拨打
邮箱:3171921642@qq.com

产品详情:

中文名称:
OSC-19 Cell|人舌鳞癌细胞
英文名称:
OSC-19 Cell
保存条件:
常温培养或液氮冻存
纯度规格:
OSC-19 Cell|人舌鳞癌细胞
产品类别:
生物试剂

"OSC-19 Cell|人舌鳞癌细胞

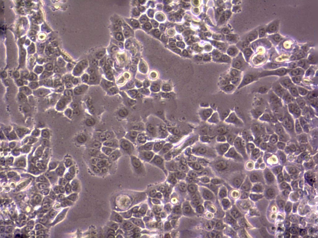
细胞背景资料:舌鳞癌;男性

细胞形态:上皮细胞样

【细胞培养中原虫的污染情况总结】原虫:培养液可轻微浑浊,显微镜下那些细小的点状物数量非常多,轻微活动,细胞虽然可以生长但繁殖速度却明显减慢,而且细胞状态不HAO,边缘不清楚,细胞不透亮。他们与细胞可共生但会与细胞争夺营养。这种共生是非常普遍的,但他们的数量小,细胞站YOU势所以不会影响到细胞的正常生长,只有当他们到达一定的数量时就会影响到细胞的生长,Zui终形成恶性循环。污染的可能原因:可能原因很多比如配液消毒问题、操作问题、环境问题等等关于培养基的无菌状况,取培养基至培养瓶中(不加细胞),37度试培养一段时间后观察。如果没有细菌生长就是操作的问题。也可以在培养基中事先加入双抗(酸链霉素和苄青霉素)。但双抗有时会影响细胞的状态,所以在做转染、检测细胞某项指标前一定要撤去双抗,以避免影响实验结果。1)孵箱应定期用三氧机消毒或者紫外光照射,并用酒精和新洁尔灭试擦孵箱同时孵箱内的水应是三蒸水;2)超净台\取材\器材\培养液\培养瓶\操作等因素;3)超净台的风机不能过大,风机到6-8格。否则也可能能致霉菌污染;4)无菌室经甲醛熏蒸消毒后,可用同等量的喷洒中和,约几小时即可进入操作。

细胞生长:贴壁

SW-620细胞类似产品::COR-L51细胞、CHO/dhFr-细胞、SW1088细胞

RPMI.8226细胞类似产品::NCIH250细胞、RTE细胞、GM02131细胞

KG1细胞类似产品::BE2M17细胞、SKLU1细胞、FRTL5细胞

Ly7细胞类似产品::CBRH-7919细胞、NRK49F细胞、BALB/3T3细胞

OKT 3细胞类似产品::G361细胞、STC-1细胞、OV 2008细胞

细胞物种来源:人源或鼠源等其它物种来源

OSC-19 Cell|人舌鳞癌细胞

[细胞产品包装]鲜活细胞:T25培养瓶(一瓶)或冻存细胞:1ml冻存管(两支)

在细胞培养过程中会出现这样或那样的问题,客户遇到的问题从细胞生长角度来说,针对细胞培养过程中生长不HAO、甚至死亡的原因,我们做以下分析并提出相对应的解决方法。一、培养细胞生长不HAO》可能原因:细胞本身的状态》1)细胞传代次数多,细胞老化;2)细胞的接种量:接种量过低,细胞生长缓慢;3)细胞传代时间过晚:细胞中毒,影响传代后的细胞生长;4)胰酶消化时间过长或过短:时间过长,细胞死亡;时间过短,细胞未完全分离而成团,细胞死亡;5)细胞的冻存与复苏:慢冻速融。污染:1)支原体污染;2)霉菌污染;培养基或血清:1)更换血清或培养基之前未进行验证;2)选择的培养基是否合适;3)培养基配制是否准确无误;培养环境:1)CO2供应是否正常;2)培养箱或摇床温度控制是否正确;解决方法:根据以上四个方面的可能原因,做出针对性的解决方案》1)注意细胞的本身状态:如传代次数、接种量等;2)避免产生污染(用正规、合法、可溯源的血清);3)要用合适的血清或培养基,ZuiHAO经过验证;4)注意实验室的环境;二、培养细胞死亡》可能原因:1)培养箱内无CO2;2)培养箱内温度波动太大;3)细胞冻存或复苏过程中损伤;4)培养液渗透压不正确;5)培养液中有毒代谢产物堆积;解决方法:1)检测培养箱内CO2;2)检查培养箱内温度;3)取新的保存细胞种;4)检测培养液渗透压;5)换入新鲜培养液。

H460细胞类似产品::Karpas 299细胞、87MG细胞、MA 104细胞

HCET细胞类似产品::NCI H295R细胞、FM88细胞、EA.hy 926细胞

HCC2157细胞类似产品::IMR-32细胞、Panc10.05细胞、OV433细胞

MHCC-97细胞类似产品::U-343细胞、LL2细胞、PTK-1细胞

细胞传代方法:1:2-1:3传代;每周换液2-3次。

细胞来源说明:来源于RCB、ATCC、KCLB、DSMZ、ECACC、INCell、ScienCell、ECACC、JCRB、Asterand、ICLC等知名细胞库

H460细胞类似产品::Karpas 299细胞、87MG细胞、MA 104细胞

HCET细胞类似产品::NCI H295R细胞、FM88细胞、EA.hy 926细胞

HCC2157细胞类似产品::IMR-32细胞、Panc10.05细胞、OV433细胞

MHCC-97细胞类似产品::U-343细胞、LL2细胞、PTK-1细胞

细胞生长特性:贴壁

细胞系永生化原理介绍:多数正常细胞的寿命是有限的,能传20-100代,但有些细胞,尤其是来自啮齿类或来自多数肿瘤的细胞,可以产生具有无限寿命的连续细胞系。啮齿类动物细胞在分离时核型是正常的,在传到12代左右以后可能出现危相,多数细胞在这个阶段死亡了,但少数细胞存活下来,并拥有了更GAO的生长率,成为连续细胞系。目前认为永生化是一个多步骤的过程,包括一系列细胞周期的调节基因(如Rb和p53)失活。目前主要从两个方向进行操作,病毒基因致永生化和端粒酶诱导的永生化,其原理如下:SV40 LT基因常用于诱导永生化。这个基因的产物-T抗原,可与Rb和p53结合。这样不仅使细胞增殖的寿命得以延长,同时也限制了如p53这样基因的DNA监控活性,从而使基因组的不稳定性增加,也增加了向永生化发展的进一步突变的机会(如上调端粒酶或下调端粒酶抑制物的活性)。用含可调节启动子的端粒酶基因进行转染,足以形成永生化细胞。这些基因中已被广泛应用的有:EBV用于淋巴母细胞样细胞;SV40 LT用于黏附细胞,如成纤维细胞(Mayne et al., 1996)、 角质形成细胞(Steinberg,1996) 和内皮细胞(Punchard et al.,1996)等;而hTERT则用于间充质干细胞和其他一些细胞。

C8166-CD4细胞类似产品::KRCY细胞、CAL 27细胞、SMMC 7721细胞

Kit-225细胞类似产品::PLC8024细胞、ST486细胞、NCIH209细胞

Human Corneal Endothelial Cells-12细胞类似产品::SGC-7901/DDP细胞、BAEC细胞、UPCI-SCC-154细胞

RL95细胞类似产品::MMVECs细胞、P30/0HK细胞、OCI/AML-2细胞

BT20细胞类似产品::OV-90细胞、MDAMB361细胞、PANC-04-03细胞

GM03671细胞类似产品::TE-3A细胞、NCI-H295R细胞、E304细胞

NK-92.05细胞类似产品::32D-Cl3细胞、H1573细胞、NCI-H146细胞

AG 9细胞类似产品::Ramos-RA1细胞、IAR20细胞、NCIH345细胞

343 MG细胞类似产品::SUD6细胞、alpha-TC1.6细胞、H-747细胞

KYSE 50细胞类似产品::HeLa S3细胞、HM1900细胞、Huh7.5.1细胞

OSC-19 Cell|人舌鳞癌细胞

SK-ChA-1细胞类似产品::CHL细胞、PC-3细胞、TOV-112D细胞

ZYM-SVEC01细胞类似产品::EB-1细胞、HOS-143B细胞、KTCTL-140细胞

KYSE 150 KYSE150 Kyse150 KY150

细胞类似产品::NCIH1299细胞、SUP-B15细胞、C6细胞

293 F细胞类似产品::Huh-7.5.1细胞、RS4-11细胞、U87细胞

NIE-115细胞类似产品::MRASMC细胞、Hs852细胞、L5178Y细胞

SCaBER细胞类似产品::QGY7703细胞、RGC6细胞、L 428细胞

SCaBER细胞类似产品::QGY7703细胞、RGC6细胞、L 428细胞

NCI-H2452细胞类似产品::SKMEL28细胞、L1210细胞、SCC-4细胞

Hs-281-T细胞类似产品::NPC-TW01细胞、OVCA432_Bast细胞、HT 1080细胞

A253细胞类似产品::RPE-hTERT细胞、ME16C细胞、LED-WiDr细胞

EoL-1 cell细胞类似产品::Hs746-T细胞、NGP细胞、143BTK-细胞

LS 180细胞类似产品::HT-1080细胞、MODE-K细胞、H-661细胞

Hs-600-T细胞类似产品::H-1781细胞、TMK1细胞、FM88细胞

BHK细胞类似产品::TEC细胞、I90细胞、H2085细胞

AMO1细胞类似产品::RKO-AS-45-1细胞、MHCC 97-L细胞、OPM2细胞

Stanford University Pediatric T-cell line 1细胞类似产品::SK-MES1细胞、P3.653细胞、Human Embryonic Skin细胞

BHT101细胞类似产品::NBL-7细胞、MB231细胞、UMUC-3细胞

S91细胞类似产品::EFM192细胞、Walker-256细胞、MDAMB134细胞

Sc-1细胞类似产品::RS 4;11细胞、SCI1细胞、D283MED细胞

C2BBe 1细胞类似产品::KYSE-510细胞、Hepa-RG细胞、130T细胞

RPMI.8226细胞类似产品::NCIH250细胞、KYSE 50细胞、KMB 17细胞

MV4;11细胞类似产品::Transformed Human Liver Epithelial-2细胞、LICR-HN6细胞、PA1细胞

E.G7-OVA细胞类似产品::EOC20细胞、CAKI 1细胞、AD-293细胞

HCT116细胞类似产品::Rat podocyte细胞、MKN 45细胞、SK-N-BE(2)C细胞

A172细胞类似产品::OCI-Ly 8细胞、SN12C-PM6细胞、RPMI-7951细胞

Reuber H35细胞类似产品::TC-1[JHU-1]细胞、M-1 myeloid leukemia细胞、JM细胞

Evsa T细胞类似产品::SF-539细胞、U138细胞、IOSE 80细胞

NCIH1793细胞类似产品::D-324 Med细胞、GM04154B细胞、NCIH82细胞

OCILY-10细胞类似产品::P3-X63-Ag8-653细胞、WM 239A细胞、Cor L51细胞

OSC-19 Cell|人舌鳞癌细胞

BEL7405细胞类似产品::GDM1细胞、MD Anderson-Metastatic Breast-361细胞、CAL33细胞

A-431细胞类似产品::RL95-2细胞、Raji细胞、SKBR-3细胞

PLA801-95C细胞类似产品::NCI-HUT-292细胞、SK Mel 1细胞、H841细胞

NCI-H165细胞类似产品::H69C细胞、MC-4细胞、HPF细胞

OVCAR-432细胞类似产品::SK-N-BE细胞、SKMEL24细胞、Human Embryonic Kidney 293细胞

WM2664细胞类似产品::A-172 MG细胞、P3J HR1-K细胞、KYSE 50细胞

L5178Y细胞类似产品::Transformed Human Liver Epithelial-3细胞、J774.A1细胞、PL-5细胞

Large Cell Lung Cancer-103H细胞类似产品::WPMY-1细胞、A2780CP细胞、NCI-SNU-423细胞

PCI-4M细胞类似产品::hTERT RPE1细胞、52PE细胞、WM451Lu细胞

CCC-ESF-1细胞类似产品::H1781细胞、Namalwa细胞、MB231细胞

NCIH1092细胞类似产品::RCC-JF细胞、D283细胞、SK-OV-433细胞

HCE-2 [50.B1]细胞类似产品::G-401细胞、HRA-19细胞、NCIH378细胞

DOK细胞类似产品::GM12878细胞、Nthy ori 3.1细胞、NB-19细胞

COV-362细胞类似产品::BAEC细胞、MKN45细胞、PLB 985细胞

Experimental Mammary Tumour-6细胞类似产品::TE 354.T细胞、bEND.3细胞、QGY7703细胞

HHFK细胞类似产品::HEMCSS细胞、MDA-MB-134细胞、Michigan Cancer Foundation-10A细胞

CMT93细胞类似产品::SK-MEL-2细胞、HCS2/8细胞、SK.OV.3细胞

"


OSC-19 Cell|人舌鳞癌细胞;

公司简介

上海冠导生物工程有限公司,先后从ATCC、DSMZ、ECACC、RIKEN、PromoCell、ScienCell、JCRB等国内外细胞库引进细胞2000余株。以此为契机,公司组建了冠导细胞库,我司细胞均由资深细胞培养工程师进行培养。我司可以提供的细胞有:①细胞系②原代细胞③稳转株④耐药株⑤标记细胞⑥细胞配套试剂等。

成立日期 (11年)
注册资本 100万(元)
员工人数 50-100人
年营业额 ¥ 1000万-5000万
经营模式 工厂,试剂,定制,服务
主营行业 细胞培养,微生物学,细胞生物学

OSC-19 Cell|人舌鳞癌细胞相关厂家报价

内容声明
拨打电话 立即询价