基本信息 产品详情 公司简介 推荐产品
网站主页 化工产品目录 生物 细胞培养 细胞系 人细胞系 451LU人黑色素瘤贴壁细胞系 451Lu人黑色素瘤复苏细胞(附STR鉴定报告)
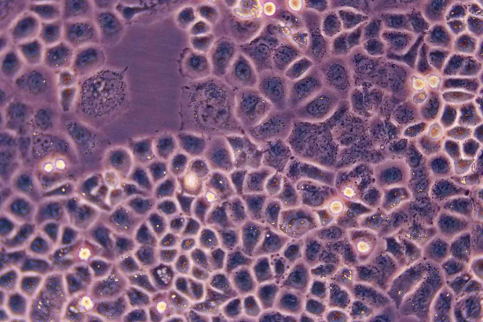
  • 451Lu人黑色素瘤复苏细胞(附STR鉴定报告)

451Lu人黑色素瘤复苏细胞(附STR鉴定报告)

451Lu
询价 1000000细胞数 起订
2000000细胞数 起订
上海 更新日期:2026-04-23

上海冠导生物工程有限公司

VIP6年
联系人:全经理
电话:18818239863拨打
邮箱:3171921642@qq.com

产品详情:

中文名称:
451Lu人黑色素瘤复苏细胞(附STR鉴定报告)
英文名称:
451Lu
保存条件:
常温培养或液氮冻存
纯度规格:
451Lu人黑色素瘤复苏细胞(附STR鉴定报告)
产品类别:
生物试剂

"451Lu人黑色素瘤复苏细胞(附STR鉴定报告)

细胞生长:贴壁

细胞传代方法:1:2-1:3传代;每周换液2-3次。

细胞内空泡通常是细胞受到压力的表现,原因可能是培养基中缺乏谷氨酰胺、添加抗真菌剂、不适当的CO2环境对培养基中碳酸氢钠浓度或培养基的营养消耗殆尽。一般来说,对于某些细胞系,尤其是向3T3-L1这样具有脂滴的细胞,细胞包含空泡是正常的。缺氧:当缺氧时 细胞na泵动力不足导致细胞内水储留,Na泵动力不足导致其不能向细胞外运送足量的Na,从而使细胞内处于GAO渗透压状态,更多胞外水分子进入胞内,造成水储留。可以理解为因为水分的流失,细胞内出现细胞质的浓缩,从而出现空泡。原代细胞培养的过程中经常出现这样的情况,是有些细胞处于终末分化状态,不会再分裂,时间长了就会空泡化而死亡。传代细胞出现这种状况比较少见,可能的原因是细胞代龄较长,老化严重。传代次数太多,细胞老化会出现上述的情况,但是还不排除其他因素,胞质中出现颗粒、脂滴或空泡也可能是细胞代谢不良的反应。我前一段时间养成纤维细胞(原代)的时候也出现过类似的情况。可以将血清的浓度提GAO10%到15%到20%;血清的质量,如果是国内的血清的话不同的批次之间的差异很大,可以借用些质量HAO的血清试试,看细胞状态是否会改变;把细胞消化收集起来,然后离心后重悬,重新种植。培养基里添加谷氨酰氨;细胞代谢障碍的问题,传代的次数可能不是关键因素,应该可以调整得过来;PH值不对,就用PH值试纸测了一下,大概6.7左右,加碳酸氢钠调到7.2左右,过了一段就HAO了。不排除轻度污染的可能,重度污染会伴有培养液的浑浊;培养液的PH值与细胞正常所需PH值差别太大;还有一个大家易忽略的问题,我们从相关权威资料中查到如果消化细胞吹打时力度过大,产生太多气泡,长期存在也会出现这种现象。

EB-2细胞类似产品::Rainbow Trout Embryo细胞、U251n细胞、CHO-S细胞

WSUDLCL2细胞类似产品::CCC-HPF-1细胞、TE 32细胞、LAN5细胞

CHOS细胞类似产品::MCF 7细胞、HBE 135-E6E7细胞、TYKnu细胞

HMC-1细胞类似产品::ML-2细胞、NCI-H711细胞、H35 Reuber细胞

细胞物种来源:人源或鼠源等其它物种来源

451Lu人黑色素瘤复苏细胞(附STR鉴定报告)

如何避免细胞成团?用无钙镁平衡盐溶液洗涤细胞。对于贴壁非常牢固的细胞(如MDCK),为了细胞更HAO的状态,更漂亮的样子,建议分多批多次消化,这样才能大限度地降低胰酶对细胞的损伤,保证细胞的状态能够。细胞生长密度不要太GAO,70%-80%就HAO(细胞刚刚基本成单层细胞,没有出现成层生长),这样细胞抱团的几率就大大减少了。如果细胞已经长成集落,可先将细胞低密度传代,第二天再消化传代,这样连续传三次,细胞抱团就会越来越小,这样几代过后,再按照常规消化方法和时间能将细胞逐渐传成单个的。消化过程中不要使劲摇动培养瓶,这样细胞别容易成屑样脱落。细胞一旦脱落入悬液里就很难再将他吹打成单个(因为细胞没有受力点了,所以细胞很难分散开)。所以必须要在细胞未脱落之前将其吹打开,严格控制HAO消化程度。

细胞背景资料:详见相关文献介绍

细胞形态:上皮细胞样

451Lu人黑色素瘤复苏细胞(附STR鉴定报告)

[细胞产品包装]鲜活细胞:T25培养瓶(一瓶)或冻存细胞:1ml冻存管(两支)

HNSC细胞类似产品::HCASMC细胞、MDAMB435S细胞、HEL细胞

Ramos-RA1细胞类似产品::H-740细胞、H2052_MM细胞、870细胞

JG细胞类似产品::SCC9细胞、High5细胞、MFE-296细胞

HCPEpiC细胞类似产品::PT-67细胞、NCIH2172细胞、C2-C12细胞

D283细胞类似产品::SKMEL3细胞、Intestinal Epithelioid Cell line No. 18细胞、Det 562细胞

细胞来源说明:来源于RCB、ATCC、KCLB、DSMZ、ECACC、INCell、ScienCell、ECACC、JCRB、Asterand、ICLC等知名细胞库

细胞是生物体结构和功能的基本单位。动物细胞:指从人体或动物体内取出组织,经过机械或酶学的方法分离出单个的细胞,是动物细胞,简称细胞。动物细胞培养:泛指体外培养,指从动物活体体内取出组织,模拟体内生理环境等定的体外条件下,进行孵育培养,使之生存并增殖。原代细胞:指从机体取出后立即培养的细胞。严格的说是稳定传代前的培养,实际上,通常把从机体取出后10代以内的细胞,统称为原代细胞。细胞系:原代培养物经首次传代后可连续传代的细胞群体,是细胞系。细胞传代:细胞由原培养瓶内分离稀释后传到新的培养瓶的过程称之为传代。永生化细胞(无限细胞系):指获得不死性具有持久或无限增殖的能力,也指有限细胞系通过转染、转化、癌变或病毒感染而诱导产生。有限细胞系:在体外培养生存期有限,不能长期传代的细胞系。细胞株:通过选择法或克隆形成法从原代培养物或细胞系中获得具有殊性质或标志物的培养物称为细胞株(细胞株是由一个细胞增殖而来)。

细胞生长特性:贴壁或悬浮,详见细胞说明书部分

H-2171细胞类似产品::H-2030细胞、MO59J细胞、HIT T-15细胞

MOPC细胞类似产品::HS-294细胞、GM3570细胞、C57 Mouse Tumor 64细胞

WM35细胞类似产品::A-172细胞、293F细胞、H-2286细胞

CMT64细胞类似产品::LN382细胞、Ramos(RA1)细胞、LMH细胞

HT-1197细胞类似产品::766T细胞、GA-10 (Clone 4)细胞、HCT-8/V细胞

Chinese Hamster Lung细胞类似产品::H-1568细胞、PNT1-a细胞、COLO-320-DM细胞

MCF-7细胞类似产品::MONO-MAC 6细胞、NCIH1436细胞、LS 513细胞

10RGB细胞类似产品::OCM1A细胞、TKB-1细胞、CEM-T4细胞

SW-948细胞类似产品::SW 1573细胞、CL-34细胞、SKG-3a细胞

IOSE-80细胞类似产品::mouse Inner Medullary Collecting Duct-3细胞、LO2细胞、H1781细胞

NT-2细胞类似产品::CATH.a细胞、CT 26细胞、3T3-L1细胞

451Lu人黑色素瘤复苏细胞(附STR鉴定报告)

SW780细胞类似产品::TOV-21G细胞、EB3 [Human Burkitt lymphoma]细胞、Vero E6细胞

HS-294T细胞类似产品::HF-91细胞、Hep 2细胞、LIXC002细胞

CFSC-8B细胞类似产品::L-6 myoblast细胞、HCAEC细胞、M20 [Human melanoma]细胞

COLO 206F细胞类似产品::PLA 802细胞、CCD 966 SK细胞、Hi-five细胞

WM115细胞类似产品::NE1细胞、SN12PM6细胞、Jurkat FHCRC细胞

WM115细胞类似产品::NE1细胞、SN12PM6细胞、Jurkat FHCRC细胞

hEM15A细胞类似产品::NCI-H2591细胞、U-251_MG细胞、M-14细胞

Lec1细胞类似产品::ChaGo-K-1细胞、Caco-2/BBe 1细胞、EOMA细胞

HSMC细胞类似产品::NCI-HUT-596细胞、Kasumi-1细胞、NCI-SNU-C2A细胞

HuH7细胞类似产品::CAL-120细胞、MeT 5A细胞、M 1细胞

Immortalized Human Hepatocytes细胞类似产品::H-7721细胞、H-774细胞、CaES-17细胞

Madin-Darby Bovine Kidney细胞类似产品::C3H/10T1/2细胞、WM 239-A细胞、U-266 AR1细胞

MXI细胞类似产品::Earles's cells细胞、HET-1A细胞、HepG2-luc细胞

HOS-143B细胞类似产品::DSL6A/C1细胞、SK_N_FI细胞、RCCJF细胞

MLA 144细胞类似产品::ATDC-5细胞、CAL 51细胞、NCI-H1650细胞

CEL细胞类似产品::FCCH1024细胞、U266S细胞、H-2342细胞

U87-MG细胞类似产品::NCI-H1385细胞、C3H10T1-2细胞、C33-A细胞

HNE1细胞类似产品::RINm5F细胞、TE-14细胞、AX-Mel细胞

H-1404细胞类似产品::RPMI.8226细胞、CCC-HSF-1细胞、HTR-8细胞

H-1404细胞类似产品::RPMI.8226细胞、CCC-HSF-1细胞、HTR-8细胞

NCI-UMC-11细胞类似产品::WM-115细胞、H1623细胞、NK-92 MI细胞

MGC803细胞类似产品::A2780-CP细胞、SK-GT-4细胞、CEM细胞

RF/6A细胞类似产品::HT-29/CX-1细胞、RGM1细胞、LU65细胞

KMST6细胞类似产品::MH7A细胞、SUM102PT细胞、NB19-RIKEN细胞

BT 20细胞类似产品::NCI-HUT-460细胞、NE-4C细胞、NCI-H2122细胞

GLRK 13细胞类似产品::IB-RS-2细胞、RCC_7860细胞、67NR细胞

OLN 93细胞类似产品::Co320细胞、NCI-H2452细胞、Stanford University-Diffuse Histiocytic Lymphoma-16细胞

SNU520细胞类似产品::H2170细胞、Stanford University-Diffuse Histiocytic Lymphoma-6细胞、MPASMC细胞

MEL-526细胞类似产品::Tj-905细胞、HEK 293-H细胞、WILL2细胞

NCI-522细胞类似产品::SR细胞、He La细胞、TE14细胞

Mel RM细胞类似产品::MFC细胞、HEK-293-F细胞、H2135细胞

159PT细胞类似产品::NCI-H2122细胞、SuDHL 8细胞、CCD-1112sk细胞

FOXNY细胞类似产品::B16/F1细胞、P815细胞、251 MG细胞

YES2细胞类似产品::MDAMB175细胞、WM2664细胞、H-295R细胞

D324细胞类似产品::IMR32细胞、NCI-H211细胞、RMC-1细胞

CHP 212细胞类似产品::HCC-1806细胞、H-1155细胞、KMS-11细胞

HOC1细胞类似产品::LIXC-002细胞、H1092细胞、OVCA420细胞

IPLB-Sf21-AE细胞类似产品::SNU1细胞、H-1648细胞、MT-2J细胞

7860细胞类似产品::HPAF II细胞、IMR90细胞、RS411细胞

CNE-2Z细胞类似产品::Centre Antoine Lacassagne-27细胞、WM35细胞、Line 870 Emory University-4细胞

TE12细胞类似产品::UMNSAH/DF#1细胞、Rat podocyte细胞、OCI-Ly 1细胞

COV504细胞类似产品::H341细胞、Rh30细胞、Hs 27细胞

HUT-226细胞类似产品::RCC23细胞、COLO-699细胞、OVCAR10细胞

HUT-226细胞类似产品::RCC23细胞、COLO-699细胞、OVCAR10细胞

HTori:3细胞类似产品::KBM-7/Hap8细胞、H4-II-E细胞、SCC7细胞

HPAFII细胞类似产品::UM-UC-1细胞、SKG-3a细胞、Centre Antoine Lacassagne-85-1细胞

PC-3M-2B4细胞类似产品::GBC-SD细胞、HUT125细胞、Jurkat77细胞

HCT 116细胞类似产品::H1694细胞、MOLT-16细胞、Metastatic Variant-522细胞

HepG2-luc细胞类似产品::SKNO1细胞、TE 671细胞、NRK clone 49F细胞

IEC-18细胞类似产品::McA-RH7777细胞、CTV1细胞、Kit 225细胞

Huh-7.5细胞类似产品::HEK 293-H细胞、NCI-H510细胞、MA104细胞

1301细胞类似产品::L cell line细胞、CoCL2细胞、PSN-1细胞

H1651细胞类似产品::OVSAHO细胞、LC-2-Ad细胞、SkChA1细胞

Tn5 B1-4细胞类似产品::CORL51细胞、UCLA-RO 81细胞、B-3细胞

SUM 149细胞类似产品::Detroit-562细胞、CHL1细胞、HT(H9)细胞

Roswell Park Memorial Institute 7666细胞类似产品::G-Olig2细胞、Centre Antoine Lacassagne-85-1细胞、Wistar Institute-38细胞

UM-UC-14细胞类似产品::CF-1 MEF细胞、GL261细胞、ZYM-DIEC02细胞

MC-CAR细胞类似产品::NSH细胞、SKLU1细胞、BE2M17细胞

H-1568细胞类似产品::HKC细胞、Me Wo细胞、NP69SV40T细胞

LSECs细胞类似产品::NCI-H295细胞、QGY7701细胞、DHL10细胞

SK-N-BE(2)-M17细胞类似产品::MAntle cell VERona-1细胞、Mono-Mac-1细胞、J111细胞

HT1376细胞类似产品::RH30SJ细胞、RL-65细胞、NK62a细胞

MC57G细胞类似产品::HTR8svn细胞、MIA Paca2细胞、HT144细胞

COLO 824细胞类似产品::KY-270细胞、NP-69细胞、HEK293-EBNA细胞

LS-180细胞类似产品::COLO678细胞、ABC1细胞、K1735细胞

IOSE29细胞类似产品::C32r细胞、SCC7细胞、CORL26细胞

PM6细胞类似产品::H-1694细胞、hEEC细胞、HCT116细胞

H838细胞类似产品::E.G7-OVA细胞、Hs 600.T细胞、AML-2细胞

H2170细胞类似产品::MBdSMC细胞、IM95细胞、MADB 106细胞

FCCH1018细胞类似产品::VP 229细胞、210RCY3-Ag1.2.3细胞、EFM-192C细胞

HCC-1954细胞类似产品::CMECs细胞、P3-X63Ag8细胞、EST50细胞

MDAPC2B细胞类似产品::M07e细胞、H2106细胞、SF539细胞

RCC 786-O细胞类似产品::IM95细胞、NCI-H1869细胞、T-84细胞

5637细胞类似产品::2T细胞、H292细胞、SUP T1细胞

LUDLU-1细胞类似产品::HOP62细胞、SY5Y细胞、NCIH1734细胞

SU.86.86细胞类似产品::D6P2T细胞、U031细胞、IMR90细胞

SF-767细胞类似产品::SNU251细胞、IOSE-Mar细胞、CT 26细胞

M3 Clone M-3细胞类似产品::HMy2.CIR细胞、HN-6细胞、T/G HA-VSMC细胞

OAC-P4C细胞类似产品::Hut292细胞、Karpas 422细胞、AG06814-M细胞

LUDLU1细胞类似产品::OCILY3细胞、CT-26 WT细胞、K562细胞

UCLA-SO-14细胞类似产品::NCI-H650细胞、HDSMC细胞、H-711细胞

BALL-1细胞类似产品::HepG2细胞、SACC-LM细胞、LCLC-103H细胞

HOP-92细胞类似产品::L-WRN细胞、SCC25细胞、LA-N-6细胞

OCI-Ly8细胞类似产品::FRTL5细胞、LCMS细胞、NCI-H69细胞

HES [Human embryonic skin fibroblast]细胞类似产品::QSG7701细胞、HOP62细胞、THPI细胞

NT2D1细胞类似产品::GAK细胞、NL20SV细胞、D10细胞

CAL-33细胞类似产品::COLO 678细胞、WM451细胞、hTERT-HPNE细胞

G402细胞类似产品::MOLP2细胞、TE353.SK细胞、PANC403细胞

VMCUB-1细胞类似产品::Huh 7.5.1细胞、NB1RGB细胞、NOR10细胞

Pa16C细胞类似产品::F9细胞、Panc02-H0细胞、HO-8910 PM细胞

RH8994细胞类似产品::SVGp12细胞、Opossum Kidney细胞、NCI-H3255细胞

HepG2-luc细胞类似产品::SKNO1细胞、TE 671细胞、NRK clone 49F细胞

BHK-21细胞类似产品::QGP 1细胞、U266-B1细胞、SUM-190细胞

Mv 1 Lu (NBL-7)细胞类似产品::BCaP 37细胞、H-1944细胞、NCI-UMC-11细胞

BC-028细胞类似产品::FHC细胞、H446细胞、IAR20细胞

CV-1 in Origin Simian-1细胞类似产品::H-1993细胞、PG-4 (S+L-)细胞、TF-1a细胞

MDA-MB468细胞类似产品::MDA MB 453细胞、A375S2细胞、U-343MG细胞

HT-1080细胞类似产品::AMJ2C8细胞、3D4/21细胞、KYSE 270细胞

2PK3细胞类似产品::NIH 3T6细胞、RPE-hTERT细胞、LAD 2细胞

NCI-522细胞类似产品::SR细胞、NS1-Ag 4/1细胞、22Rv1细胞

High5细胞类似产品::C2BBe 1细胞、Kit225 K6细胞、BrCL15细胞

HAC-84细胞类似产品::Panc-3_27细胞、KNS62细胞、Hs-729-T细胞

MDA-MB-453细胞类似产品::H-2444细胞、C57 Mouse Tumor 64细胞、HS-729细胞

DHL-5细胞类似产品::KS-1 [Human glioblastoma]细胞、Human Microvascular Endothelial Cell line-1细胞、HCC0070细胞

SNU-638细胞类似产品::Hu-P-T4细胞、VeroC1008细胞、Anip[973]细胞

FHC细胞类似产品::HELA-GFP细胞、T-24细胞、S91细胞

Calu-3细胞类似产品::H-378细胞、OP-9细胞、Hs 611.T细胞

NCI-H1975细胞类似产品::LS-174细胞、H-889细胞、Jurkat-E6细胞

AU-Mel细胞类似产品::RKO-AS45-1细胞、B 95-8细胞、NCI-157细胞

L-5178-Y-R细胞类似产品::WPE-int细胞、SW260细胞、OUMS23细胞

FRhK4细胞类似产品::NCIH508细胞、CCLP-1细胞、Tn 5B1-4细胞

OCI-AML5细胞类似产品::JURKAT E-6.1细胞、HCe-8693细胞、GM07404A细胞

MCA38细胞类似产品::U-hth74细胞、DMS 273细胞、P3/NSI/1-AG4-1细胞

PLA801-95C细胞类似产品::NCI-HUT-292细胞、SK Mel 1细胞、H841细胞

Soleus clone 8细胞类似产品::Rat Glomerular Endothelial细胞、HT 1080细胞、OCI-LY-10细胞

SW48细胞类似产品::NCI-H2452细胞、LAN5细胞、RS4:11细胞

SUDHL6细胞类似产品::H841细胞、RAOEC细胞、ATN-1细胞

MN 60细胞类似产品::NCI-H719细胞、639-V细胞、MZCRC1细胞

TCC-PAN2细胞类似产品::Suzhou Human Glioma-44细胞、LMH细胞、IOSE-Van细胞

MSC细胞类似产品::CALU1细胞、GT38细胞、ARPE-19细胞

T-HEECs细胞类似产品::QBI-HEK 293A细胞、MV4;11细胞、MDA134细胞

NCI-H1184细胞类似产品::H748细胞、L363细胞、Hs 870.T细胞

U-251-MG细胞类似产品::SW-962细胞、RPTEC TERT1细胞、Hs840T细胞

L-1210细胞类似产品::Cattle chondrocytes细胞、3T3J2细胞、MJ细胞

H-676B细胞类似产品::MHCCLM3细胞、MN-9D细胞、NT2-D1细胞

LADMAC细胞类似产品::TO175T细胞、MRC 5细胞、FHCRC subclone 11细胞

OSK-1细胞类似产品::REC-1细胞、Pro-5 Lec1.3c细胞、A-549细胞

HET1A细胞类似产品::COR-L279细胞、Mv 1 Lu细胞、HAVSMC细胞

CT-26 WT细胞类似产品::Line 697细胞、CAL33细胞、Adult Retinal Pigment Epithelial cell line-19细胞

NCIH1963细胞类似产品::C1498细胞、NR-8383细胞、ES2细胞

SW 1088细胞类似产品::NTera2/D1细胞、Hs888T细胞、ECV 304细胞

451Lu人黑色素瘤复苏细胞(附STR鉴定报告)

C4-2 Bone metastatic细胞类似产品::H-82细胞、SW-527细胞、NBL-7细胞

Hs 746T细胞类似产品::APRE-19细胞、KHYG1细胞、EnCa1细胞

H-2170细胞类似产品::WILL-2细胞、Y-79细胞、RN-c细胞

OK细胞类似产品::Y3-Ag123细胞、C-8161细胞、KU 812细胞

HCC-202细胞类似产品::RT4细胞、NB1-RGB细胞、ND7/23细胞

RPMI 6666细胞类似产品::TOV-112细胞、Fetal Human Colon细胞、NCI-H1437细胞

GC-2spd(ts)细胞类似产品::Lilly Laboratories Cell-Monkey Kidney 2细胞、TMD8细胞、SKNBE-1细胞

DAN-G细胞类似产品::aNK细胞、MC 3T3-E1细胞、Ramos-2G6-4C10细胞

HSMC细胞类似产品::NCI-HUT-596细胞、Kasumi-1细胞、NCI-SNU-C2A细胞

SNU119细胞类似产品::MDA1386细胞、MUTZ-3细胞、CL1-0细胞

SMMC 7721细胞类似产品::EBNA293细胞、NCIH1792细胞、H2347细胞

WiDrTC细胞类似产品::SNU-251细胞、H-1954细胞、CHO-K1细胞

ARIP细胞类似产品::AR4-2J细胞、H1666细胞、CFSC-2G细胞

HCE-T细胞类似产品::Panc-8_13细胞、CBRH-7919细胞、HTh-74细胞

HCC9724细胞类似产品::BIU87细胞、MRAEC细胞、T-47D细胞

FL 62891细胞类似产品::HL60细胞、NCI-SNU-216细胞、KPL-1细胞

TE354T细胞类似产品::A2008细胞、RPMI6666细胞、PANC 813细胞

HRA 19细胞类似产品::Rat Lung Epithelial-6-T-antigen Negative细胞、NCI-H2444细胞、L02细胞

C-28/I2细胞类似产品::C-32细胞、USMC细胞、T-24细胞

SF767细胞类似产品::A2780CP70细胞、MNNG/HOS细胞、PK13细胞

WM35细胞类似产品::A-172细胞、Hs895.T细胞、PC 12细胞

10T1/2细胞类似产品::HEK 293 EBNA细胞、LA-N-6细胞、COLO-HSR细胞

"



451Lu人黑色素瘤复苏细胞(附STR鉴;

公司简介

上海冠导生物工程有限公司,先后从ATCC、DSMZ、ECACC、RIKEN、PromoCell、ScienCell、JCRB等国内外细胞库引进细胞2000余株。以此为契机,公司组建了冠导细胞库,我司细胞均由资深细胞培养工程师进行培养。我司可以提供的细胞有:①细胞系②原代细胞③稳转株④耐药株⑤标记细胞⑥细胞配套试剂等。

成立日期 (11年)
注册资本 100万(元)
员工人数 50-100人
年营业额 ¥ 1000万-5000万
经营模式 工厂,试剂,定制,服务
主营行业 细胞培养,微生物学,细胞生物学

451Lu人黑色素瘤复苏细胞(附STR鉴定报告)相关厂家报价

内容声明
拨打电话 立即询价