基本信息 产品详情 公司简介 推荐产品
网站主页 化工产品目录 生物 细胞培养 细胞系 小鼠细胞系 MC3T3-E1 Subclone 4 Cell MC3T3-E1 Subclone 4 Cell|小鼠原成骨细胞
  • MC3T3-E1 Subclone 4 Cell|小鼠原成骨细胞

MC3T3-E1 Subclone 4 Cell|小鼠原成骨细胞

MC3T3-E1 Subclone 4 Cell
询价 1000000g 起订
2000000g 起订
上海 更新日期:2026-04-26

上海冠导生物工程有限公司

VIP6年
联系人:全经理
电话:18818239863拨打
邮箱:3171921642@qq.com

产品详情:

中文名称:
MC3T3-E1 Subclone 4 Cell|小鼠原成骨细胞
英文名称:
MC3T3-E1 Subclone 4 Cell
保存条件:
常温培养或液氮冻存
纯度规格:
MC3T3-E1 Subclone 4 Cell|小鼠原成骨细胞
产品类别:
生物试剂

"MC3T3-E1 Subclone 4 Cell|小鼠原成骨细胞

细胞背景资料:详见相关文献介绍

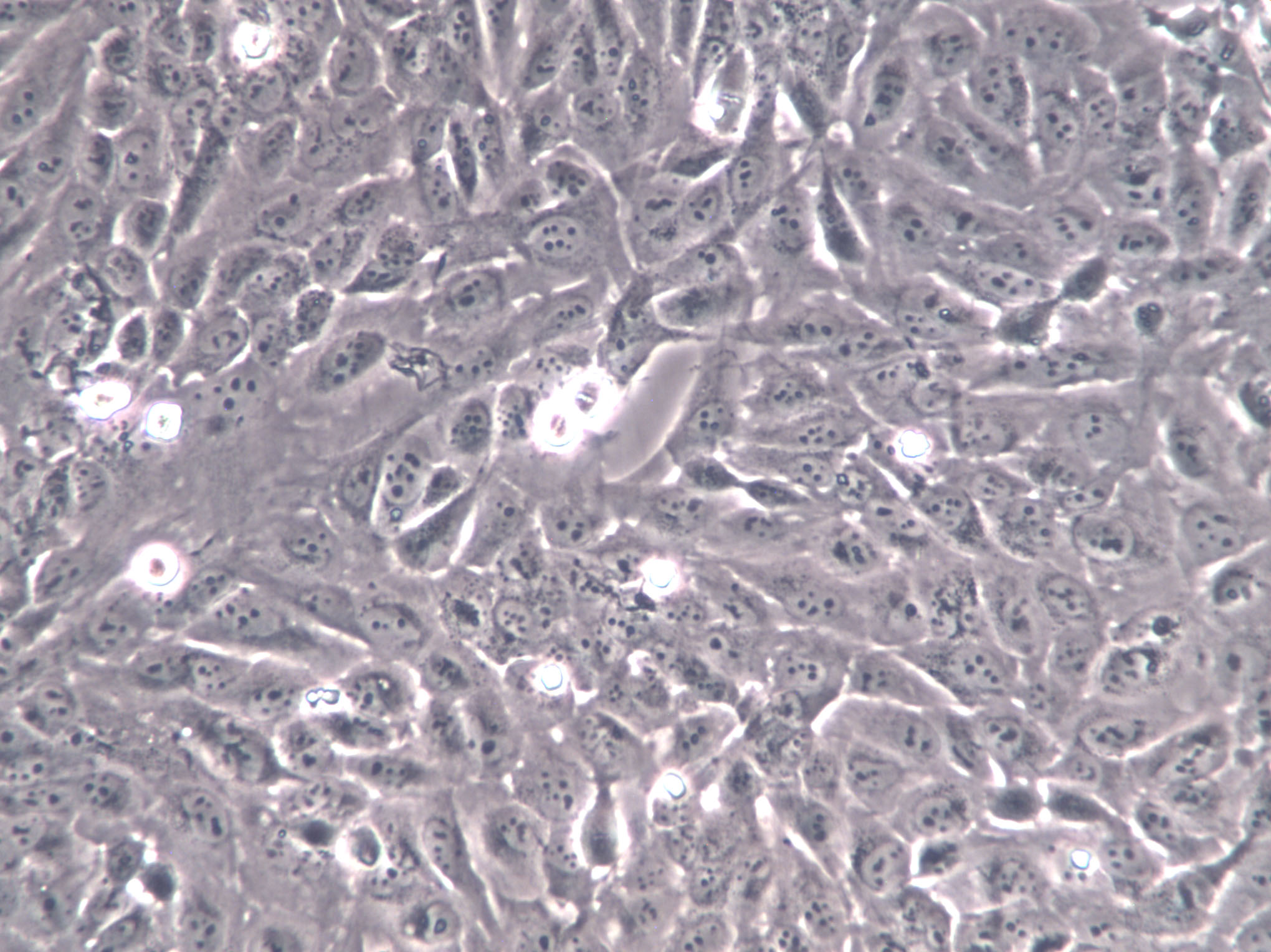
细胞形态:上皮细胞样

细胞接收操作说明:请仔细阅读本操作说明及相应的细胞说明书。本公司细胞发货有四种形式:T25培养瓶(一般是贴壁细胞使用,悬浮细胞也可以)、离心管(悬浮细胞使用多,当然,有些公司也会用这种离心管形式发贴壁细胞,但是,长期经验来说,贴壁细胞容易发生形态变化,估计是细胞培养空间狭小,血清不足导致(Zui主要是怕运输延误导致这些情况发生),个人不建议用离心管形式发贴壁细胞)及干冰(冻存细胞用,主要是冬天天气冷,温度低于4℃的地方,都要考虑冻存细胞)。T25培养瓶:是用T25细胞培养瓶直接发货的形式。收到细胞后,拆开包装T25培养瓶的自封袋,不拆封口膜,表面喷75%酒精消毒后显微镜观察细胞状态(有条件可以拍下此时细胞照片)。将细胞放入37度培养箱平衡两小时以上,再处理细胞。首先将T25中培养基取出装HAO备用,如细胞密度GAO于8MC3T3-E1 Subclone 4 Cell|小鼠原成骨细胞0%,可以直接消化传代,相反则加入5-6ml培养基放回培养箱继续培养即可。离心管:是用15ml离心管发货的形式,只用于悬浮细胞发货。收到细胞后消毒处理及将细胞放入37度培养箱平衡两小时以上,再处理细胞。首先将T25中培养基取出装HAO备用(如果实验室没有T25培养瓶,可以暂时T75培养瓶,加入10-15ml培养基,建议10ml培养基,也可以使用T175培养瓶,加入50-60ml培养基,培养瓶越大,需要的培养基越多。当然如果刚接收到细胞密度不够的话,ZuiHAO不用大瓶子,先用小瓶子养起来再换大的,不然会长得很慢,严重的,会导致细胞死亡等危险),平衡完成后,离心(1000rpm,3min)收集细胞,弃上清,用新的培养基重悬细胞并接种至培养瓶或皿中,放回培养箱继续培养。干冰:是用本公司冻存液冻存细胞后,直接用干冰将冻存的细胞冷冻发货的形式。收到细胞后按照细胞复苏的步骤操作即可。

细胞生长:贴壁

HeLa/DDP细胞类似产品::COLO 320细胞、KATO 3细胞、L-6 myoblast细胞

Ketr3细胞类似产品::HRA19细胞、PLA801-95D细胞、Rat Glomerular Endothelial细胞

NCI-H441细胞类似产品::HCC-366细胞、MOVAS细胞、PC-3M-IE8细胞

F442-A细胞类似产品::MOLT-16细胞、OVHM细胞、NCIH650细胞

HRA19细胞类似产品::RPMI1846细胞、A-172细胞、UMNSAH-DF-1细胞

细胞物种来源:人源或鼠源等其它物种来源

MC3T3-E1 Subclone 4 Cell|小鼠原成骨细胞

[细胞产品包装]鲜活细胞:T25培养瓶(一瓶)或冻存细胞:1ml冻存管(两支)

预防细胞污染的注意事项:实验进行前,超净台用紫外灯照射30-60min,然后用75%酒精擦拭超净台台面,并开启超净台风扇运转10min左右再开始实验操作。实验用品用75%酒精擦拭后才能放入超净台内;实验用品用完应移出超净台,以利于气流的流通。实验完成后用75%酒精擦拭超净台台面。每次操作只处理一种细胞;即使不同细胞使用相同的培养基也不要共享同一瓶培养基,避免细胞间的交叉污染。操作时小心取用无菌的物品,避免污染。勿碰触吸管尖头,不小心碰触后应立即更换;不要在打开的容器瓶口正上方操作,容器打开后,倾斜45°操作,操作完成后及时盖上瓶盖。CO2培养箱的清洁是较易被忽视的地方,应1-2个月对培养箱定期进行清洁消毒。先用75%酒精擦拭培养箱内壁、隔板、水盘2-3次,用双蒸水清洗,再用酒精棉球擦拭一遍,后紫外灯照射4h以上。水盘内加入无菌水(应每周更换),待培养箱内温度、湿度、CO2浓度稳定后再放入细胞。定期清洗或更换超净台过滤膜、预滤网。

SN12PM6细胞类似产品::COLO679细胞、HeLa细胞、KYSE180细胞

BetaTC6细胞类似产品::NIH-OVCAR-3细胞、Hs895.T细胞、A-172细胞

Hep 3B2_1-7细胞类似产品::SMMC 7721细胞、QGP 1细胞、HEH2细胞

MH7A细胞类似产品::HOK细胞、BHP-10细胞、H1793细胞

细胞传代方法:1:2-1:3传代;每周换液2-3次。

细胞来源说明:来源于RCB、ATCC、KCLB、DSMZ、ECACC、INCell、ScienCell、ECACC、JCRB、Asterand、ICLC等知名细胞库

SN12PM6细胞类似产品::COLO679细胞、HeLa细胞、KYSE180细胞

BetaTC6细胞类似产品::NIH-OVCAR-3细胞、Hs895.T细胞、A-172细胞

Hep 3B2_1-7细胞类似产品::SMMC 7721细胞、QGP 1细胞、HEH2细胞

MH7A细胞类似产品::HOK细胞、BHP-10细胞、H1793细胞

细胞生长特性:贴壁或悬浮,详见细胞说明书部分

细胞系(cell line)指原代细胞培养物经首次传代成功后所繁殖的细胞群体。 也指可长期连续传代的培养细胞。(由此便引申出了后来的有限细胞系(FiniteCellLine)、无限细胞系(InfiniteCellLine)),因此,细胞系狭义的是指可连续传代的细胞(定环境下口语和书面语都使用),广义是指可传代的细胞。肿瘤细胞系多由癌瘤建成,多呈类上皮型细胞,常已传几十代或百代以上,并具有不死性和异体接种致瘤性,丧失接触抑制能力。国际上美、英和日本等国已建有细胞库;美国已有美国标准细胞库或细胞银行(ATCC)和人遗传突变细胞库(HGMR)、细胞衰老细胞库(CAR)等,其中ATCC不仅是美国也世界大的细胞库。细胞系建立要求:什么样的体外培养群可被认可为己鉴定的细胞,视具体情况而定,无统一规定。对于用作原代培养的细胞只要供体均一,取材部位及组织种类等条件稳定即可,如用做长期培养,别是反复传代的细胞,常需做如下说明:组织来源:细胞供体所属物种,来自人体或者动物;个体性别、年龄;取材的器官或组织。如系肿瘤组织,应说明临床和病理诊断,以及病历号等。细胞生物学检测:了解细胞一般和殊的生物学性状,如细胞一般形态,异结构,细胞生长曲线和分裂指数,倍增时间,接种率等。如为肿瘤细胞,为说明来源于原肿瘤组织并保持恶性,须做软琼脂培养,异体接种致瘤和对正常组织侵润力等实验。培养条件和方法;应说明细胞系(或株)适应的生存环境,即指明使用的培养基、血清种类、用量以及适宜PH值。

RCC23细胞类似产品::L 929细胞、BHK-21细胞、HCC-1438细胞

HT(H9)细胞类似产品::Jurkat E6-1细胞、PLA-801C细胞、CG-4细胞

NCI-H460细胞类似产品::SK Mel28细胞、NCI-H1793细胞、SW 480细胞

NCI-SNU-C1细胞类似产品::SH-SY5Y细胞、HeLa S3细胞、PC-9/GR细胞

WM-266-4细胞类似产品::CCD-966SK细胞、T-HSC细胞、MCF-7/ADR-RES细胞

Hs.27细胞类似产品::H-526细胞、Hs 578Bst细胞、Nb 2细胞

LAD 2细胞类似产品::GC-1细胞、SN4741细胞、Hs 746T细胞

SKNO-1细胞类似产品::HEC-151细胞、IEC-18细胞、C32 [Human melanoma]细胞

MZCRC1细胞类似产品::PNT-1A细胞、YD15细胞、HLF-a细胞

K7M2-WT细胞类似产品::SW.620细胞、CMT93细胞、SCL-I细胞

MC3T3-E1 Subclone 4 Cell|小鼠原成骨细胞

JG细胞类似产品::SCC9细胞、High5细胞、MFE-296细胞

B16 F10细胞类似产品::A-704细胞、253JBV细胞、LNCaP subline C4-2细胞

H446细胞类似产品::SUIT 2细胞、OV-CA 432细胞、SF 767细胞

DoTc2-4510细胞类似产品::MS-751细胞、RPMI no. 8226细胞、SG231细胞

MADISON LUNG TA-109细胞类似产品::PK136细胞、MIA PaCa-2细胞、C666-1细胞

HS852.T细胞类似产品::HEL-299细胞、NCIH1915细胞、Fetal Rhesus Kidney-4细胞

HS852.T细胞类似产品::HEL-299细胞、NCIH1915细胞、Fetal Rhesus Kidney-4细胞

SK-N-F1细胞类似产品::Hs 274.T细胞、IM-95细胞、SW 1271细胞

A2780/CP70细胞类似产品::A-375SM细胞、SNU-16细胞、alpha TC1-6细胞

OCI-Ly1细胞类似产品::THPI细胞、Mahlavu细胞、HCC1500细胞

LC1/Sq细胞类似产品::Hs 822.T细胞、Be-Wo细胞、HCC-1806细胞

DHL-4细胞类似产品::NTHY-ORI3.1细胞、Panc-813细胞、H2110细胞

Human podocyte细胞类似产品::L(TK-)细胞、ECC12细胞、Daoy细胞

NCI-SNU-761细胞类似产品::293细胞、KM12细胞、SNU-182细胞

UM-RC-2细胞类似产品::PNEC30细胞、B95.8细胞、Hs832T细胞

DHL5细胞类似产品::B16 BL6细胞、HCC-366细胞、PL-12细胞

HCa/16A3-F细胞类似产品::SHEP1细胞、CCK-81细胞、RA.1细胞

YES 2细胞类似产品::SNU520细胞、Factor Dependent Continuous-Paterson 1细胞、SUM-159细胞

OCILY-19细胞类似产品::HLEB3细胞、SUM149细胞、CV-1细胞

V79-GalK1细胞类似产品::GM05372E细胞、NCIH322细胞、NCIH2196细胞

BCECs细胞类似产品::PANC403细胞、MCF-7/ADR-RES细胞、MDA-MB 468细胞

EBNA-293细胞类似产品::SKNBE(1)细胞、QBC(939)细胞、GP5d细胞

Fetal Human Lens-124细胞类似产品::bEnd.3[BEND3]细胞、A375-S2细胞、A-431细胞

P-2003细胞类似产品::SCC 15细胞、TYK-nu细胞、HSAS4细胞

H-841细胞类似产品::SUM 102PT细胞、MES-SA细胞、CEM/0细胞

U 937细胞类似产品::EAHY-926细胞、N1S1细胞、HBdSMC细胞

JVM2细胞类似产品::YES-2细胞、MES-SA/Dx-5细胞、SKHEP1细胞

Panc10.05细胞类似产品::MUGCHOR1细胞、MLE-12细胞、Japanese Tissue Culture-28细胞

BJ1细胞类似产品::MD Anderson-Metastatic Breast-330细胞、T241细胞、NCI-H510A细胞

MC3T3-E1 Subclone 4 Cell|小鼠原成骨细胞

BEL/FU细胞类似产品::KOSC-2 cl3-43细胞、HBL1细胞、RT-BM细胞

PM6细胞类似产品::H-1694细胞、hEEC细胞、HCT116细胞

H2347细胞类似产品::ChaGo-K1细胞、P388细胞、Centre Antoine Lacassagne-148细胞

TGW-nu-1细胞类似产品::Hep2细胞、SW 626细胞、SF-539 BT细胞

GOS3细胞类似产品::NCIH660细胞、H-28细胞、LAN-1细胞

CCD-18Co细胞类似产品::TW 01细胞、NCI-157细胞、A2780 CP70细胞

EAHY-926细胞类似产品::TCCPAN2细胞、RMS13细胞、RKOAS451细胞

Hs 822.T细胞类似产品::SK-N-MC细胞、CV 1细胞、GCT0404细胞

MFHL-2细胞类似产品::Normal fibroblast-10细胞、KLN205细胞、H-2198细胞

GalK 1细胞类似产品::Homo sapiens No. 578, breast cells细胞、HEB细胞、WiDr细胞

HET1A细胞类似产品::COR-L279细胞、Mv 1 Lu细胞、HAVSMC细胞

SK-HEP-1细胞类似产品::SKM-1细胞、MC3T3-E1细胞、rRMECs细胞

NRK-49F细胞类似产品::SK-MEL 28细胞、SK-N-BE细胞、MCCAR细胞

HFL1细胞类似产品::MC3T3细胞、COLO-684细胞、SKO-007细胞

Z310细胞类似产品::NCI660细胞、NCI-H2122细胞、TE354.T细胞

ST-2细胞类似产品::SW 756细胞、HEK-293-H细胞、JOSK-M细胞

Med 283细胞类似产品::MeT5A细胞、CHO-Lec1细胞、MS751细胞

"


MC3T3-E1 Subclone 4 ;

公司简介

上海冠导生物工程有限公司,先后从ATCC、DSMZ、ECACC、RIKEN、PromoCell、ScienCell、JCRB等国内外细胞库引进细胞2000余株。以此为契机,公司组建了冠导细胞库,我司细胞均由资深细胞培养工程师进行培养。我司可以提供的细胞有:①细胞系②原代细胞③稳转株④耐药株⑤标记细胞⑥细胞配套试剂等。

成立日期 (11年)
注册资本 100万(元)
员工人数 50-100人
年营业额 ¥ 1000万-5000万
经营模式 工厂,试剂,定制,服务
主营行业 细胞培养,微生物学,细胞生物学

MC3T3-E1 Subclone 4 Cell|小鼠原成骨细胞相关厂家报价

内容声明
拨打电话 立即询价