基本信息 产品详情 公司简介 推荐产品
网站主页 TU212 CELLS:人喉癌细胞系 Tu 212 Cells(赠送Str鉴定报告)|人喉癌细胞
  • Tu 212 Cells(赠送Str鉴定报告)|人喉癌细胞

Tu 212 Cells(赠送Str鉴定报告)|人喉癌细胞

Tu 212 Cells
询价 1000000细胞数 起订
2000000细胞数 起订
上海 更新日期:2026-04-25

上海冠导生物工程有限公司

VIP6年
联系人:全经理
电话:18818239863拨打
邮箱:3171921642@qq.com

产品详情:

中文名称:
Tu 212 Cells(赠送Str鉴定报告)|人喉癌细胞
英文名称:
Tu 212 Cells
保存条件:
常温培养或液氮冻存
纯度规格:
Tu 212 Cells(赠送Str鉴定报告)|人喉癌细胞
产品类别:
生物试剂

"Tu 212 Cells(赠送Str鉴定报告)|人喉癌细胞

细胞背景资料:详见相关文献介绍

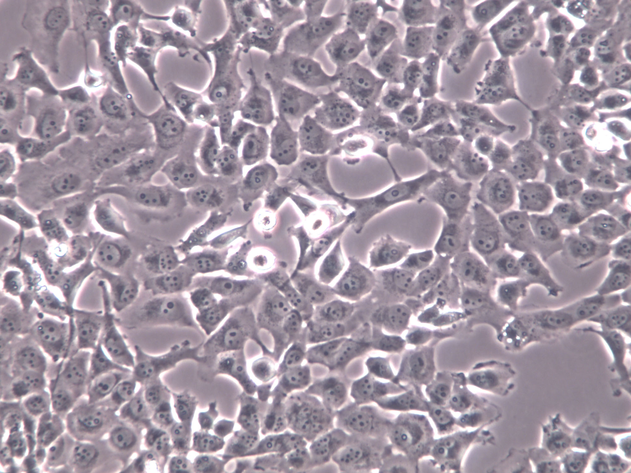
细胞形态:上皮细胞样

接收细胞相关问题:如不能在收到细胞后及时操作细胞,T25及离心管发货的细胞将可以消毒后在37度过夜,血清发货的细胞在室温下静置1-2天(注意不要放冰箱),干冰发货的可以在确认干冰未完全升华时将细胞直接放回液氮或者-80度冰箱,若干冰完全升华,请即刻复苏细胞。T25瓶及离心管在培养箱平衡是为了让细胞尽快适应培养箱环境,同时使部分因运输导致脱落的细胞贴壁,此步骤非常必要。T25瓶如果在显微镜下可以看到部分不贴壁的细胞,可以收集上清后离心(1200rpm,5min)后,将沉淀用新的培养基重悬后接种至新的培养瓶或皿中。部分细胞在运输过程中,由于不断震荡及环境不适,可能导致细胞破碎死亡,从而使培养基中漂浮很多细胞碎片及颗粒状物质。这种情况下,平衡后,贴壁细胞用PBS洗两遍再加新的培养基培养或者传代至新瓶中培养即可;悬浮细胞可以离心(1000rpm,3min)收集细胞,并用PBS重悬后再离心一次,再用新的培养基重悬并接种细胞。

细胞生长:贴壁

J774 A1细胞类似产品::Hs 895.T细胞、C-26细胞、OCIAML3细胞

Liver-02细胞类似产品::MC-4细胞、GM00637F细胞、Ca-Ski细胞

NCI-H1963细胞类似产品::IMR-90细胞、MSB1细胞、OsA-CL细胞

SW 626细胞类似产品::LC-1/sq细胞、HK-2 [Human kidney]细胞、159 PT细胞

UO.31细胞类似产品::MDA-MB-134 VI细胞、GB-1细胞、NBL-1细胞

Tu 212 Cells(赠送Str鉴定报告)|人喉癌细胞

细胞物种来源:人源或鼠源等其它物种来源

[细胞产品包装]鲜活细胞:T25培养瓶(一瓶)或冻存细胞:1ml冻存管(两支)

细胞培养更HAO经验详解:1)收到细胞,首先要镜检:观察细胞形态是否正常,对于贴壁细胞则要注意看贴壁情况是否很HAO,观察细胞密度,有疑议及时咨提供细胞的技术人员。 由于运输的时间或者温度的变化,很多贴壁细胞在盛满培养基的瓶子里生长的状态和平时会有点不一样,主要是贴壁牢固问题。比如293T,平时贴壁就不是很牢,在装满的培养基瓶子里面,会发生大片的脱落,细胞聚集在一起,但是细胞生长还是正常的,通过离心收集,加以胰酶的消化,重新打散,又可以正常的贴壁生长。2)当通过上一步的观察,细胞初步没有问题时,进行下一步操作。当收到的细胞密达到80%左右时,则处理如下:弃除瓶中大部分培养基,仅保留5到10mL培养所需的常规培养基;或更换新鲜的培养基,置于培养箱中,随后每天观察。 细胞在低于正常生长温度情况下,会调整为静止期,或者慢速生长期,恢复37度的环境至少3个小时左右,才能重新调整到接近对数生长期的状态,在对数生长期进行细胞的传代会大大增加传代的成功率,和细胞的存活率。3)如果经步观察发现细胞密度超过90%,并且细胞状态很HAO时,则复温后2个小时需要立即传代。传代的比例应依据不同的细胞而定。对于生长比较快,状态稳定,不易受外界影响的细胞可以一次多传几瓶;对于生长较慢,细胞比较薄,状态容易波动的细胞类型,一次少传些,每瓶细胞密度大些,便于稳定生长。至于一些比较陌生的细胞,次处理也可以依照第二种情况。

细胞传代方法:1:2传代

A375.S2细胞类似产品::DMS-153细胞、NH6细胞、NOZAWA细胞

JJN3细胞类似产品::DrG细胞、SK-RC 39细胞、MiaPaca.2细胞

BAC1.2F5细胞类似产品::LAD-2细胞、HBVP细胞、VB细胞

MC-4细胞类似产品::SUIT2细胞、PTK-2细胞、CAL-85-1细胞

OCI-Ly 1细胞类似产品::TE8细胞、RGCs细胞、A549 ATCC细胞

细胞来源说明:来源于RCB、ATCC、KCLB、DSMZ、ECACC、INCell、ScienCell、ECACC、JCRB、Asterand、ICLC等知名细胞库

Tu 212 Cells(赠送Str鉴定报告)|人喉癌细胞

细胞生长特性:贴壁生长 

MFC细胞类似产品::MC3T3-L1细胞、C-Li-7细胞、Stanford University-Diffuse Histiocytic Lymphoma-2细胞

Hs 611.T细胞类似产品::PE/CA-PJ34 (clone C12)细胞、P3/X63-Ag8细胞、HPAF/CD18细胞

SW-403细胞类似产品::TF-1a细胞、HSC5细胞、Lewis-Lung细胞

LIXC-002细胞类似产品::B4G12细胞、MRC9细胞、M059J细胞

GM04679细胞类似产品::HEK-2细胞、CO115细胞、SK-RC-42细胞

COLO 201细胞类似产品::Madin Darby Canine Kidney细胞、HuP-T3细胞、Bovine Turbinate细胞

为什么培养的细胞要及时传代?体外培养的细胞大多具有生长接触抑制的性,也就是说当一个细胞被其他细胞包围的时候,它就会停止生长,及时传代后,细胞的生长得以继续。培养细胞生长减慢的原因在哪些?其解决办法有哪些?可能的原因有:更换了不同的培养液或血清;培养液中一些细胞生长必需成分如谷眈肢或生长因子等耗尽或缺乏或己被破坏;培养物中有少量细菌或真菌污染;试剂保存不当;比较新培养液与原培养液成分,比较新血清与旧血清等,找出其它可能的原因。解决办法:增加起始培养细胞浓度;让细胞逐渐适应新培养液;换入新鲜配制培养液;补加谷酷肢或生长因子等;用无抗生素培养液培养,如发现污染,去弃培养物,或用抗生素除菌;血清需保存在5℃到20℃; 培养液需在2-8℃避光保存;含血清完全培养液在2-8℃保存,并在2周内用完;分离培养物,检测支原体。冷冻管应如何解冻?取出冷冻管后,须立即放入37℃水槽中快速解冻,轻摇冷冻管使其在1-2分钟内大部分融化,别注意,需残留一小块冰块,就可拿到超净工作台操作细胞,用75%酒精消毒冻存管,用新鲜培养基将细胞转移至培养瓶。另外冷冻管由液氮桶中取出解冻时,必须注意安全,预防冷冻管爆裂。

细胞复苏相关注意事项:1.取细胞的过程中注意带HAO防冻手套,护目镜。此项尤为重要,细胞冻存管可能漏入液氮,解冻时冻存管中的气温急剧上升,可导致爆炸。2.冻存液的问题:冻存液的配置已是常识,在这里不作详述,但二甲基亚砜(DMSO )对细胞不是完全无毒副作用,在常温下,二甲基亚砜对细胞的毒副作较大,因此,必须在1-2min内使冻存液完全融化。如果复苏温度太慢,会造成细胞的损伤,二甲基亚砜(DMSO)ZuiHAO选择进口产品。3.离心前须加入少量培养液。细胞解冻后二甲基亚砜浓度较GAO,注意加入少量培养液可稀释其浓度,以减少对细胞的损伤。4.离心问题:目前主要有两种见解。一种是解冻后的细胞悬液直接吹打均匀后分装到培养瓶中进行培养,第二天换液。因为离心的目的是两个,去除DMSO,去除死细胞,这个是标准流程,但对一般人来说,把握不HAO离心转速和时间,转的不够活细胞沉底的少,细胞就全被扔掉了,转过了活细胞会受压过大,死亡。此外在操作过程中容易污染,所以不推荐。另一种说法为细胞悬液中含有二甲基亚砜(DMSO),DMSO对细胞有一定的毒副作用,所以须将离心后的液体前倒净,且一定倒干净。我在试验中按照常规的离心分装的方法进行复苏,结果无异常。5.细胞贴壁少的问题:教科书中说明冻存细胞解冻时1ml细胞液要加10ml-15ml培养液,而在我的试验中的经验总结为培养基越少细胞越容易贴附。6.复苏细胞分装的问题:试验中我的经验总结为复苏1管细胞一般可分装到1-2只培养瓶中,分装过多,细胞浓度过低,不利于细胞的贴壁。7.加培养基的量放入问题:这个量的多少的把握主要涉及到的问题DMSO的浓度,从如果你加培养基的太少,那么DMSO的浓度就会比较大,就会影响细胞生长,从以前的资料来看,DMSO的浓度在小于0.5%的时候对一般细胞没有什么影响,还有一个说法是1%。所以如果你的冻存液的浓度是10%DMSO的话那么加10ml以上的培养基就恰HAO稀释到了无害浓度。

SW 1573细胞类似产品::Sp 2817细胞、CBRH7919细胞、MDA231细胞

M.D. Anderson-Prostate Cancer-2b细胞类似产品::1E8-H细胞、H548细胞、Panc-03.27细胞

MCM细胞类似产品::P-36细胞、C3H 10T1/2细胞、MFE280细胞

231-luc细胞类似产品::BTT739细胞、HCC-2185细胞、RPE1-hTERT细胞

Hs 746T细胞类似产品::APRE-19细胞、KHYG1细胞、EnCa1细胞

OUMS23细胞类似产品::LA795细胞、WEHI-164细胞、Panc 03.27细胞

C-6细胞类似产品::MRC9细胞、JIMT细胞、GM-637细胞

MCA 205细胞类似产品::SW 1417细胞、Vero-E6细胞、SCL1细胞

Hs840T细胞类似产品::BTI-Tn5B14细胞、NCI H548细胞、HT-55细胞

FDCP1细胞类似产品::RT4P细胞、CCRF/CEM细胞、COR-L23细胞

BSC40细胞类似产品::J 82细胞、HCC-1599细胞、751-NA细胞

H2107细胞类似产品::38C-13细胞、HIT T-15细胞、KB细胞

Hs 294T细胞类似产品::NTERA-2 clone D1细胞、OVCAR.5细胞、CHL细胞

SW-1088细胞类似产品::CEMO-1细胞、C17细胞、PL45细胞

Vero-E6细胞类似产品::LS-513细胞、KMH-2细胞、PSN1细胞

HCT.116细胞类似产品::SO-Rb 50细胞、P3-X63-Ag8-653细胞、SHSY-5Y细胞

HCT.116细胞类似产品::SO-Rb 50细胞、P3-X63-Ag8-653细胞、SHSY-5Y细胞

Panc2_03细胞类似产品::H-1836细胞、D 407细胞、UCLA SO M21细胞

H-2171细胞类似产品::H-2030细胞、MO59J细胞、HIT T-15细胞

PAEC细胞类似产品::HCT-8/V细胞、293/EBNA-1细胞、2B4-L细胞

DCS细胞类似产品::GM16136细胞、KMS-26细胞、DU_145细胞

MM96L细胞类似产品::SF-767细胞、DoHH2细胞、IEC18细胞

NCIH2085细胞类似产品::Hs840T细胞、Mino细胞、IEC6细胞

FHL 124细胞类似产品::38C13细胞、L-M[TK-]细胞、FRO 81-2细胞

NCI-H735细胞类似产品::OVCA433细胞、MES-SA Dx5细胞、OsACL细胞

LIM1215细胞类似产品::HCC44细胞、HL60细胞、MDAMB468细胞

KBM5细胞类似产品::KMM-1细胞、Virginia Mason Research Center-Renal Cancer Z细胞、NW38细胞

HCC2935细胞类似产品::GLC82细胞、L5178Y TK+/-3.7.2c细胞、OC-3-VGH细胞

TE14细胞类似产品::C3H/10T1/2 clone 8细胞、OVCAR10细胞、7404细胞

3T3L1细胞类似产品::CATHa细胞、RKOAS451细胞、HCC-2185细胞

ZR-75-30细胞类似产品::EBC-1/original细胞、SiHa细胞、EAC-E2G8细胞

HLE细胞类似产品::PLC细胞、D10G41细胞、NB4细胞

U-118 MG细胞类似产品::DH82细胞、NTHY-ORI3.1细胞、Ontario Cancer Institute-Acute Myeloid Leukemia-3细胞

SW948细胞类似产品::CL1-5细胞、Ramos 2G6.4C10细胞、Hs895T细胞

SU-DHL2细胞类似产品::HCoEpiC细胞、Oka-C1细胞、TMD8细胞

NCI-H1975细胞类似产品::LS-174细胞、H-889细胞、Jurkat-E6细胞

Hs 578.Bst细胞类似产品::H-2107细胞、MPC-5细胞、HL-60细胞

Tj-905细胞类似产品::GH 3细胞、COLO678细胞、mousepodocyte细胞

DAN-G细胞类似产品::aNK细胞、MC 3T3-E1细胞、Ramos-2G6-4C10细胞

C8D1A细胞类似产品::NCIH1930细胞、HELA-GFP细胞、Dunn LM8细胞

TF1细胞类似产品::NB1-RGB细胞、SHEP1细胞、BetaTC6细胞

Tu 212 Cells(赠送Str鉴定报告)|人喉癌细胞

SUPT-1细胞类似产品::RIN14B细胞、Hs852T细胞、Cates 1B细胞

CAKI 1细胞类似产品::OCI Ly10细胞、MILE SVEN1细胞、RC-4B/C细胞

BCAP37细胞类似产品::HSCT6细胞、HSC-3细胞、GM00637细胞

CCD 966SK细胞类似产品::MS 751细胞、DHL8细胞、TGBC11TKB细胞

Kit 225细胞类似产品::NCC-IT细胞、MC3T3-L1细胞、NFHIOSE-29细胞

Kit 225细胞类似产品::NCC-IT细胞、MC3T3-L1细胞、NFHIOSE-29细胞

DMS 273细胞类似产品::AN-3细胞、OCI-Ly7细胞、Hs940-T细胞

PCI-4.2细胞类似产品::CWR22-R1细胞、D-283细胞、DMS114细胞

BMSC/hBMSCs细胞类似产品::NCI-SNU-398细胞、H-820细胞、251MG细胞

HCC38细胞类似产品::NCI-H2171细胞、Hs 766.T细胞、MGC803细胞

SMMC-7721细胞类似产品::CCD841CoN细胞、NCIH1651细胞、L Wnt-3A细胞

THP 1细胞类似产品::HUT-226细胞、C2C12细胞、KMS-26细胞

SW 1222细胞类似产品::H-2029细胞、T. T细胞、CAL 51细胞

P3-X63-Ag 8.653细胞类似产品::NCIH1618细胞、NBLS细胞、TGW细胞

P3-X63-Ag 8.653细胞类似产品::NCIH1618细胞、NBLS细胞、TGW细胞

DSL-6A-C1细胞类似产品::HTh 74细胞、SW-1271细胞、HMEC细胞

NE1细胞类似产品::LS 180细胞、OV-2008细胞、MEC-1细胞

CHL1细胞类似产品::MBMEC细胞、NCI-H220细胞、MDA157细胞

NCIH2196细胞类似产品::HCT/Taxo1细胞、CAOV4细胞、RKO_AS45细胞

COLO394细胞类似产品::373 MG细胞、BE2-M17细胞、RGM1细胞

SW.620细胞类似产品::GM-215细胞、MCCAR细胞、SK-NMC细胞

PZ-HPV-7细胞类似产品::NCI-SNU-216细胞、174xCEM.T2细胞、HEK-293FT细胞

MG-63细胞类似产品::TEV-1细胞、NRK-52E细胞、FK81细胞

V-79细胞类似产品::NCI-SNU-5细胞、H9细胞、SKM1细胞

CA922细胞类似产品::MOLT4细胞、Mv.1.Lu细胞、SK-N-SH细胞

H-735细胞类似产品::P30/Ohkubo细胞、LS 1034细胞、IPAM-WT细胞

OVCA 420细胞类似产品::IOSE 80细胞、RT-112细胞、NK92MI细胞

Hi-five细胞类似产品::HTh-74细胞、CAL851细胞、NCIH211细胞

A72细胞类似产品::JROECL19细胞、P3/NS1/1-Ag4.1细胞、PF382细胞

Hep-3B细胞类似产品::Hs445细胞、T24细胞、HOS/MNNG细胞

MN 60细胞类似产品::NCI-H719细胞、639-V细胞、MZCRC1细胞

Duke University 4475细胞类似产品::SUM-190PT细胞、EM3细胞、CMT64细胞

ATC241细胞类似产品::HT 1080.T细胞、CA922细胞、MDBK细胞

EBNA293细胞类似产品::HSC-I细胞、OV-1063细胞、MiaPaCa2细胞

32D.cl3细胞类似产品::Mouse Podocyte Clone-5细胞、LS-411N细胞、QBC939细胞

H378细胞类似产品::McA-RH 8994细胞、H-929细胞、293H细胞

NCI-SNU-387细胞类似产品::Scott and White No. 13细胞、SK-BR-3细胞、Y1细胞

IMR 90细胞类似产品::SNU-398细胞、SCLC-21H细胞、Sp2/mIL-6细胞

DSL-6A-C1细胞类似产品::HTh 74细胞、SW-1271细胞、HMEC细胞

VERO76细胞类似产品::AN3CA细胞、SCC090细胞、CAKI.1细胞

MUG-Chor1细胞类似产品::Mv1.Lu细胞、L细胞、SW 1783细胞

H-1573细胞类似产品::HUCEC细胞、RCSMC细胞、SkChA-1细胞

ZR751细胞类似产品::PK (15)细胞、DI TNC1细胞、CHP-212细胞

Caco-2/BBe细胞类似产品::TB-1 Lu细胞、NB4细胞、TE 671细胞

WEHI164细胞类似产品::RMS 13细胞、BL2141细胞、HCC0202细胞

DSL-6A/C1细胞类似产品::OVCAR-420细胞、MDA175细胞、A427细胞

NOK细胞类似产品::Biologics Standards-Cercopithecus-1细胞、RPMI 1846细胞、DoHH2细胞

MB 157细胞类似产品::UPCI:SCC090细胞、Z-138细胞、Hepatoma 22细胞

639 V细胞类似产品::CD18细胞、V-79-4细胞、FCCH1024细胞

SNU387细胞类似产品::3T3L1细胞、SNU739细胞、Human Intestinal Epithelial Cell-6细胞

DHL-4细胞类似产品::NTHY-ORI3.1细胞、Panc-813细胞、H2110细胞

OVCAR8细胞类似产品::RCC4细胞、SKRC-39细胞、Panc4.03细胞

Mc Ardle 7777细胞类似产品::PLC-PRF-5细胞、MBMEC细胞、SUDHL-6细胞

Rat Chondrosarcoma Swarm细胞类似产品::HL1细胞、HEK-293A细胞、MES 23.5细胞

CEMC1细胞类似产品::DK-MG细胞、H9c2 (2-1)细胞、MDCK.2细胞

Hs 895 T细胞类似产品::CP-70细胞、THP-1细胞、MLTC-1细胞

MX-1细胞类似产品::HFE-145细胞、Stanford University-Diffuse Histiocytic Lymphoma-8细胞、N-2a细胞

BT 549细胞类似产品::DU4475细胞、HS-729细胞、Mouse podocyte细胞

B95-8细胞类似产品::TE 32.T细胞、CoC1细胞、118MG细胞

AKR细胞类似产品::PA-TU S细胞、RS 4;11细胞、184A1细胞

MDCKII细胞类似产品::NCI-H774细胞、EoL-1-cell细胞、HCE细胞

AML193细胞类似产品::NCIH146细胞、MOLP2细胞、GM01232E细胞

Anip 973细胞类似产品::OE21细胞、CCD-966SK细胞、Co 115细胞

CNE2细胞类似产品::WEHI 3细胞、HuPT3细胞、ECV细胞

MDA361细胞类似产品::HCC0038细胞、RCC 786-O细胞、QG56细胞

AR-42J细胞类似产品::SCC4细胞、RAEC细胞、RCC_7860细胞

PC-9/GR细胞类似产品::PC 61-5-3细胞、NCI-H2172细胞、MDA MB 134VI细胞

174xCEM.T2细胞类似产品::NCI-H446细胞、GA10细胞、H-460细胞

COV 434细胞类似产品::HEK/EBNA细胞、SKNBE2C细胞、HT1197细胞

Suzhou Human Glioma-44细胞类似产品::52PE细胞、H-157细胞、B16 melanoma F10细胞

PC-10细胞类似产品::NCI-HUT-69细胞、NCIH2591细胞、P3X63NS1细胞

Hep-G2/C3A细胞类似产品::alpha TC1-6细胞、BJA-B-1细胞、aTC1-6细胞

H-1876细胞类似产品::DHL-6细胞、SNU-182细胞、AML-193细胞

Vertebral Cancer of the Prostate细胞类似产品::CT26.WT细胞、JTC-39细胞、MMVECs细胞

H2198细胞类似产品::Malme3M细胞、NK10a细胞、TB-1 Lu细胞

Sun Yat-sen university Ophtalmic center-Retinoblastoma 50细胞类似产品::Hs822T细胞、SNU-449细胞、U266 B1细胞

HSC-5 [Human skin squamous cell carcinoma]细胞类似产品::Y3M细胞、HPAF2细胞、MLM细胞

SW260细胞类似产品::OVCAR-10细胞、PLMVEC细胞、PG-4(S+L-)细胞

EA hy 926细胞类似产品::GM00637B细胞、SUDHL-6细胞、HS-68细胞

P3/NS-1细胞类似产品::3LL细胞、SUM-102PT细胞、IPLB-Sf21细胞

8505C细胞类似产品::BGC823细胞、NCI-H1930细胞、Danio rerio Gill细胞

THP-1细胞类似产品::OVCAR420细胞、P388-D1细胞、High Five细胞

HCO细胞类似产品::SNU368细胞、Wien 133细胞、SJSA-1细胞

CACO2细胞类似产品::PCI:SG231细胞、HFB细胞、GBCSD细胞

L-cell细胞类似产品::MC116细胞、TW-039细胞、NCI-H1755细胞

Hs 729T细胞类似产品::MDA175细胞、3T3-F442A细胞、SW1463细胞

COLO-684细胞类似产品::DMS 273细胞、NCI-SNU-668细胞、Hs852细胞

MDA436细胞类似产品::UMR106细胞、HCE-T细胞、Anip 973细胞

MDA-468细胞类似产品::HOC-1细胞、SO-Rb 50细胞、TCCPAN2细胞

Walker/LLC-WRC 256细胞类似产品::GM05384细胞、Panc8.13细胞、HCT 8细胞

OLN-93细胞类似产品::SRA 01/04细胞、C3H/10T1/2细胞、NS1/1-Ag4.1细胞

RA.1细胞类似产品::TT细胞、H-1092细胞、COLO 680N细胞

JM-1细胞类似产品::RPMI No. 1846细胞、Clone Y-1细胞、H7721细胞

NFS-60细胞类似产品::Hs-600-T细胞、MeSoTheliOma-211H细胞、293 H细胞

HcaF细胞类似产品::H8细胞、YD-15细胞、RT-112细胞

NCI-H2087细胞类似产品::SW962细胞、2B4细胞、KYSE30细胞

HCC0038细胞类似产品::U-373MG细胞、Hs688(A)T细胞、J-774细胞

SW-13细胞类似产品::B35细胞、RH35细胞、MCF-7B细胞

MDCK supertube细胞类似产品::MF2059细胞、NCIH1693细胞、NBL-4细胞

SIRC细胞类似产品::YD-15细胞、RPE-hTERT细胞、NIH 3T3细胞

SKml2细胞类似产品::P3/X63-Ag8细胞、C-32细胞、MOLM16细胞

Sp 2817细胞类似产品::RPMI1846细胞、OUMS27细胞、NCI-BL6细胞

TK.10细胞类似产品::HeLa/DDP细胞、ECV-304细胞、TOV112细胞

HGC27细胞类似产品::SK BR 03细胞、H157细胞、SK Mel 24细胞

X63Ag8-653细胞类似产品::HCMEC(BL12-H)细胞、F-36P细胞、Human Lung Microvascular Endothelial Cell line-5a细胞

U-118 MG细胞类似产品::DH82细胞、BT 20细胞、HEK/EBNA细胞

Calu-3细胞类似产品::NCI-H209细胞、ST486细胞、Hs 832(C).T细胞

COLO 205细胞类似产品::H4-II-E细胞、SUM 102PT细胞、COLO_320DM细胞

NCI-H1618细胞类似产品::3396细胞、H-1417细胞、SNU-1细胞

BSC-40细胞类似产品::MC/9细胞、WiDrTC细胞、ANA1细胞

Ramos-2G6-4C10细胞类似产品::BT 549细胞、PANC0327细胞、COS7细胞

HIT T15细胞类似产品::SuDHL 8细胞、DH82细胞、TCMK-1细胞

EC-GI细胞类似产品::MV-3细胞、PK13细胞、293-GP细胞

Duke University 4475细胞类似产品::SUM-190PT细胞、EM3细胞、CMT64细胞

CHP212细胞类似产品::CTV1细胞、T-98细胞、Farage Original Line细胞

KRCY细胞类似产品::MDCK-II细胞、Ly18细胞、MDA231-LM2细胞

GOTO细胞类似产品::MTC-TT细胞、OV 1063细胞、KRC-Y细胞

PC3细胞类似产品::MDCK-2细胞、NCI-H1770细胞、NUGC3细胞

KRCY细胞类似产品::MDCK-II细胞、Ly18细胞、MDA231-LM2细胞

Tu 212 Cells(赠送Str鉴定报告)|人喉癌细胞

174xCEM.T2细胞类似产品::NCI-H446细胞、GA10细胞、H-460细胞

SUM-149细胞类似产品::RAMOS2G64C10细胞、HMEC-1细胞、KYSE-150细胞

BBE细胞类似产品::Kupffer细胞、Y1细胞、HuCCT-1细胞

MM6细胞类似产品::Kit225细胞、Rabbit Kidney 13细胞、C3A细胞

MGSMC细胞类似产品::WM 115细胞、Hs675细胞、16HBE14o-细胞

WSU-DLCL2细胞类似产品::RL-95-2细胞、MIO-M1细胞、CEM/C1细胞

LLCMK2细胞类似产品::L615细胞、Hs888Lu细胞、Hs_578t细胞

Caco-2细胞类似产品::M-1 myeloid leukemia细胞、HLF细胞、J774细胞

HT22细胞类似产品::Ramos细胞、Kato-III细胞、MDA-MB453细胞

OVSAHO细胞类似产品::WM-266-mel细胞、Hs683T细胞、UWB1.289+BRCA1细胞

NCI-H358细胞类似产品::OCI Ly3细胞、3T3F442A细胞、WPMY1细胞

T-HEECs细胞类似产品::QBI-HEK 293A细胞、MV4;11细胞、MDA134细胞

L-Wnt-3A细胞类似产品::MC3T3-E细胞、A-172细胞、RPMI-1788细胞

BTI-TN5B1-4细胞类似产品::HASMC细胞、NTera 2/cl.D1细胞、Human Pancreatic Duct Epithelial细胞

GTL-16细胞类似产品::H35 Reuber细胞、SNG-M细胞、Colo205细胞

CHO-S细胞类似产品::OPM-2细胞、NTera2 cl.D1细胞、KMB17细胞

Rat Lung Epithelial-6-T-antigen Negative细胞类似产品::U-87 MG细胞、LAN-1细胞、MeT 5A细胞

PL-9细胞类似产品::IOSE-29细胞、NCIH508细胞、NPC-039细胞

U-118-MG细胞类似产品::KP4细胞、Hs611T细胞、NB-9细胞

H69C细胞类似产品::H522细胞、MEF (CF-1)细胞、Jurkat E6-1细胞

MKN-45细胞类似产品::SHSY-5Y细胞、HPB/ALL细胞、MCF-7细胞

NCI-HUT-69细胞类似产品::SKUT1细胞、Karpas 299细胞、H596细胞

GA-10(Clone 4)细胞类似产品::hTERTHME1细胞、UCH1细胞、MKN-45细胞

NCI-H2198细胞类似产品::Ca761细胞、OVCAR5细胞、DSL6A/C1细胞

Hs578Bst细胞类似产品::RCC10 RGB细胞、A427细胞、EFM192C细胞

Fortner's melanotic melanoma #3细胞类似产品::C4I细胞、AR4-IP细胞、NCI-H2347细胞

CCD18Co细胞类似产品::HLE B-3细胞、NCI-H1385细胞、HBL 100细胞

Hs 840.T细胞类似产品::SUIT-2细胞、HCC-2279细胞、Human Liver-7702细胞

FLS细胞类似产品::Hs68细胞、HEK293-H细胞、CL11细胞

Panc_02_03细胞类似产品::OCI-LY-19细胞、Pa14C细胞、SP2-0-Ag14细胞

MCM细胞类似产品::P-36细胞、SCCVII细胞、HeLa-S3细胞

C-32细胞类似产品::SW-403细胞、MCF10-A细胞、SKNEP1细胞

"



Tu 212 Cells(赠送Str鉴定;

公司简介

上海冠导生物工程有限公司,先后从ATCC、DSMZ、ECACC、RIKEN、PromoCell、ScienCell、JCRB等国内外细胞库引进细胞2000余株。以此为契机,公司组建了冠导细胞库,我司细胞均由资深细胞培养工程师进行培养。我司可以提供的细胞有:①细胞系②原代细胞③稳转株④耐药株⑤标记细胞⑥细胞配套试剂等。

成立日期 (11年)
注册资本 100万(元)
员工人数 50-100人
年营业额 ¥ 1000万-5000万
经营模式 工厂,试剂,定制,服务
主营行业 细胞培养,微生物学,细胞生物学

Tu 212 Cells(赠送Str鉴定报告)|人喉癌细胞相关厂家报价

  • TU212细胞
  • TU212细胞
  • 吉奥蓝图(广东)生命科学技术中心 VIP
  • 2026-04-17
  • ¥9999
  • TU212细胞
  • TU212细胞
  • 广州弗尔博生物科技有限公司
  • 2026-01-07
  • ¥1680
内容声明
拨打电话 立即询价