基本信息 产品详情 公司简介 推荐产品
网站主页 化工产品目录 生物 细胞培养 细胞系 小鼠细胞系 3LL FRESH CELLS|小鼠肺癌细胞(送STR基因图谱) 3LL Fresh Cells|小鼠肺癌细胞(送STR基因图谱)
  • 3LL Fresh Cells|小鼠肺癌细胞(送STR基因图谱)

3LL Fresh Cells|小鼠肺癌细胞(送STR基因图谱)

3LL Fresh Cells
询价 1000000细胞数 起订
上海 更新日期:2026-04-24

上海冠导生物工程有限公司

VIP6年
联系人:全经理
电话:18818239863拨打
邮箱:3171921642@qq.com

产品详情:

中文名称:
3LL Fresh Cells|小鼠肺癌细胞(送STR基因图谱)
英文名称:
3LL Fresh Cells
保存条件:
常温培养或液氮冻存
纯度规格:
3LL Fresh Cells|小鼠肺癌细胞(送STR基因图谱)
产品类别:
化学试剂

"3LL Fresh Cells|小鼠肺癌细胞(送STR基因图谱)

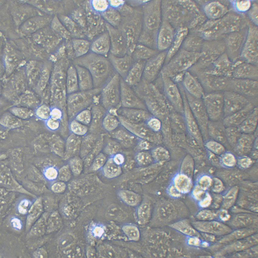
细胞形态:上皮细胞样

细胞传代后放入培养箱没有摇匀,或者放入时摇匀,但在细胞贴壁前,又移动了培养瓶,频繁开关培养箱引起的振动或者培养瓶中培养液过少,培养箱搁板表面不平整,这些因素会导致细胞生长不均匀。研究人员在细胞培养时出现存活率不佳,常见原因可归纳为:培养基使用错误或培养基品质不佳。血清使用错误或血清的品质不佳。运输过程对细胞有严重影响。解冻过程错误。冷冻细胞解冻后,加以洗涤细胞和离心。悬浮细胞误认为死细胞。培养温度使用错误。细胞置于–80°C 太久。一些悬浮细胞抱团生长是正常现象,大部分悬浮细胞在细胞密度很GAO的情况下,很可能会出现部分细胞抱团生长的现象,聚团细胞很容易死亡并演化成絮状物,殃及周围的悬浮细胞,因此在培养悬浮细胞时需控制HAO细胞密度。如果出现了细胞团,可以通过细胞筛去掉部分较大的细胞团,也可以尝试一下方法:将细胞悬液收集到15ml离心管中,静置20min左右,小心取上层细胞上清培养(该方法只能去除部分较大的细胞团)。部分细胞本身存在一定的空泡(如HepG2,Ishikawa及一些耐药株等),这个是正常现象。如果只有少数细胞有内出现极少空泡,则很可能是细胞状态不佳,可以通过调整血清浓度,控制消化,控制传代比例及时间等方法来调整细胞状态;如果大部分细胞出现空泡,且单个细胞内空泡数目偏多,则可能细胞代次较GAO,细胞老化所致,需更换代次较早的细胞。

细胞生长:贴壁

细胞物种来源:人源或鼠源等其它物种来源

LICR-LON-HN6细胞类似产品::NW-38细胞、HOP-62细胞、H2023细胞

Highly Aggressively Proliferating Immortalized细胞类似产品::THP 1细胞、IGR-OV1细胞、BHK-21细胞

PLA801-95C细胞类似产品::NCI-HUT-292细胞、SK Mel 1细胞、H841细胞

[细胞产品包装]鲜活细胞:T25培养瓶(一瓶)或冻存细胞:1ml冻存管(两支)

3LL Fresh Cells|小鼠肺癌细胞(送STR基因图谱)

细胞背景资料:详见相关文献介绍

细胞培养相关问题总结:冷冻管应如何解冻?取出冷冻管后,须立即放入37°C水槽中快速解冻,轻摇冷冻管使其在1分钟内全部融化,并注意水面不可超过冷冻管盖沿,否则易发生污染情形。另冷冻管由液氮桶中取出解冻时,必须注意安全,预防冷冻管之爆裂;细胞冷冻管解冻培养时,是否应马上去除DMSO?除少数别注明对DMSO敏感之细胞外,绝大部分细胞株(包括悬浮性细胞),在解冻之后,应直接放入含有10-15ml新鲜培养基之培养角瓶中,待隔天再置换新鲜培养基以去除DMSO 即可,如此可避免大部分解冻后细胞无法生长或贴附之问题;可否使用与原先培养条件不同之培养基?不能。每一细胞株均有其定使用且已适应之细胞培养基,若骤然使用和原先提供之培养条件不同之培养基,细胞大都无法立即适应,造成细胞无法存活;可否使用与原先培养条件不同之血清种类?不能。血清是细胞培养上一个极为重要的营养来源,所以血清的种类和品质对于细胞的生长会产生极大的影响。来自不同物种的血清,在一些物质或分子的量或内容物上都有所不同,血清使用错误常会造成细胞无法存活;培养细胞时应使用5%或10%CO2?或根本没有影响?一般培养基中大都使用HCO3-/CO32-/H+作为pH的缓冲系统,而培养基中NaHCO3的含量将决定细胞培养时应使用的CO2浓度。当培养基中NaHCO3含量为每公升3.7g时,细胞培养时应使用10%CO2;当培养基中NaHCO3为每公升1.5g时,则应使用5%CO2培养细胞。何时须更换培养基?视细胞生长密度而定,或遵照细胞株基本数据上之更换时间,按时更换培养基即可。培养基中是否须添加抗生素?除于殊筛选系统中外,一般正常培养状态下,培养基中不应添加任何抗生素。

细胞传代方法:1:2传代

CORL23细胞类似产品::DoTc2细胞、Madin Darby Bovine Kidney细胞、RF/6A细胞

SW 1783细胞类似产品::BEL7404细胞、P-388细胞、LTPA细胞

SW 1783细胞类似产品::BEL7404细胞、P-388细胞、LTPA细胞

HPAF/CD18细胞类似产品::MUS-M1细胞、PANC 813细胞、BSC-40细胞

SKMEL1细胞类似产品::HL-60 Clone 15细胞、HCC1954BL细胞、CHO-Lec1细胞

细胞来源说明:来源于RCB、ATCC、KCLB、DSMZ、ECACC、INCell、ScienCell、ECACC、JCRB、Asterand、ICLC等知名细胞库

3LL Fresh Cells|小鼠肺癌细胞(送STR基因图谱)

细胞生长特性:贴壁生长

培养细胞的冻存及复苏:细胞低温冻存是培养室常规工作和通用技术。细胞冻存在-196℃液氮中,储存时间几乎是无限的。细胞冻存及复苏的原则是慢冻快融。【冻存细胞】1)选对数增生期细胞(证明无支原体污染),在冻存前1d换液;2)按常规方法把培养细胞制备成悬液,计数,使细胞密度达5×10/ml左右密度,离心,去上清;3)加入配制HAO的冻存液(培养液6.8ml,小牛血清2ml,DMSO 1ml,5.6%NaHCO3 0.1ml),按与去上清相同的量一滴一滴加入离心管中,然后用吸管轻轻吹打令细胞重悬。冻存细胞时培养液中加入保护剂10%二甲基亚砜(DMSO)或甘油,可使冰点降低,使细胞内水分在冻结前透出细胞外;4)分装于无菌冻存管中,每管加1.5m悬液;5)旋HAO冻存管并仔细检查,一定要盖紧,做HAO标记;6)冻存:在殊的仪器或简易的液氮容器中,按-1℃/min的速度,在30~40min时间内,下降到液氮表面,再停30min后,直接投入液氮中。要适当掌握下降冷冻速度,过快能影响细胞内水分透出,太慢则促进冰晶形成。操作时应戴防护眼镜和手套,以免液氮冻伤。【复苏细胞】1)从罐中取出冻存管;2)迅速放入36℃~37℃水浴,不时摇动,使其急速融化,30~60s内完成;3)冻存管用70%酒精擦拭消毒后,打开盖子,用吸管将细胞悬液注入离心管中,再滴加10ml培养液;4)低速离心(500~1000r/min) 5min,去上清后再用培养液洗一次;5)用培养液适当稀释后,装入培养瓶37℃培养,次日更换一次培养液后,继续培养。以后仍按常规进行培养。冻存细胞数量要充分,密度应达到10/ml,在融后稀释20倍时,仍能保持5×10/ml数量。

COC1/CDDP细胞类似产品::UCLA RO-81A-1细胞、IFRS1细胞、DHL-6细胞

Alexander cells细胞类似产品::HEK 293 c18细胞、M2-10B4细胞、CAL 85-1细胞

MRC 5细胞类似产品::BE2-C细胞、PE CA PJ34细胞、RC-4B细胞

NPC-TW 01细胞类似产品::SK-OV-3细胞、V79-4细胞、BLO11细胞

Molm14细胞类似产品::CAL78细胞、HCE-2 [50.B1]细胞、HS 445T细胞

A375-S2细胞类似产品::Roswell Park Memorial Institute 7666细胞、SU-DHL-16细胞、C8166细胞

有一些细胞是数量多一点比较HAO生长,生长状态也比较HAO。这种一般是属于生长速度慢的细胞。譬如内皮细胞。而有一些是细胞是数量少一点细胞状态会生长的比较HAO,譬如巨噬细胞和某些肿瘤细胞。尤其是巨噬细胞,生长速度非常得快,贴壁速度很快,所以传代时就应该留很少量的细胞,这样细胞状态会比较HAO。并且巨噬细胞比较喜欢扎堆生长,而堆与堆之间是有空间的。如果长成相连在一起的一满片的时候,细胞形态基本上就会差了,老化的会比较多,对后期实验结果是不HAO的。所以在养细胞的时候应该摸索该细胞喜欢的生长空间密度问题。这个其实是有一个方法可以改善的。对于贴壁细胞,如果细胞形态不HAO,(或者细胞形态不清晰,表面似有异物等)可以在传代的时候进行如下操作:首先,倒掉旧的培养基,加入3ml新的培养基(有无血清的都可)洗涤一次,用滴管吸走,然后再加入3ml的培养基,进行预吹打,控制吹打力度,轻轻地大概沿着瓶底过一遍,然后吸走。这时侯再开始正式的消化、吹打。(巨噬细胞建议只吹打,不消化)其次,把吹打下来的细胞悬液加入到新的培养瓶内,培养瓶事先加入培养基,放入培养箱内培养,按时间点观察细胞贴壁情况。10分钟观察一次,20分钟,30分钟观察一次。选择一个时间点,已经有部分细胞贴壁的情况下,重新置于洁净台,底面朝上迅速倒出其中的培养基,加入3ml新培养基再轻轻洗一次。然后加入完全培养基培养。后续观察细胞生长情况以及形态。通常称之为“二传”。如果一次效果还不理想,可重复多次。直到找到细胞上乘形态。其中要注意,结合细胞喜欢的生长情况。喜欢多一点数量长得HAO的细胞你就等贴壁细胞比较多点的时候再传。反之亦然。

Vero 76 clone E-6细胞类似产品::SK HEP 01细胞、JEKO细胞、SKNSH细胞

SW13细胞类似产品::NCIH1436细胞、WERI-Rb1细胞、hTERT-HME-1细胞

HBZY1细胞类似产品::VeroE6细胞、Mac-1细胞、LS 174T细胞

D324 Med细胞类似产品::HFL细胞、FHCRC-11细胞、PANC0504细胞

3LL Fresh Cells|小鼠肺癌细胞(送STR基因图谱)

EMT6细胞类似产品::NT-2细胞、OVCAR 4细胞、P3-X63-Ag 8.653细胞

NCI-SNU-475细胞类似产品::PANC-02-03细胞、Madison细胞、BHP-10细胞

H146细胞类似产品::NCTC 3960细胞、CWR22-Rv1细胞、HFLS-OA细胞

Human Embryo Kidney-2细胞类似产品::U-251-MG细胞、JROECL 21细胞、C-26细胞

L-02细胞类似产品::H4IIE细胞、H-2330细胞、ECC 12细胞

PLC8024细胞类似产品::LS-174T细胞、KYSE30细胞、Panc3_27细胞

H-740细胞类似产品::UACC 812细胞、H-1436细胞、HNE-2细胞

WC00097细胞类似产品::HCC0202细胞、MFE-296细胞、SEM细胞

C3H/10T1/2 CL8细胞类似产品::MT4细胞、NUGC3细胞、MCF.10A细胞

HCT-116细胞类似产品::TGW-I-nu细胞、HS 1.Tes细胞、HCET细胞

H1105细胞类似产品::CHP 126细胞、SW579细胞、D-324MED细胞

293-FT细胞类似产品::P3-NS1/1Ag 4.1细胞、H-2066细胞、LADMAC细胞

HB611细胞类似产品::HTR8/SVneo细胞、Human Kidney-2细胞、HCFB(HCF)细胞

OCI-AML4Cells;细胞背景资料:急性髓系白血病;女性;细胞传代方法:1:2-1:3传代;每周换液2-3次。;细胞生长特性:悬浮;细胞形态特性:详见细胞说明书;相关细胞有:HCC-94Cells、F36PCells、Colo320细胞

DanGCells;细胞背景资料:胰腺癌;女性;细胞传代方法:1:2-1:3传代;每周换液2-3次。;细胞生长特性:贴壁;细胞形态特性:详见细胞说明书;相关细胞有:207Cells、TGWCells、T2(174 x CEM.T2)细胞

MUVECCells;细胞背景资料:脐静脉;内皮Cells;细胞传代方法:1:2-1:3传代;每周换液2-3次。;细胞生长特性:贴壁;细胞形态特性:详见细胞说明书;相关细胞有:SCC-25Cells、MOLT-3Cells、SNB19细胞

Caco-2/BBeCells;细胞背景资料:详见相关文献介绍;细胞传代方法:1:6—1:10传代,每周换液2次;细胞生长特性:贴壁生长;细胞形态特性:上皮Cells;相关细胞有:TB-1 LuCells、NB4Cells、TE 671细胞

L cells (TK-)Cells;细胞背景资料:详见相关文献介绍;细胞传代方法:1:2-1:3传代;每周换液2-3次。;细胞生长特性:贴壁或悬浮,详见细胞说明书部分;细胞形态特性:详见细胞说明书;相关细胞有:Karpas 422Cells、H1882Cells、OV-CA 432细胞

HSAEC1-KTCells;细胞背景资料:肺;HGNC-TERT转化;男性;细胞传代方法:1:2-1:3传代;每周换液2-3次。;细胞生长特性:贴壁;细胞形态特性:详见细胞说明书;相关细胞有:SW-403Cells、Duke University 4475Cells、H-1623细胞

BrCL18Cells;细胞背景资料:详见相关文献介绍;细胞传代方法:1:2-1:3传代;每周换液2-3次。;细胞生长特性:贴壁或悬浮,详见细胞说明书部分;细胞形态特性:详见细胞说明书;相关细胞有:MUTZ3Cells、SKMEL-2Cells、VK-2/E6E7细胞

JB-6 Cl 30Cells;细胞背景资料:详见相关文献介绍;细胞传代方法:1:2传代;细胞生长特性:贴壁生长;细胞形态特性:上皮样;相关细胞有:U-343 MGCells、EC-109Cells、V79细胞

JB6 [Mouse]Cells;细胞背景资料:表皮;自发永生;BALB/c;细胞传代方法:1:2-1:3传代;每周换液2-3次。;细胞生长特性:贴壁;细胞形态特性:详见细胞说明书;相关细胞有:NRK49FCells、CL1-5Cells、ST-2细胞

HIECCells;细胞背景资料:肠;上皮Cells;细胞传代方法:1:2-1:3传代;每周换液2-3次。;细胞生长特性:贴壁;细胞形态特性:详见细胞说明书;相关细胞有:Hs 600.TCells、DoHH-2Cells、CCRF.CEM细胞

SUM 52PECells;细胞背景资料:乳腺癌;胸腔积液转移;女性;细胞传代方法:1:2-1:3传代;每周换液2-3次。;细胞生长特性:贴壁;细胞形态特性:详见细胞说明书;相关细胞有:OKa-C-1Cells、HT 1376Cells、NCI-H2198细胞

SK-BR-3Cells;细胞背景资料:这株细胞源自胸水。没有病毒颗粒。亚显微结构特征包括微丝和桥粒,肝糖原颗粒,大溶酶体,成束的细胞质纤丝。SK-BR-3细胞株过表达HER2/c-erb-2基因产物。;细胞传代方法:消化3-5分钟,1:2,3天内可长满;细胞生长特性:贴壁生长;细胞形态特性:上皮样;相关细胞有:KMS11Cells、CAMA-1Cells、OVCAR 432细胞

GM 637Cells;细胞背景资料:详见相关文献介绍;细胞传代方法:1:2-1:3传代;每周换液2-3次。;细胞生长特性:贴壁或悬浮,详见细胞说明书部分;细胞形态特性:详见细胞说明书;相关细胞有:TALL 1Cells、MV-1-LuCells、HCT15细胞

NCI-H1869Cells;细胞背景资料:详见相关文献介绍;细胞传代方法:1:3-1:4传代;每周换液2次。;细胞生长特性:贴壁生长;细胞形态特性:上皮Cells;相关细胞有:LS-1034Cells、ssMCF7Cells、TGHAVSMC细胞

SNU368Cells;细胞背景资料:详见相关文献介绍;细胞传代方法:1:2传代;细胞生长特性:贴壁生长;细胞形态特性:上皮细胞样;相关细胞有:NB-4Cells、GM02219Cells、Detroit562细胞

HBZY-1Cells;细胞背景资料:详见相关文献介绍;细胞传代方法:1:2传代;细胞生长特性:贴壁生长;细胞形态特性:上皮细胞样;相关细胞有:OCI-AML-3Cells、HSC1Cells、P-388细胞

OCI-Ly 8Cells;细胞背景资料:弥漫大B淋巴瘤;细胞传代方法:1:2-1:3传代;每周换液2-3次。;细胞生长特性:悬浮;细胞形态特性:详见细胞说明书;相关细胞有:K562/ADPCells、MOLT3Cells、MDA-MB-436细胞

KHYG1Cells;细胞背景资料:NK细胞淋巴瘤/白血病;女性;细胞传代方法:1:2-1:3传代;每周换液2-3次。;细胞生长特性:悬浮;细胞形态特性:详见细胞说明书;相关细胞有:no-11Cells、Michigan Cancer Foundation-12ACells、P30OHK细胞

H1437Cells;细胞背景资料:详见相关文献介绍;细胞传代方法:1:2-1:6传代,每周换液2次。;细胞生长特性:贴壁生长;细胞形态特性:上皮样;相关细胞有:C918Cells、THP1Cells、HGC27细胞

624 MELCells;细胞背景资料:黑色素瘤;男性;细胞传代方法:1:2-1:3传代;每周换液2-3次。;细胞生长特性:贴壁;细胞形态特性:详见细胞说明书;相关细胞有:SNUC1Cells、CCD-841CoNCells、COLO-684细胞

K299Cells;细胞背景资料:间变性大细胞淋巴瘤;男性;细胞传代方法:1:2-1:3传代;每周换液2-3次。;细胞生长特性:悬浮;细胞形态特性:详见细胞说明书;相关细胞有:CL34Cells、H-2347Cells、NK-92细胞

UM2Cells;细胞背景资料:详见相关文献介绍;细胞传代方法:1:2-1:3传代;每周换液2-3次。;细胞生长特性:贴壁或悬浮,详见细胞说明书部分;细胞形态特性:详见细胞说明书;相关细胞有:Pt K1 (NBL-3)Cells、MDA-MB-435SCells、Molm 14细胞

HEK 293-FCells;细胞背景资料:详见相关文献介绍;细胞传代方法:1:2传代;细胞生长特性:贴壁生长;悬浮生长;细胞形态特性:上皮细胞样;相关细胞有:TR 146Cells、Chang liverCells、RPMI No. 1846细胞

PC-3MCells;细胞背景资料:详见相关文献介绍;细胞传代方法:1:2传代;细胞生长特性:贴壁生长 ;细胞形态特性:详见细胞说明书;相关细胞有:Murine Lung Epithelial-12Cells、NCIH128Cells、8226/S细胞

MFE 280Cells;细胞背景资料:详见相关文献介绍;细胞传代方法:1:2传代;细胞生长特性:贴壁生长;细胞形态特性:详见细胞说明书;相关细胞有:C57 Mouse Tumor 64Cells、SK ES 01Cells、HCC-1833细胞

AMJ2C8Cells;细胞背景资料:巨噬Cells;J2病毒转化;C57BL/6J;细胞传代方法:1:2-1:3传代;每周换液2-3次。;细胞生长特性:悬浮;细胞形态特性:详见细胞说明书;相关细胞有:Capan 2Cells、BE2CCells、X63-Ag 8.6.5.3细胞

SCC 9Cells;细胞背景资料:详见相关文献介绍;细胞传代方法:1:2传代;细胞生长特性:贴壁生长;细胞形态特性:上皮样;相关细胞有:MLE-12Cells、SK-MEL-24Cells、GM03671C细胞

RKO-AS45-1Cells;细胞背景资料:详见相关文献介绍;细胞传代方法:1:2-1:3传代;每周换液2-3次。;细胞生长特性:贴壁或悬浮,详见细胞说明书部分;细胞形态特性:详见细胞说明书;相关细胞有:HCC0827Cells、MDA-MB-468-REDCells、OCI Ly19细胞

HCMECCells;细胞背景资料:心脏微血管;内皮Cells;细胞传代方法:1:2-1:3传代;每周换液2-3次。;细胞生长特性:贴壁;细胞形态特性:详见细胞说明书;相关细胞有:C4-2BCells、LAD-2Cells、Hs706T细胞

P 815Cells;细胞背景资料:肥大细胞瘤;雄性;DBA/2;细胞传代方法:1:2-1:3传代;每周换液2-3次。;细胞生长特性:悬浮;细胞形态特性:详见细胞说明书;相关细胞有:SPCA1Cells、SNU354Cells、EU-3细胞

COLO394Cells;细胞背景资料:详见相关文献介绍;细胞传代方法:1:2-1:3传代;每周换液2-3次。;细胞生长特性:贴壁或悬浮,详见细胞说明书部分;细胞形态特性:详见细胞说明书;相关细胞有:373 MGCells、BE2-M17Cells、RGM1细胞

NR 8383Cells;细胞背景资料:NR8383(正常大鼠,1983年8月3日)来源于肺灌洗时的正常大鼠肺泡巨噬细胞。细胞在gerbil肺细胞连续培养液存在下培养了大约8-9个月。随后,不再需要外源生长因子。通过有限稀释法从单个细胞克隆并亚克隆NR8383细胞,并三次用软琼脂亚克隆。细胞表现出巨噬细胞的特性,吞噬酵母多糖和铜绿,非特异性脂酶活性,Fc受体,氧化降解;分泌IL-1,TNFbeta和IL-6,可重复地响应外源生长因子。NR8383细胞响应博莱霉素,分泌TGFbeta前体。在博莱霉素刺激下,TGFbe;细胞传代方法:1:2传代;细胞生长特性:半贴壁生长;细胞形态特性:巨噬Cells;相关细胞有:RH-30Cells、SF 539Cells、PLC8024细胞

HDLM-2Cells;细胞背景资料:霍奇金淋巴瘤;男性;细胞传代方法:1:2-1:3传代;每周换液2-3次。;细胞生长特性:悬浮;细胞形态特性:详见细胞说明书;相关细胞有:MHCC-97Cells、D407Cells、H2106细胞

B-16Cells;细胞背景资料:该细胞源于C57BL/6J小鼠黑色素瘤,可以产生黑色素,同基因小鼠体内移植可成瘤;细胞传代方法:1:3传代,2-3天换液一次;细胞生长特性:贴壁生长;细胞形态特性:梭形;相关细胞有:SU-86-86Cells、U-2 OSCells、H1975细胞

NCIH1417Cells;细胞背景资料:小细胞肺癌;女性;细胞传代方法:1:2-1:3传代;每周换液2-3次。;细胞生长特性:贴壁;细胞形态特性:详见细胞说明书;相关细胞有:SUP-T1Cells、E.L.4Cells、Panc 2.03细胞

HFLSCells;细胞背景资料:滑膜;成纤维Cells;细胞传代方法:1:2-1:3传代;每周换液2-3次。;细胞生长特性:贴壁;细胞形态特性:详见细胞说明书;相关细胞有:MPC11Cells、HCC-9204Cells、HEM细胞

IPLB-SF-21Cells;细胞背景资料:详见相关文献介绍;细胞传代方法:1:2-1:3传代;每周换液2-3次。;细胞生长特性:贴壁或悬浮,详见细胞说明书部分;细胞形态特性:详见细胞说明书;相关细胞有:Z-138Cells、COLO320 DMCells、786O细胞

HUV-EC-CCells;细胞背景资料:脐静脉;内皮Cells;细胞传代方法:1:2-1:3传代;每周换液2-3次。;细胞生长特性:贴壁;细胞形态特性:详见细胞说明书;相关细胞有:B16/F0Cells、H1184Cells、H2444细胞

HPC-Y5Cells;细胞背景资料:胰腺管癌;淋巴结转移;细胞传代方法:1:2-1:3传代;每周换液2-3次。;细胞生长特性:贴壁;细胞形态特性:详见细胞说明书;相关细胞有:GM02131ACells、H1694Cells、IEC 6细胞

HOS-TE85Cells;细胞背景资料:骨肉瘤;女性;细胞传代方法:1:2-1:3传代;每周换液2-3次。;细胞生长特性:贴壁;细胞形态特性:详见细胞说明书;相关细胞有:SkMel31Cells、MS1Cells、OCI/AML-4细胞

MDAMB231Cells;细胞背景资料:MDA-MB-231来自患有转移乳腺腺癌的51岁女病人的胸水。在裸鼠和ALS处理的BALB/c小鼠中,它能形成低分化腺癌(III级)。;细胞传代方法:消化3-5分钟,1:2,3天内可长满;细胞生长特性:贴壁生长;细胞形态特性:上皮样;相关细胞有:MUTZ-1Cells、PANC-08-13Cells、H128细胞

Stanford University Pediatric T-cell line 1细胞类似产品::SK-MES1细胞、P3.653细胞、Human Embryonic Skin细胞

GM05372细胞类似产品::J 774A.1细胞、HF-91细胞、FaDu细胞

WILL-2细胞类似产品::Baby Hamster Kidney from litter No. 21细胞、BMF细胞、NCIH2172细胞

HDF-a细胞类似产品::MDA-330细胞、HCC-38细胞、MILE SVEN 1细胞

BEL 7405细胞类似产品::NCI-H128细胞、D-341细胞、IOSE80UBC细胞

NCI-H157细胞类似产品::Tu 212细胞、SUD4细胞、CAL 12T细胞

L cell line细胞类似产品::IBMF-7细胞、Hs839T细胞、SUM102PT细胞

HRGEC细胞类似产品::OCI-LY-18细胞、HTR8svn细胞、RERF-LCMS细胞

MJ细胞类似产品::RN细胞、NCI-SNU-119细胞、Jurkat-FHCRC细胞

SP-2细胞类似产品::FBHE细胞、U-226AR1细胞、BNL 1ME A.7R.1细胞

3LL Fresh Cells|小鼠肺癌细胞(送STR基因图谱)

HCC1833细胞类似产品::HBL-100细胞、NGEC细胞、HUT-125细胞

COV504细胞类似产品::H341细胞、Rh30细胞、Hs 27细胞

Vertebral Cancer of the Prostate细胞类似产品::CT26.WT细胞、JTC-39细胞、MMVECs细胞

NK10a细胞类似产品::HuTu 80细胞、UMUC14细胞、SN12PM6细胞

CW-2细胞类似产品::NCIH2066细胞、C-4 I细胞、Rat Chondrosarcoma Swarm细胞

LA795细胞类似产品::Vero from pool #76细胞、HLF-a细胞、OVCAR-5细胞

293/EBNA细胞类似产品::LS-180细胞、Line 870 Emory University-4细胞、MC3T3, E1 subgroup-4 clone细胞

Leukemic 1210细胞类似产品::NCI-H2108细胞、H-1693细胞、Co320细胞

Hi-5细胞类似产品::HCC1438细胞、SNU-C2A细胞、As-PC1细胞

LN-382细胞类似产品::W256细胞、SVGp12细胞、U-266细胞

GA-10-Clone-4细胞类似产品::MGH-U3细胞、NCIH2135细胞、SKLMS-1细胞

NCI-H292细胞类似产品::FC33细胞、GM04671细胞、Eca-109细胞

NCl-H157细胞类似产品::BC-027细胞、HITT15细胞、MDA-134细胞

Scott细胞类似产品::GOS3细胞、SCC 4细胞、SW1116细胞

Vero细胞类似产品::H3255细胞、A-375SM细胞、32D.3细胞

SW 1116细胞类似产品::WM239A细胞、PF382细胞、MCF-12A细胞

8402细胞类似产品::VMCUB1细胞、BMDC细胞、WM 2664细胞

GA-10 (Clone 4)细胞类似产品::JM细胞、CEM细胞、KMY1022细胞

H-1650细胞类似产品::IPLB-SF 21细胞、DAKIKI Clone 1细胞、U 266细胞

PIEC细胞类似产品::SK-SH-SY5Y细胞、GC-1 spg细胞、WiDr-TC细胞

HCE细胞类似产品::HEC-1-A细胞、SMA560细胞、LUDLU-1细胞

"


3LL Fresh Cells|小鼠肺癌;

公司简介

上海冠导生物工程有限公司,先后从ATCC、DSMZ、ECACC、RIKEN、PromoCell、ScienCell、JCRB等国内外细胞库引进细胞2000余株。以此为契机,公司组建了冠导细胞库,我司细胞均由资深细胞培养工程师进行培养。我司可以提供的细胞有:①细胞系②原代细胞③稳转株④耐药株⑤标记细胞⑥细胞配套试剂等。

成立日期 (11年)
注册资本 100万(元)
员工人数 50-100人
年营业额 ¥ 1000万-5000万
经营模式 工厂,试剂,定制,服务
主营行业 细胞培养,微生物学,细胞生物学

内容声明
拨打电话 立即询价