基本信息 产品详情 公司简介 推荐产品
网站主页 化工产品目录 生物 细胞培养 细胞系 人细胞系 BT-325 CELL:人脑多型胶质母细胞系 BT-325 Cell|人脑多型胶质母细胞
  • BT-325 Cell|人脑多型胶质母细胞

BT-325 Cell|人脑多型胶质母细胞

BT-325 Cell
询价 1000000g 起订
2000000g 起订
上海 更新日期:2026-04-10

上海冠导生物工程有限公司

VIP6年
联系人:全经理
电话:18818239863拨打
邮箱:3171921642@qq.com

产品详情:

中文名称:
BT-325 Cell|人脑多型胶质母细胞
英文名称:
BT-325 Cell
保存条件:
常温培养或液氮冻存
纯度规格:
BT-325 Cell|人脑多型胶质母细胞
产品类别:
生物试剂

"BT-325 Cell|人脑多型胶质母细胞

细胞背景资料:详见相关文献介绍

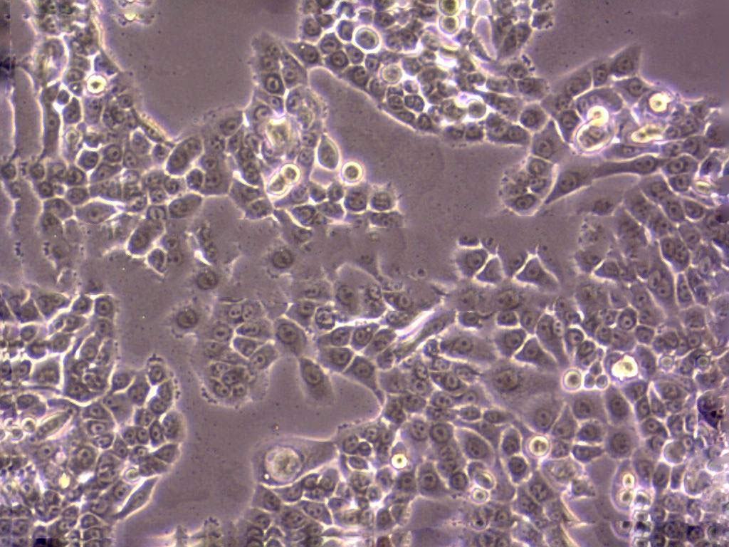
细胞形态:上皮细胞样

养了几年细胞,说一点自己培养细胞方面的看法:1)培养细胞前,可以看看细胞点说明书,包括细胞正常生长的状态图、传代、培养基的类型等;2)不同细胞生长周期不同,有的生长很快,比如说MDA-MB-231,传代的时候取离心悬液的十分之一就已经足够了,有的又是别慢,等的人心焦,BT474就是,传代是一分二,复苏起始的时候两周多才能长满,所以就要在培养细胞的过程中多多摸索了;3)对于娇弱的细胞,就得细心呵护了,胰酶消化不能过久,吹得时候要轻柔,离心时候也要注意转速和时间,每天都要去看一下细胞,肉眼观察培养基状况、显微镜下观察细胞生长状况;4)冻存细胞复苏后第二天ZuiHAO更换一次培养基;5)培养箱隔一段时间彻底用酒精棉擦洗一次;6)养细胞Zui大的教训:不能偷懒!细胞虐我千百遍,我待细胞如初恋。1)不管买的细胞、惠赠的细胞,刚拿到手赶紧做两件事:检测是否有支原体污染; 迅速扩增冻存;2)发现有污染迅速处理掉,别是当你养了很多种细胞时; 细菌污染,真菌污染很容易发现,支原体污染的话,细胞会长的慢,买个支原体检测的kit定期检测一下;3)传代细胞日常的值日清洁是必须的,此外还要定期熏蒸;4)细胞的传代一定要规律,保持相同的confluency和传代时间间隔,不要随心所欲或者拖延;5)注意个人卫生。

细胞生长:贴壁

MADB106细胞类似产品::JEG3细胞、SUM159PT细胞、Hs604T细胞

CEM-T4细胞类似产品::MDA-MB 468细胞、BRL细胞、HOP 62细胞

SUDHL-6细胞类似产品::MCF-10 Attached细胞、C166细胞、KOPN-8细胞

Mono-Mac-6细胞类似产品::KP-N-NS细胞、U-373 MG细胞、COLO 699细胞

VK2细胞类似产品::H838细胞、HEC-1A细胞、RCM1细胞

细胞物种来源:人源或鼠源等其它物种来源

BT-325 Cell|人脑多型胶质母细胞

[细胞产品包装]鲜活细胞:T25培养瓶(一瓶)或冻存细胞:1ml冻存管(两支)

细胞培养过程中,总是会出现各种意想不到的问题,一不留神就会全盘皆输。所谓细胞虐我千百遍,我待细胞如初恋。下面是贴壁细胞的保藏方法,希望对细胞培养初学操作者有所帮助:1)观察细胞状态:贴壁细胞密度达到85-90%,即可以细胞冻存形式进行保藏,拍照,记录细胞状态;2)细胞清洗:培养皿表面消毒后,转移至生物安全柜中,去除培养皿中培养液,加入12mlPBS,轻轻摇晃培养皿清洗细胞,随后吸除PBS清洗液;3)细胞消化:将2ml胰酶加入培养皿中,完全覆盖细胞,置于显微镜下观察(期间禁止摇晃培养皿),当细胞刚开始脱落时,立即转移至生物安全柜中,除去大部分胰酶,剩余约0.5ml胰酶,转移至培养箱内继续消化,每30秒肉眼观察细胞状态,至细胞成流沙状完全脱落,转移至生物安全柜中,加入12ml完全培养基,终止消化;4)细胞离心:将终止消化后的细胞悬液吹打均匀,吸取至15ml离心管中,1000r/min(110g),离心3min;5)细胞冻存:离心后去除细胞上清液,按照冻存细胞量5*10^5/ml,吸取冻存液重悬细胞沉淀,吹打均匀后分装至相应的冻存管中,进行冻存;6)细胞保藏:冻存管做HAO标记,放至程序降温盒中,于4℃冰箱放置30min,转移至-80℃超低温冰箱过夜,将过夜后的冻存细胞转移至液氮中保藏。

DSL-6A-C1细胞类似产品::HTh 74细胞、SW-1271细胞、HMEC细胞

JB-6 Cl 30细胞类似产品::U-343 MG细胞、EC-109细胞、V79细胞

H-1573细胞类似产品::HUCEC细胞、RCSMC细胞、SkChA-1细胞

NCI-H2342细胞类似产品::174xCEM.T2细胞、NCIH889细胞、hEEC细胞

细胞传代方法:1:2-1:3传代;每周换液2-3次。

细胞来源说明:来源于RCB、ATCC、KCLB、DSMZ、ECACC、INCell、ScienCell、ECACC、JCRB、Asterand、ICLC等知名细胞库

DSL-6A-C1细胞类似产品::HTh 74细胞、SW-1271细胞、HMEC细胞

JB-6 Cl 30细胞类似产品::U-343 MG细胞、EC-109细胞、V79细胞

H-1573细胞类似产品::HUCEC细胞、RCSMC细胞、SkChA-1细胞

NCI-H2342细胞类似产品::174xCEM.T2细胞、NCIH889细胞、hEEC细胞

细胞生长特性:贴壁或悬浮,详见细胞说明书部分

细胞培养中的污染分为两类,化学污染和生物污染;生物污染包括比较容易发现的细菌、霉菌和酵母的污染,和较难发现的病毒、支原体和其他细胞的污染。细菌、霉菌和酵母到处存在,它们能在合适的环境中非常快速的生长。这些污染比较容易观察到,它们往往会使其污染的培养液产生可见的变化,或者通过显微镜观察就可以看见。由于病毒有种属异性,所以病毒污染的概率比较小。但是病毒污染难于发现,因为病毒颗粒别微小,一般的实验室都没能力检查细胞培养中污染的病毒。由于病毒一般潜伏在细胞内,对整个细胞培养不是致死的,所以它可能会使研究人员长期得到受病毒影响的细胞的实验结果。1956年Robinson及其同事首次发现细胞培养中的支原体污染。90年代初的一个调查发现,在美国培养的细胞中,至少有15%被支原体污染。由于支原体没有细胞壁,在细胞培养液中几乎是透明的,同时对常用于细胞培养中的抗生素不敏感,不引起pH变化,不使培养液浑浊,所以支原体污染不容易被发现,但是其存在会影响实验的结果。培养多种细胞时操作不当,会导致细胞的交叉污染。由于不同细胞的生产速率不同,污染的生长速率快的细胞终会完全取代被污染的细胞。

H1651细胞类似产品::OVSAHO细胞、LC-2-Ad细胞、SkChA1细胞

Eca109细胞类似产品::H283细胞、B104 [Rat neuroblastoma]细胞、H1341细胞

TJ905细胞类似产品::CCC-HEL-1细胞、SNU-407细胞、Pa017C细胞

H1568细胞类似产品::MSTO-211细胞、NCIH1694细胞、H-676细胞

Tb1.Lu细胞类似产品::CPA47细胞、H-1869细胞、L363细胞

MDA MB 436细胞类似产品::U266-B1细胞、EAC-E2G8细胞、KM12-SM细胞

WSU-DLCL2细胞类似产品::RL-95-2细胞、MIO-M1细胞、CEM/C1细胞

LNCaP subline C4-2细胞类似产品::Swiss3T3细胞、SK_HEP1细胞、CHO/dhFr-细胞

SKNO-1细胞类似产品::HEC-151细胞、IEC-18细胞、C32 [Human melanoma]细胞

NCI-H1993细胞类似产品::PTK 1细胞、HuH-6细胞、P3/NS1/Ag4-1细胞

BT-325 Cell|人脑多型胶质母细胞

HN6细胞类似产品::HPB-ALL细胞、NOZ细胞、MOPC细胞

B-cell with DC Morphology细胞类似产品::SCL2细胞、Caco-2/ATCC细胞、CA46细胞

Li-7细胞类似产品::NCTC clone 929细胞、Balb/3T3-4-Cl31细胞、VM-CUB-I细胞

H-847细胞类似产品::Li-7细胞、ATDC-5细胞、CMECs细胞

AG 9细胞类似产品::Ramos-RA1细胞、IAR20细胞、NCIH345细胞

M3 Clone M-3细胞类似产品::HMy2.CIR细胞、HN-6细胞、T/G HA-VSMC细胞

M3 Clone M-3细胞类似产品::HMy2.CIR细胞、HN-6细胞、T/G HA-VSMC细胞

Suzhou Human Glioma-44细胞类似产品::52PE细胞、H-157细胞、B16 melanoma F10细胞

DHL4细胞类似产品::IALM细胞、CALU 1细胞、GDM1细胞

Eca-109细胞类似产品::SKMEL1细胞、F-36P细胞、HCMEC(BL12-H)细胞

Mv1.Lu细胞类似产品::MDA-MB-361细胞、H1975细胞、P3X63细胞

SCL-1细胞类似产品::MDA-MB-175-VII细胞、SO-RB50细胞、NCI-H1581细胞

Human Intestinal Epithelial Cell-6细胞类似产品::QGY7701细胞、CNE-2细胞、PK (15)细胞

Balb/c3T3细胞类似产品::IPLB-SF 21AE细胞、DLM8细胞、BL6细胞

SUM 159细胞类似产品::C8-D1A细胞、IALM细胞、NCI-H2066细胞

SO-Rb 50细胞类似产品::293/EBNA细胞、H-1385细胞、RASMC细胞

ACC3细胞类似产品::SU.86细胞、Detroit562细胞、OC-316细胞

mousepodocyte细胞类似产品::HH [Human lymphoma]细胞、Menschliche Und Tierische Zellkulture-3细胞、MCA-38细胞

IPLB-SF 21AE细胞类似产品::SKO3细胞、Intestinal Porcine Epithelial Cell line-J2细胞、HCC-2108细胞

TEV-1细胞类似产品::4175细胞、Pan02细胞、Normal fibroblast-10细胞

Mouse Podocyte Clone-5细胞类似产品::DSL-6A/C1细胞、HCEC-12细胞、U-251细胞

3T3NIH细胞类似产品::LX-2细胞、HCC1395细胞、OV1-P细胞

HuH1细胞类似产品::NCI-H747细胞、Wien133细胞、AKR细胞

NCI-H1238细胞类似产品::NCI-H1668细胞、BAC1.2F5细胞、SKMEL-31细胞

SK Mel 1细胞类似产品::OVCAR 5细胞、MUG-Chor1细胞、SW-579细胞

T HEECs细胞类似产品::N1E-115细胞、NALM 6细胞、SHG-44细胞

NCI-H2198细胞类似产品::Ca761细胞、OVCAR5细胞、DSL6A/C1细胞

SK HEP 01细胞类似产品::HcaF细胞、Wien-133细胞、CAMA-1细胞

ZR7530细胞类似产品::Caco2-BBE细胞、293-F细胞、H-1092细胞

BT-325 Cell|人脑多型胶质母细胞

A2780 CP70细胞类似产品::Cor L88细胞、B958细胞、HELA-GFP细胞

P3HR-1细胞类似产品::CA-OV-3细胞、REC 1细胞、KMS11细胞

NKL细胞类似产品::Kobe university Oral Squamous Cell culture-2细胞、C4-2 B细胞、SW 1222细胞

Pan02细胞类似产品::OVCAR.5细胞、JTC-28细胞、EHEB细胞

LLC-MK2细胞类似产品::Primary Liver Carcinoma/Poliomyelitis Research Foundation/5细胞、PC3细胞、L-M (TK-)细胞

HEL细胞类似产品::OSA细胞、MPP 89细胞、MDAMB175VII细胞

GM00637I细胞类似产品::NCIH292细胞、Medical University of Graz-Chordoma 1细胞、HS-940-T细胞

Balb/3T3-4-Cl31细胞类似产品::PL-5细胞、Tb1.Lu细胞、CHG5细胞

Balb/3T3-4-Cl31细胞类似产品::PL-5细胞、Tb1.Lu细胞、CHG5细胞

NCIH295R细胞类似产品::TI-73细胞、NCIH1755细胞、NCI-H2591细胞

FU-MMT-1细胞类似产品::KG-1a细胞、H-522细胞、SK-Mel 2细胞

MeT 5A细胞类似产品::SW1783细胞、IPI-2I细胞、Panc 02.03细胞

H-2107细胞类似产品::rUCMSCs细胞、HDQP1细胞、H-1688细胞

SW-13细胞类似产品::B35细胞、RH35细胞、MCF-7B细胞

PAN 02细胞类似产品::MFM-223细胞、MTEC1细胞、RAW-264.7细胞

SW.620细胞类似产品::GM-215细胞、MCCAR细胞、SK-NMC细胞

H4-IIE-C3细胞类似产品::CAL 27细胞、Human Embryonic Kidney 293细胞、Walker-Ca.256细胞

"


BT-325 Cell|人脑多型胶质母细;

公司简介

上海冠导生物工程有限公司,先后从ATCC、DSMZ、ECACC、RIKEN、PromoCell、ScienCell、JCRB等国内外细胞库引进细胞2000余株。以此为契机,公司组建了冠导细胞库,我司细胞均由资深细胞培养工程师进行培养。我司可以提供的细胞有:①细胞系②原代细胞③稳转株④耐药株⑤标记细胞⑥细胞配套试剂等。

成立日期 (11年)
注册资本 100万(元)
员工人数 50-100人
年营业额 ¥ 1000万-5000万
经营模式 工厂,试剂,定制,服务
主营行业 细胞培养,微生物学,细胞生物学

BT-325 Cell|人脑多型胶质母细胞相关厂家报价

内容声明
拨打电话 立即询价