基本信息 产品详情 公司简介 推荐产品
网站主页 化工产品目录 生物 细胞培养 原代细胞 人原代细胞 EFO27 CELL<人卵巢腺癌细胞系> EFO-27 Cell|人卵巢腺癌细胞
  • EFO-27 Cell|人卵巢腺癌细胞

EFO-27 Cell|人卵巢腺癌细胞

EFO-27 Cell
询价 1000000g 起订
2000000g 起订
上海 更新日期:2026-04-18

上海冠导生物工程有限公司

VIP6年
联系人:全经理
电话:18818239863拨打
邮箱:3171921642@qq.com

产品详情:

中文名称:
EFO-27 Cell|人卵巢腺癌细胞
英文名称:
EFO-27 Cell
保存条件:
常温培养或液氮冻存
纯度规格:
EFO-27 Cell|人卵巢腺癌细胞
产品类别:
生物试剂

"EFO-27 Cell|人卵巢腺癌细胞

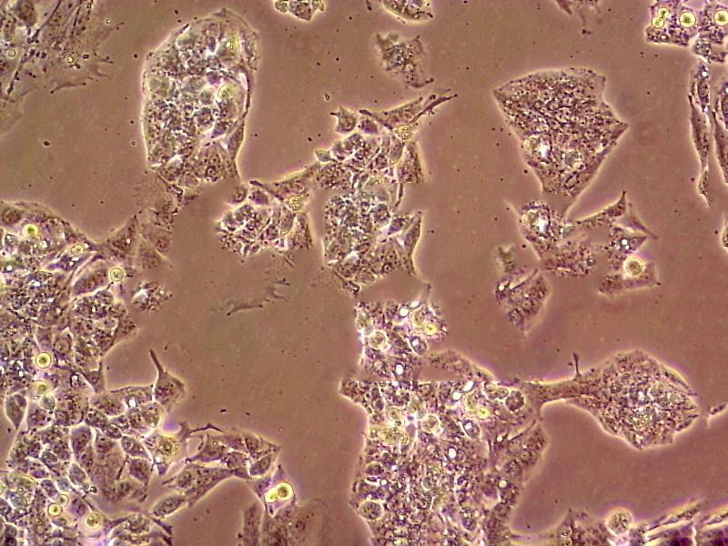
细胞背景资料:详见相关文献介绍

细胞形态:上皮细胞样

【细胞培养中细菌、霉菌的污染情况总结】细菌:细菌在普通倒置显微镜下为黑色细沙状,根据感染细菌的不同,可有不同的外形,培养液一般会浑浊变黄,对细胞生长影响明显。仔细检查一下器皿的灭菌情况,是否在GAO压灭菌时放气时间足够,压力足够!尤其是和储存培养液接触的移液管等物品,连续两次污染的话有可能造成储存液污染,一定要注意!下次使用前检查一下培养液是否存在浑浊的现象!可在培养液中加相应的抗生素处理;霉菌:培养液是清亮的,倒置显微镜下无杂质,37度孵箱培养2-3天,仍清亮,但出现絮状杂质,镜下可见呈细丝状的团状漂浮物,可看到明显的菌丝,细胞仍可生长,但时间长之后,细胞的活力状态变差,用酸铜溶液擦拭CO2孵箱内,再把水盘里也加上饱和量的酸铜。或者在培养箱的托盘加入饱和的消毒二钠GAO盐液体,可以防止霉菌污染。CO2孵箱被霉菌污染后,可把所有细胞暂时转移,采用擦洗孵箱(包括隔板,箱壁)。并把放置在孵箱内一个小时,使其蒸汽弥漫。待的气味消散后,再移入细胞。孵箱应定期清洁(2月左右),尤其在多雨的季节。其它培养箱清洗方法是:用84液擦洗-清水擦洗-75%酒精擦洗-紫外灯照。预防霉菌污染,可在培养基里加3u/ml的两性霉素或制霉菌素或D或双抗;但细胞一旦污染,很难挽救,制霉菌素或D或双抗都于事无补,建议舍弃该污染细胞,将环境彻底消毒,如果所有细胞都污染,可能是系统污染,检查一下培养基和器材,如果只是个别污染,可能是操作问题,就要注意操作。

细胞生长:贴壁

HEK-293细胞类似产品::Ramos 2G6.4C10细胞、OCI-Ly19细胞、NPA'87细胞

CCRF/CEM-C7细胞类似产品::SLMT-1细胞、MKN-7细胞、H-1694细胞

LAN6细胞类似产品::TE-8细胞、SKNO1细胞、Pt-K1细胞

H1238细胞类似产品::Dysplastic Oral Keratinocyte细胞、Case 3细胞、293E细胞

H-1581细胞类似产品::MDA 435细胞、KP-2细胞、H-1048细胞

细胞物种来源:人源或鼠源等其它物种来源

EFO-27 Cell|人卵巢腺癌细胞

[细胞产品包装]鲜活细胞:T25培养瓶(一瓶)或冻存细胞:1ml冻存管(两支)

悬浮细胞不容易转染:悬浮细胞是指细胞生长不依赖支持物表面,在培养液中呈悬浮状态生长,如淋巴细胞。在实验室经常会遇到悬浮细胞的转染,其和贴壁细胞转染还是有很大不同的。目前大多数实验室用的是脂质体类的转染试剂,脂质体转染是基于电荷吸引原理,先形成脂质体-DNA复合物,散布在细胞周围,然后通过细胞的内吞作用,将目的基因导入细胞内,而脂质体复合物与贴壁细胞的接触机会比悬浮细胞GAO出很多倍,所以,脂质体转染时悬浮细胞的转染效率要明显低于贴壁细胞。其次,脂质体试剂的毒性较大,这就使得悬浮细胞的转染更为困难了。另外,悬浮细胞不易培养,易死亡,也给细胞转染造成了一定的困难。为了提GAO悬浮细胞的转染效率,可以使用非脂质体的转染试剂,如纳米材料的。也可以使用电转染方法,针对悬浮细胞等难转染细胞还是挺不错的,电击对细胞有一定的损伤,ZuiHAO选用具有细胞膜修复功能的电转染试剂,可以将电击对细胞的伤害降到Zui低,悬浮细胞不易转染,选对试剂及良HAO的细胞培养环境才是关键。

624-mel细胞类似产品::HSC-5 [Human skin squamous cell carcinoma]细胞、aNK细胞、NUGC-2细胞

GM17219细胞类似产品::SUM159细胞、BT483细胞、Hs-852-T细胞

H226细胞类似产品::H-1882细胞、SK N SH细胞、CEM.C1细胞

MB231细胞类似产品::MKN 45细胞、KNS-81细胞、NRK 49F细胞

细胞传代方法:1:2-1:3传代;每周换液2-3次。

细胞来源说明:来源于RCB、ATCC、KCLB、DSMZ、ECACC、INCell、ScienCell、ECACC、JCRB、Asterand、ICLC等知名细胞库

624-mel细胞类似产品::HSC-5 [Human skin squamous cell carcinoma]细胞、aNK细胞、NUGC-2细胞

GM17219细胞类似产品::SUM159细胞、BT483细胞、Hs-852-T细胞

H226细胞类似产品::H-1882细胞、SK N SH细胞、CEM.C1细胞

MB231细胞类似产品::MKN 45细胞、KNS-81细胞、NRK 49F细胞

细胞生长特性:贴壁或悬浮,详见细胞说明书部分

细胞培养中的污染分为两类,化学污染和生物污染;生物污染包括比较容易发现的细菌、霉菌和酵母的污染,和较难发现的病毒、支原体和其他细胞的污染。细菌、霉菌和酵母到处存在,它们能在合适的环境中非常快速的生长。这些污染比较容易观察到,它们往往会使其污染的培养液产生可见的变化,或者通过显微镜观察就可以看见。由于病毒有种属异性,所以病毒污染的概率比较小。但是病毒污染难于发现,因为病毒颗粒别微小,一般的实验室都没能力检查细胞培养中污染的病毒。由于病毒一般潜伏在细胞内,对整个细胞培养不是致死的,所以它可能会使研究人员长期得到受病毒影响的细胞的实验结果。1956年Robinson及其同事首次发现细胞培养中的支原体污染。90年代初的一个调查发现,在美国培养的细胞中,至少有15%被支原体污染。由于支原体没有细胞壁,在细胞培养液中几乎是透明的,同时对常用于细胞培养中的抗生素不敏感,不引起pH变化,不使培养液浑浊,所以支原体污染不容易被发现,但是其存在会影响实验的结果。培养多种细胞时操作不当,会导致细胞的交叉污染。由于不同细胞的生产速率不同,污染的生长速率快的细胞终会完全取代被污染的细胞。

HSF细胞类似产品::C3H10T1/2 clone8细胞、MGECs细胞、NCIH2106细胞

PC.3细胞类似产品::SK-NM-C细胞、AZ 521细胞、SK-NM-C细胞

CCD-112CoN细胞类似产品::PC-3M 2B4细胞、EHEB细胞、RPMI 8402细胞

HS-445细胞类似产品::PC.3细胞、HLE-SRA-01/04细胞、University of Michigan-Urothelial Carcinoma-3细胞

EA. hy 926细胞类似产品::SUM190PT细胞、THLE-2细胞、AU 565细胞

DMS114细胞类似产品::LL/2细胞、Nb 2细胞、HCC-9204细胞

LC-1细胞类似产品::NCI-H1836细胞、JB6 clone 30, subclone 7b细胞、CO115细胞

SSP-25细胞类似产品::NIH 3T3细胞、MDCK细胞、MCF10-A细胞

HEL-92细胞类似产品::Hs 737.T细胞、NCIH1184细胞、PT-K75细胞

S.B.细胞类似产品::BEL7402细胞、HEK-293-EBNA细胞、DU 145细胞

EFO-27 Cell|人卵巢腺癌细胞

SNU-475细胞类似产品::SuDHL 10细胞、TF-1a细胞、SuDHL 10细胞

ARH77细胞类似产品::H-9细胞、SNU407细胞、P19细胞

PT-K75细胞类似产品::KBM5细胞、NCIH548细胞、HMVEC细胞

SU-86-86细胞类似产品::HCA 7细胞、NCIH820细胞、OVCA8细胞

SK-MES细胞类似产品::624-mel细胞、BBE细胞、MPP 89细胞

Eph4 1424细胞类似产品::HDMEC细胞、RBMVEC细胞、LC-2-Ad细胞

Eph4 1424细胞类似产品::HDMEC细胞、RBMVEC细胞、LC-2-Ad细胞

rUCMSCs细胞类似产品::HEK.EBNA细胞、SB细胞、ME16C细胞

bEnd3细胞类似产品::OCI-LY-7细胞、T 98 G细胞、HEL9217细胞

BMU-S1细胞类似产品::Caco 2细胞、NCI-H1781细胞、SW 982细胞

HMEC细胞类似产品::BE(2)-M17细胞、SKGT4细胞、QGP 1细胞

G361mel细胞类似产品::VP 267细胞、HCC-202细胞、HPB/ALL细胞

C26细胞类似产品::LS123细胞、TNC-1B12B4细胞、H9c2细胞

HuLEC-5a细胞类似产品::AG06814-M细胞、OCI-AML-5细胞、NBLAN5T细胞

H322细胞类似产品::P3-x63-Ag8 653细胞、Jiyoye细胞、293F细胞

HEI193细胞类似产品::DLD1细胞、138MG细胞、UMNSAH/DF-1细胞

NIH:OVCAR-8细胞类似产品::X63-Ag8.653细胞、QBI-HEK 293A细胞、IEC-6细胞

MC3T3-E1 Subclone 4细胞类似产品::RCF细胞、H184A1细胞、CAL 148细胞

RN-c细胞类似产品::BSC-1细胞、X63细胞、NTERA-2细胞

Huh-7细胞类似产品::MCM细胞、EAhy926细胞、MDAMB435S细胞

CCRF-CEM C7细胞类似产品::1301细胞、Colon 26细胞、Alexander细胞

TE-3A细胞类似产品::COLO 741细胞、GM06141B细胞、SuperTube细胞

MNNG-HOS (Cl#5)细胞类似产品::P31-FUJ细胞、HCGC细胞、Hi-5细胞

HBL1细胞类似产品::U2-OS细胞、VSMC细胞、D324细胞

BALB 3T3 clone A31细胞类似产品::MG-63细胞、PL45细胞、TM-3细胞

Hs-695-T细胞类似产品::H226细胞、JB6 Cl 30细胞、OVCA-420细胞

P388-D1细胞类似产品::SCL-I细胞、SU8686细胞、CoCL3细胞

SNU-407细胞类似产品::HCC-44细胞、SK UT 1细胞、TE-1细胞

MDAMB468细胞类似产品::HT1080细胞、BC-023细胞、IM9细胞

EFO-27 Cell|人卵巢腺癌细胞

Tb 1-Lu细胞类似产品::BNL-HCC细胞、NCIH1688细胞、GM07404D细胞

PLA802细胞类似产品::CaES-17细胞、HS-5细胞、CCD-19Lu细胞

KMBC细胞类似产品::MKN-28细胞、TE 85 ClF-5细胞、Neukoplast细胞

H-211细胞类似产品::SUM 190细胞、HT1197细胞、CEM C7细胞

NCIH1930细胞类似产品::Hs888Lu细胞、LLC1细胞、NCI-H676细胞

PLC/PRF5细胞类似产品::KYSE 510细胞、SUPB15细胞、LC1sq细胞

TCC-SUP细胞类似产品::NTERA-2/D1细胞、COLO824细胞、SK-RC-20细胞

H-929细胞类似产品::C3H/10T1/2 CL8细胞、ZR751细胞、NCI-H661细胞

H-929细胞类似产品::C3H/10T1/2 CL8细胞、ZR751细胞、NCI-H661细胞

mRMEC细胞类似产品::A375mel细胞、SCL-II细胞、SK-GT-2细胞

HCa/16A3-F细胞类似产品::SHEP1细胞、CCK-81细胞、RA.1细胞

BC-022细胞类似产品::EL-4细胞、COLO 206F细胞、RPMI-7666细胞

GM06141细胞类似产品::RBL-I细胞、THP 1细胞、NCI N87细胞

PC615.3细胞类似产品::HCC827细胞、LIM1215细胞、BEL7402细胞

MDA-MB231细胞类似产品::SF-126细胞、NCI-H1184细胞、TW-039细胞

SW-962细胞类似产品::H2126细胞、Jiyoye (P-2003)细胞、CFPAC1细胞

RPMI 2650细胞类似产品::JIMT细胞、HuLEC-5a细胞、H-735细胞

"


EFO-27 Cell|人卵巢腺癌细胞;

公司简介

上海冠导生物工程有限公司,先后从ATCC、DSMZ、ECACC、RIKEN、PromoCell、ScienCell、JCRB等国内外细胞库引进细胞2000余株。以此为契机,公司组建了冠导细胞库,我司细胞均由资深细胞培养工程师进行培养。我司可以提供的细胞有:①细胞系②原代细胞③稳转株④耐药株⑤标记细胞⑥细胞配套试剂等。

成立日期 (11年)
注册资本 100万(元)
员工人数 50-100人
年营业额 ¥ 1000万-5000万
经营模式 工厂,试剂,定制,服务
主营行业 细胞培养,微生物学,细胞生物学

EFO-27 Cell|人卵巢腺癌细胞相关厂家报价

内容声明
拨打电话 立即询价