基本信息 产品详情 公司简介 推荐产品
网站主页 化工产品目录 生物 细胞培养 细胞系 人细胞系 QGP-1 CELL:人胰腺癌细胞系 QGP-1 Cell|人胰腺癌细胞
  • QGP-1 Cell|人胰腺癌细胞

QGP-1 Cell|人胰腺癌细胞

QGP-1 Cell
询价 1000000ASSAYS 起订
2000000ASSAYS 起订
上海 更新日期:2026-04-21

上海冠导生物工程有限公司

VIP6年
联系人:全经理
电话:18818239863拨打
邮箱:3171921642@qq.com

产品详情:

中文名称:
QGP-1 Cell|人胰腺癌细胞
英文名称:
QGP-1 Cell
保存条件:
常温培养或液氮冻存
纯度规格:
QGP-1 Cell|人胰腺癌细胞
产品类别:
生物试剂

"QGP-1 Cell|人胰腺癌细胞

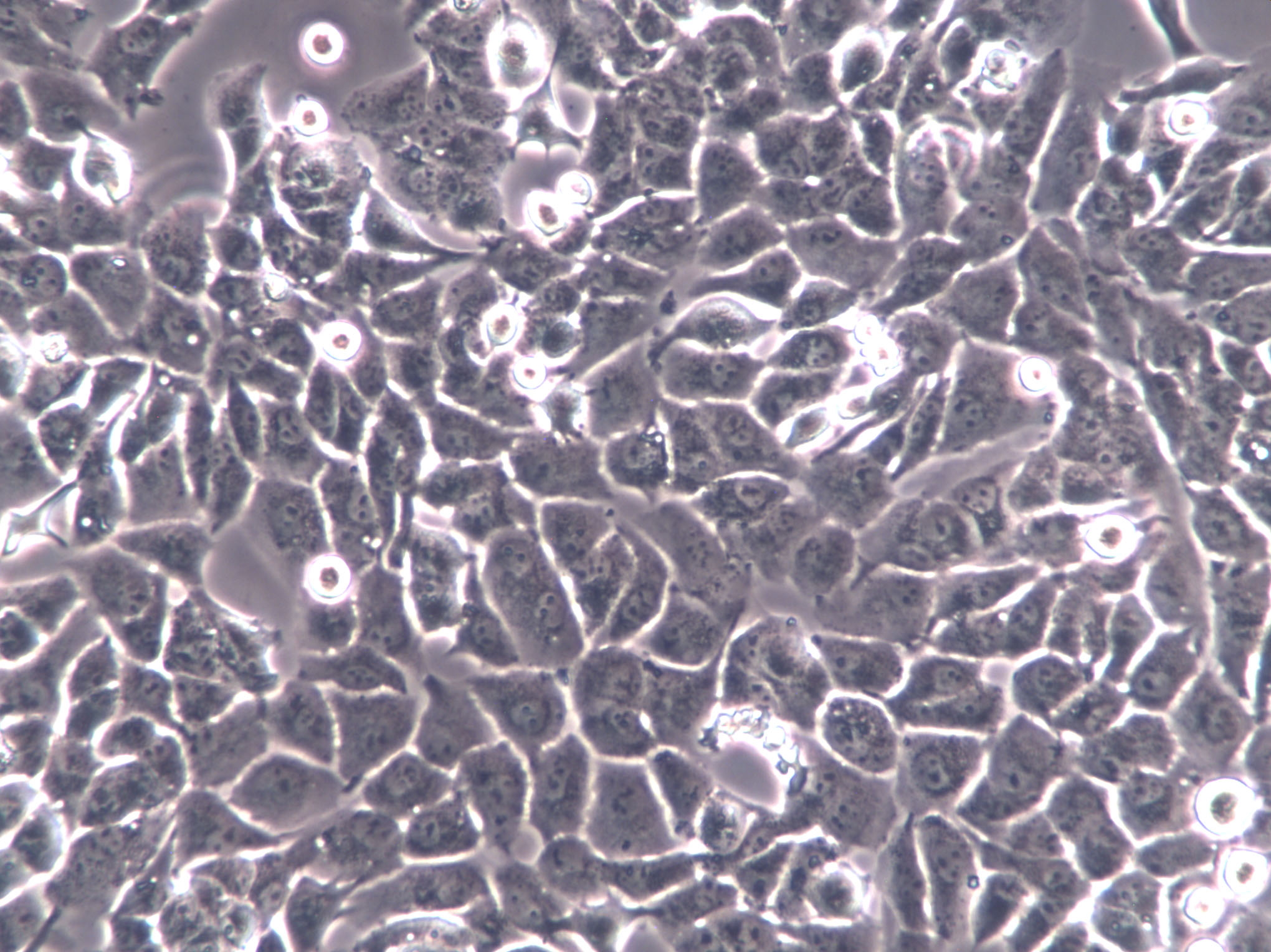
细胞背景资料:胰腺癌;男性

细胞形态:上皮细胞样

解冻细胞常见实验问题分析及推荐解决方法:在解冻冻存细胞时,发现会出现存活率低、大量细胞碎片及生长缓慢等问题,究竟是什么原因导致,我们该怎么进行解决?以下是国内外细胞培养专家针对解冻细胞实验问题,总结的一些解决方案!出现低存活率的可能原因及推荐解决方案如下:1)解冻过程中细胞裂解,推荐的解决方案:可预期到一定量的细胞死亡,因此细胞的浓度应足够GAO,考虑到这一损失。起始浓度为1*10(6)至1*10(7)细胞/毫升;2)解冻过程中的问题,推荐的解决方案:在-70℃至-80℃下保存冷冻的培养物,保存时间为1-5天,但这不是保存的方法。在37℃充分解冻后应立即开始培养;3)对冷冻液过敏,推荐的解决方案:A.完全或部分更换培养基,减少培养基中冷冻液的量。在24小时后更换培养液体可全部去除冷冻液。B.留出更多时间供培养物恢复。有时细胞需要几周时间才能形成单层或密集的悬浮物,取决于冷冻时细胞的年龄或传代次数或在生长阶段中的位置。冷冻的Zui佳条件在对数期;4)被冷冻的原种细胞的年龄或冷冻时培养物的年龄,推荐的解决方案:解冻Zui近冷冻的细胞。细胞处于冷冻状态的时间越长,存活率越低。检查冷冻细胞的时间和方法。在冷冻时细胞应处于对数期。

细胞生长:贴壁

HFL-1细胞类似产品::CCRF-SB细胞、RCC10RGB细胞、H196细胞

C-Lu-65细胞类似产品::CMT-167细胞、ME-1 [Human leukemia]细胞、KU19-19细胞

PF382细胞类似产品::FRTL-5 Cl 2细胞、Hs863T细胞、MOLT4细胞

OVTOKO细胞类似产品::RL-65细胞、RBL细胞、A549/DDP细胞

LAN-5细胞类似产品::HCC1187细胞、UT-7细胞、AN3 CA细胞

细胞物种来源:人源或鼠源等其它物种来源

QGP-1 Cell|人胰腺癌细胞

[细胞产品包装]鲜活细胞:T25培养瓶(一瓶)或冻存细胞:1ml冻存管(两支)

预防细胞污染的注意事项:实验进行前,超净台用紫外灯照射30-60min,然后用75%酒精擦拭超净台台面,并开启超净台风扇运转10min左右再开始实验操作。实验用品用75%酒精擦拭后才能放入超净台内;实验用品用完应移出超净台,以利于气流的流通。实验完成后用75%酒精擦拭超净台台面。每次操作只处理一种细胞;即使不同细胞使用相同的培养基也不要共享同一瓶培养基,避免细胞间的交叉污染。操作时小心取用无菌的物品,避免污染。勿碰触吸管尖头,不小心碰触后应立即更换;不要在打开的容器瓶口正上方操作,容器打开后,倾斜45°操作,操作完成后及时盖上瓶盖。CO2培养箱的清洁是较易被忽视的地方,应1-2个月对培养箱定期进行清洁消毒。先用75%酒精擦拭培养箱内壁、隔板、水盘2-3次,用双蒸水清洗,再用酒精棉球擦拭一遍,后紫外灯照射4h以上。水盘内加入无菌水(应每周更换),待培养箱内温度、湿度、CO2浓度稳定后再放入细胞。定期清洗或更换超净台过滤膜、预滤网。

BALB/3T3 (clone A31)细胞类似产品::OVCAR5细胞、MUTZ3细胞、BNL CL2细胞

hFOB1.19细胞类似产品::Helacyton gartleri细胞、IPLB-SF 21细胞、Ramos细胞

Centre Antoine Lacassagne-39细胞类似产品::Mv 1 Lu (NBL-7)细胞、High 5细胞、CD 18细胞

NCIH2066细胞类似产品::CAL-62细胞、hTERT-HME-1细胞、SUDHL10细胞

细胞传代方法:1:2-1:3传代;每周换液2-3次。

细胞来源说明:来源于RCB、ATCC、KCLB、DSMZ、ECACC、INCell、ScienCell、ECACC、JCRB、Asterand、ICLC等知名细胞库

BALB/3T3 (clone A31)细胞类似产品::OVCAR5细胞、MUTZ3细胞、BNL CL2细胞

hFOB1.19细胞类似产品::Helacyton gartleri细胞、IPLB-SF 21细胞、Ramos细胞

Centre Antoine Lacassagne-39细胞类似产品::Mv 1 Lu (NBL-7)细胞、High 5细胞、CD 18细胞

NCIH2066细胞类似产品::CAL-62细胞、hTERT-HME-1细胞、SUDHL10细胞

细胞生长特性:贴壁

经过40-50次分裂的渡过第二次死亡危机的细胞,称之为细胞系。如细胞系的生存期有限,则称之为有限细胞系(FiniteCellLine);已获无限繁殖能力的细胞系,称连续或无限细胞系(InfiniteCellLine)。无限细胞系大多已发生异倍化,具异倍体核型,可能成为恶性细胞,因此本质上已是发生转化的细胞系。无限细胞系有永生性(不死性),但仍保留接触抑制和无异体接种致死;有的有永生性,异体接种有致瘤性,说明已恶性化。由某一细胞系分离出来的、在性状上与原细胞系不同的细胞系,称亚系(Subline)。这是现有细胞系中多的一类,中国已建细胞系主要为这类细胞。肿瘤细胞系多由癌瘤建成,多呈类上皮型细胞,常已传几十代或百代以上,并具有不死性和异体接种致瘤性,丧失接触抑制能力。对已建成的各种细胞系或细胞株习惯上都给以名称;细胞的命名无严格统一规定,大多采用有一定意义缩写字或代号表示。但不论什么形式,均不宜太长,以便记忆和了解。

MM1-S细胞类似产品::NR8383细胞、L-M (TK-)细胞、UMRC2细胞

H-865细胞类似产品::Huh-7.5细胞、A20细胞、SKES-1细胞

PANC 327细胞类似产品::HepG2/C3A细胞、PC-3M IE8细胞、2E8细胞

Tsup-1细胞类似产品::CCFSTTG1细胞、58F细胞、HCC-1954BL细胞

U-138-MG细胞类似产品::SK-GT-2细胞、HNSC细胞、RIN-m5F细胞

KHYG1细胞类似产品::no-11细胞、Michigan Cancer Foundation-12A细胞、P30OHK细胞

UM-UC-3细胞类似产品::16HBEo-细胞、A704细胞、AN3CA细胞

HT55细胞类似产品::SUM 159PT细胞、UM-UC-14细胞、ML-2细胞

Panc10.05细胞类似产品::MUGCHOR1细胞、MLE-12细胞、Japanese Tissue Culture-28细胞

OVCAR-10细胞类似产品::IAR20细胞、NK-92MI细胞、Hs 895.T细胞

QGP-1 Cell|人胰腺癌细胞

KOPN8细胞类似产品::HCC 94细胞、OE-19细胞、BS-C-1细胞

AN3-CA细胞类似产品::UCLA-SO-M20细胞、GM16136细胞、SNK-1细胞

H1618细胞类似产品::TE-12细胞、TCMK-1细胞、H810细胞

UACC-812细胞类似产品::HT144-mel细胞、CL 1-5细胞、H69C细胞

HNE-3细胞类似产品::SK ES 01细胞、SK 1细胞、HOS-MNNG细胞

KS-SLK细胞类似产品::SNU-668细胞、Mink Lung细胞、Nthy-ori 3-1细胞

KS-SLK细胞类似产品::SNU-668细胞、Mink Lung细胞、Nthy-ori 3-1细胞

RERF-LCMS细胞类似产品::NCI-H1882细胞、MAntle cell VERona-1细胞、BLO-11细胞

COLO 320细胞类似产品::THLE-2细胞、UM-UC-3细胞、NCI-H1876细胞

HuH6细胞类似产品::Mel526细胞、LC1细胞、Wistar Institute, Susan Hayflick细胞

HEY A8细胞类似产品::ME-180细胞、H-2198细胞、CMK细胞

HCS-2/8细胞类似产品::293 c18细胞、PVEC细胞、GM03570细胞

MCAEC细胞类似产品::GM15452细胞、293T细胞、McA-RH 7777细胞

LNCaP C4-2细胞类似产品::SW480E细胞、DI TNC-1细胞、NK92细胞

SK-N-SH细胞类似产品::Moorfields/Institute of Ophthalmology-Muller 1细胞、DMS-79细胞、STC-1细胞

T47D细胞类似产品::AR-42J细胞、Hs895T细胞、Hs888T细胞

Hs_578t细胞类似产品::NOZC-1细胞、MILE SVEN 1细胞、NCIH1876细胞

Malme3M细胞类似产品::NCIH1993细胞、MDCK2细胞、HEP3B2细胞

VE细胞类似产品::GC-2spd(ts)细胞、LM3细胞、EA.Hy926细胞

SNU216细胞类似产品::MyLa 2059细胞、DI-TNC1细胞、HeLa细胞

UACC-812细胞类似产品::HT144-mel细胞、CL 1-5细胞、H69C细胞

HCC0202细胞类似产品::B-CPAP细胞、HT-29/CX-1细胞、OV-1063细胞

GS9L细胞类似产品::Mouse INsulinoma 6细胞、RAMOS2G64C10细胞、RGE细胞

251 MG细胞类似产品::2BS细胞、NCIH1618细胞、Hep G2/C3A细胞

FRTL 5细胞类似产品::RAW264细胞、OCI/AML-5细胞、NS1-Ag 4/1细胞

MOLP8细胞类似产品::D341MD细胞、LX-2细胞、McCoy B细胞

A375-MEL细胞类似产品::Hs 746.T细胞、SKLU-1细胞、Porcine Kidney-15细胞

TYKnu细胞类似产品::NCIH1915细胞、OVSAHO细胞、Fortner's melanotic melanoma #3细胞

H548细胞类似产品::Jurkat, Clone E6-1细胞、CCD18Co细胞、TSCCa细胞

QGP-1 Cell|人胰腺癌细胞

H847细胞类似产品::FRO细胞、Huh 7.5.1细胞、PE/CA-PJ34 (clone C12)细胞

CAL-62细胞类似产品::mRMEC细胞、KYSE180细胞、HS766T细胞

SW 1271细胞类似产品::J774 A1细胞、T-T细胞、COLO-699细胞

McG-1细胞类似产品::Y3.AG.1.2.3细胞、HPDEC细胞、ECV-304细胞

NCI-H2452细胞类似产品::SKMEL28细胞、L1210细胞、SCC-4细胞

HEC1-B细胞类似产品::HConEpic细胞、HT 1376.T细胞、GDM-1细胞

SVOG细胞类似产品::Panc-1-P细胞、HCC94细胞、B10BR细胞

MGc80-3细胞类似产品::Hep 3B细胞、T98-G细胞、OVCAR432细胞

SKNBE2细胞类似产品::PGBE1细胞、C26细胞、DHL-2细胞

SCC90细胞类似产品::COLO.205细胞、U-373MG ATCC细胞、W256细胞

OV 1063细胞类似产品::Pt K2 (NBL-5)细胞、B6Tert-1细胞、RL细胞

LM6细胞类似产品::NFS 60细胞、NCI-H735细胞、P30-OHKUBO细胞

H-740细胞类似产品::UACC 812细胞、H-1436细胞、HNE-2细胞

EAhy 926细胞类似产品::SU86_86细胞、SK-MES-1细胞、huH 1细胞

RS4-11细胞类似产品::H1688细胞、H-292细胞、C-643细胞

MB49细胞类似产品::HOC细胞、SF-763细胞、Mhh-Call 2细胞

KYSE-30细胞类似产品::95-D细胞、NCTC929细胞、3T3 L1细胞

"


QGP-1 Cell|人胰腺癌细胞;

公司简介

上海冠导生物工程有限公司,先后从ATCC、DSMZ、ECACC、RIKEN、PromoCell、ScienCell、JCRB等国内外细胞库引进细胞2000余株。以此为契机,公司组建了冠导细胞库,我司细胞均由资深细胞培养工程师进行培养。我司可以提供的细胞有:①细胞系②原代细胞③稳转株④耐药株⑤标记细胞⑥细胞配套试剂等。

成立日期 (11年)
注册资本 100万(元)
员工人数 50-100人
年营业额 ¥ 1000万-5000万
经营模式 工厂,试剂,定制,服务
主营行业 细胞培养,微生物学,细胞生物学

QGP-1 Cell|人胰腺癌细胞相关厂家报价

内容声明
拨打电话 立即询价