基本信息 产品详情 公司简介 推荐产品
网站主页 化工产品目录 生物 细胞培养 细胞系 大鼠细胞系 RBL-1细胞系|大鼠嗜碱性粒细胞系 RBL-1 Cell|大鼠嗜碱性粒细胞
  • RBL-1 Cell|大鼠嗜碱性粒细胞

RBL-1 Cell|大鼠嗜碱性粒细胞

RBL-1 Cell
1266 1000000g 起订
询价 2000000g 起订
上海 更新日期:2026-04-25

上海冠导生物工程有限公司

VIP6年
联系人:全经理
电话:18818239863拨打
邮箱:3171921642@qq.com

产品详情:

中文名称:
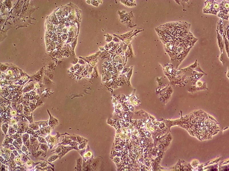
RBL-1 Cell|大鼠嗜碱性粒细胞
英文名称:
RBL-1 Cell
保存条件:
常温培养或液氮冻存
纯度规格:
RBL-1 Cell|大鼠嗜碱性粒细胞
产品类别:
生物试剂

"RBL-1 Cell|大鼠嗜碱性粒细胞

细胞背景资料:详见相关文献介绍

细胞形态:上皮细胞样

解冻细胞常见实验问题分析及推荐解决方法:在解冻冻存细胞时,发现会出现存活率低、大量细胞碎片及生长缓慢等问题,究竟是什么原因导致,我们该怎么进行解决?以下是国内外细胞培养专家针对解冻细胞实验问题,总结的一些解决方案!出现低存活率的可能原因及推荐解决方案如下:1)解冻过程中细胞裂解,推荐的解决方案:可预期到一定量的细胞死亡,因此细胞的浓度应足够GAO,考虑到这一损失。起始浓度为1*10(6)至1*10(7)细胞/毫升;2)解冻过程中的问题,推荐的解决方案:在-70℃至-80℃下保存冷冻的培养物,保存时间为1-5天,但这不是保存的方法。在37℃充分解冻后应立即开始培养;3)对冷冻液过敏,推荐的解决方案:A.完全或部分更换培养基,减少培养基中冷冻液的量。在24小时后更换培养液体可全部去除冷冻液。B.留出更多时间供培养物恢复。有时细胞需要几周时间才能形成单层或密集的悬浮物,取决于冷冻时细胞的年龄或传代次数或在生长阶段中的位置。冷冻的Zui佳条件在对数期;4)被冷冻的原种细胞的年龄或冷冻时培养物的年龄,推荐的解决方案:解冻Zui近冷冻的细胞。细胞处于冷冻状态的时间越长,存活率越低。检查冷冻细胞的时间和方法。在冷冻时细胞应处于对数期。

细胞生长:贴壁

Earles's cells细胞类似产品::BC3 H1细胞、OCI-LY-8细胞、NCI-SNU-C2B细胞

EBC-1/original细胞类似产品::Caki-2细胞、FRTL5细胞、HO8910/PM细胞

10T1/2细胞类似产品::BGC-823细胞、SK MES 1细胞、Murine Lung Epithelial-12细胞

MDA-157细胞类似产品::SJ-RH30细胞、UMR-106细胞、hRPTC细胞

FL-83B细胞类似产品::NCI-H2023细胞、HuH-28细胞、2E8细胞

细胞物种来源:人源或鼠源等其它物种来源

RBL-1 Cell|大鼠嗜碱性粒细胞

[细胞产品包装]鲜活细胞:T25培养瓶(一瓶)或冻存细胞:1ml冻存管(两支)

悬浮细胞不容易转染:悬浮细胞是指细胞生长不依赖支持物表面,在培养液中呈悬浮状态生长,如淋巴细胞。在实验室经常会遇到悬浮细胞的转染,其和贴壁细胞转染还是有很大不同的。目前大多数实验室用的是脂质体类的转染试剂,脂质体转染是基于电荷吸引原理,先形成脂质体-DNA复合物,散布在细胞周围,然后通过细胞的内吞作用,将目的基因导入细胞内,而脂质体复合物与贴壁细胞的接触机会比悬浮细胞GAO出很多倍,所以,脂质体转染时悬浮细胞的转染效率要明显低于贴壁细胞。其次,脂质体试剂的毒性较大,这就使得悬浮细胞的转染更为困难了。另外,悬浮细胞不易培养,易死亡,也给细胞转染造成了一定的困难。为了提GAO悬浮细胞的转染效率,可以使用非脂质体的转染试剂,如纳米材料的。也可以使用电转染方法,针对悬浮细胞等难转染细胞还是挺不错的,电击对细胞有一定的损伤,ZuiHAO选用具有细胞膜修复功能的电转染试剂,可以将电击对细胞的伤害降到Zui低,悬浮细胞不易转染,选对试剂及良HAO的细胞培养环境才是关键。

SNU387细胞类似产品::3T3L1细胞、SNU739细胞、Human Intestinal Epithelial Cell-6细胞

MH-22a细胞类似产品::High-5细胞、NCI-H2286细胞、P3-NS1/1Ag 4.1细胞

HCC-95细胞类似产品::Kit-225细胞、HDQ-P1细胞、DMS-273细胞

NCI-H345细胞类似产品::MOVAS-1细胞、MAC1细胞、K-1735细胞

细胞传代方法:1:2-1:3传代;每周换液2-3次。

细胞来源说明:来源于RCB、ATCC、KCLB、DSMZ、ECACC、INCell、ScienCell、ECACC、JCRB、Asterand、ICLC等知名细胞库

SNU387细胞类似产品::3T3L1细胞、SNU739细胞、Human Intestinal Epithelial Cell-6细胞

MH-22a细胞类似产品::High-5细胞、NCI-H2286细胞、P3-NS1/1Ag 4.1细胞

HCC-95细胞类似产品::Kit-225细胞、HDQ-P1细胞、DMS-273细胞

NCI-H345细胞类似产品::MOVAS-1细胞、MAC1细胞、K-1735细胞

细胞生长特性:贴壁或悬浮,详见细胞说明书部分

细胞系(cell line)指原代细胞培养物经首次传代成功后所繁殖的细胞群体。 也指可长期连续传代的培养细胞。(由此便引申出了后来的有限细胞系(FiniteCellLine)、无限细胞系(InfiniteCellLine)),因此,细胞系狭义的是指可连续传代的细胞(定环境下口语和书面语都使用),广义是指可传代的细胞。肿瘤细胞系多由癌瘤建成,多呈类上皮型细胞,常已传几十代或百代以上,并具有不死性和异体接种致瘤性,丧失接触抑制能力。国际上美、英和日本等国已建有细胞库;美国已有美国标准细胞库或细胞银行(ATCC)和人遗传突变细胞库(HGMR)、细胞衰老细胞库(CAR)等,其中ATCC不仅是美国也世界大的细胞库。细胞系建立要求:什么样的体外培养群可被认可为己鉴定的细胞,视具体情况而定,无统一规定。对于用作原代培养的细胞只要供体均一,取材部位及组织种类等条件稳定即可,如用做长期培养,别是反复传代的细胞,常需做如下说明:组织来源:细胞供体所属物种,来自人体或者动物;个体性别、年龄;取材的器官或组织。如系肿瘤组织,应说明临床和病理诊断,以及病历号等。细胞生物学检测:了解细胞一般和殊的生物学性状,如细胞一般形态,异结构,细胞生长曲线和分裂指数,倍增时间,接种率等。如为肿瘤细胞,为说明来源于原肿瘤组织并保持恶性,须做软琼脂培养,异体接种致瘤和对正常组织侵润力等实验。培养条件和方法;应说明细胞系(或株)适应的生存环境,即指明使用的培养基、血清种类、用量以及适宜PH值。

COLO824细胞类似产品::U87MG细胞、G422细胞、H146细胞

CCRF细胞类似产品::EC9706细胞、SP2/0 Ag-14细胞、EA hy 926细胞

SNK-1细胞类似产品::CCD 966SK细胞、MD Anderson-Metastatic Breast-453细胞、H-2085细胞

HuO9细胞类似产品::SW1990细胞、MDA-436细胞、BT.549细胞

MEC1细胞类似产品::J 111细胞、Rat Chondrosarcoma Swarm细胞、SK Col 1细胞

RBVEC细胞类似产品::OCI AML2细胞、HDLM2细胞、HBZY 1细胞

HCC1500细胞类似产品::OEC33细胞、HTR-8/SV neo细胞、H1417细胞

N-2a细胞类似产品::SUDHL16细胞、B16-BL6细胞、NCI.H226细胞

H-929细胞类似产品::C3H/10T1/2 CL8细胞、ZR751细胞、NCI-H661细胞

NIH:OVCAR3细胞类似产品::NRK 52E细胞、Epstein-Barr-2细胞、SR细胞

RBL-1 Cell|大鼠嗜碱性粒细胞

SW962细胞类似产品::A375.S2细胞、HTR-8/SVneo细胞、3T6-Swiss albino细胞

SNU449细胞类似产品::BNL 1MEA.7R.1细胞、NCI-H1975细胞、HUC-1细胞

LS411细胞类似产品::H-2195细胞、NCI-H1668细胞、HCC1954细胞

MDA 1386细胞类似产品::LC2/Ad细胞、Huh-7.5.1细胞、HCC2185细胞

OVCA433细胞类似产品::EC-9706细胞、JCA-1细胞、NCI-H2029细胞

NTERA2-D1细胞类似产品::TGBC11TKB细胞、H378细胞、BT-549细胞

NTERA2-D1细胞类似产品::TGBC11TKB细胞、H378细胞、BT-549细胞

hEEC细胞类似产品::Pa017C细胞、A-2780细胞、MM.1S细胞

SCC15细胞类似产品::H1092细胞、NCI-H1694细胞、Colo699细胞

Tca-8113细胞类似产品::KM12细胞、Hca-F细胞、NP-69细胞

SW1271细胞类似产品::BT325细胞、P3X63 AG8-653细胞、3T3L1细胞

SK_N_FI细胞类似产品::UMUC1细胞、SUDHL4细胞、HMC-1细胞

U 937细胞类似产品::EAHY-926细胞、N1S1细胞、HBdSMC细胞

WM 239细胞类似产品::PAEC细胞、DLD-1细胞、HCT8细胞

RN细胞类似产品::SCC-4细胞、4T1细胞、NCI-H1963细胞

HeLa.S3细胞类似产品::ND7/23细胞、Ocular Choroidal Melanoma-1细胞、BT474细胞

P-36细胞类似产品::HCT_116细胞、Chinese Hamster Ovary细胞、VM-CUB-1细胞

H740细胞类似产品::Neuro2a细胞、SUM-190细胞、IOSE80细胞

H295细胞类似产品::T173细胞、CMK细胞、KRCY细胞

Kelly细胞类似产品::OSC19细胞、CHL-IU细胞、CCD-1095Sk细胞

Roswell Park Memorial Institute 1846细胞类似产品::PLC PRF 5细胞、HuT-102细胞、GM02219细胞

T/G HA-VSMC细胞类似产品::OVCAR-433细胞、PLC/PRF5细胞、NCI-H1563细胞

SK-N-BE-2细胞类似产品::ID8/MOSEC细胞、BpRc1细胞、SK-CO-1细胞

Stanford University-Diffuse Histiocytic Lymphoma-2细胞类似产品::Hep-3B细胞、KM12 SM细胞、HEK293E细胞

RCC-10细胞类似产品::SKCO-1细胞、OCI-Ly 18细胞、NCIH1355细胞

OP9细胞类似产品::SNU354细胞、P3X63 Ag8细胞、HCC-1187细胞

NCIH1105细胞类似产品::ST 486细胞、CT26.WT细胞、H-1299细胞

T98-G细胞类似产品::H-28细胞、D341 Med细胞、OV1/P细胞

PLB-985细胞类似产品::NCI-H676细胞、CAL 12细胞、KMH2细胞

RBL-1 Cell|大鼠嗜碱性粒细胞

KYSE50细胞类似产品::HMVEC细胞、OCI-Ly10细胞、EJ-1细胞

NH-6细胞类似产品::SKNBE-2细胞、HS0578T细胞、SK-MES1细胞

A-375细胞类似产品::H647ell细胞、A.704细胞、Hs683T细胞

HSC5细胞类似产品::SW 900细胞、AR42J细胞、H-510A细胞

G-292 clone A141B1细胞类似产品::EB2细胞、NCIH244细胞、LLC1细胞

BGC-823细胞类似产品::Pa17C细胞、7404细胞、H-2106细胞

OACP4 C细胞类似产品::H1581细胞、LLCPK1细胞、MOLT4细胞

SBC-5细胞类似产品::SACC-LM细胞、Soleus clone 8细胞、253J-Bladder-V细胞

COV 504细胞类似产品::HGBEC细胞、NCI-H520细胞、L-132细胞

NCI-H1672细胞类似产品::BL2141细胞、Turbot Embryonic Cell line细胞、OVCA432_Bast细胞

EFO 27细胞类似产品::TU 686细胞、Kit-225细胞、JB6 [Mouse]细胞

HCC-2218细胞类似产品::WRL 68细胞、SCC4细胞、RT-BM 1细胞

RASMCs细胞类似产品::U2932细胞、JIMT1细胞、SKNBE2C细胞

Saos2细胞类似产品::BHK21细胞、CL MC/9细胞、RH-30细胞

BCaP-37细胞类似产品::HCT-FET细胞、High Five细胞、H22-H8D8细胞

H-209细胞类似产品::253J-BV细胞、UCLA RO-81A-1细胞、KS-1 [Human glioblastoma]细胞

STO细胞类似产品::NCIH1092细胞、WEHI3B细胞、H-146细胞

"


RBL-1 Cell|大鼠嗜碱性粒细胞;

公司简介

上海冠导生物工程有限公司,先后从ATCC、DSMZ、ECACC、RIKEN、PromoCell、ScienCell、JCRB等国内外细胞库引进细胞2000余株。以此为契机,公司组建了冠导细胞库,我司细胞均由资深细胞培养工程师进行培养。我司可以提供的细胞有:①细胞系②原代细胞③稳转株④耐药株⑤标记细胞⑥细胞配套试剂等。

成立日期 (11年)
注册资本 100万(元)
员工人数 50-100人
年营业额 ¥ 1000万-5000万
经营模式 工厂,试剂,定制,服务
主营行业 细胞培养,微生物学,细胞生物学

RBL-1 Cell|大鼠嗜碱性粒细胞相关厂家报价

内容声明
拨打电话 立即询价