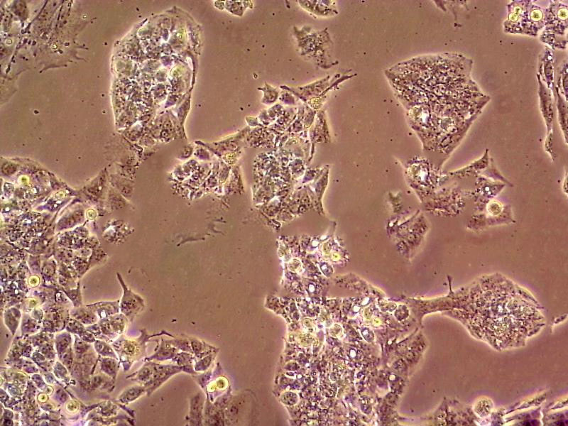
"UPCI-SCC-090 Epithelial Cell|人口腔鳞癌传代细胞(有STR鉴定)
细胞形态:上皮细胞样
培养细胞真的不难,Zui关键几点:1)所有的东西使用,如果你用的血清、培养皿、培养基、胰酶什么的都是进口的,真的很难相信你会把细胞养坏;2)动作要快,胰酶消化,换液什么,细胞暴露在空气中的时间越少越HAO。另外,要掌握HAO胰酶消化时间,所谓的细胞状态差,很多时候是传代的原因;3)有时间的话,需要细胞计数,传相应数目的细胞到培养皿中,可以大致清楚细胞的生长曲线,不会临时要处理,手足无措;4)要做什么心里要非常清楚,合理安排时间,传代细胞的实验穿插进行,可以节省很多时间,也不会耽误别人的实验;5)个人的实验器具自己收一套,不要和别人混用,Zui近换了什么新的东西稍微记一下,试剂一旦怀疑污染,马上丢;6)传代细胞不能进去太多人,避免相互干扰。每天对待细胞比孝敬爹妈还用心,那真是捧在手里怕碎了,含在嘴里怕化了,看在眼里怕丢了,培养细胞时有哪些经验教训可以分享呢?1)严格无菌操作,多喷喷酒精,要是对灭菌的东西不放心,自己包自己送自己烘干;2)不要和别人共用试剂耗材,自己准备一套;3)有可能的话在拿到新细胞的时候做HAO支原体衣原体检测;4)水浴锅很脏,生化培养箱要是得手动加湿的话盘里的水也会很脏,勤换(灭菌水加进去);5)晚上离开的时候ZuiHAO给传代细胞照紫外,超净台是用完就开;6)是同一时间就你一个人在用传代细胞在养细胞。
细胞生长:贴壁

COLO-320HSRCells;细胞背景资料:该细胞1984年建系,源自一位33岁患有大肠腺癌男性经5-fu治疗后的腹水。;细胞传代方法:1:2传代。3天内可长满。;细胞生长特性:半贴壁生长;细胞形态特性:详见细胞说明书;相关细胞有:UACC-812Cells、G-401Cells、NIH3T3细胞
NCI-H747Cells;细胞背景资料:详见相关文献介绍;细胞传代方法:1:2—1:4传代,每周换液2次;细胞生长特性:贴壁生长;细胞形态特性:上皮样;相关细胞有:C 6Cells、BIC-1Cells、MDAMB134VI细胞
KY70Cells;细胞背景资料:详见相关文献介绍;细胞传代方法:1:2-1:3传代;每周换液2-3次。;细胞生长特性:贴壁或悬浮,详见细胞说明书部分;细胞形态特性:详见细胞说明书;相关细胞有:MC3T3-E1 Subclone 4Cells、SNU398Cells、Malme-3M细胞
MOLM13Cells;细胞背景资料:急性髓系白血病;男性;细胞传代方法:1:2-1:3传代;每周换液2-3次。;细胞生长特性:悬浮;细胞形态特性:详见细胞说明书;相关细胞有:CAL 85-1Cells、HCC-1954BLCells、Hep-3B细胞
细胞物种来源:人源或鼠源等其它物种来源
细胞接收操作说明:请仔细阅读本操作说明及相应的细胞说明书。本公司细胞发货有四种形式:T25培养瓶(一般是贴壁细胞使用,悬浮细胞也可以)、离心管(悬浮细胞使用多,当然,有些公司也会用这种离心管形式发贴壁细胞,但是,长期经验来说,贴壁细胞容易发生形态变化,估计是细胞培养空间狭小,血清不足导致(Zui主要是怕运输延误导致这些情况发生),个人不建议用离心管形式发贴壁细胞)及干冰(冻存细胞用,主要是冬天天气冷,温度低于4℃的地方,都要考虑冻存细胞)。T25培养瓶:是用T25细胞培养瓶直接发货的形式。收到细胞后,拆开包装T25培养瓶的自封袋,不拆封口膜,表面喷75%酒精消毒后显微镜观察细胞状态(有条件可以拍下此时细胞照片)。将细胞放入37度培养箱平衡两小时以上,再处理细胞。首先将T25中培养基取出装HAO备用,如细胞密度GAO于80%,可以直接消化传代,相反则加入5-6ml培养基放回培养箱继续培养即可。离心管:是用15ml离心管发货的形式,只用于悬浮细胞发货。收到细胞后消毒处理及将细胞放入37度培养箱平衡两小时以上,再处理细胞。首先将T25中培养基取出装HAO备用(如果实验室没有T25培养瓶,可以暂时T75培养瓶,加入10-15ml培养基,建议10ml培养基,也可以使用T175培养瓶,加入50-60ml培养基,培养瓶越大,需要的培养基越多。当然如果刚接收到细胞密度不够的话,ZuiHAO不用大瓶子,先用小瓶子养起来再换大的,不然会长得很慢,严重的,会导致细胞死亡等危险),平衡完成后,离心(1000rpm,3min)收集细胞,弃上清,用新的培养基重悬细胞并接种至培养瓶或皿中,放回培养箱继续培养。干冰:是用本公司冻存液冻存细胞后,直接用干冰将冻存的细胞冷冻发货的形式。收到细胞后按照细胞复苏的步骤操作即可。
细胞培养更HAO经验详解:1)收到细胞,首先要镜检:观察细胞形态是否正常,对于贴壁细胞则要注意看贴壁情况是否很HAO,观察细胞密度,有疑议及时咨提供细胞的技术人员。 由于运输的时间或者温度的变化,很多贴壁细胞在盛满培养基的瓶子里生长的状态和平时会有点不一样,主要是贴壁牢固问题。比如293T,平时贴壁就不是很牢,在装满的培养基瓶子里面,会发生大片的脱落,细胞聚集在一起,但是细胞生长还是正常的,通过离心收集,加以胰酶的消化,重新打散,又可以正常的贴壁生长。2)当通过上一步的观察,细胞初步没有问题时,进行下一步操作。当收到的细胞密达到80%左右时,则处理如下:弃除瓶中大部分培养基,仅保留5到10mL培养所需的常规培养基;或更换新鲜的培养基,置于培养箱中,随后每天观察。 细胞在低于正常生长温度情况下,会调整为静止期,或者慢速生长期,恢复37度的环境至少3个小时左右,才能重新调整到接近对数生长期的状态,在对数生长期进行细胞的传代会大大增加传代的成功率,和细胞的存活率。3)如果经步观察发现细胞密度超过90%,并且细胞状态很HAO时,则复温后2个小时需要立即传代。传代的比例应依据不同的细胞而定。对于生长比较快,状态稳定,不易受外界影响的细胞可以一次多传几瓶;对于生长较慢,细胞比较薄,状态容易波动的细胞类型,一次少传些,每瓶细胞密度大些,便于稳定生长。至于一些比较陌生的细胞,次处理也可以依照第二种情况。
[细胞产品包装]鲜活细胞:T25培养瓶(一瓶)或冻存细胞:1ml冻存管(两支)
NCI-H1819Cells;细胞背景资料:详见相关文献介绍;细胞传代方法:1:2-1:3传代;每周换液2-3次。;细胞生长特性:贴壁或悬浮,详见细胞说明书部分;细胞形态特性:详见细胞说明书;相关细胞有:NCIH2110Cells、KYSE 510Cells、CNE1细胞
RCC-JFCells;细胞背景资料:肾透明细胞癌;女性;细胞传代方法:1:2-1:3传代;每周换液2-3次。;细胞生长特性:贴壁;细胞形态特性:详见细胞说明书;相关细胞有:HUVEC-C[HUVEC]Cells、T47DCells、EFM19细胞
3T6Cells;细胞背景资料:胚胎;成纤维;自发永生;雄性;Swiss albino;细胞传代方法:1:2-1:3传代;每周换液2-3次。;细胞生长特性:贴壁;细胞形态特性:详见细胞说明书;相关细胞有:L cellsCells、alpha TC1-6Cells、OV 1063细胞
细胞背景资料:舌鳞癌细胞;男性
UPCI-SCC-090 Epithelial Cell|人口腔鳞癌传代细胞(有STR鉴定)
细胞传代方法:1:2-1:3传代;每周换液2-3次。
NCIH1435Cells;细胞背景资料:详见相关文献介绍;细胞传代方法:1:3-1:6传代,每周换液2-3次;细胞生长特性:贴壁生长,松散;细胞形态特性:详见细胞说明书;相关细胞有:CHG-5Cells、293-GPCells、JIII细胞
MC-3T3Cells;细胞背景资料:详见相关文献介绍;细胞传代方法:1:2-1:3传代;每周换液2-3次。;细胞生长特性:贴壁或悬浮,详见细胞说明书部分;细胞形态特性:详见细胞说明书;相关细胞有:CESSCells、A-172MGCells、RFL 6细胞
BrCL15Cells;细胞背景资料:MDA-MB-435S是一种纺锤形的细胞,1976年由其亲本(435)中筛选得到。435是从31岁的转移性乳腺导管腺癌女性患者胸水中分离得到。当用荧光染料对微管蛋白进行染色时亲本细胞显现散布特征(II型)。Zui近通过cDNA阵列研究表明,亲本(MDA-MB-435)可归入黑素瘤起源。;细胞传代方法:消化3-5分钟,1:2,3天内可长满;细胞生长特性:贴壁生长;细胞形态特性:纺锤形;相关细胞有:Hep IICells、Cates 1BCells、P388-D1细胞
细胞来源说明:来源于RCB、ATCC、KCLB、DSMZ、ECACC、INCell、ScienCell、ECACC、JCRB、Asterand、ICLC等知名细胞库
细胞生长特性:贴壁
细胞培养中的污染分为两类,化学污染和生物污染;生物污染包括比较容易发现的细菌、霉菌和酵母的污染,和较难发现的病毒、支原体和其他细胞的污染。细菌、霉菌和酵母到处存在,它们能在合适的环境中非常快速的生长。这些污染比较容易观察到,它们往往会使其污染的培养液产生可见的变化,或者通过显微镜观察就可以看见。由于病毒有种属异性,所以病毒污染的概率比较小。但是病毒污染难于发现,因为病毒颗粒别微小,一般的实验室都没能力检查细胞培养中污染的病毒。由于病毒一般潜伏在细胞内,对整个细胞培养不是致死的,所以它可能会使研究人员长期得到受病毒影响的细胞的实验结果。1956年Robinson及其同事首次发现细胞培养中的支原体污染。90年代初的一个调查发现,在美国培养的细胞中,至少有15%被支原体污染。由于支原体没有细胞壁,在细胞培养液中几乎是透明的,同时对常用于细胞培养中的抗生素不敏感,不引起pH变化,不使培养液浑浊,所以支原体污染不容易被发现,但是其存在会影响实验的结果。培养多种细胞时操作不当,会导致细胞的交叉污染。由于不同细胞的生产速率不同,污染的生长速率快的细胞终会完全取代被污染的细胞。
M1Cells;细胞背景资料:髓系白血病;SL;细胞传代方法:1:2-1:3传代;每周换液2-3次。;细胞生长特性:悬浮;细胞形态特性:详见细胞说明书;相关细胞有:VM-CUB-1Cells、COLO-320Cells、MDA-MB-435S细胞
VMCUB-1Cells;细胞背景资料:详见相关文献介绍;细胞传代方法:1:2-1:3传代;每周换液2-3次。;细胞生长特性:贴壁或悬浮,详见细胞说明书部分;细胞形态特性:详见细胞说明书;相关细胞有:Huh 7.5.1Cells、NB1RGBCells、NOR10细胞
OUMS-27Cells;细胞背景资料:软骨肉瘤;男性;细胞传代方法:1:2-1:3传代;每周换液2-3次。;细胞生长特性:贴壁;细胞形态特性:详见细胞说明书;相关细胞有:KYSE270Cells、H774Cells、B-cell Acute Lymphoblastic Leukemia-1细胞
P3-NS1/1-Ag4-1Cells;细胞背景资料:这是P3X63Ag8(ATCCTIB-9)的一个不分泌克隆。Kappa链合成了但不分泌。能抗0.1mM8-氮杂鸟嘌呤但不能在HAT培养基中生长。据报道它是由于缺失了3-酮类固醇还原酶活性的胆固醇营养缺陷型。检测表明肢骨发育畸形病毒(鼠痘)阴性。;细胞传代方法:1:2传代,3天内可长满。;细胞生长特性:悬浮生长;细胞形态特性:淋巴母Cells;相关细胞有:NHLFCells、NCI-H524Cells、Caco 2细胞
Stanford University-Diffuse Histiocytic Lymphoma-8Cells;细胞背景资料:弥漫大B淋巴瘤;腹腔积液转移;男性;细胞传代方法:1:2-1:3传代;每周换液2-3次。;细胞生长特性:悬浮;细胞形态特性:详见细胞说明书;相关细胞有:AGSCells、P388.D1Cells、P3X63 AG8-653细胞
GM03569BCells;细胞背景资料:该细胞是由绵羊红细胞免疫的BALB/c小鼠脾细胞和P3X63Ag8骨髓瘤细胞融合得到的。该细胞不分泌免疫球蛋白,对20μg/ml的8-氮鸟嘌呤有抗性,对HAT比较敏感;该细胞可以作为细胞融合时的B细胞组分用于制备杂交瘤;鼠痘病毒阴性。;细胞传代方法:1:2传代;细胞生长特性:悬浮生长;细胞形态特性:淋巴母细胞样;圆形;相关细胞有:NCI-H1819Cells、HCC1588Cells、MOLT 3细胞
IPEC-1Cells;细胞背景资料:小肠;上皮Cells;自发永生;细胞传代方法:1:2-1:3传代;每周换液2-3次。;细胞生长特性:贴壁;细胞形态特性:详见细胞说明书;相关细胞有:P3 (Jiyoye)Cells、CCRF/CEM/0Cells、SKNO1细胞
D407Cells;细胞背景资料:详见相关文献介绍;细胞传代方法:1:2传代;细胞生长特性:贴壁生长 ;细胞形态特性:详见细胞说明书;相关细胞有:NIH:OVCAR-3Cells、IB-RS-2Cells、Panc5.04细胞
MCF7Cells;细胞背景资料:MCF-7细胞保留了多个分化了的乳腺上皮的特性,包括:能通过胞质雌激素受体加工雌二醇并能形成圆形复合物(domes)。该细胞含有Tx-4癌基因。肿瘤坏死因子α(TNFalpha)可以抑制MCF-7细胞的生长。抗雌激素处理细胞能调变IGFBP'S的分泌。;细胞传代方法:1:2传代,3-4天长满;细胞生长特性:贴壁生长;细胞形态特性:上皮样;相关细胞有:CHG5Cells、GES-1Cells、L132细胞
Ha FeCells;细胞背景资料:详见相关文献介绍;细胞传代方法:1:2-1:3传代;每周换液2-3次。;细胞生长特性:贴壁或悬浮,详见细胞说明书部分;细胞形态特性:详见细胞说明书;相关细胞有:HCC1008Cells、AN3CACells、OVCAR.8细胞
F9Cells;细胞背景资料:详见相关文献介绍;细胞传代方法:1:2-1:3传代;每周换液2-3次。;细胞生长特性:贴壁或悬浮,详见细胞说明书部分;细胞形态特性:详见细胞说明书;相关细胞有:Roswell Park Memorial Institute 8402Cells、NCI-H2052Cells、A-1847细胞
SKMel-28Cells;细胞背景资料:详见相关文献介绍;细胞传代方法:1:3-1:8传代,2-3天换液1次。;细胞生长特性:贴壁生长;细胞形态特性:星形的;相关细胞有:Line 207Cells、Hs 888.LuCells、A-498细胞
HEK-293 c18Cells;细胞背景资料:详见相关文献介绍;细胞传代方法:1:4-1:10传代;每周2次。;细胞生长特性:贴壁生长;细胞形态特性:上皮细胞样;相关细胞有:brain-derived Endothelial cells.3Cells、Caki2Cells、GES-1细胞
UPCI-SCC-090 Epithelial Cell|人口腔鳞癌传代细胞(有STR鉴定)
MCF-7Cells;细胞背景资料:MCF-7细胞保留了多个分化了的乳腺上皮的特性,包括:能通过胞质雌激素受体加工雌二醇并能形成圆形复合物(domes)。该细胞含有Tx-4癌基因。肿瘤坏死因子α(TNFalpha)可以抑制MCF-7细胞的生长。抗雌激素处理细胞能调变IGFBP'S的分泌。;细胞传代方法:1:2传代,3-4天长满;细胞生长特性:贴壁生长;细胞形态特性:上皮样;相关细胞有:MONO-MAC 6Cells、NCIH1436Cells、LS 513细胞
Hu-P-T3Cells;细胞背景资料:详见相关文献介绍;细胞传代方法:1:2传代;细胞生长特性:贴壁生长;细胞形态特性:详见细胞说明书;相关细胞有:OCM1Cells、NCI-H28Cells、526mel细胞
COLO 320Cells;细胞背景资料:详见相关文献介绍;细胞传代方法:1:2-1:3传代;每周换液2-3次。;细胞生长特性:贴壁;细胞形态特性:淋巴母Cells;相关细胞有:THLE-2Cells、UM-UC-3Cells、NCI-H1876细胞
U-373-MGCells;细胞背景资料:胶质瘤;男性;细胞传代方法:1:2-1:3传代;每周换液2-3次。;细胞生长特性:贴壁;细胞形态特性:详见细胞说明书;相关细胞有:MC 3T3-E1Cells、WSU-DLCL-2Cells、PANC0327细胞
NCI H295RCells;细胞背景资料:肾上腺皮质癌;女性;细胞传代方法:1:2-1:3传代;每周换液2-3次。;细胞生长特性:贴壁;细胞形态特性:详见细胞说明书;相关细胞有:NCI-H1092Cells、RERFLCMSCells、SUIT2细胞
6-T CEMCells;细胞背景资料:详见相关文献介绍;细胞传代方法:1:2传代;细胞生长特性:贴壁生长 ;细胞形态特性:详见细胞说明书;相关细胞有:1.1B4Cells、TR146Cells、Walker256细胞
HCT-8/VCells;细胞背景资料:详见相关文献介绍;细胞传代方法:1:2-1:3传代;每周换液2-3次。;细胞生长特性:贴壁或悬浮,详见细胞说明书部分;细胞形态特性:详见细胞说明书;相关细胞有:DR2R 1610Cells、B-cell Acute Lymphoblastic Leukemia-1Cells、TCCSUP细胞
CCD-33CoCells;细胞背景资料:详见相关文献介绍;细胞传代方法:1:2-1:3传代;每周换液2-3次。;细胞生长特性:贴壁或悬浮,详见细胞说明书部分;细胞形态特性:详见细胞说明书;相关细胞有:HMCCells、SKNEP-1Cells、SBC3细胞
MDA PCa 2bCells;细胞背景资料:详见相关文献介绍;细胞传代方法:1:2-1:4传代,2-3天换液1次。;细胞生长特性:贴壁生长;细胞形态特性:上皮Cells;相关细胞有:COLO357Cells、NCI-H78Cells、HCT/FU细胞
GM02219DCells;细胞背景资料:MOLT-4与MOLT-3来源于一名19岁的男性急性淋巴细胞性白血病的复发患者,该患者前期接受过多种药物联合化疗。MOLT-4细胞系为T淋巴细胞起源,p53基因的第248位密码子有一个G→A突变,不表达p53,不表达免疫球蛋白或EB病毒;可产生高水平的末端脱氧核糖转移酶;表达CD1(49%),CD2(35%),CD3A(26%)B(33%)C(34%),CD4(55%),CD5(72%),CD6(22%),CD7(77%)。;细胞传代方法:1:2传代;细胞生长特性:悬浮生长;细胞形态特性:淋巴母细胞样;圆形;相关细胞有:RMa-bmCells、WSU-DLCL2Cells、HFT8810细胞
NIH 3T6Cells;细胞背景资料:胚胎;成纤维;自发永生;雄性;Swiss albino;细胞传代方法:1:2-1:3传代;每周换液2-3次。;细胞生长特性:贴壁;细胞形态特性:详见细胞说明书;相关细胞有:CP70Cells、H1373Cells、SKNBE(2c)细胞
LNT-229Cells;细胞背景资料:详见相关文献介绍;细胞传代方法:1:4-1:6传代;每周换液2-3次;细胞生长特性:贴壁生长;细胞形态特性:上皮Cells;相关细胞有:H1435Cells、MAVER-1Cells、C-33A细胞
HUCECCells;细胞背景资料:宫颈;上皮Cells;细胞传代方法:1:2-1:3传代;每周换液2-3次。;细胞生长特性:贴壁;细胞形态特性:详见细胞说明书;相关细胞有:RKOCells、SUD-4Cells、HT-29/CX-1细胞
B5537SKINCells;细胞背景资料:成纤维Cells;细胞传代方法:1:2-1:3传代;每周换液2-3次。;细胞生长特性:贴壁;细胞形态特性:详见细胞说明书;相关细胞有:MLTC-1Cells、HT 29Cells、OVCAR-3细胞
MN-60Cells;细胞背景资料:B细胞白血病;男性;细胞传代方法:1:2-1:3传代;每周换液2-3次。;细胞生长特性:悬浮;细胞形态特性:详见细胞说明书;相关细胞有:Wien133Cells、H-838Cells、HCC1599细胞
KMB 17Cells;细胞背景资料:详见相关文献介绍;细胞传代方法:1:2传代;细胞生长特性:贴壁生长 ;细胞形态特性:详见细胞说明书;相关细胞有:MCF10ACells、COV362Cells、SNU216细胞
Caco2-BBECells;细胞背景资料:详见相关文献介绍;细胞传代方法:1:6—1:10传代,每周换液2次;细胞生长特性:贴壁生长;细胞形态特性:上皮Cells;相关细胞有:Hs729Cells、OCI-AML5Cells、Embryonic Bovine Tracheal cells细胞
P3-X63.Ag8.653Cells;细胞背景资料:详见相关文献介绍;细胞传代方法:1:2-1:3传代;每周换液2-3次。;细胞生长特性:贴壁或悬浮,详见细胞说明书部分;细胞形态特性:详见细胞说明书;相关细胞有:MonoMac 6Cells、SU-DHL-6Cells、BEL7405细胞
U20SCells;细胞背景资料:骨肉瘤;女性;细胞传代方法:1:2-1:3传代;每周换液2-3次。;细胞生长特性:贴壁;细胞形态特性:详见细胞说明书;相关细胞有:GP-293Cells、HNE-1Cells、GA-10(Clone 4)细胞
HCC0095Cells;细胞背景资料:详见相关文献介绍;细胞传代方法:1:2-1:3传代;每周换液2-3次。;细胞生长特性:贴壁或悬浮,详见细胞说明书部分;细胞形态特性:详见细胞说明书;相关细胞有:Ha FeCells、L-1210Cells、VMRCLCD细胞
Karpas 422Cells;细胞背景资料:详见相关文献介绍;细胞传代方法:1:2-1:3传代;每周换液2-3次。;细胞生长特性:贴壁或悬浮,详见细胞说明书部分;细胞形态特性:详见细胞说明书;相关细胞有:WC00059Cells、NS-1Cells、TC7细胞
NCL-H548Cells;细胞背景资料:详见相关文献介绍;细胞传代方法:1:2-1:3传代;每周换液2-3次。;细胞生长特性:贴壁或悬浮,详见细胞说明书部分;细胞形态特性:详见细胞说明书;相关细胞有:MOLM13Cells、HH [Human lymphoma]Cells、BEAS 2B细胞
NK62aCells;细胞背景资料:这株细胞有EB病毒基因组。;细胞传代方法:1:2传代。3天内可长满。;细胞生长特性:悬浮生长 ;细胞形态特性:淋巴母细胞样;相关细胞有:OV-1063Cells、ZYM-SVEC01Cells、PG-LH7细胞
HPASMCCells;细胞背景资料:肺动脉平滑肌Cells;细胞传代方法:1:2-1:3传代;每周换液2-3次。;细胞生长特性:贴壁;细胞形态特性:详见细胞说明书;相关细胞有:SW780Cells、Hs-600-TCells、PAMC82细胞
PL 45Cells;细胞背景资料:详见相关文献介绍;细胞传代方法:1:2传代;细胞生长特性:贴壁生长;细胞形态特性:上皮样;相关细胞有:RK 13Cells、HC-11Cells、Human Embryo Lung-1细胞
SNU387Cells;细胞背景资料:详见相关文献介绍;细胞传代方法:1:2传代;细胞生长特性:贴壁生长;细胞形态特性:上皮样;相关细胞有:3T3L1Cells、SNU739Cells、Human Intestinal Epithelial Cell-6细胞
SNU387Cells;细胞背景资料:详见相关文献介绍;细胞传代方法:1:2传代;细胞生长特性:贴壁生长;细胞形态特性:上皮样;相关细胞有:3T3L1Cells、SNU739Cells、Human Intestinal Epithelial Cell-6细胞
DMS 273Cells;细胞背景资料:详见相关文献介绍;细胞传代方法:1:2-1:3传代;每周换液2-3次。;细胞生长特性:贴壁或悬浮,详见细胞说明书部分;细胞形态特性:详见细胞说明书;相关细胞有:AN-3Cells、OCI-Ly7Cells、Hs940-T细胞
HCC-1143Cells;细胞背景资料:详见相关文献介绍;细胞传代方法:1:2—1:4传代,每周换液2—3次;细胞生长特性:贴壁生长;细胞形态特性:上皮样;相关细胞有:University of Michigan-Urothelial Carcinoma-3Cells、VMCUB-1Cells、M-07e细胞
HCC-1937Cells;细胞背景资料:这株细胞1995年10月13日Zui初来源于原发性导管癌, 用了11.5个月建株。肿瘤分类为TNM IIB期, 3级。BRCA1分析表明这株细胞是BRCA1 5382C突变纯合的, 而来源于同一病人的类淋巴母细胞细胞株在这个突变位点上是杂合的。 另两个家庭成员也有这个突变; 一个同卵双生姐妹也患有乳腺癌。这株细胞有一个后天的TP53突变, 而其野生型等位基因丢失; 一个PTEN基因的后天的纯合缺失, 以及多个与乳腺癌发病机理相关的位点上发生的杂合突变。这株细胞Her2-neu和p53表达都呈阴性。;细胞传代方法:1:2传代;4-5天传代一次。;细胞生长特性:贴壁生长;细胞形态特性:上皮样;多角形;相关细胞有:RBMECCells、OE21Cells、MDAMB330细胞
SUM159Cells;细胞背景资料:乳腺癌;女性;细胞传代方法:1:2-1:3传代;每周换液2-3次。;细胞生长特性:贴壁;细胞形态特性:详见细胞说明书;相关细胞有:DH-82Cells、GM02132CCells、SK-RC 42细胞
CP-70Cells;细胞背景资料:卵巢癌;女性;细胞传代方法:1:2-1:3传代;每周换液2-3次。;细胞生长特性:贴壁;细胞形态特性:详见细胞说明书;相关细胞有:MHCC97-HCells、SNU-5Cells、UMC-11细胞
LM-TK-Cells;细胞背景资料:详见相关文献介绍;细胞传代方法:1:2-1:3传代;每周换液2-3次。;细胞生长特性:贴壁或悬浮,详见细胞说明书部分;细胞形态特性:详见细胞说明书;相关细胞有:RPTCCells、ID8Cells、GC-2spd(ts)细胞
SF-126Cells;细胞背景资料:该细胞来源于星形胶质细胞瘤;胶质纤维酸性蛋白(GFAP)阴性;可以特异地结合β-内啡肽。;细胞传代方法:1:3传代;3-4天1次。;细胞生长特性:贴壁生长;细胞形态特性:成纤维Cells;相关细胞有:HGSMCCells、OCIAML2Cells、Lu-99A细胞
SKHEP1Cells;细胞背景资料:SK-HEP-1细胞系已被鉴定为内皮来源。该细胞系为异倍体女性人(XX),染色体在亚三倍体范围内。在裸鼠中,它能形成与肝癌相一致的大细胞癌;细胞传代方法:1:3传代,2-3天换液一次;细胞生长特性:贴壁生长;细胞形态特性:上皮样;相关细胞有:Rat 1Cells、Human Liver-7702Cells、KHYG1细胞
MRC-5Cells;细胞背景资料:MRC-5细胞系来自14周龄男性胎儿的正常肺组织,该细胞老化前能传代42~46个倍增时间。;细胞传代方法:1:2-1:5传代;每周1-2次。;细胞生长特性:贴壁生长;细胞形态特性:成纤维细胞样;相关细胞有:Huh7.5Cells、SW 780Cells、ST2细胞
PC-9S1Cells;细胞背景资料:详见相关文献介绍;细胞传代方法:1:2传代;细胞生长特性:贴壁生长;细胞形态特性:上皮样;相关细胞有:TK 10Cells、MDA-MB436Cells、RMG-I细胞
NCIH1651Cells;细胞背景资料:详见相关文献介绍;细胞传代方法:1:3-1:8传代,每周换液2次;细胞生长特性:贴壁生长;细胞形态特性:上皮Cells;相关细胞有:KG-1Cells、HuT 78Cells、NCIH1792细胞
GM12878Cells;细胞背景资料:B淋巴Cells;EBV转化;女性;细胞传代方法:1:2-1:3传代;每周换液2-3次。;细胞生长特性:悬浮;细胞形态特性:详见细胞说明书;相关细胞有:KM-12Cells、COR-L26Cells、HDLM2细胞
CORL105Cells;细胞背景资料:详见相关文献介绍;细胞传代方法:1:2-1:3传代;每周换液2-3次。;细胞生长特性:贴壁或悬浮,详见细胞说明书部分;细胞形态特性:详见细胞说明书;相关细胞有:HT-29Cells、Ontario Cancer Institute-Acute Myeloid Leukemia-3Cells、MDA-MB 361细胞
NCI-H2405Cells;细胞背景资料:详见相关文献介绍;细胞传代方法:1:5-1:8传代;细胞生长特性:混合生长;细胞形态特性:详见细胞说明书;相关细胞有:MDA-MB-134VICells、OV3121Cells、MHHCALL2细胞
H1568Cells;细胞背景资料:详见相关文献介绍;细胞传代方法:1:3-1:6传代;每周换液2-3次。;细胞生长特性:贴壁或悬浮,详见细胞说明书部分;细胞形态特性:详见细胞说明书;相关细胞有:MSTO-211Cells、NCIH1694Cells、H-676细胞
HITCells;细胞背景资料:胰岛βCells;SV40转化;细胞传代方法:1:2-1:3传代;每周换液2-3次。;细胞生长特性:贴壁;细胞形态特性:详见细胞说明书;相关细胞有:SUM-52Cells、PLA801CCells、MEL-526细胞
NL20Cells;细胞背景资料:支气管上皮Cells;SV40转化;女性;细胞传代方法:1:2-1:3传代;每周换液2-3次。;细胞生长特性:贴壁;细胞形态特性:详见细胞说明书;相关细胞有:RIN m5FCells、MLFCCells、LTEP-sm 1细胞
P-388Cells;细胞背景资料:详见相关文献介绍;细胞传代方法:1:2传代;细胞生长特性:贴壁生长;细胞形态特性:详见细胞说明书;相关细胞有:ACC-3Cells、SKNBE2Cells、HLF细胞
Ramos (RA 1)Cells;细胞背景资料:详见相关文献介绍;细胞传代方法:1:2-1:3传代;每周换液2-3次。;细胞生长特性:贴壁或悬浮,详见细胞说明书部分;细胞形态特性:详见细胞说明书;相关细胞有:hESCCells、K7M2 wtCells、SW-1990细胞
NBL-4Cells;细胞背景资料:详见相关文献介绍;细胞传代方法:1:2-1:3传代;每周换液2-3次。;细胞生长特性:贴壁或悬浮,详见细胞说明书部分;细胞形态特性:详见细胞说明书;相关细胞有:UMRC-2Cells、SimpsonCells、NCI-H498细胞
Vero 76Cells;细胞背景资料:详见相关文献介绍;细胞传代方法:1:2-1:3传代;每周换液2-3次。;细胞生长特性:贴壁或悬浮,详见细胞说明书部分;细胞形态特性:详见细胞说明书;相关细胞有:SK-N-BE(1)Cells、HMCells、PG-4 S+L-细胞
Colon 38Cells;细胞背景资料:详见相关文献介绍;细胞传代方法:1:2传代;细胞生长特性:贴壁生长;细胞形态特性:上皮细胞样;相关细胞有:SKMEL-31Cells、Ls-174-TCells、SkMel31细胞
A375-MELCells;细胞背景资料:A375源自一位54岁女性,是Giard DJ等人建立的一系列细胞株中的一株。该细胞可在免疫抑制小鼠上成瘤,在琼脂上形成克隆。;细胞传代方法:1:2-1:3传代;每周换液2-3次。;细胞生长特性:贴壁;细胞形态特性:上皮细胞样;相关细胞有:Hs 746.TCells、SKLU-1Cells、Porcine Kidney-15细胞
HMCCells;细胞背景资料:详见相关文献介绍;细胞传代方法:1:2传代;细胞生长特性:贴壁生长;细胞形态特性:详见细胞说明书;相关细胞有:CEM-CCRF (CAMR)Cells、624 MELCells、GM2132细胞
HCC2218Cells;细胞背景资料:详见相关文献介绍;细胞传代方法:每周换液2—3次;细胞生长特性:悬浮生长;细胞形态特性:上皮样;相关细胞有:Hs 819.TCells、rHSC-99Cells、HCC-78细胞
Moorfields/Institute of Ophthalmology-Muller 1Cells;细胞背景资料:视网膜MullerCells;自发永生;女性;细胞传代方法:1:2-1:3传代;每周换液2-3次。;细胞生长特性:贴壁;细胞形态特性:详见细胞说明书;相关细胞有:PC 12Cells、NCI-H810Cells、Hs 578.T细胞
H2405Cells;细胞背景资料:详见相关文献介绍;细胞传代方法:1:5-1:8传代;细胞生长特性:混合生长;细胞形态特性:详见细胞说明书;相关细胞有:BALL-1Cells、C3H/10T1/2 CL8Cells、P3 NS1 Ag4细胞
P31-FUJCells;细胞背景资料:详见相关文献介绍;细胞传代方法:1:5传代;细胞生长特性:悬浮生长;细胞形态特性:淋巴母Cells;相关细胞有:801-DCells、HCT 15Cells、SL-29细胞
BHK-21Cells;细胞背景资料:详见相关文献介绍;细胞传代方法:1:2传代,每周换液1-2次。;细胞生长特性:贴壁生长;细胞形态特性:成纤维细胞样;相关细胞有:QGP 1Cells、U266-B1Cells、SUM-190细胞
CCD19LuCells;细胞背景资料:肺成纤维Cells;女性;细胞传代方法:1:2-1:3传代;每周换液2-3次。;细胞生长特性:贴壁;细胞形态特性:详见细胞说明书;相关细胞有:Kasumi-1Cells、McA-RH7777Cells、Kit-225细胞
OC 316Cells;细胞背景资料:详见相关文献介绍;细胞传代方法:1:2-1:3传代;每周换液2-3次。;细胞生长特性:贴壁或悬浮,详见细胞说明书部分;细胞形态特性:详见细胞说明书;相关细胞有:SF-539 BTCells、Nittby-Salford 1Cells、MNNG-HOS (Cl#5)细胞
NCIH820Cells;细胞背景资料:乳头状肺腺癌;淋巴结转移;男性;细胞传代方法:1:2-1:3传代;每周换液2-3次。;细胞生长特性:贴壁;细胞形态特性:详见细胞说明书;相关细胞有:HBECells、SNU-668Cells、SKBr3细胞
ML-2Cells;细胞背景资料:急性髓单核细胞白血病;男性;细胞传代方法:1:2-1:3传代;每周换液2-3次。;细胞生长特性:悬浮;细胞形态特性:详见细胞说明书;相关细胞有:CAMACells、H2452Cells、NCIH508细胞
Baby Hamster Kidney-21Cells;细胞背景资料:详见相关文献介绍;细胞传代方法:1:2传代,每周换液1-2次。;细胞生长特性:贴壁生长;细胞形态特性:成纤维细胞样;相关细胞有:UMC-11Cells、SW527Cells、HCC4006细胞
C4 ICells;细胞背景资料:宫颈鳞癌;女性;细胞传代方法:1:2-1:3传代;每周换液2-3次。;细胞生长特性:贴壁;细胞形态特性:详见细胞说明书;相关细胞有:Alexander cellsCells、CWR-22rv1Cells、CC-LP-I细胞
GES-1Cells;细胞背景资料:详见相关文献介绍;细胞传代方法:1:2传代;细胞生长特性:贴壁生长;细胞形态特性:详见细胞说明书;相关细胞有:HCETCells、PC-14Cells、GI-1细胞
TPC-1Cells;细胞背景资料:甲状腺乳头状癌;女性;细胞传代方法:1:2-1:3传代;每周换液2-3次。;细胞生长特性:贴壁;细胞形态特性:详见细胞说明书;相关细胞有:OUMS23Cells、D407 RPECells、RTE细胞
U-343-MGCells;细胞背景资料:详见相关文献介绍;细胞传代方法:1:2传代;细胞生长特性:贴壁生长 ;细胞形态特性:详见细胞说明书;相关细胞有:OUMS-27Cells、CMT 93Cells、H1568细胞
HLEB-3Cells;细胞背景资料:晶状体;Ad12-SV40转化;男性;细胞传代方法:1:2-1:3传代;每周换液2-3次。;细胞生长特性:贴壁;细胞形态特性:详见细胞说明书;相关细胞有:MM1Cells、Ramos-2G6-4C10Cells、U266B1细胞
HT-55Cells;细胞背景资料:详见相关文献介绍;细胞传代方法:1:2-1:3传代;每周换液2-3次。;细胞生长特性:贴壁生长;细胞形态特性:上皮样;相关细胞有:BT-474Cells、NS1/1-Ag4.1Cells、HLEB-3细胞
WM 115Cells;细胞背景资料:黑色素瘤;女性;细胞传代方法:1:2-1:3传代;每周换液2-3次。;细胞生长特性:贴壁;细胞形态特性:详见细胞说明书;相关细胞有:FU-OV-1Cells、N-2aCells、BT325细胞
Eph4 1424Cells;细胞背景资料:乳腺癌;细胞传代方法:1:2-1:3传代;每周换液2-3次。;细胞生长特性:贴壁;细胞形态特性:详见细胞说明书;相关细胞有:HDMECCells、RBMVECCells、LC-2-Ad细胞
UPCI-SCC-090 Epithelial Cell|人口腔鳞癌传代细胞(有STR鉴定)
HEK-293-HCells;细胞背景资料:详见相关文献介绍;细胞传代方法:1:2-1:3传代;每周换液2-3次。;细胞生长特性:贴壁或悬浮,详见细胞说明书部分;细胞形态特性:详见细胞说明书;相关细胞有:LK-2Cells、RehCells、SHG 44细胞
MCF-7/AdrRCells;细胞背景资料:详见相关文献介绍;细胞传代方法:1:2-1:3传代;每周换液2-3次。;细胞生长特性:贴壁或悬浮,详见细胞说明书部分;细胞形态特性:详见细胞说明书;相关细胞有:RPMI no 8226Cells、NCIH28Cells、HBE135-E6E7细胞
H196Cells;细胞背景资料:详见相关文献介绍;细胞传代方法:1:4-1:6传代;每周换液2-3次。;细胞生长特性:贴壁生长;细胞形态特性:详见细胞说明书;相关细胞有:WM-2664Cells、HcaFCells、GM01232细胞
251MGCells;细胞背景资料:U-251 MG分离至一位患者的胶质母细胞瘤组织。;细胞传代方法:1:2-1:3传代;每周换液2-3次。;细胞生长特性:贴壁;细胞形态特性:成纤维细胞样;相关细胞有:Hs-578TCells、IMCD-3Cells、HN 4细胞
NCIH1437Cells;细胞背景资料:详见相关文献介绍;细胞传代方法:1:2-1:6传代,每周换液2次。;细胞生长特性:贴壁生长;细胞形态特性:上皮样;相关细胞有:H1385Cells、Madison lungCells、PL11细胞
AN3-CACells;细胞背景资料:AN3CA细胞建系于1964年。它衍生于子宫内膜癌患者淋巴结转移组织,具有癌细胞的基本特性,能在体外长期传代培养,接种实验动物产生明显肿瘤。但细胞的生物学特性及超微结构尚未深入研究,仅发现该细胞系促黑激素合成为阴性。细胞常用于人子宫内膜癌细胞生物学及其相关特性研究。;细胞传代方法:1:2传代;细胞生长特性:贴壁生长;细胞形态特性:上皮样;相关细胞有:UCLA-SO-M20Cells、DH 82Cells、HMC细胞
J774 A1Cells;细胞背景资料:详见相关文献介绍;细胞传代方法:1:2-1:3传代;每周换液2-3次。;细胞生长特性:贴壁或悬浮,详见细胞说明书部分;细胞形态特性:详见细胞说明书;相关细胞有:Hs 895.TCells、NK-92MICells、SK-N-MC细胞
NCI-H295Cells;细胞背景资料:详见相关文献介绍;细胞传代方法:1:2-1:3传代;每周换液2-3次。;细胞生长特性:贴壁或悬浮,详见细胞说明书部分;细胞形态特性:详见细胞说明书;相关细胞有:NCIH2141Cells、H1395Cells、C-28I2细胞
KM12 SMCells;细胞背景资料:结肠癌;细胞传代方法:1:2-1:3传代;每周换液2-3次。;细胞生长特性:贴壁;细胞形态特性:详见细胞说明书;相关细胞有:DC 2.4Cells、AAV-293Cells、OCIAML2细胞
"