基本信息 产品详情 公司简介 推荐产品
网站主页 化工产品目录 生物 细胞培养 细胞系 中国仓鼠卵巢细胞 CHO-K1中国仓鼠卵巢复苏细胞(附STR鉴定报告)
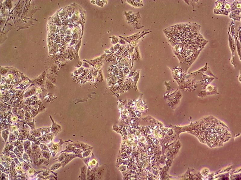
  • CHO-K1中国仓鼠卵巢复苏细胞(附STR鉴定报告)

CHO-K1中国仓鼠卵巢复苏细胞(附STR鉴定报告)

CHO-K1
询价 1000000g 起订
2000000g 起订
上海 更新日期:2026-04-15

上海冠导生物工程有限公司

VIP6年
联系人:全经理
电话:18818239863拨打
邮箱:3171921642@qq.com

产品详情:

中文名称:
CHO-K1中国仓鼠卵巢复苏细胞(附STR鉴定报告)
英文名称:
CHO-K1
保存条件:
常温培养或液氮冻存
纯度规格:
CHO-K1中国仓鼠卵巢复苏细胞(附STR鉴定报告)
产品类别:
生物试剂

"CHO-K1中国仓鼠卵巢复苏细胞(附STR鉴定报告)

细胞生长:贴壁

细胞传代方法:1:2传代

被污染的细胞培养物是污染其他细胞培养物的污染源,被一代一代传下去,在吸取、吹出、离心、处理操作过程中产生的微滴,落到周围能存活几天。支原体污染的浓度一般在10'ccu/mL-108ccu/mL。因此,只从可靠来源引进细胞,别是知名的信誉良HAO的专门机构,如ATCC、基础医学细胞中心等。制备细胞的组织或器官本身就有可能带有支原体,因此在细胞原代培养时,需要进行常规支原体监测检查后使用,原代细胞或工作细胞库应分别管理,以防交叉感染。细胞株传代时,同时作培养或DNA染色检查,检测保存过程有否感染。一旦发现已经污染支原体的细胞,灭活后弃之,更换新的细胞,避免支原体的大范围播散。

CEMO-1细胞类似产品::HCC-1395细胞、MADB 106细胞、NUGC-3细胞

PLA-802细胞类似产品::BC-025细胞、H1930细胞、SK-ChA1细胞

LCLC-103H细胞类似产品::Mouse Forestomach Carcinoma细胞、RPMI 7666细胞、PA-TU-8988S细胞

T-ALL1细胞类似产品::RS(4;11)细胞、HFE-145细胞、SKMel-5细胞

细胞物种来源:人源或鼠源等其它物种来源

CHO-K1中国仓鼠卵巢复苏细胞(附STR鉴定报告)

细胞冷冻过程有四个要点:细胞的收获、保护剂的使用、冷冻速率和储存环境。细胞冻存的速率:细胞的冷冻速率是控制在让细胞有足够的时间脱水而又不被过度脱水导细胞损害。对大多数细胞来说,每分钟降1至3℃是合适的。通常的操作是把细胞先在-20℃1-2个小时,再放入-80℃冰箱过夜(如果没有-80℃冰箱,可以用干冰替代),再转入液氮罐或低于-130℃的冰箱长期保存。另外一个办法是,在-20℃1-2个小时以后,把冷冻管悬掉在液氮罐的气相中,以控制冷却的速率。这个方法比较简单,因为细胞也可以在液氮罐的气态中长期保留,所以不用计时。对于没有-80℃冰箱,或者购买干冰不方便的人来说,这是一个的办法。储存环境:细胞长期保存温度是-130℃或更低。液氮罐中气态层温度在-140℃至-180℃之间,细胞可保存在气态层或浸入液氮中,如果可能保存在气态层,因为这样可避免由于有液氮进入冻存管而在拿出细胞时引起爆炸(但是这样液氮罐内只能存储少量液氮,需要经常添加)。细胞也可以在-80℃冰箱保存几个月左右的时间。

细胞背景资料:1957年,PuckTT从成年中国仓鼠卵巢的活检组织建立了CHO细胞,CHO-K1是CHO的一个亚克隆。CHO-K1的生长需要脯酸。

细胞形态:上皮细胞样

CHO-K1中国仓鼠卵巢复苏细胞(附STR鉴定报告)

[细胞产品包装]鲜活细胞:T25培养瓶(一瓶)或冻存细胞:1ml冻存管(两支)

OE33细胞类似产品::HPMC细胞、Ramos 2G6 4C10细胞、SK Hep1细胞

H-735细胞类似产品::P30/Ohkubo细胞、LS 1034细胞、IPAM-WT细胞

CHO cell clone K1细胞类似产品::HCC-95细胞、SKNSH细胞、HCC9724细胞

Saos2细胞类似产品::BHK21细胞、CL MC/9细胞、RH-30细胞

HT 1376细胞类似产品::PG-4(S+L-)细胞、Panc-327细胞、NCIH1993细胞

细胞来源说明:来源于RCB、ATCC、KCLB、DSMZ、ECACC、INCell、ScienCell、ECACC、JCRB、Asterand、ICLC等知名细胞库

细胞培养是指从体内组织取出细胞在体外模拟体内环境下,使其生长繁殖,并维持其结构和功能的一种培养技术。细胞培养的培养物可以是单个细胞,也可以是细胞群。支原体污染对细胞的影响:影响细胞的生长状态及形态,支原体可使培液中支持细胞生长的营养物质含量减少,造成细胞生长缓慢甚至停止;细胞状态变差,生长变慢,在显微镜下观察可能会有小黑点,但培养基一般不发生浑浊。会导致细胞微管解聚,引起细胞一系列病变,表现为细胞收缩、贴壁细胞脱落、裂解等。细胞传代以后就出现细胞间黑点,细胞空泡化,很多类似凋亡、坏死的细胞,终细胞漂浮,完全死亡。影响细胞的代谢和功能,培液中的精氨酸被支原体大量消耗,引起细胞蛋白质、DNA、rRNA、mRNA的合成障碍;支原体活动使培养基成分发生改变(如发酵型支原体降解糖类产生酸性物质),影响细胞代谢;支原体吸附在细胞表面,破坏细胞膜的完整性,影响细胞信号传递;支原体消耗细胞的核苷库—染色体异常。此外,支原体污染还会影响一些病毒在细胞中的产量、使恶性细胞致癌能力下降、影响淋巴细胞分化等。

细胞生长特性:贴壁生长

JB6 [Mouse]细胞类似产品::NRK49F细胞、CL1-5细胞、ST-2细胞

GM00215细胞类似产品::OS-RC-2细胞、NCIH524细胞、OCI AML2细胞

MEF (CF-1)细胞类似产品::HPDE6c7细胞、RMG-I细胞、1301细胞

HHUA细胞类似产品::U266BL细胞、Hs-578Bst细胞、NK92-MI细胞

U-118MG细胞类似产品::PK-15细胞、293EBNA细胞、HPDEC细胞

SKMES-1细胞类似产品::PCI-04B细胞、MDBK细胞、GES1细胞

J82细胞类似产品::Y1细胞、SW-480细胞、CAKI 1细胞

H1651细胞类似产品::OVSAHO细胞、LC-2-Ad细胞、SkChA1细胞

LC-2-Ad细胞类似产品::SKRC 39细胞、HLFa细胞、WB-F344细胞

AR42J细胞类似产品::COR-L88细胞、TI-73细胞、HeLa S 3细胞

HR1K细胞类似产品::JB6 Cl 30-7b细胞、TM-4细胞、IB-RS2细胞

CHO-K1中国仓鼠卵巢复苏细胞(附STR鉴定报告)

REC 1细胞类似产品::HCC-4006细胞、U266B1细胞、HOS (TE85, Clone F5)细胞

Hs_578t细胞类似产品::NOZC-1细胞、MILE SVEN 1细胞、NCIH1876细胞

CAL120细胞类似产品::IMR90细胞、OCILY-19细胞、RK-13细胞

MV 4;11细胞类似产品::KYSE 140细胞、CV-1.K细胞、RAW2647细胞

ECC1细胞类似产品::MC3T3-E1 Subclone 24细胞、GM-3573细胞、DKMG细胞

ECC1细胞类似产品::MC3T3-E1 Subclone 24细胞、GM-3573细胞、DKMG细胞

FHs74 Int细胞类似产品::HRC-99细胞、Med 283细胞、LO2细胞

SPC-A-1细胞类似产品::CEM.C1细胞、BC-024细胞、751细胞

QGY-7701细胞类似产品::CMT 93细胞、CAL 12T细胞、U20S细胞

GM15452细胞类似产品::Hs 343.T细胞、Human Hepatocyte Line 5细胞、COLO 320细胞

H-727细胞类似产品::293A细胞、U251细胞、PK-13细胞

Namalva细胞类似产品::Nakata-1细胞、FF-WT-BJ细胞、Tca-83细胞

BrCL12细胞类似产品::LM2-4175细胞、HM06.A1细胞、EOL1细胞

MDA-MB-175-VII细胞类似产品::SW-1463细胞、KOSC2细胞、NB.4细胞

EU-4细胞类似产品::FUOV1细胞、ZYM-DIEC02细胞、HEK-293F细胞

SCC7细胞类似产品::Douglas Foster-1细胞、ASH3细胞、Balb/3T3-4-Cl31细胞

MAVER1细胞类似产品::SNU-761细胞、HuNS1细胞、FF-WT-BJ细胞

Experimental Mammary Tumour-6细胞类似产品::TE 354.T细胞、bEND.3细胞、QGY7703细胞

MC-116细胞类似产品::SBC3细胞、NPA87-1细胞、H-510细胞

MC-116细胞类似产品::SBC3细胞、NPA87-1细胞、H-510细胞

OSKM-1细胞类似产品::CMEC/D3细胞、Hs 839.T细胞、CCD-841-CoTr细胞

NCI-H510细胞类似产品::NCI-H1755细胞、BE(2)M17细胞、BI-Mel细胞

HOS TE85细胞类似产品::Clone M-3细胞、MDA-1386细胞、Pro-Lec1.3C细胞

MV4:11细胞类似产品::P30OHK细胞、K1细胞、BXPC3细胞

QG56细胞类似产品::EVSA/T细胞、U-343MG细胞、Neuro2a细胞

HAPI细胞类似产品::ARO细胞、H1944细胞、NCIH2227细胞

NCIH2052细胞类似产品::G361mel细胞、A10细胞、Radiation Effects Research Foundation-Lung Cancer-MS细胞

HEp-2细胞类似产品::Jurkat-E6细胞、HCC38细胞、beta TC6细胞

L5178YR细胞类似产品::D10细胞、L M (TK-)细胞、NCIH748细胞

SK-RC 42细胞类似产品::SW 13细胞、Hs 870.T细胞、USMC细胞

SW-900细胞类似产品::HD11细胞、Hs68细胞、AMO1细胞

OCI Ly1细胞类似产品::NCIH1437细胞、P3X63 Ag8.653细胞、SUDHL-2细胞

CEM-CCRF (CAMR)细胞类似产品::H-358细胞、SKM-1细胞、Epstein-Barr-3细胞

NCI-H1703细胞类似产品::LC1sq细胞、NH-6细胞、OVCAR3细胞

MCF10A细胞类似产品::NCI-H647细胞、GP5d细胞、CV-1.K细胞

BrCL12细胞类似产品::LM2-4175细胞、HM06.A1细胞、EOL1细胞

Large Cell Lung Cancer-103H细胞类似产品::WPMY-1细胞、A2780CP细胞、NCI-SNU-423细胞

KPL4细胞类似产品::GT1-1细胞、WML2细胞、ABC1细胞

COLO-824细胞类似产品::Med 341细胞、Rat Skin 1细胞、M1细胞

PL-9细胞类似产品::IOSE-29细胞、NCIH508细胞、NPC-039细胞

Roswell Park Memorial Institute 1846细胞类似产品::PLC PRF 5细胞、HuT-102细胞、GM02219细胞

IM 9细胞类似产品::3T3 J2细胞、16HBEo-细胞、PANC 203细胞

SW-527细胞类似产品::293E细胞、Capan-1细胞、PASMCS细胞

SW-527细胞类似产品::293E细胞、Capan-1细胞、PASMCS细胞

HCC-1419细胞类似产品::Adeno 293细胞、MCFs细胞、INS-1E细胞

DF-1细胞类似产品::H1184细胞、UPCI:SCC090细胞、NCIH727细胞

HFTF细胞类似产品::HeLa细胞、AX-Mel细胞、NCIH1048细胞

L-02细胞类似产品::H4IIE细胞、H-2330细胞、ECC 12细胞

TCC Sup细胞类似产品::Hs 695.T细胞、OCI-Ly01细胞、OCILY10细胞

BIU-87/Adr细胞类似产品::OVCA 432细胞、PF-382细胞、KYSE50细胞

HHL5细胞类似产品::NCI-H322细胞、HTori3细胞、DOK细胞

SKGIIIA细胞类似产品::Strain L-929细胞、MDAMB415细胞、H1672细胞

NCI-157细胞类似产品::KP-N-RT细胞、NCIH378细胞、HCC0038细胞

JKT-1细胞类似产品::HEYA8细胞、NCI-SNU-449细胞、HCC0366细胞

HT-144细胞类似产品::RMC-1细胞、SU-DH-L5细胞、Line 522细胞

LTEP-sm细胞类似产品::NCI-H146细胞、293/EBNA细胞、HFL-I细胞

CaES-17细胞类似产品::MDA453细胞、MNNGHOS细胞、H211细胞

SBC-3细胞类似产品::HCC4006细胞、NCIH716细胞、RM-1细胞

NIH/3T3细胞类似产品::MDAPC2B细胞、MDA-MB 468细胞、MX-1细胞

HCC941122细胞类似产品::NCI-H1963细胞、Blotchy fibroblast-11细胞、H-1793细胞

LWnt3A细胞类似产品::NCI-H2195细胞、NCI-H2330细胞、SGC-7901细胞

SKMES细胞类似产品::THLE2细胞、HcerEpic细胞、hFOB1.19细胞

RPMI1846细胞类似产品::KYSE50细胞、RSC-96细胞、HASMC细胞

HLE B-3细胞类似产品::M.D. Anderson-Prostate Cancer-2b细胞、Ly1细胞、CZ-1细胞

HLE B-3细胞类似产品::M.D. Anderson-Prostate Cancer-2b细胞、Ly1细胞、CZ-1细胞

Hs-675-T细胞类似产品::HO8910细胞、C4 I细胞、RPMI-8226S细胞

WM266细胞类似产品::KE-39细胞、NTERA2-cloneD1细胞、293EBNA细胞

NE-4C细胞类似产品::PK-136细胞、rRMECs细胞、NuTu-19细胞

H711细胞类似产品::IMCD-3细胞、SW 982细胞、MGHU3细胞

H-647细胞类似产品::Kit225/K6细胞、P3X63 AG 8.653细胞、NRK49F细胞

NCI.H226细胞类似产品::HEC1-B细胞、5-8F细胞、NCI H508细胞

RS 4;11细胞类似产品::MPC5细胞、H-1404细胞、D-341 Med细胞

NCIH2141细胞类似产品::Large Cell Lung Cancer-103H细胞、BJAB-1细胞、MESSA-DX5细胞

JIMT1细胞类似产品::SKMel-28细胞、CL40细胞、Calu-6细胞

HEK-293-FT细胞类似产品::NP-69细胞、32D:cl3细胞、C3H/10T1/2-clone8细胞

EST81细胞类似产品::HCC-1954细胞、WB-F344细胞、OVCAR.3细胞

Jurkat FHCRC细胞类似产品::SCC-1395细胞、KMY1022细胞、SNK6细胞

J 111细胞类似产品::NCI-H2030细胞、MRMT-1细胞、L929细胞

GM03320细胞类似产品::SK.OV.3细胞、675T细胞、L-02细胞

HCC15细胞类似产品::FRO81-2细胞、YD-38细胞、MOLT.4细胞

OSK-1细胞类似产品::REC-1细胞、Pro-5 Lec1.3c细胞、A-549细胞

RT 112细胞类似产品::PLC/PRF5细胞、H-2291细胞、KYSE0520细胞

CEM-CCRF (CAMR)细胞类似产品::H-358细胞、SKM-1细胞、Epstein-Barr-3细胞

SK-ChA1细胞类似产品::Sc-1细胞、BetaTC6细胞、SCaBER细胞

JKT1细胞类似产品::Hi-5细胞、PC3M-1E8细胞、CAL 120细胞

MD Anderson-Metastatic Breast-436细胞类似产品::GLRK 13细胞、EJ1细胞、HTR-8/SVneo细胞

U251细胞类似产品::Human Lung Microvascular Endothelial Cell line-5a细胞、H-2444细胞、B16-F10-BL6细胞

NK-92 transfected with MFG-hIL2细胞类似产品::293GP细胞、KY70细胞、CHO-ori细胞

HCC-1954细胞类似产品::CMECs细胞、P3-X63Ag8细胞、EST50细胞

MDA 435细胞类似产品::SP2细胞、A-375.S2细胞、T47D细胞

NCIH1793细胞类似产品::D-324 Med细胞、GM04154B细胞、NCIH82细胞

FDCP-1细胞类似产品::M21细胞、HCC1599细胞、GT1-1细胞

MLA 144细胞类似产品::ATDC-5细胞、CAL 51细胞、NCI-H1650细胞

OCI-AML5细胞类似产品::JURKAT E-6.1细胞、HCe-8693细胞、GM07404A细胞

MT-2J细胞类似产品::SKNAS细胞、FUOV1细胞、293/EBNA细胞

SKRC-39细胞类似产品::H1155细胞、SPDC-CCL141细胞、MOLT-3细胞

TE3A细胞类似产品::U266B1细胞、HOSEpiC细胞、A172细胞

EJ细胞类似产品::Hepa-RG细胞、HVSMC细胞、SKNBE-2细胞

NCI-H2141细胞类似产品::KTA-7细胞、Panc2_03细胞、Stanford University-Diffuse Histiocytic Lymphoma-16细胞

SK-RC 42细胞类似产品::SW 13细胞、NK-92 MI细胞、H-841细胞

HOS-MNNG细胞类似产品::GB1细胞、HUC细胞、H187细胞

3T3-J2细胞类似产品::Potorous tridactylus Kidney 1细胞、C-127细胞、VK2细胞

NCIH841细胞类似产品::C33-A细胞、HARAB细胞、NCI-SNU-761细胞

G361-mel细胞类似产品::KBM-5细胞、TK-1细胞、REC 1细胞

CAOV3细胞类似产品::CEL细胞、ACHN细胞、B16-F1细胞

GM17346细胞类似产品::A-375.S2细胞、Line 697细胞、NCIH2342细胞

MA-104细胞类似产品::Rin-M-5F细胞、RT4-D6P2T细胞、UMR106细胞

P3.653细胞类似产品::Ect1/E6E7细胞、Stanford University-Diffuse Histiocytic Lymphoma-2细胞、H446细胞

DU 145细胞类似产品::Fetal Human Lens-124细胞、McA-RH 8994细胞、U118-MG细胞

P3/NSI/1-AG4-1细胞类似产品::SW 1088细胞、Alexander细胞、CAL-148细胞

C4-2B细胞类似产品::H-II-E-C3细胞、FRO81-2细胞、LCD细胞

QSG7701细胞类似产品::SKUT-1细胞、CCRF-SB细胞、PGBE1细胞

Panc_05_04细胞类似产品::JIMT1细胞、H2172细胞、McARH7777细胞

L78细胞类似产品::L929(NCTC)细胞、HEC-151细胞、MCF-12F细胞

NCI-H719细胞类似产品::Ca 9-22细胞、HLEC细胞、JG细胞

MIA-Pa-Ca-2细胞类似产品::451-LU细胞、JEG-3细胞、Panc 08.13细胞

MTC-TT细胞类似产品::UMC11细胞、MeWo细胞、HBVSMC细胞

Kasumi-6细胞类似产品::WEHI-3B细胞、HS578细胞、OVCA 420细胞

NCIH23细胞类似产品::mIMCD-3细胞、SUPM2细胞、U-118-MG细胞

SRS-82细胞类似产品::BIC-1细胞、MDA-MB415细胞、UMNSAH-DF-1细胞

LC1sq细胞类似产品::Fukuoka University-Malignant mixed Mullerian Tumor-1细胞、RPMI-8226S细胞、RenCa细胞

801-D细胞类似产品::IPEC1细胞、Panc02细胞、PANC0813细胞

FT-293细胞类似产品::B104 [Rat neuroblastoma]细胞、ARH-77细胞、NPA87-1细胞

WEHI-3细胞类似产品::BERH-2细胞、PC-12细胞、SKGT4细胞

HFT 8810细胞类似产品::CAL-85-1细胞、MPC 11细胞、HEC-151细胞

H4-II-E-C3细胞类似产品::Mel-624细胞、CESS细胞、THEECs细胞

SUD6细胞类似产品::NCI-H1623细胞、RCS细胞、Walker-256-TC细胞

SK-Hep1细胞类似产品::Hepatoma 22细胞、YH细胞、Mink Lung细胞

LLC-PK1细胞类似产品::TR146细胞、RBE4细胞、A549/ATCC细胞

HCEC细胞类似产品::HARAB细胞、VSC4.1细胞、B104 [Rat neuroblastoma]细胞

Earles's cells细胞类似产品::BC3 H1细胞、OCI-LY-8细胞、NCI-SNU-C2B细胞

CHO-K1中国仓鼠卵巢复苏细胞(附STR鉴定报告)

U-226AR1细胞类似产品::H-1417细胞、U-937细胞、WML2细胞

Wills Eye Research Institute-Retinoblastoma-1细胞类似产品::18G3.cl 1细胞、NCIH226细胞、Pa16C细胞

L929(NCTC)细胞类似产品::C-26细胞、GP-293细胞、AHH1细胞

NCI-H322T细胞类似产品::Rh30细胞、H-660细胞、BC-PAP细胞

A2780/CP细胞类似产品::HGC-27细胞、Hs-746T细胞、SNU-601细胞

RF/6A细胞类似产品::HT-29/CX-1细胞、RGM1细胞、LU65细胞

GM02219D细胞类似产品::RMa-bm细胞、WSU-DLCL2细胞、HFT8810细胞

COLO 320 DM细胞类似产品::HT 1197.T细胞、WPMY1细胞、SK-MEL-2-LUC细胞

OCI AML3细胞类似产品::SW 839细胞、MOLP-8细胞、OVISE细胞

UMC-11细胞类似产品::Human Embryo Kidney-2细胞、TSCCa细胞、SNU-620细胞

A875细胞类似产品::SNU182细胞、U2932细胞、H820细胞

639 V细胞类似产品::CD18细胞、V-79-4细胞、FCCH1024细胞

SKCO 1细胞类似产品::TE32细胞、JJN3细胞、MDA-MB 231细胞

AK细胞类似产品::Virginia Mason Research Center-Renal Cancer Z细胞、HGMC细胞、TE-13细胞

EBTr细胞类似产品::RWPE2细胞、SNU869细胞、TSU-Pr1细胞

RPE-hTERT细胞类似产品::alpha TC1.6细胞、NTERA2细胞、D-283MED细胞

KFB细胞类似产品::YAC-1细胞、KYSE0030细胞、TK-10细胞

IPEC1细胞类似产品::SKNBE2C细胞、hFOB细胞、Mel526细胞

NCIH510细胞类似产品::N-9细胞、SW 1990细胞、LMH细胞

BCP1细胞类似产品::M4e细胞、NU-GC-3细胞、SKNDZ细胞

MEF (CF-1)细胞类似产品::HPDE6c7细胞、CAL-33细胞、SNU-216细胞

Wills Eye Research Institute-Retinoblastoma-1细胞类似产品::A-101D细胞、Hs.27细胞、C8166-CD4细胞

"


CHO-K1中国仓鼠卵巢复苏细胞(附ST;

公司简介

上海冠导生物工程有限公司,先后从ATCC、DSMZ、ECACC、RIKEN、PromoCell、ScienCell、JCRB等国内外细胞库引进细胞2000余株。以此为契机,公司组建了冠导细胞库,我司细胞均由资深细胞培养工程师进行培养。我司可以提供的细胞有:①细胞系②原代细胞③稳转株④耐药株⑤标记细胞⑥细胞配套试剂等。

成立日期 (11年)
注册资本 100万(元)
员工人数 50-100人
年营业额 ¥ 1000万-5000万
经营模式 工厂,试剂,定制,服务
主营行业 细胞培养,微生物学,细胞生物学

CHO-K1中国仓鼠卵巢复苏细胞(附STR鉴定报告)相关厂家报价 更多

  • CHO-K1
  • CHO-K1
  • 吉奥蓝图(广东)生命科学技术中心 VIP
  • 2026-04-15
  • ¥10000
  • CHO-K1
  • CHO-K1
  • 武汉纯度生物科技有限公司
  • 2026-04-05
  • 询价
内容声明
拨打电话 立即询价