基本信息 产品详情 公司简介 推荐产品
网站主页 化工产品目录 生物 细胞培养 细胞系 人细胞系 人肺癌细胞 SPC-A1 Cell|人肺腺癌细胞
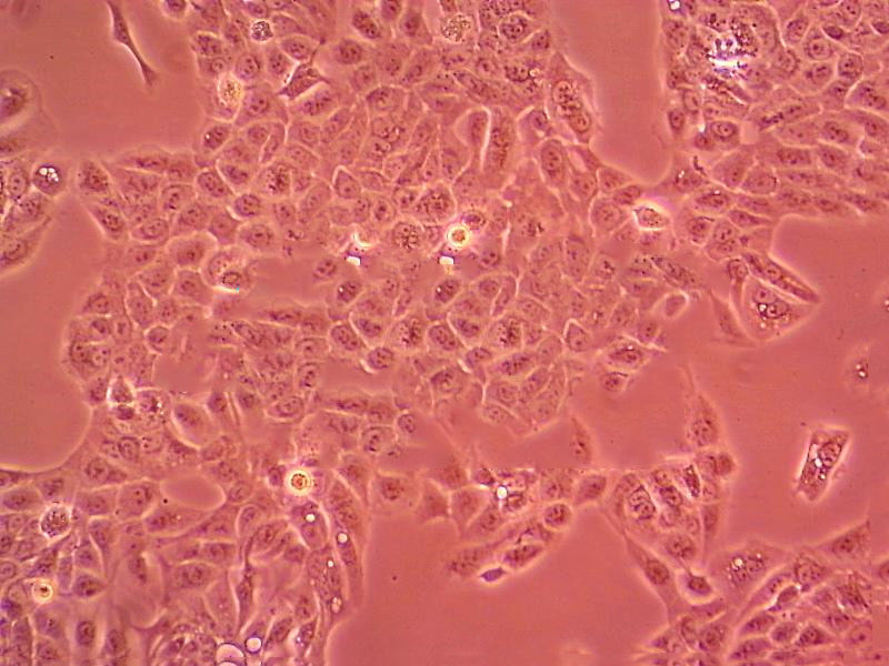
  • SPC-A1 Cell|人肺腺癌细胞

SPC-A1 Cell|人肺腺癌细胞

SPC-A1 Cell
询价 1000000g 起订
2000000g 起订
上海 更新日期:2026-04-15

上海冠导生物工程有限公司

VIP6年
联系人:全经理
电话:18818239863拨打
邮箱:3171921642@qq.com

产品详情:

中文名称:
SPC-A1 Cell|人肺腺癌细胞
英文名称:
SPC-A1 Cell
保存条件:
常温培养或液氮冻存
纯度规格:
SPC-A1 Cell|人肺腺癌细胞
产品类别:
生物试剂

"SPC-A1 Cell|人肺腺癌细胞

细胞背景资料:详见相关文献介绍

细胞形态:上皮细胞样

细胞接收操作说明:请仔细阅读本操作说明及相应的细胞说明书。本公司细胞发货有四种形式:T25培养瓶(一般是贴壁细胞使用,悬浮细胞也可以)、离心管(悬浮细胞使用多,当然,有些公司也会用这种离心管形式发贴壁细胞,但是,长期经验来说,贴壁细胞容易发生形态变化,估计是细胞培养空间狭小,血清不足导致(Zui主要是怕运输延误导致这些情况发生),个人不建议用离心管形式发贴壁细胞)及干冰(冻存细胞用,主要是冬天天气冷,温度低于4℃的地方,都要考虑冻存细胞)。T25培养瓶:是用T25细胞培养瓶直接发货的形式。收到细胞后,拆开包装T25培养瓶的自封袋,不拆封口膜,表面喷75%酒精消毒后显微镜观察细胞状态(有条件可以拍下此时细胞照片)。将细胞放入37度培养箱平衡两小时以上,再处理细胞。首先将T25中培养基取出装HAO备用,如细胞密度GAO于80%,可以直接消化传代,相反则加入5-6ml培养基放回培养箱继续培养即可。离心管:是用15ml离心管发货的形式,只用于悬浮细胞发货。收到细胞后消毒处理及将细胞放入37度培养箱平衡两小时以上,再处理细胞。首先将T25中培养基取出装HAO备用(如果实验室没有T25培养瓶,可以暂时T75培养瓶,加入10-15ml培养基,建议10ml培养基,也可以使用T175培养瓶,加入50-60ml培养基,培养瓶越大,需要的培养基越多。当然如果刚接收到细胞密度不够的话,ZuiHAO不用大瓶子,先用小瓶子养起来再换大的,不然会长得很慢,严重的,会导致细胞死亡等危险),平衡完成后,离心(1000rpm,3min)收集细胞,弃上清,用新的培养基重悬细胞并接种至培养瓶或皿中,放回培养箱继续培养。干冰:是用本公司冻存液冻存细胞后,直接用干冰将冻存的细胞冷冻发货的形式。收到细胞后按照细胞复苏的步骤操作即可。

细胞生长:贴壁

HA1800细胞类似产品::HUSMC细胞、SUDHL-10细胞、K7M2-WT细胞

MDA-MB231细胞类似产品::SF-126细胞、HMEL细胞、AN-3细胞

H-1672细胞类似产品::PC3M细胞、BSC1细胞、CaEs17细胞

STO细胞类似产品::NCIH1092细胞、E304细胞、ACC3细胞

VMM39细胞类似产品::SNU520细胞、149 PT细胞、aTC1 Clone 6细胞

细胞物种来源:人源或鼠源等其它物种来源

SPC-A1 Cell|人肺腺癌细胞

[细胞产品包装]鲜活细胞:T25培养瓶(一瓶)或冻存细胞:1ml冻存管(两支)

在细胞培养过程中会出现这样或那样的问题,客户遇到的问题从细胞生长角度来说,针对细胞培养过程中生长不HAO、甚至死亡的原因,我们做以下分析并提出相对应的解决方法。一、培养细胞生长不HAO》可能原因:细胞本身的状态》1)细胞传代次数多,细胞老化;2)细胞的接种量:接种量过低,细胞生长缓慢;3)细胞传代时间过晚:细胞中毒,影响传代后的细胞生长;4)胰酶消化时间过长或过短:时间过长,细胞死亡;时间过短,细胞未完全分离而成团,细胞死亡;5)细胞的冻存与复苏:慢冻速融。污染:1)支原体污染;2)霉菌污染;培养基或血清:1)更换血清或培养基之前未进行验证;2)选择的培养基是否合适;3)培养基配制是否准确无误;培养环境:1)CO2供应是否正常;2)培养箱或摇床温度控制是否正确;解决方法:根据以上四个方面的可能原因,做出针对性的解决方案》1)注意细胞的本身状态:如传代次数、接种量等;2)避免产生污染(用正规、合法、可溯源的血清);3)要用合适的血清或培养基,ZuiHAO经过验证;4)注意实验室的环境;二、培养细胞死亡》可能原因:1)培养箱内无CO2;2)培养箱内温度波动太大;3)细胞冻存或复苏过程中损伤;4)培养液渗透压不正确;5)培养液中有毒代谢产物堆积;解决方法:1)检测培养箱内CO2;2)检查培养箱内温度;3)取新的保存细胞种;4)检测培养液渗透压;5)换入新鲜培养液。

Calu6细胞类似产品::Ra #1细胞、RPMI8402细胞、HEK-A细胞

NRK clone 52E细胞类似产品::PBL细胞、ARO81细胞、NIH:OVCAR-5细胞

Hepa-RG细胞类似产品::SF 763细胞、DHL4细胞、NCIH1373细胞

VSMC细胞类似产品::Hce8693细胞、Calu3细胞、IGROV 1细胞

细胞传代方法:1:2-1:3传代;每周换液2-3次。

细胞来源说明:来源于RCB、ATCC、KCLB、DSMZ、ECACC、INCell、ScienCell、ECACC、JCRB、Asterand、ICLC等知名细胞库

Calu6细胞类似产品::Ra #1细胞、RPMI8402细胞、HEK-A细胞

NRK clone 52E细胞类似产品::PBL细胞、ARO81细胞、NIH:OVCAR-5细胞

Hepa-RG细胞类似产品::SF 763细胞、DHL4细胞、NCIH1373细胞

VSMC细胞类似产品::Hce8693细胞、Calu3细胞、IGROV 1细胞

细胞生长特性:贴壁或悬浮,详见细胞说明书部分

细胞培养中的污染分为两类,化学污染和生物污染;生物污染包括比较容易发现的细菌、霉菌和酵母的污染,和较难发现的病毒、支原体和其他细胞的污染。细菌、霉菌和酵母到处存在,它们能在合适的环境中非常快速的生长。这些污染比较容易观察到,它们往往会使其污染的培养液产生可见的变化,或者通过显微镜观察就可以看见。由于病毒有种属异性,所以病毒污染的概率比较小。但是病毒污染难于发现,因为病毒颗粒别微小,一般的实验室都没能力检查细胞培养中污染的病毒。由于病毒一般潜伏在细胞内,对整个细胞培养不是致死的,所以它可能会使研究人员长期得到受病毒影响的细胞的实验结果。1956年Robinson及其同事首次发现细胞培养中的支原体污染。90年代初的一个调查发现,在美国培养的细胞中,至少有15%被支原体污染。由于支原体没有细胞壁,在细胞培养液中几乎是透明的,同时对常用于细胞培养中的抗生素不敏感,不引起pH变化,不使培养液浑浊,所以支原体污染不容易被发现,但是其存在会影响实验的结果。培养多种细胞时操作不当,会导致细胞的交叉污染。由于不同细胞的生产速率不同,污染的生长速率快的细胞终会完全取代被污染的细胞。

COLO-680N细胞类似产品::HEK-293FT细胞、KP 4细胞、HGSMC细胞

CTLL2细胞类似产品::HeLa-S3细胞、CCRF SB细胞、NCI-H125细胞

CORL105细胞类似产品::HT-29细胞、Ontario Cancer Institute-Acute Myeloid Leukemia-3细胞、MDA-MB 361细胞

CAOV3细胞类似产品::CEL细胞、ACHN细胞、B16-F1细胞

HCC-1569细胞类似产品::WSUDLCL2细胞、AN3 CA细胞、Hs606T细胞

RKO-E6细胞类似产品::RetroPack PT67细胞、HMEL细胞、SF126细胞

HUT 28细胞类似产品::NCIH1666细胞、SNU-475细胞、MEG-01细胞

EL-4细胞类似产品::NHDF细胞、16HBE14o-细胞、MHCC-97细胞

Madison细胞类似产品::RF/6A细胞、SF 126细胞、CBRH7919细胞

NIH:OVCAR-10细胞类似产品::RPTEC TERT1细胞、HONE-1细胞、MDA MB 175 VII细胞

SPC-A1 Cell|人肺腺癌细胞

OEC33细胞类似产品::ZR-75-1细胞、HPF细胞、Wien133细胞

CNLMG-B5537SKIN细胞类似产品::UPCI:SCC90细胞、L 540细胞、SK-N-BE2细胞

HIEC6细胞类似产品::JeKo-1细胞、Ramos-RA1细胞、LNCaP FGC细胞

NCIH596细胞类似产品::Tu-212细胞、NCIH2066细胞、CL1细胞

DoHH2细胞类似产品::VMRCRCZ细胞、KYSE 180细胞、H-2291细胞

NCI-H2122细胞类似产品::R1610细胞、U-CH1细胞、HFL1细胞

NCI-H2122细胞类似产品::R1610细胞、U-CH1细胞、HFL1细胞

Me-Wo细胞类似产品::CEM细胞、HO1-N-1细胞、SW837细胞

P-36细胞类似产品::HCT_116细胞、Chinese Hamster Ovary细胞、VM-CUB-1细胞

HFLS-RA细胞类似产品::Evsa-T细胞、J774 A.1细胞、RAW 264.7细胞

CHL-1细胞类似产品::NCI-128细胞、HEK/EBNA细胞、MGH-U1细胞

MPC-83细胞类似产品::PL9细胞、MC 116细胞、H1355细胞

TGW-nu细胞类似产品::SKNEP细胞、OCI Ly10细胞、TE-85细胞

QGY 7701细胞类似产品::NCI H23细胞、HOPC细胞、MS1细胞

KALS1细胞类似产品::NCIH209细胞、2BS细胞、Cloudman S91 melanoma细胞

IHHA-1细胞类似产品::G402细胞、BEL 7405细胞、TE-32细胞

NCIH747细胞类似产品::SK Mel 1细胞、RFL-6细胞、U266BL细胞

HT 1080细胞类似产品::KG1A细胞、SKNBE(2)细胞、RMG-1细胞

A2008细胞类似产品::OsACL细胞、AU-Mel细胞、H-35 Reuber细胞

NCI-460细胞类似产品::CAL12T细胞、GFP-Olig2细胞、MKN-7细胞

HSAS1细胞类似产品::hEM15A细胞、NSH细胞、rHSC-99细胞

Hs-695-T细胞类似产品::H226细胞、JB6 Cl 30细胞、OVCA-420细胞

SKCol1细胞类似产品::AtT 20细胞、NCIH250细胞、OVCAR-8/ADR细胞

SK-RC-39细胞类似产品::PE/CA-PJ34细胞、BT.549细胞、COR-L51细胞

MV4II细胞类似产品::Asian Medical Center-Head and Neck cancer-8细胞、KYSE520细胞、HFLS-RA细胞

Hs888Lu细胞类似产品::COLO 829细胞、Y79细胞、SUM52PE细胞

Panc-08.13细胞类似产品::C4-I细胞、Normal Rat, August 3, 1983细胞、MCF 7细胞

RMG-1细胞类似产品::V79-GalK1细胞、LOU-NH-91细胞、OSC-19细胞

766T细胞类似产品::EnCa1细胞、ABC-1细胞、RS4-11细胞

SPC-A1 Cell|人肺腺癌细胞

NCI-H1563细胞类似产品::HO-8910PM细胞、U87MG细胞、FHCRC-11细胞

BGC823细胞类似产品::KM12SM细胞、Hep G2/C3A细胞、MLMA细胞

Jijoye细胞类似产品::D283细胞、SRA 01/04细胞、Mo 59J细胞

TE 671细胞类似产品::SCC15细胞、RT4细胞、SACCLM细胞

SNU601细胞类似产品::KYSE0030细胞、WiDr-TC细胞、KPNRTBM1细胞

NTERA-2/D1细胞类似产品::RM-1细胞、H-520细胞、MAVER-1细胞

HECCL-1细胞类似产品::K422细胞、OK细胞、H-1694细胞

NCI-H716细胞类似产品::GM 637细胞、NT2-D1细胞、PK13细胞

SK-MEL-2细胞类似产品::SNU638细胞、Mouse Bladder Tumor line-2细胞、CCD 841 CoN细胞

H1385细胞类似产品::MM.1S细胞、MD Anderson-Metastatic Breast-175-VIII细胞、HeLa229细胞

NCIH548细胞类似产品::COLO 679细胞、HGC27细胞、NCI-H838细胞

WSU-DLCL-2细胞类似产品::UWB1.289+BRCA1细胞、MuM-2C细胞、H.Ep.-2细胞

NALM-6细胞类似产品::RCCJF细胞、NIH:OVCAR3细胞、MCF.7细胞

AX-Mel细胞类似产品::TCMK-1细胞、OCUM-1细胞、AE 1201细胞

HEK-EBNA细胞类似产品::SK-ES细胞、Statens Seruminstitut Rabbit Cornea细胞、MD Anderson-Metastatic Breast-436细胞

Ramos (RA)细胞类似产品::BALB/3T3 clone A31细胞、H19-7细胞、Nb-2细胞

Wistar Institute-38细胞类似产品::PK(15)细胞、WM115细胞、PC 61-5-3细胞

"


SPC-A1 Cell|人肺腺癌细胞;

公司简介

上海冠导生物工程有限公司,先后从ATCC、DSMZ、ECACC、RIKEN、PromoCell、ScienCell、JCRB等国内外细胞库引进细胞2000余株。以此为契机,公司组建了冠导细胞库,我司细胞均由资深细胞培养工程师进行培养。我司可以提供的细胞有:①细胞系②原代细胞③稳转株④耐药株⑤标记细胞⑥细胞配套试剂等。

成立日期 (11年)
注册资本 100万(元)
员工人数 50-100人
年营业额 ¥ 1000万-5000万
经营模式 工厂,试剂,定制,服务
主营行业 细胞培养,微生物学,细胞生物学

SPC-A1 Cell|人肺腺癌细胞相关厂家报价 更多

  • NCI-H838
  • NCI-H838
  • 吉奥蓝图(广东)生命科学技术中心 VIP
  • 2026-04-15
  • ¥10000
内容声明
拨打电话 立即询价