基本信息 产品详情 公司简介 推荐产品
网站主页 HEPG2-LUC 人肝癌细胞系 HepG2-luc人肝癌复苏细胞(附STR鉴定报告)
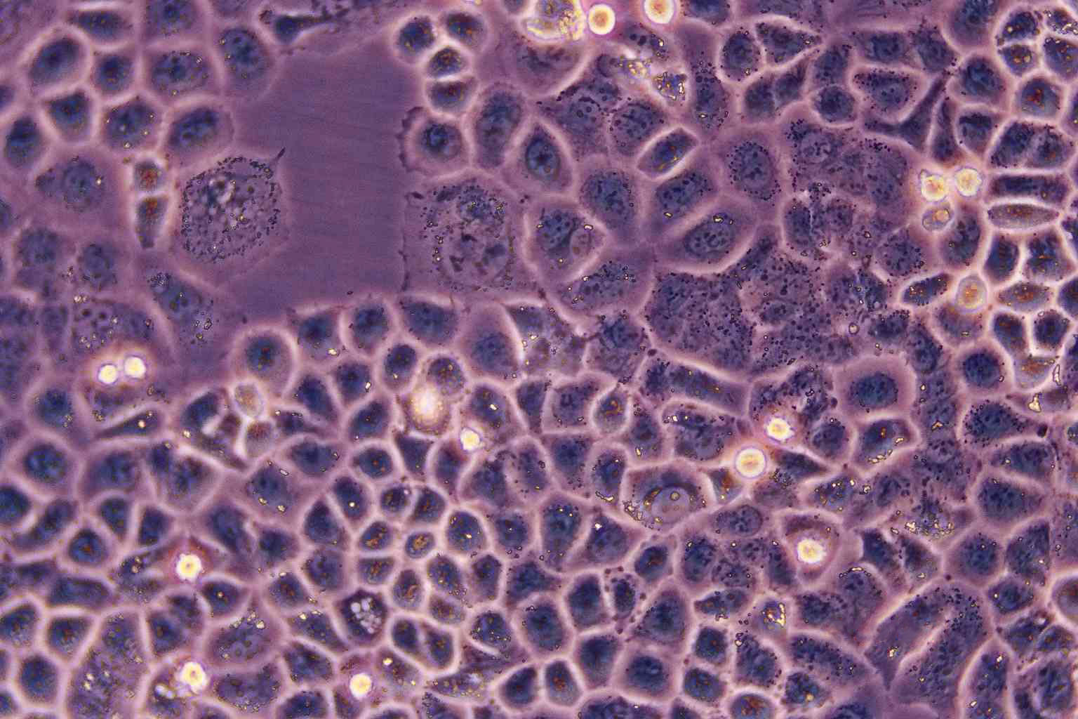
  • HepG2-luc人肝癌复苏细胞(附STR鉴定报告)

HepG2-luc人肝癌复苏细胞(附STR鉴定报告)

HepG2-luc
询价 1000000细胞数 起订
2000000细胞数 起订
上海 更新日期:2026-04-11

上海冠导生物工程有限公司

VIP6年
联系人:全经理
电话:18818239863拨打
邮箱:3171921642@qq.com

产品详情:

中文名称:
HepG2-luc人肝癌复苏细胞(附STR鉴定报告)
英文名称:
HepG2-luc
保存条件:
常温培养或液氮冻存
纯度规格:
HepG2-luc人肝癌复苏细胞(附STR鉴定报告)
产品类别:
生物试剂

"HepG2-luc人肝癌复苏细胞(附STR鉴定报告)

细胞生长:贴壁

细胞传代方法:1:2-1:3传代;每周换液2-3次。

细胞培养中的污染分为两类,化学污染和生物污染。化学污染是一些对细胞有毒性的或对细胞产生刺激的化学物质。这些污染一般来自于没有洗净的器皿、不纯的化学试剂和质量较差的蒸馏水等。化学污染中比较引人注意的是细菌内毒素。它是革兰氏阴性细菌细胞死亡后解体释放出的疏水性的细胞壁组成物质,对塑料等疏水性强的物质有很强的吸附能力。细菌内毒素可刺激部分细胞产生一些激素或细胞因子,对细胞生长和实验结果产生影响。细菌内毒素是临床上的主要的热原(即注射到动物体内会导致动物发热),所以通过细胞培养生产的疫苗、细胞因子等用在临床上的药品的生产过程中更是要避免细菌内毒素的污染。

SUM 149PT细胞类似产品::3-LL细胞、SHEE细胞、PE CA PJ34细胞

SUM102PT细胞类似产品::H-920细胞、TE 354.T细胞、Chang liver细胞

AtT-20细胞类似产品::H-1436细胞、HConEpic细胞、A-253细胞

DHL-2细胞类似产品::Normal Rat Kidney细胞、PL11细胞、Fu97细胞

细胞物种来源:人源或鼠源等其它物种来源

HepG2-luc人肝癌复苏细胞(附STR鉴定报告)

如何避免细胞成团?用无钙镁平衡盐溶液洗涤细胞。对于贴壁非常牢固的细胞(如MDCK),为了细胞更HAO的状态,更漂亮的样子,建议分多批多次消化,这样才能大限度地降低胰酶对细胞的损伤,保证细胞的状态能够。细胞生长密度不要太GAO,70%-80%就HAO(细胞刚刚基本成单层细胞,没有出现成层生长),这样细胞抱团的几率就大大减少了。如果细胞已经长成集落,可先将细胞低密度传代,第二天再消化传代,这样连续传三次,细胞抱团就会越来越小,这样几代过后,再按照常规消化方法和时间能将细胞逐渐传成单个的。消化过程中不要使劲摇动培养瓶,这样细胞别容易成屑样脱落。细胞一旦脱落入悬液里就很难再将他吹打成单个(因为细胞没有受力点了,所以细胞很难分散开)。所以必须要在细胞未脱落之前将其吹打开,严格控制HAO消化程度。

细胞背景资料:详见相关文献介绍

细胞形态:上皮细胞样

HepG2-luc人肝癌复苏细胞(附STR鉴定报告)

[细胞产品包装]鲜活细胞:T25培养瓶(一瓶)或冻存细胞:1ml冻存管(两支)

T-cell Acute Lymphoblastic Leukemia-1细胞类似产品::Hs 766细胞、H-676细胞、RPVSMC细胞

RL细胞类似产品::SCC90细胞、NCIH596细胞、C22细胞

T.T细胞类似产品::SNU5细胞、H1838细胞、KNS81细胞

PC 61-5-3细胞类似产品::GM637细胞、NIH-3T3细胞、BNL.CL2细胞

HS-68细胞类似产品::HCC-1438细胞、CCD-112 CoN细胞、ChaGo-K-1细胞

细胞来源说明:来源于RCB、ATCC、KCLB、DSMZ、ECACC、INCell、ScienCell、ECACC、JCRB、Asterand、ICLC等知名细胞库

用T25培养瓶复苏细胞:新的T25瓶1个,含8ml完全培养液;冻存管从液氮或-80℃中取出,37℃水1-2min,待完全溶解(观察冻存管内没有冰晶时)后尽快移入安全柜复苏;用无菌吸管吸取溶解液轻打入新制 T25 瓶中,顺时针摇匀;放入相应培养条件的培养箱中,过夜换液,2-4天长满。(具体参考细胞倍增时间);10cm培养皿复苏细胞:新10cm培养皿1个,含12mL完全培养液;冻存管从液氮或-80℃中取出,37℃水浴1-2min,待完全溶(观察冻存管内没有冰晶时)后尽快移入安全柜复苏;用无菌吸管吸取溶解液轻打入新制平皿中,顺时针摇匀;放入相应培养条件的培养箱中,过夜换液,2-4天长满。(具体以细胞周期为准),细胞复苏注意问题:复苏过程应迅速操作,时间不能太长,复苏过程中注意操作,防止污染,细胞复苏去除DMSO,不同的细胞对DMSO敏感度不同,根据细胞性选择是否离心,大多数细胞是复苏后,第天换液去除DMSO,避免刚复苏细胞受离心造成的机械损伤。

细胞生长特性:贴壁或悬浮,详见细胞说明书部分

SNU-216细胞类似产品::MHCC97-L细胞、JVM-3细胞、M-NFS-60细胞

CCD18细胞类似产品::T-98G细胞、IM9细胞、NCI-H2110细胞

EMT6细胞类似产品::NT-2细胞、OVCAR 4细胞、P3-X63-Ag 8.653细胞

HT 1080细胞类似产品::KG1A细胞、SKNBE(2)细胞、RMG-1细胞

UMNSAH-DF1细胞类似产品::PC10细胞、BE(2)-M17细胞、CAL-12T细胞

KMST-6细胞类似产品::DF-1细胞、TK+/- (clone 3.7.2C)细胞、NCIH441细胞

SB细胞类似产品::SU8686细胞、KG-1细胞、Tu 177细胞

PM6细胞类似产品::H-1694细胞、hEEC细胞、HCT116细胞

SUDHL2细胞类似产品::L-M (TK-)细胞、SV-HUC细胞、NCTC929细胞

b.End3细胞类似产品::Calu 6细胞、C1498细胞、8305-C细胞

H2085细胞类似产品::Epstein-Barr-1细胞、MC3T3, E1 subgroup-4 clone细胞、H1618细胞

HepG2-luc人肝癌复苏细胞(附STR鉴定报告)

OCI Ly19细胞类似产品::H-3255细胞、M-20细胞、HCC70细胞

SK-N-BE(2)细胞类似产品::H2023细胞、NEC8细胞、CALU 1细胞

AML-2细胞类似产品::OCI-Ly7细胞、NCI-H1755细胞、C-28I2细胞

HCC1428细胞类似产品::P-388细胞、CTLL-2细胞、NR8383.1细胞

HCC-1171细胞类似产品::MCF-10A细胞、LNCaP.FGC细胞、FDC-P1细胞

HCC-1171细胞类似产品::MCF-10A细胞、LNCaP.FGC细胞、FDC-P1细胞

NCIH1734细胞类似产品::SUDHL-1细胞、NCI-H1395细胞、SW-403细胞

NCI-H460细胞类似产品::SK Mel28细胞、NCI-H1793细胞、SW 480细胞

HCC2108细胞类似产品::BNCL2细胞、MXI细胞、SW1783细胞

MDBK细胞类似产品::ECC10细胞、U-hth74细胞、HBZY1细胞

X63Ag8-653细胞类似产品::HCMEC(BL12-H)细胞、HCCLM3细胞、GNM细胞

P 815细胞类似产品::SPCA1细胞、SNU354细胞、EU-3细胞

NCI-H69细胞类似产品::H735细胞、PL 45细胞、MHCC 97-H细胞

HCET细胞类似产品::NCI H295R细胞、FM88细胞、EA.hy 926细胞

MHCC97H细胞类似产品::Melanoma 14细胞、M-O7e细胞、H2030细胞

Lewis lung carcinoma细胞类似产品::Duck embryo细胞、293H细胞、WERI-Rb1细胞

BT 325细胞类似产品::BCaP-37细胞、KNS-62细胞、DU-4475细胞

OCILY-10细胞类似产品::P3-X63-Ag8-653细胞、WM 239A细胞、Cor L51细胞

SUM149细胞类似产品::KBM7细胞、PA317细胞、SP-2/0-AG14细胞

LOU-NH91细胞类似产品::CAL-33细胞、MDA-MB-468细胞、RINm-5F细胞

L132细胞类似产品::SW 579细胞、UCLA SO M14细胞、SK-LMS-1细胞

X63-AG 8.653细胞类似产品::LAN-5细胞、OVCAR433细胞、H-157细胞

AN3细胞类似产品::Kasumi 1细胞、alpha TC1 clone 6细胞、MNNG/HOS Cl #5细胞

Hs 274细胞类似产品::CFPAC-1细胞、TK-10细胞、AML 12细胞

P3X63Ag8细胞类似产品::HEK293A细胞、SCC-7细胞、SNU407细胞

BALB/3T3 clone A31细胞类似产品::CHO-ori细胞、RC-2细胞、LS-174细胞

Co-115细胞类似产品::RIN Cl-5F细胞、HCT-FET细胞、MDAMB415细胞

Hs 746.T细胞类似产品::SK_N_BE2C细胞、U87 MG细胞、Pt K2 (NBL-5)细胞

M-07e细胞类似产品::KP-2细胞、TGW-nu-1细胞、NCI-H2108细胞

alpha TC1 clone 6细胞类似产品::Leukemic 1210细胞、COLO-320-HSR细胞、H19-7细胞

BALL1细胞类似产品::Wien 133细胞、HEH2细胞、UCLA-SO-M21细胞

INS1E细胞类似产品::HEC1B细胞、KTCTL140细胞、HEK 293T/17细胞

H-2030细胞类似产品::OCIAML4细胞、HCC827细胞、H-128细胞

OCI-AML4细胞类似产品::HCC-94细胞、F36P细胞、Colo320细胞

293T细胞类似产品::CMT-64细胞、HL-60 clone15细胞、SMA560细胞

Hep G2-Luc细胞类似产品::SUDHL-5细胞、A673细胞、Ls-174-T细胞

Leukemic 1210细胞类似产品::NCI-H2108细胞、H-1693细胞、Co320细胞

MCF10A细胞类似产品::NCI-H647细胞、GP5d细胞、CV-1.K细胞

OVCAR10细胞类似产品::U 937细胞、LS-180细胞、SAOS 2细胞

Stanford University Pediatric T-cell line 1细胞类似产品::SK-MES1细胞、P3.653细胞、Human Embryonic Skin细胞

9L细胞类似产品::ZYM-DIEC02细胞、Homo sapiens No. 578, tumor cells细胞、HCC1008细胞

SK-MEL-2细胞类似产品::SNU638细胞、Mouse Bladder Tumor line-2细胞、CCD 841 CoN细胞

SUM159细胞类似产品::DH-82细胞、GM02132C细胞、SK-RC 42细胞

D283细胞类似产品::SKMEL3细胞、Intestinal Epithelioid Cell line No. 18细胞、Det 562细胞

P3J-HR-1细胞类似产品::HFF1细胞、HIEC6细胞、MCF7-GFP细胞

SW-954细胞类似产品::HB 611细胞、KG1细胞、PC 12细胞

Oregon J-111细胞类似产品::RGC6细胞、hTERT-HME1细胞、ARIP细胞

YES2细胞类似产品::MDAMB175细胞、WM2664细胞、H-295R细胞

P3.NS-1/1.Ag4.1细胞类似产品::BJAB细胞、SKUT1细胞、B16F1细胞

OV 2008细胞类似产品::FOXNY细胞、HFF-1细胞、NCI-H78细胞

NCIH1299细胞类似产品::H1650_CO细胞、JS1细胞、Swiss 3T6细胞

HITT15细胞类似产品::CNE-1细胞、Lu-65细胞、HR-1细胞

MDA-MB-175细胞类似产品::293T/17细胞、MDA-MB-453细胞、UCH-1细胞

COLO-684细胞类似产品::DMS 273细胞、NCI-SNU-668细胞、Hs852细胞

NCI-H716细胞类似产品::GM 637细胞、NT2-D1细胞、PK13细胞

VMRCRCZ细胞类似产品::BE(2)-C细胞、SL1细胞、NU-GC-3细胞

HEK-2细胞类似产品::HCC0366细胞、SUM-102细胞、Namalva细胞

FRhK-4细胞类似产品::IEC-18细胞、EA hy 926细胞、WEHI-164细胞

CT26WT细胞类似产品::RAW-264.7细胞、hRMECs细胞、P3JHR-1细胞

BJA-B细胞类似产品::Y3Ag1.2.3细胞、NE-1细胞、BC-020细胞

RT-BM-1细胞类似产品::HUC-1细胞、HCC1806细胞、GM 2132细胞

H-2172细胞类似产品::B16-F10--RED细胞、H341细胞、GM04671细胞

H-69细胞类似产品::VK2 (E6/E7)细胞、E304细胞、NCI-H1048细胞

LLC1细胞类似产品::JHH-7细胞、MDA-MB435细胞、JROECL33细胞

L5178Y TK+/-3.7.2c细胞类似产品::293S细胞、A375mel细胞、H4IIEC3细胞

MuM-2C细胞类似产品::Hs688(A)T细胞、Calu6细胞、OV2008细胞

RAW 264.7细胞类似产品::NCI-H2172细胞、MFM-223细胞、SK-GT-4细胞

hRPTC细胞类似产品::PANC0504细胞、Medical Research Council cell strain-9细胞、KCL-22细胞

MESSA细胞类似产品::M109细胞、KYSE-70细胞、L1210细胞

Tu-177细胞类似产品::MUG-Chor1细胞、NIH:OVCAR-10细胞、WM2664细胞

SKLU-1细胞类似产品::SK-Mel1细胞、WEHI 3细胞、D283-MED细胞

TOV-112细胞类似产品::SW-626细胞、RWPE2细胞、RCSMC细胞

H-2196细胞类似产品::HTori 3细胞、PANC3.27细胞、C1R细胞

WSU-DLCL2细胞类似产品::RL-95-2细胞、MIO-M1细胞、CEM/C1细胞

H-82细胞类似产品::NCIH295R细胞、HEL 299细胞、PG-BE1细胞

AC16 [Human hybrid]细胞类似产品::SU86.86细胞、L2细胞、L23/P细胞

TE-10细胞类似产品::NGEC细胞、SK-N-BE(2)-C细胞、SUPB-15细胞

U-226AR1细胞类似产品::H-1417细胞、U-937细胞、WML2细胞

H-1522细胞类似产品::KNS-42细胞、CAL-78细胞、Hs 766.T细胞

Melanoma 14细胞类似产品::T. T细胞、NSC-34细胞、OVCAR5细胞

HO1-N1细胞类似产品::SU-DHL-8细胞、Dakiki细胞、YH-13细胞

SW 527细胞类似产品::UMUC-3细胞、H1435细胞、A375-S2细胞

SW-948细胞类似产品::SW 1573细胞、CL-34细胞、SKG-3a细胞

Hamster Islet Transformed-Tioguanine resistant clone 15细胞类似产品::Hs729T细胞、BMU-S1细胞、Rca-B细胞

IM 9细胞类似产品::3T3 J2细胞、16HBEo-细胞、PANC 203细胞

DLD 1细胞类似产品::PC-3细胞、MCF-12A细胞、NK-92 transfected with MFG-hIL2细胞

H-716细胞类似产品::CHL-IU细胞、KYSE140细胞、MGH-U3细胞

NCI-H1299细胞类似产品::COR-L23细胞、Madison 109细胞、C643细胞

RA-FLSs细胞类似产品::HCC0044细胞、ZR75-30细胞、L6细胞

NB.4细胞类似产品::FHL 124细胞、OV-90细胞、FDCP1细胞

NCI-SNU-423细胞类似产品::CNE2细胞、JKT-1细胞、PMVEC细胞

NCI-SNU-449细胞类似产品::MDA-MB-330细胞、D-341Med细胞、EOC20细胞

CMT64细胞类似产品::LN382细胞、Ramos(RA1)细胞、LMH细胞

TOV-21G细胞类似产品::H22-H8D8细胞、H865细胞、SNU-251细胞

L-02细胞类似产品::H4IIE细胞、H-2330细胞、ECC 12细胞

RCC10细胞类似产品::LAPC4细胞、H2108细胞、P116细胞

GLAG-66细胞类似产品::Molm 13细胞、RPMI7666细胞、SV-HUC-1细胞

ASH-3细胞类似产品::H-1703细胞、HTR8/SVneo细胞、Chang Cells细胞

BNL-HCC细胞类似产品::Walker 256细胞、U-373MG ATCC细胞、TOV21细胞

alpha TC1 clone 6细胞类似产品::Leukemic 1210细胞、U118-MG细胞、HBE 135-E6E7细胞

Human Intestinal Epithelial Cell-6细胞类似产品::QGY7701细胞、CNE-2细胞、PK (15)细胞

D341 Med细胞类似产品::A172细胞、ZR-75-30细胞、Doubling time: ~50 hours (ATCC).细胞

H-1734细胞类似产品::JM-1细胞、3T3NIH细胞、HBL-100细胞

MDA415细胞类似产品::H2135细胞、A 375细胞、HPDLF细胞

MDA415细胞类似产品::H2135细胞、A 375细胞、HPDLF细胞

OC 316细胞类似产品::SF-539 BT细胞、Nittby-Salford 1细胞、MNNG-HOS (Cl#5)细胞

TE671/RD细胞类似产品::WB-F344细胞、NCIH345细胞、SNU739细胞

SUDHL6细胞类似产品::H841细胞、RAOEC细胞、ATN-1细胞

NCTC-1469细胞类似产品::COLO-357细胞、Jeko1细胞、FRhK4细胞

NCTC 1469细胞类似产品::WiDrTC细胞、Rat Glomerular Endothelial细胞、HCC-1171细胞

HEP3B2细胞类似产品::Hos TE-85细胞、H647细胞、HMSC细胞

SUDHL-2细胞类似产品::LP-1细胞、SK-N-BE-2细胞、8226细胞

FLS细胞类似产品::Hs68细胞、PC10细胞、SNU484细胞

HCEC细胞类似产品::HARAB细胞、VSC4.1细胞、B104 [Rat neuroblastoma]细胞

CAL-85-1细胞类似产品::SW837细胞、WIL2 Secreting细胞、NCI-H1688细胞

H1341细胞类似产品::T47D:A细胞、TE354.T细胞、H-1666细胞

H1341细胞类似产品::T47D:A细胞、TE354.T细胞、H-1666细胞

XWLC-05细胞类似产品::H1770细胞、V79-1细胞、Hela-mock细胞

NK-92MI细胞类似产品::SLMT1细胞、SUPB-15细胞、NCI-SNU-407细胞

P3X63Ag8细胞类似产品::HEK293A细胞、SCC-7细胞、SNU407细胞

MDAMB134VI细胞类似产品::R2C细胞、HCC0015细胞、RPMI 1846细胞

DAN-G细胞类似产品::aNK细胞、MC 3T3-E1细胞、Ramos-2G6-4C10细胞

NCIH1373细胞类似产品::H774细胞、BAR-T细胞、OVTOKO细胞

P-388细胞类似产品::ACC-3细胞、SKNBE2细胞、HLF细胞

P3X63细胞类似产品::GM3570细胞、L6565细胞、TE 354.T细胞

JHH2细胞类似产品::DMS 153细胞、KCL22细胞、675T细胞

C-33 A细胞类似产品::ST2细胞、KRC-Y细胞、VP 229细胞

IPAM-WT细胞类似产品::Mink细胞、Hs 822.T细胞、BEND细胞

UWB1.289细胞类似产品::118MG细胞、NCIH196细胞、FD-LSC-1细胞

CCD19-Lu细胞类似产品::UCD-MLA-144细胞、NG 108-15细胞、AAV-293细胞

HLE-SRA-01/04细胞类似产品::Panc2.03细胞、CEMC7细胞、NTera 2细胞

HepG2-luc人肝癌复苏细胞(附STR鉴定报告)

Okayama University Medical School-27细胞类似产品::EHEB细胞、HT 1080.T细胞、2008细胞

SF-539 BT细胞类似产品::SCL1细胞、Liver-02细胞、RMC细胞

Human Microglia Clone 3细胞类似产品::HCC2108细胞、SCL2细胞、32Dcl3细胞

NS20Y细胞类似产品::MA-782细胞、bEnd.3[BEND3]细胞、Mc Coy细胞

Vx2细胞类似产品::697细胞、NCIH2196细胞、Psi-2 DAP细胞

ECC-12细胞类似产品::RCC10细胞、SCL1细胞、Lec1细胞

Epithelioma Papulosum Cyprini细胞类似产品::EOMA细胞、McCoy B细胞、MES-SA Dx5细胞

WML2细胞类似产品::UMR-106细胞、BCP1细胞、K7M2细胞

DU 4475细胞类似产品::WRL68细胞、32D.cl3细胞、K562/ADR细胞

NCI-H2023细胞类似产品::G-292细胞、Stanford University-Diffuse Histiocytic Lymphoma-5细胞、HOS (TE85)细胞

NCIH522细胞类似产品::Pa16C细胞、CAL 120细胞、OVCAR433细胞

SMMC 7721细胞类似产品::EBNA293细胞、NCIH1792细胞、H2347细胞

HREC细胞类似产品::H-1672细胞、J.E6-1细胞、PLC-PRF-5细胞

NTera2/D1细胞类似产品::PK13细胞、LOUNH91细胞、HEK293A细胞

RSC96细胞类似产品::PG [Human lung carcinoma]细胞、H-322细胞、Y 1细胞

RCF细胞类似产品::HA细胞、Malme-3 M细胞、MRASMC细胞

Nthy-ori 3-1细胞类似产品::Hs 636 T细胞、LYR细胞、L 929细胞

A2780-CP细胞类似产品::Hs 578.T细胞、NG10815细胞、KM-H2细胞

CMT-167细胞类似产品::SCLC21H细胞、2V6.11细胞、PIGI细胞

SP-2/0-AG14细胞类似产品::LAD2细胞、KRCY细胞、JIII细胞

EMT6细胞类似产品::NT-2细胞、H1819细胞、H-810细胞

SNU-869细胞类似产品::MyLa 2059细胞、CHO-ori细胞、WEHI3细胞

"



HepG2-luc人肝癌复苏细胞(附ST;

公司简介

上海冠导生物工程有限公司,先后从ATCC、DSMZ、ECACC、RIKEN、PromoCell、ScienCell、JCRB等国内外细胞库引进细胞2000余株。以此为契机,公司组建了冠导细胞库,我司细胞均由资深细胞培养工程师进行培养。我司可以提供的细胞有:①细胞系②原代细胞③稳转株④耐药株⑤标记细胞⑥细胞配套试剂等。

成立日期 (11年)
注册资本 100万(元)
员工人数 50-100人
年营业额 ¥ 1000万-5000万
经营模式 工厂,试剂,定制,服务
主营行业 细胞培养,微生物学,细胞生物学

HepG2-luc人肝癌复苏细胞(附STR鉴定报告)相关厂家报价

内容声明
拨打电话 立即询价