基本信息 产品详情 公司简介 推荐产品
网站主页 HEC-151人子宫内膜癌贴壁细胞系 HEC-151人子宫内膜癌复苏细胞(附STR鉴定报告)
  • HEC-151人子宫内膜癌复苏细胞(附STR鉴定报告)

HEC-151人子宫内膜癌复苏细胞(附STR鉴定报告)

HEC-151
询价 1000000细胞数 起订
2000000细胞数 起订
上海 更新日期:2026-04-26

上海冠导生物工程有限公司

VIP6年
联系人:全经理
电话:18818239863拨打
邮箱:3171921642@qq.com

产品详情:

中文名称:
HEC-151人子宫内膜癌复苏细胞(附STR鉴定报告)
英文名称:
HEC-151
保存条件:
常温培养或液氮冻存
纯度规格:
HEC-151人子宫内膜癌复苏细胞(附STR鉴定报告)
产品类别:
生物试剂

"HEC-151人子宫内膜癌复苏细胞(附STR鉴定报告)

细胞生长:贴壁

细胞传代方法:1:2-1:3传代;每周换液2-3次。

细胞分化(cell differentiation)是指同一来源的细胞逐渐产生出形态结构、功能征各不相同的细胞类群的过程,其结果是在空间上细胞产生差异,在时间上同一细胞与其从前的状态有所不同。细胞分化的本质是基因组在时间和空间上的选择性表达,通过不同基因表达的开启或关闭,终产生标志性蛋白质。一般情况下,细胞分化过程是不可逆的。然而,在某些条件下,分化了的细胞也不稳定,其基因表达模式也可以发生可逆性变化,又回到其未分化状态,这一过程称为去分化(dedifferentiation)。细胞分化的点包括:细胞分化的潜能随个体发育进程逐渐“缩窄”,在胚胎发育过程中,细胞逐渐由“全能”到“多能”,后向“单能”的趋向,是细胞分化的一般规律;细胞分化具有时空性,在个体发育过程中,多细胞生物细胞既有时间上的分化,也有空间上的分化;细胞分化与细胞的分裂状态和速度相适应,分化必须建立在分裂的基础上,即分化必然伴随着分裂,但分裂的细胞不一定就分化。分化程度越GAO,分裂能力也就越差;细胞分化具有GAO度的稳定性,正常生理条件下,已经分化为某种异的、稳定类型的细胞一般不可能逆转到未分化状态或者成为其他类型的分化细胞;细胞分化具有可塑性,已分化的细胞在殊条件下重新进入未分化状态或转分化为另一种类型细胞的现象。

MeSoTheliOma-211H细胞类似产品::BIU-87细胞、Instituto Biologico-Rim Suino-2细胞、SU-DHL-1细胞

EAHY-926细胞类似产品::TCCPAN2细胞、RMS13细胞、RKOAS451细胞

NCIH2126细胞类似产品::GM05862细胞、H1954细胞、HS-766T细胞

AML12细胞类似产品::MC-3T3-E1细胞、PIG3细胞、Panc-08.13细胞

细胞物种来源:人源或鼠源等其它物种来源

HEC-151人子宫内膜癌复苏细胞(附STR鉴定报告)

如何避免细胞成团?用无钙镁平衡盐溶液洗涤细胞。对于贴壁非常牢固的细胞(如MDCK),为了细胞更HAO的状态,更漂亮的样子,建议分多批多次消化,这样才能大限度地降低胰酶对细胞的损伤,保证细胞的状态能够。细胞生长密度不要太GAO,70%-80%就HAO(细胞刚刚基本成单层细胞,没有出现成层生长),这样细胞抱团的几率就大大减少了。如果细胞已经长成集落,可先将细胞低密度传代,第二天再消化传代,这样连续传三次,细胞抱团就会越来越小,这样几代过后,再按照常规消化方法和时间能将细胞逐渐传成单个的。消化过程中不要使劲摇动培养瓶,这样细胞别容易成屑样脱落。细胞一旦脱落入悬液里就很难再将他吹打成单个(因为细胞没有受力点了,所以细胞很难分散开)。所以必须要在细胞未脱落之前将其吹打开,严格控制HAO消化程度。

细胞背景资料:详见相关文献介绍

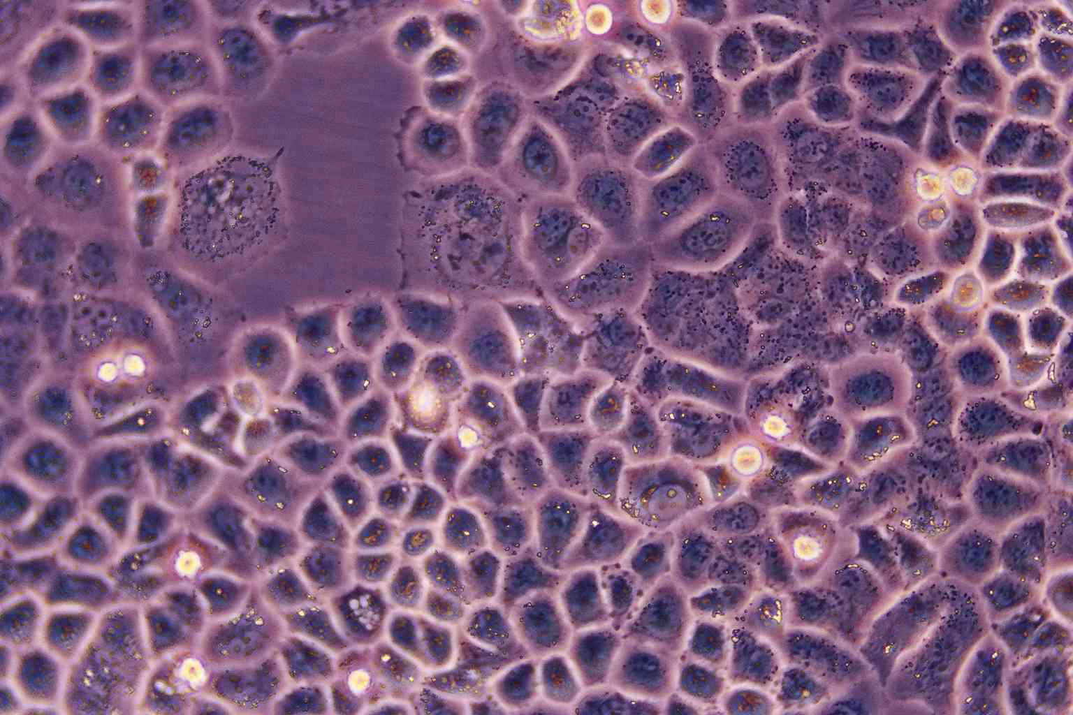
细胞形态:上皮细胞样

HEC-151人子宫内膜癌复苏细胞(附STR鉴定报告)

[细胞产品包装]鲜活细胞:T25培养瓶(一瓶)或冻存细胞:1ml冻存管(两支)

UCLA NPA-87-1细胞类似产品::SNU-16细胞、MHCC97-L细胞、HCC78细胞

CP70细胞类似产品::HUTU80细胞、HEL-92-1-7细胞、NCI-N87细胞

RCC 786-O细胞类似产品::IM95细胞、NCI-H1869细胞、T-84细胞

NGEC细胞类似产品::Duke University 145细胞、TCam-2细胞、SF-763细胞

SKMES-1细胞类似产品::PCI-04B细胞、MDBK细胞、GES1细胞

细胞来源说明:来源于RCB、ATCC、KCLB、DSMZ、ECACC、INCell、ScienCell、ECACC、JCRB、Asterand、ICLC等知名细胞库

原代细胞与细胞系有什么区别?细胞培养物来源于原代外植体或分散的细胞悬液。通常在这样的培养物中细胞增殖形成汇合地单层细胞或密集地细胞悬液。根据传统定义,次收获和接种的细胞被称为原代细胞[Freshney, R.I. (1987). Culture of Animal Cells. A Manual of Basic Technique. (New York, Alan R. Liss, Inc.)].这类细胞生命周期有限,在有限的生命周期内需掌握HAO细胞大的生长空间,以保持细胞群中基因型和表型的一致性。细胞系是不断生长,分化的细胞群,因其经过遗传改造,致使其具有无限增长的潜能。体外生长的细胞系用于医疗或科研。实际上,连续细胞系可以用大量次培养基培养,随着代数的增加细胞的基因型和表型都有可能发生改变。需要指出的是,在不同的科研小组中这些术语的定义会有所不同。许多研究员不用细胞系这个词表示细胞群除非细胞经过了遗传改造。

细胞生长特性:贴壁或悬浮,详见细胞说明书部分

HCT116/L细胞类似产品::PANC 1005细胞、LAC细胞、U-2-OS细胞

H596细胞类似产品::GA-10(Clone 4)细胞、CCD 19Lu细胞、Dakiki细胞

Hu-P-T4细胞类似产品::COV362细胞、697细胞、Menschliche Und Tierische Zellkulture-3细胞

HUT-28细胞类似产品::P-815细胞、Hut292细胞、NMCG1细胞

HVSMC细胞类似产品::OCI-AML5细胞、1.1B4细胞、BLO 11细胞

OSC19细胞类似产品::BL-6细胞、SEG-1细胞、SU86_86细胞

PC-9/GR细胞类似产品::PC 61-5-3细胞、NCI-H2172细胞、MDA MB 134VI细胞

TE-4细胞类似产品::GOS-3细胞、Hs 675.T细胞、SNT-8细胞

OV2008细胞类似产品::NS1-Ag4/1细胞、HRC-99细胞、NCI-H727细胞

CF-1 MEF细胞类似产品::Centre Antoine Lacassagne-62细胞、RM1细胞、NCI-H-82细胞

H-747细胞类似产品::HPC-Y5细胞、H727细胞、VMRC-LCD细胞

HEC-151人子宫内膜癌复苏细胞(附STR鉴定报告)

hTERTHME1细胞类似产品::SK-MEL-3细胞、PaCa2细胞、LY-R细胞

PLA-801D细胞类似产品::THP1细胞、PMVEC细胞、NCIH64细胞

SK-ES细胞类似产品::LK 2细胞、Emory University-3细胞、U-138 MG细胞

University of Arizona Cell Culture-812细胞类似产品::WEHI 231细胞、HCC-1143细胞、NCIH460细胞

Panc_04_03细胞类似产品::YD38细胞、J 111细胞、SNU-739细胞

PANC-08-13细胞类似产品::SUM102细胞、JROECL21细胞、KYSE 150 KYSE150 Kyse150 KY150

细胞

Panc02细胞类似产品::P815细胞、KTA-7细胞、CHOS细胞

RMG-I细胞类似产品::HMCB细胞、C3H-10T1/2细胞、293T/17细胞

BT474细胞类似产品::H-727细胞、McA-RH8994细胞、MS-751细胞

CEL细胞类似产品::FCCH1024细胞、U266S细胞、H-2342细胞

D-341细胞类似产品::NHA细胞、COLO684细胞、BE2-M17细胞

SK-MEL3细胞类似产品::D283MED细胞、MDA-MB231细胞、PaTu 8988s细胞

293-EBNA细胞类似产品::Calf Pulmonary Artery Endothelial细胞、NRK49F细胞、CBRH-7919细胞

C41细胞类似产品::HEK293-A细胞、C2A细胞、EMT6细胞

AtT 20细胞类似产品::HN13细胞、A549/ATCC细胞、MCF7/WT细胞

OVCAR433细胞类似产品::BEL/FU细胞、HBZY-1细胞、Lilly Laboratories Cell-Monkey Kidney 2细胞

MV 3细胞类似产品::MDAMB361细胞、UCLA SO M21细胞、Stanford University Pediatric T-cell line 1细胞

H2141细胞类似产品::Reuber H-35细胞、LP-1细胞、NCI-Hut 125细胞

EVSAT细胞类似产品::MB49细胞、HCC0044细胞、PVEC细胞

EVSAT细胞类似产品::MB49细胞、HCC0044细胞、PVEC细胞

COLO 741细胞类似产品::NCI-H820细胞、hs 68细胞、LA-795细胞

MT4细胞类似产品::B6Tert-1细胞、XWLC-05细胞、MRC-5细胞

SNU-398细胞类似产品::NOZ细胞、LICR-HN-6细胞、NF639细胞

HB611细胞类似产品::HTR8/SVneo细胞、Human Kidney-2细胞、HCFB(HCF)细胞

D324 Med细胞类似产品::HFL细胞、FHCRC-11细胞、PANC0504细胞

CHO-Lec1细胞类似产品::H1963细胞、H4-II-EC3细胞、A2780CP细胞

SF763细胞类似产品::H510A细胞、MONO-MAC 6细胞、PBMC细胞

HuO9细胞类似产品::SW1990细胞、MDA-436细胞、BT.549细胞

D-407细胞类似产品::HTR-8细胞、138 MG细胞、SNU1040细胞

CHL-CL-11细胞类似产品::AE1201细胞、H-2228细胞、H125细胞

WM266细胞类似产品::KE-39细胞、NTERA2-cloneD1细胞、293EBNA细胞

COLO-738细胞类似产品::Roswell Park Memorial Institute 1846细胞、M3 Clone M-3细胞、GM05862细胞

SK-RC-42细胞类似产品::LoMeT-ccRcc细胞、U87细胞、Stanford University-Diffuse Histiocytic Lymphoma-6细胞

OCM1A细胞类似产品::686LN-M4e细胞、C-Lu-65细胞、HUT 226细胞

Jurkat, Clone E6-1细胞类似产品::H2452细胞、HEYA8细胞、MC3T3E1细胞

Hs 600.T细胞类似产品::B 95.8细胞、SuDHL 1细胞、H1963细胞

SJRH30细胞类似产品::HMEL细胞、SKOV3细胞、WEHI 164 TC细胞

GM03570细胞类似产品::Onda 11细胞、NIHOVCAR3细胞、Mouse Bladder Tumor line-2细胞

IAR-20细胞类似产品::LM1细胞、VA-ES-BJ细胞、BE(2)-M17细胞

HEK293FT细胞类似产品::U-87-MG细胞、251MG细胞、B16F10细胞

P30OHK细胞类似产品::Rat-2细胞、H-4-II-E细胞、SK-MEL-5细胞

SW1088细胞类似产品::P3X63NS1细胞、SUDHL-2细胞、SW-1573细胞

HKBML细胞类似产品::HL-1细胞、8226细胞、SW 962细胞

HKBML细胞类似产品::HL-1细胞、8226细胞、SW 962细胞

KB细胞类似产品::T-ALL1细胞、H-2171细胞、SUM-159PT细胞

NCIH740细胞类似产品::95C细胞、NCI-H3255细胞、CCC-HHM-2细胞

NRK-49F细胞类似产品::SK-MEL 28细胞、SK-N-BE细胞、MCCAR细胞

Earles's cells细胞类似产品::BC3 H1细胞、OCI-LY-8细胞、NCI-SNU-C2B细胞

HOP 62细胞类似产品::SNU886细胞、NCI-SNU-16细胞、H-1105细胞

Turbot Embryonic Cell line细胞类似产品::RAOEC细胞、SKNEP细胞、Caco-2/BBe细胞

Human Corneal Epithelial cells-Transformed细胞类似产品::NCIH1755细胞、NCI H69细胞、WEHI-3B细胞

MD Anderson-Metastatic Breast-436细胞类似产品::GLRK 13细胞、EJ1细胞、HTR-8/SVneo细胞

PCI:SG-231细胞类似产品::SK-ES1细胞、Hs 27细胞、Hs 706.T细胞

H2195细胞类似产品::NCI-SNU-449细胞、COLO679细胞、NCI H716细胞

FC33细胞类似产品::MonoMac1细胞、HEK-A细胞、AM38细胞

DHL-2细胞类似产品::Normal Rat Kidney细胞、PL11细胞、Fu97细胞

118MG细胞类似产品::SUP-B1细胞、Detroit 562细胞、LM1细胞

EBC-1细胞类似产品::HCMEC细胞、Institute for Medical Research-32细胞、NCI-H650细胞

CF-1 MEF细胞类似产品::Centre Antoine Lacassagne-62细胞、RM1细胞、NCI-H-82细胞

KM12SM细胞类似产品::OV90细胞、16-HBEo细胞、SW 948细胞

TK-10细胞类似产品::Panc 03.27细胞、FLC-7细胞、Hep2细胞

Mv1Lu细胞类似产品::P3X63-Ag8.653细胞、KU-812细胞、BIU-87细胞

H-1651细胞类似产品::A431/P细胞、SC1细胞、LTEP-sm细胞

LS 1034细胞类似产品::MNNG-HOS (TE 85, clone F-5)细胞、LY细胞、OVCA 433细胞

MH7A细胞类似产品::HOK细胞、BHP-10细胞、H1793细胞

BIU87细胞类似产品::H2591细胞、NCI-H358细胞、HSAEC1-KT细胞

TC7细胞类似产品::KMBC细胞、LC2/Ad细胞、A-72细胞

NS-I/1细胞类似产品::3T3J2细胞、WRL-68细胞、SNUC2B细胞

GM00215A细胞类似产品::HOSEpiC细胞、H2122细胞、GM02219D细胞

IBRS-2细胞类似产品::Lewis Lung Cancer细胞、OV2008细胞、NCIH1092细胞

H-524细胞类似产品::SRA01/04细胞、FC33细胞、Rat Glomerular Endothelial细胞

COLO678细胞类似产品::P30 OHK细胞、PANC403细胞、H9细胞

Hopkins-92细胞类似产品::SKBr3细胞、H1650细胞、Panc 4.03细胞

H-1650细胞类似产品::IPLB-SF 21细胞、DAKIKI Clone 1细胞、U 266细胞

22Rv1细胞类似产品::MDA.MB.231细胞、GM04680细胞、UT-7细胞

PC-10细胞类似产品::NCI-HUT-69细胞、NCIH2591细胞、P3X63NS1细胞

MT-4细胞类似产品::HPAC细胞、PANC0813细胞、BBE细胞

HEK293-FT细胞类似产品::SVEC 4-10细胞、LM2-4175细胞、PL12细胞

OAW-42细胞类似产品::SKNDZ细胞、Granta519细胞、NCIH2085细胞

TC7细胞类似产品::KMBC细胞、LC2/Ad细胞、A-72细胞

WSU-DLCL2细胞类似产品::RL-95-2细胞、MIO-M1细胞、CEM/C1细胞

HPAC细胞类似产品::JVM-3细胞、H2198细胞、YES2细胞

PC615.3细胞类似产品::HCC827细胞、LIM1215细胞、BEL7402细胞

NCI-SNU-423细胞类似产品::CNE2细胞、JKT-1细胞、PMVEC细胞

Neuro 2a细胞类似产品::A10细胞、HCC-95细胞、OLN 93细胞

CT26.WT细胞类似产品::NCIH1341细胞、SCC-25细胞、SN-12C细胞

KE-37细胞类似产品::KE39细胞、6-T CEM细胞、HM1900细胞

373 MG细胞类似产品::OEC19细胞、MAVER1细胞、NCIH295R细胞

YT细胞类似产品::LLC细胞、HCEpiC细胞、SKNMC细胞

OVCAR 432细胞类似产品::ME16C细胞、Sarcoma OSteogenic-2细胞、HEI193细胞

RMS13细胞类似产品::WM115-mel细胞、P3 NS1 Ag4细胞、SP2细胞

H-196细胞类似产品::HCC941122细胞、NCIH510细胞、X63Ag8-653细胞

GM04679细胞类似产品::HEK-2细胞、CO115细胞、SK-RC-42细胞

NCI-H1092细胞类似产品::RPMI 2650细胞、COR-L105细胞、KOSC-2细胞

Tissue Culture-1细胞类似产品::CA-46细胞、HCC1419细胞、WC00059细胞

TOV21G细胞类似产品::Ontario Cancer Institute-Acute Myeloid Leukemia-4细胞、PANC-1细胞、SNU398细胞

NCI-BL6细胞类似产品::HEC251细胞、TE15细胞、BJ1细胞

ketr 3细胞类似产品::HTSMC细胞、Mv 1 Lu (NBL-7)细胞、MC-CAR细胞

HOS细胞类似产品::S16细胞、TE-1细胞、32D.cl3细胞

CHL-CL-11细胞类似产品::AE1201细胞、HN4细胞、MCF7ADR细胞

MLFC细胞类似产品::Murine Carcinoma-38细胞、Karpas422细胞、MM1细胞

RCK-8细胞类似产品::University of Arizona Cell Culture-893细胞、WC00079细胞、RPMI 7666细胞

Colo16细胞类似产品::HBMEC细胞、NCIH520细胞、Wills Eye Research Institute-Retinoblastoma-1细胞

Murine Long bone Osteocyte-Y4细胞类似产品::SCC VII细胞、OCI/AML5细胞、MONO-MAC 6细胞

Transformed Human Liver Epithelial-3细胞类似产品::NRCC细胞、TE-1细胞、S.B.细胞

Sp 2817细胞类似产品::RPMI1846细胞、OUMS27细胞、NCI-BL6细胞

JVM2细胞类似产品::YES-2细胞、MES-SA/Dx-5细胞、SKHEP1细胞

H1092细胞类似产品::MM134细胞、C166细胞、MCF/Adr细胞

V 79细胞类似产品::Liver-02细胞、LS 123细胞、Microbiological Associates-104细胞

CPA 47细胞类似产品::HCC1954-BL细胞、CEM T4细胞、FHL-124细胞

HME-1细胞类似产品::ACT-1细胞、GM02219C细胞、MIHA细胞

SKMEL24细胞类似产品::32D clone 3细胞、UMNSAH/DF-1细胞、RGC6细胞

L-WRN细胞类似产品::LC-1细胞、NCIH1836细胞、CW-2细胞

Neuro 2a细胞类似产品::A10细胞、HCC-95细胞、OLN 93细胞

H-2087细胞类似产品::PL-12细胞、NIH/3T3细胞、MDA-MB-453细胞

HMC-1细胞类似产品::ML-2细胞、NCI-H711细胞、H35 Reuber细胞

769P细胞类似产品::AHH1细胞、AU-565细胞、H-1770细胞

OUMS-23细胞类似产品::210RCY3-Ag1.2.3细胞、SF 763细胞、COLO206F细胞

BHK-21细胞类似产品::QGP 1细胞、U266-B1细胞、SUM-190细胞

NCI-H1770细胞类似产品::SKGIIIA细胞、HuH28细胞、TK.10细胞

Hs832.Tc细胞类似产品::Vero 76细胞、MDAMB231细胞、NCI-A549细胞

253J B-V细胞类似产品::MNNG/HOS Cl #5细胞、HEC-1A细胞、H838细胞

OVCAR 5细胞类似产品::Nb-2细胞、MTC-TT细胞、SW527细胞

RKO-AS45-1细胞类似产品::HCC0827细胞、MDA-MB-468-RED细胞、OCI Ly19细胞

HLEC-B3细胞类似产品::MOLT 16细胞、BN-CL2细胞、MTEC1细胞

Swiss 3T3细胞类似产品::JROECL 19细胞、624细胞、HNE2细胞

Hs 281.T细胞类似产品::COLO-320-DM细胞、NCM460细胞、ARH-77细胞

VP229细胞类似产品::SW-1222细胞、HUT 226细胞、OCM-1A细胞

CemT4细胞类似产品::HCC-1937细胞、X63-Ag8细胞、GM2219C细胞

L cells细胞类似产品::HMC3细胞、M619细胞、MKN 28细胞

DHL-5细胞类似产品::KS-1 [Human glioblastoma]细胞、Human Microvascular Endothelial Cell line-1细胞、HCC0070细胞

HEC-151人子宫内膜癌复苏细胞(附STR鉴定报告)

HMC3细胞类似产品::LC-1Sq细胞、CG-4细胞、HConEpic细胞

H283细胞类似产品::U266 Bl细胞、beta TC6细胞、Gerner 7666细胞

STO细胞类似产品::NCIH1092细胞、WEHI3B细胞、H-146细胞

HPF细胞类似产品::2B4-L细胞、SVHUC细胞、Hepatoma-22细胞

MC-3T3-E1细胞类似产品::NUGC-4细胞、Mo 59J细胞、NCI-SNU-182细胞

OCILY7细胞类似产品::SNU-520细胞、PT-67细胞、Hs839T细胞

RWPE-2细胞类似产品::C 643细胞、SF-539细胞、NT2D1细胞

130T细胞类似产品::L 132细胞、HuPT4细胞、F81细胞

HS688AT细胞类似产品::OPM2细胞、COV 504细胞、Adeno 293细胞

SK_N_BE2C细胞类似产品::MSTO-211 H细胞、NCI-H865细胞、NCIH2126细胞

SF17细胞类似产品::HCC2157细胞、OCI-Ly3细胞、SK-N-BE-2细胞

QG56细胞类似产品::EVSA/T细胞、U-343MG细胞、Neuro2a细胞

K7M2 wt细胞类似产品::Caov-4细胞、J-774A.1细胞、Jeko1细胞

HOC1细胞类似产品::LIXC-002细胞、H1092细胞、OVCA420细胞

NCIH1781细胞类似产品::Jijoye细胞、NRK52E细胞、Sarcoma OSteogenic-2细胞

U-226AR1细胞类似产品::H-1417细胞、U-937细胞、WML2细胞

GLRK 13细胞类似产品::IB-RS-2细胞、RCC_7860细胞、67NR细胞

MuM-2C细胞类似产品::Hs688(A)T细胞、Calu6细胞、OV2008细胞

IPAM-WT细胞类似产品::Mink细胞、YH细胞、MKN 7细胞

H810细胞类似产品::C-6细胞、HAPI细胞、C3H10T1/2CL8细胞

HuP-T3细胞类似产品::SK-CO-1细胞、SEM细胞、LNCaP-FGC细胞

MIA-PaCa-2细胞类似产品::Psi2-DAP细胞、NCIH2196细胞、F-36P细胞

"



HEC-151人子宫内膜癌复苏细胞(附S;

公司简介

上海冠导生物工程有限公司,先后从ATCC、DSMZ、ECACC、RIKEN、PromoCell、ScienCell、JCRB等国内外细胞库引进细胞2000余株。以此为契机,公司组建了冠导细胞库,我司细胞均由资深细胞培养工程师进行培养。我司可以提供的细胞有:①细胞系②原代细胞③稳转株④耐药株⑤标记细胞⑥细胞配套试剂等。

成立日期 (11年)
注册资本 100万(元)
员工人数 50-100人
年营业额 ¥ 1000万-5000万
经营模式 工厂,试剂,定制,服务
主营行业 细胞培养,微生物学,细胞生物学

HEC-151人子宫内膜癌复苏细胞(附STR鉴定报告)相关厂家报价

内容声明
拨打电话 立即询价