基本信息 产品详情 公司简介 推荐产品
网站主页 化工产品目录 生物 细胞培养 细胞系 K1 CELLS|人甲状腺癌贴壁细胞 K1 Cells(赠送Str鉴定报告)|人甲状腺癌细胞
  • K1 Cells(赠送Str鉴定报告)|人甲状腺癌细胞

K1 Cells(赠送Str鉴定报告)|人甲状腺癌细胞

K1 Cells
询价 1000000细胞数 起订
2000000细胞数 起订
上海 更新日期:2026-04-24

上海冠导生物工程有限公司

VIP6年
联系人:全经理
电话:18818239863拨打
邮箱:3171921642@qq.com

产品详情:

中文名称:
K1 Cells(赠送Str鉴定报告)|人甲状腺癌细胞
英文名称:
K1 Cells
保存条件:
常温培养或液氮冻存
纯度规格:
K1 Cells(赠送Str鉴定报告)|人甲状腺癌细胞
产品类别:
生物试剂

"K1 Cells(赠送Str鉴定报告)|人甲状腺癌细胞

细胞背景资料:详见相关文献介绍

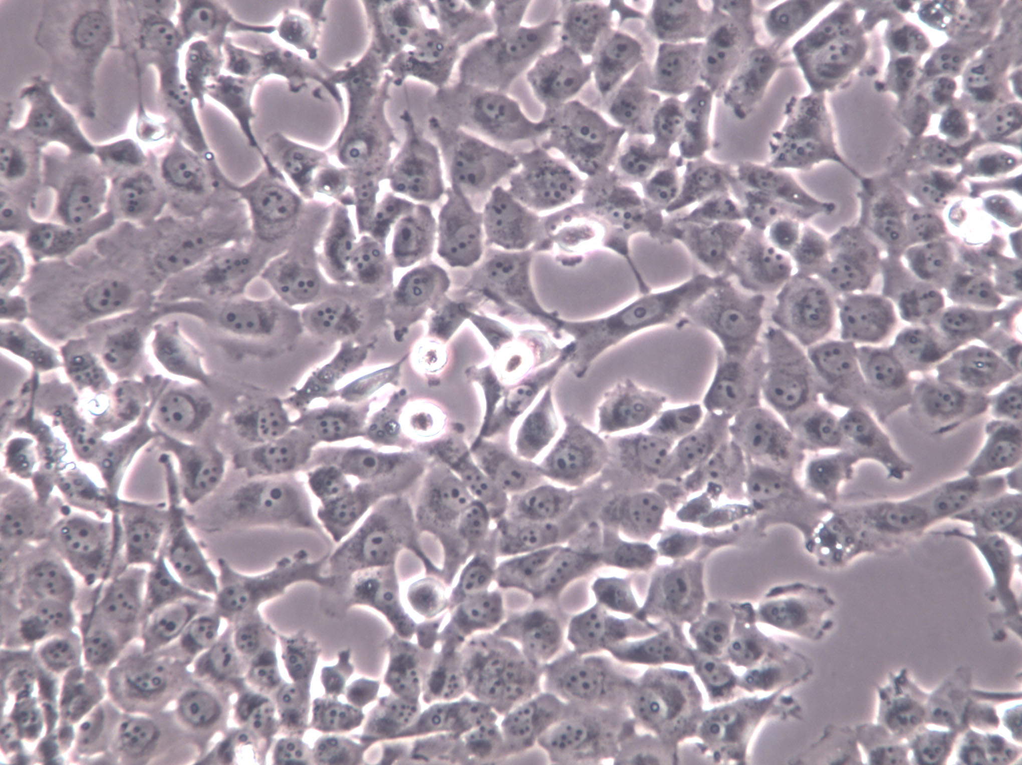
细胞形态:上皮细胞样

接收细胞相关问题:如不能在收到细胞后及时操作细胞,T25及离心管发货的细胞将可以消毒后在37度过夜,血清发货的细胞在室温下静置1-2天(注意不要放冰箱),干冰发货的可以在确认干冰未完全升华时将细胞直接放回液氮或者-80度冰箱,若干冰完全升华,请即刻复苏细胞。T25瓶及离心管在培养箱平衡是为了让细胞尽快适应培养箱环境,同时使部分因运输导致脱落的细胞贴壁,此步骤非常必要。T25瓶如果在显微镜下可以看到部分不贴壁的细胞,可以收集上清后离心(1200rpm,5min)后,将沉淀用新的培养基重悬后接种至新的培养瓶或皿中。部分细胞在运输过程中,由于不断震荡及环境不适,可能导致细胞破碎死亡,从而使培养基中漂浮很多细胞碎片及颗粒状物质。这种情况下,平衡后,贴壁细胞用PBS洗两遍再加新的培养基培养或者传代至新瓶中培养即可;悬浮细胞可以离心(1000rpm,3min)收集细胞,并用PBS重悬后再离心一次,再用新的培养基重悬并接种细胞。

细胞生长:贴壁

Caki-2细胞类似产品::SK-Mel 1细胞、B16-F10-BL6细胞、MPVECs细胞

NCIH2170细胞类似产品::Karpas-422细胞、Roswell Park Memorial Institute 8226细胞、OCILY7细胞

PC-3M 2B4细胞类似产品::KYSE510细胞、Reuber-H-35 hepatoma细胞、Transformed Human Liver Epithelial-2细胞

P-2003细胞类似产品::SCC 15细胞、TYK-nu细胞、HSAS4细胞

NS-1细胞类似产品::MADB 106细胞、MLOY4细胞、KYSE-140细胞

K1 Cells(赠送Str鉴定报告)|人甲状腺癌细胞

细胞物种来源:人源或鼠源等其它物种来源

[细胞产品包装]鲜活细胞:T25培养瓶(一瓶)或冻存细胞:1ml冻存管(两支)

细胞培养过程中,总是会出现各种意想不到的问题,一不留神就会全盘皆输。所谓细胞虐我千百遍,我待细胞如初恋。下面是贴壁细胞的保藏方法,希望对细胞培养初学操作者有所帮助:1)观察细胞状态:贴壁细胞密度达到85-90%,即可以细胞冻存形式进行保藏,拍照,记录细胞状态;2)细胞清洗:培养皿表面消毒后,转移至生物安全柜中,去除培养皿中培养液,加入12mlPBS,轻轻摇晃培养皿清洗细胞,随后吸除PBS清洗液;3)细胞消化:将2ml胰酶加入培养皿中,完全覆盖细胞,置于显微镜下观察(期间禁止摇晃培养皿),当细胞刚开始脱落时,立即转移至生物安全柜中,除去大部分胰酶,剩余约0.5ml胰酶,转移至培养箱内继续消化,每30秒肉眼观察细胞状态,至细胞成流沙状完全脱落,转移至生物安全柜中,加入12ml完全培养基,终止消化;4)细胞离心:将终止消化后的细胞悬液吹打均匀,吸取至15ml离心管中,1000r/min(110g),离心3min;5)细胞冻存:离心后去除细胞上清液,按照冻存细胞量5*10^5/ml,吸取冻存液重悬细胞沉淀,吹打均匀后分装至相应的冻存管中,进行冻存;6)细胞保藏:冻存管做HAO标记,放至程序降温盒中,于4℃冰箱放置30min,转移至-80℃超低温冰箱过夜,将过夜后的冻存细胞转移至液氮中保藏。

细胞传代方法:1:2传代

RT4-D6P2T细胞类似产品::Jiyoye(P-2003)细胞、IAR 20细胞、QSG-7701细胞

C666-1细胞类似产品::AM细胞、WI-38细胞、AU-Mel细胞

no.11细胞类似产品::HCE-2 [50.B1]细胞、THC-8307细胞、HCA-7细胞

BTI-Tn-5B1-4细胞类似产品::RMC细胞、H1581细胞、OKT 3细胞

751细胞类似产品::SK-NEP-1细胞、H-1792细胞、RIN-14B细胞

细胞来源说明:来源于RCB、ATCC、KCLB、DSMZ、ECACC、INCell、ScienCell、ECACC、JCRB、Asterand、ICLC等知名细胞库

K1 Cells(赠送Str鉴定报告)|人甲状腺癌细胞

细胞生长特性:贴壁生长 

MDAMB435细胞类似产品::NCIH647细胞、PTK1细胞、UACC 812细胞

MKN 28细胞类似产品::AG06814-N细胞、RPMI #1846细胞、University of Michigan-Urothelial Carcinoma-1细胞

NCI H295R细胞类似产品::NCI-H1092细胞、RERFLCMS细胞、SUIT2细胞

MADISON LUNG TA-109细胞类似产品::PK136细胞、MIA PaCa-2细胞、C666-1细胞

NCI.H522细胞类似产品::PG-4 (S+L-)细胞、GM03573A细胞、NS1-1 Ag4.1细胞

LA-N-6细胞类似产品::NCIH1781细胞、HLEC-SRA 01/04细胞、KLN 205细胞

细胞冻存的步骤:1)选择处于对数生长期的细胞,在冻存前一天ZuiHAO换液。将多个培养瓶中的细胞培养液去掉,用0.25% 胰蛋白酶消化。适时去掉胰蛋白酶,加入少量新培养液。用吸管吸取培养液反复吹打瓶壁上的细胞,使其成为均匀分散的细胞悬液。悬浮生产细胞则不要消化处理。然后将细胞收集于离心管中离心(1000r/min,10分钟);2)去上清液,加入含20%小牛血清的完全培养基,于4℃预冷15分钟后,逐滴加入已无菌的DMSO或甘油,用吸管轻轻吹打使细胞均匀,细胞浓度为5×106~1×107/mL之间。(冻存培养液的配置是不是一定要用小牛血清呢?答案是不一定的,具体要看培养的细胞类型来选择;3)将分装上述细胞悬液于2ml冻存管中,每管0.25ml。冻存管要将盖子盖紧,并标记HAO细胞名称和冻存日期,同时作HAO登记(日期、细胞种类及代次、冻存支数);4)将装HAO细胞的冻存管放到冻存盒中,-80℃冰箱过夜。;如果有程序降温器(放在-80℃冰箱过夜,放入液氮罐)ZuiHAO;或者可以在4℃,2h;然后转到-20℃,2h;-80℃,2h;放入液氮罐;5)细胞冻存在液氮中可以长期保存,但为妥善起见,冻存半年后,ZuiHAO取出一只冻存管细胞复苏培养,观察生长情况,然后再继续冻存。

细胞冻存复苏材料与方法步骤:常用的细胞冷冻贮存器为液氮贮存器,规格有35L和50L两种。使用时要注意以下几点:(1)一般两周需充液氮一次,至少一个月充氮一次。液氮温度达-196℃,使用时注意勿让液氮溅到皮肤上,以免引起冻伤。(2)液氮容器为双层结构,中间为真空层,瓶口有双层焊接处,应防止焊接部裂开。(3)在装入液氮时,要注意缓慢小心,并用厚纸卷筒或制漏斗作引导,使液氮直达瓶底,如有专用液氮灌注装置则更HAO。若为初次使用,加液氮时更要缓慢,以免温度骤降而使容器损坏。细胞冻存时常备的材料有:0.25%胰蛋白酶,含10%~20%的血清培养液,DMSO(分析纯)或无色新鲜甘油(121°C蒸气GAO压消毒),2mL安瓿(或专用细胞冻存管)、吸管、离心管、喷灯、纱布袋(或冻存管架)等。主要操作步骤为:(1)选择处于对数生长期的细胞,在冻存前一天ZuiHAO换液。将多个培养瓶中的细胞培养 液去掉,用0.25%胰蛋白酶消化。适时去掉胰蛋白酶,加入少量新培养液。用吸管吸取培养液反复吹打瓶壁上的细胞,使其成为均匀分散的细胞悬液。悬浮生产细胞则不要消化处理。然后将细胞收集于离心管中离心(1000r/min,10分钟)。(2)去上清液,加入含20%小牛血清的完全培养基,于4℃预冷15分钟后,逐滴加入已无菌的DMSO或甘油,用吸管轻轻吹打使细胞均匀,细胞浓度为3×106~1×107/mL之间。(3)将上述细胞分装于安瓿或专用冷冻塑料管中,安瓿装1~1.5mL在火焰喷灯上封口,封口处要完全封闭,圆滑无勾。冷冻管要将盖子盖紧,并标记HAO细胞名称和冻存日期,同时作HAO登记(日期、细胞种类及代次、冻存支数)。(4)将装HAO细胞的安瓿或冻存管装入沙布袋内;置于液氮容器颈口处存放过夜,次日转入液氮中。采用控制降温速度的方法也可采用下列步骤:先将安瓿置入4℃冰箱中2~3小时,再移至冰箱冷冻室内3~4小时,再吊入液氮容器颈气态部分存放2小时,Zui后沉入液氮中。细胞冻存在液氮中可以长期保存,但为妥善起见,冻存半年后,ZuiHAO取出一只安瓿细胞复苏培养,观察生长情况,然后再继续冻存。

WEHI-3B细胞类似产品::Okayama University Medical School-23细胞、H1385细胞、GA-10-Clone-4细胞

MGECs细胞类似产品::SKBR-3细胞、Hs 611.T细胞、QBC(939)细胞

HEC1-B细胞类似产品::HConEpic细胞、HT 1376.T细胞、GDM-1细胞

SNU-16细胞类似产品::2E8细胞、JurkatE6-1细胞、X63-Ag8.653细胞

H-1184细胞类似产品::MES23.5细胞、Hamster Islet Transformed-Tioguanine resistant clone 15细胞、MH-22a细胞

SK-MES细胞类似产品::624-mel细胞、BBE细胞、MPP 89细胞

SNUC2A细胞类似产品::A 549细胞、Panc_02_03细胞、Michigan Cancer Foundation-12A细胞

Cattle chondrocytes细胞类似产品::L5178YR细胞、S37细胞、P3JHR1细胞

786O细胞类似产品::OCI-Ly 1细胞、NCI/ADR-RES细胞、NCI-H441-4细胞

Tokyo Medical and Dental university 8细胞类似产品::CEK细胞、HB 611细胞、FLC-7细胞

OV1/P细胞类似产品::CA46细胞、MDAMB435细胞、CCD18细胞

BEL-7405细胞类似产品::H-1793细胞、OSKM-1细胞、Kit225/K6细胞

LN-229细胞类似产品::RGCs细胞、786-0细胞、hSCC-25细胞

C2-C12细胞类似产品::AQ-Mel细胞、WEHI3细胞、KYSE-450细胞

Z138细胞类似产品::NCI-H520细胞、HeLa 229细胞、KATOIII细胞

MDAMB330细胞类似产品::Sarcoma OSteogenic-2细胞、OsA-CL细胞、MADISON LUNG TA-109细胞

MDAMB330细胞类似产品::Sarcoma OSteogenic-2细胞、OsA-CL细胞、MADISON LUNG TA-109细胞

SW-579细胞类似产品::OCI/AML3细胞、M-G63细胞、MAVER细胞

HRC-99细胞类似产品::CW-2细胞、HA1800细胞、MO59J细胞

T-CAM2细胞类似产品::SUM-52PE细胞、Clone Y1细胞、H1993细胞

MGc80-3细胞类似产品::Hep 3B细胞、T98-G细胞、OVCAR432细胞

MHCC97细胞类似产品::SK N SH细胞、BPH1细胞、LN299细胞

H520细胞类似产品::EoL-1 cell细胞、NCIH660细胞、MLA-144细胞

A204细胞类似产品::HuT 102细胞、KY-270细胞、TK10细胞

KBM-5细胞类似产品::BPH-1细胞、University of Michigan-Urothelial Carcinoma-1细胞、Oregon J-111细胞

MDA-MB436细胞类似产品::LA-795细胞、X63Ag8.653细胞、Colon 38细胞

NIH 3T3细胞类似产品::AR42J细胞、KYSE-150细胞、RPMI-2650细胞

CMT-167细胞类似产品::SCLC21H细胞、Hs-578-T细胞、SU8686细胞

786-0WT细胞类似产品::PATU-S细胞、BXPC3细胞、TW 01细胞

RPMI 8226/S细胞类似产品::AC16 [Human hybrid]细胞、NCIH1650细胞、PANC-1细胞

MADB-106细胞类似产品::MNNG/HOS Clone F-5细胞、MUTZ-1细胞、Caov-3细胞

H1930细胞类似产品::NB.4细胞、HPBALL细胞、HuTu 80细胞

GM2132细胞类似产品::CCD 841 CoTr细胞、H2347细胞、WEHI-3细胞

Pfeiffer细胞类似产品::L-Wnt-3A细胞、OCILY7细胞、MFHL-2细胞

Eca 109细胞类似产品::HO8910/PM细胞、PC 12细胞、SNU869细胞

Roswell Park Memorial Institute 7666细胞类似产品::G-Olig2细胞、Centre Antoine Lacassagne-85-1细胞、Wistar Institute-38细胞

PC-9细胞类似产品::CWR-22rv1细胞、V79-GalK1细胞、JJN3细胞

SW-1088细胞类似产品::CEMO-1细胞、C17细胞、PL45细胞

LO2细胞类似产品::IOSE 29细胞、NR 8383细胞、Hs 695T细胞

SW-527细胞类似产品::293E细胞、Capan-1细胞、PASMCS细胞

CTLA4Ig-24细胞类似产品::HEK293-H细胞、NCTC-929细胞、A2008细胞

K1 Cells(赠送Str鉴定报告)|人甲状腺癌细胞

VERO C 1008细胞类似产品::IMCD3细胞、FDCP-1细胞、Ontario Cancer Institute-Acute Myeloid Leukemia-4细胞

Panc4.03细胞类似产品::RMG-1细胞、EB2细胞、Melanoma 14细胞

H865细胞类似产品::HEK 293FT细胞、B16F0细胞、R-1059-D细胞

NP69细胞类似产品::H-2023细胞、LM(TK-)细胞、NCI-H1573细胞

NT2/D1细胞类似产品::H-2170细胞、KYSE0410细胞、Y79细胞

SKMEL-2细胞类似产品::M-20细胞、GC-2spd(ts)细胞、BAC1.2F5细胞

U266S细胞类似产品::MC3T3-E1细胞、NCI-H2198细胞、SNU-449细胞

NCIH378细胞类似产品::COLO320-DM细胞、COS-7细胞、EC9706细胞

NCIH1838细胞类似产品::High Five细胞、A-20细胞、RMS 1598细胞

CHL-IU细胞类似产品::KU-812-F细胞、SK-BR3细胞、QGY-7703细胞

CORL279细胞类似产品::MILE SVEN1细胞、SR细胞、U87 MG细胞

SR786细胞类似产品::NOR-10细胞、NCIH1944细胞、639-V细胞

HCC38细胞类似产品::NCI-H2171细胞、Hs 766.T细胞、MGC803细胞

Mouse Bladder Tumor line-2细胞类似产品::NPA87-1细胞、Porcine Kidney-15细胞、IPLB-SF-21细胞

Mouse Bladder Tumor line-2细胞类似产品::NPA87-1细胞、Porcine Kidney-15细胞、IPLB-SF-21细胞

PLC-8024细胞类似产品::aTC1-6细胞、BT-B细胞、AMC-HN8细胞

HEK293-H细胞类似产品::SKNMC细胞、OCI AML4细胞、U87MG细胞

H-676B细胞类似产品::MHCCLM3细胞、MN-9D细胞、NT2-D1细胞

LN-382细胞类似产品::W256细胞、SVGp12细胞、U-266细胞

Panc203细胞类似产品::SCH细胞、HCASMC细胞、Human podocyte细胞

H-9细胞类似产品::NCI-H1648细胞、NALM6细胞、H4IIE细胞

MEC-1细胞类似产品::HPAF-I细胞、HCC-2935细胞、NCI-H889细胞

H1650细胞类似产品::H2171细胞、PLB-985细胞、HCCLM6细胞

MCF-7/AdrR细胞类似产品::RPMI no 8226细胞、NCIH28细胞、HBE135-E6E7细胞

Hs 683细胞类似产品::RDES细胞、Hs606细胞、HuH-6细胞

CHL-CL-11细胞类似产品::AE1201细胞、H-2228细胞、H125细胞

4-1st细胞类似产品::Stanford University-Diffuse Histiocytic Lymphoma-5细胞、HL 60细胞、NCI H548细胞

H676细胞类似产品::HCC38细胞、SKMES-1细胞、BC-025细胞

RL-952细胞类似产品::B16细胞、BEND细胞、TE3A细胞

QGY-7701细胞类似产品::CMT 93细胞、CAL 12T细胞、U20S细胞

NH-6细胞类似产品::SKNBE-2细胞、HS0578T细胞、SK-MES1细胞

HCC-1937细胞类似产品::RBMEC细胞、OE21细胞、MDAMB330细胞

SN12CPM6细胞类似产品::SV40-HCEC细胞、COLO 320HSR细胞、Hs-274-T细胞

RKOE6细胞类似产品::SUM 190PT细胞、BCECs细胞、BC-3-H-I细胞

MonoMac 6细胞类似产品::MDA-MB-231-luc细胞、LA795细胞、AMC-HN-8细胞

SU-DHL-16细胞类似产品::RH8994细胞、NPC-TW 01细胞、H184A1细胞

Hs 888.Lu细胞类似产品::HT细胞、PL12细胞、P3J细胞

SU-DHL-6细胞类似产品::SL-1细胞、H2227细胞、B-CPAP细胞

NCIH2052细胞类似产品::G361mel细胞、A10细胞、Radiation Effects Research Foundation-Lung Cancer-MS细胞

COLO-679细胞类似产品::TE-6细胞、H283细胞、3T3-442A细胞

LI7细胞类似产品::BxPC-3细胞、3T3 J2细胞、T173细胞

210RCY3-Ag1.2.3细胞类似产品::C32 [Human melanoma]细胞、QSG-7701细胞、NCIH650细胞

BDCM细胞类似产品::OCI/AML2细胞、Plaepi 34细胞、SUIT-2细胞

HS 1.Tes细胞类似产品::MCFs细胞、NCI-747细胞、NCI-H-69细胞

Kit225-K6细胞类似产品::NCI-H358细胞、Okayama University Medical School-27细胞、HeLa.S3细胞

NCI-H1355细胞类似产品::NCI-H1618细胞、COLO-1细胞、T 24细胞

HEK 293 c18细胞类似产品::HBEpiC细胞、OVCAR 420细胞、Ontario Cancer Institute-Acute Myeloid Leukemia-2细胞

LA 4细胞类似产品::T/G HA-VSMC细胞、Fao细胞、BC3H-1细胞

Colo-201细胞类似产品::NK-92 MI细胞、BEL 7404细胞、Ha Fe细胞

H1693细胞类似产品::PC-14细胞、QGY7703细胞、NE1-E6E7细胞

SW1783细胞类似产品::HCT-GEO细胞、HuH-1细胞、LNCaP-C4-2细胞

SK-BR-3细胞类似产品::KMS11细胞、CAMA-1细胞、OVCAR 432细胞

ACC-M细胞类似产品::MCF10-A细胞、NFS60细胞、HN13细胞

Ontario Cancer Institute-Acute Myeloid Leukemia-3细胞类似产品::SNU-869细胞、SK-Col-1细胞、D341细胞

RT4-D6-P2T细胞类似产品::CAKI.1细胞、H-2196细胞、AR-42J细胞

HCC70细胞类似产品::NCIH1819细胞、KHYG-1细胞、MCF-10 Attached细胞

686LN-M4e细胞类似产品::HSC-2细胞、Dx5细胞、786-O RCC细胞

TGW-I-nu细胞类似产品::NOK细胞、N1E-115细胞、MD Anderson-Metastatic Breast-157细胞

NUGC4细胞类似产品::HCEpiC细胞、IGROV-1细胞、TGW-nu-1细胞

SKNMC细胞类似产品::KU812-F细胞、BC-028细胞、CAL 39细胞

SK-MEL-2-LUC细胞类似产品::VE细胞、CORL105细胞、B16-F10细胞

SVGp12细胞类似产品::H-2066细胞、SW-1573细胞、TE354T细胞

HPAEpiC细胞类似产品::Colon-38细胞、IMR-90细胞、hRPTC细胞

M-20细胞类似产品::HCCC9810细胞、CAL148细胞、MUVEC细胞

Scott and White No. 13细胞类似产品::NCI-H735细胞、MCF-7ADR细胞、NCIH740细胞

A375SM细胞类似产品::PBMC细胞、MKN-7细胞、SLMT1细胞

HUVSMC细胞类似产品::H1436细胞、H2081细胞、SKMEL-1细胞

UM-UC3细胞类似产品::HEC1A细胞、H1299细胞、HD-LM-2细胞

NCIH1184细胞类似产品::AU-565细胞、H498细胞、H-847细胞

SK Mel 2细胞类似产品::VK2细胞、H.Ep. No. 2细胞、GH3细胞

HT细胞类似产品::WM35细胞、MIHA细胞、SNU1细胞

KP-N-YN细胞类似产品::SW-954细胞、Bovine ENDometrial cells细胞、COV504细胞

451Lu细胞类似产品::NS1-1 Ag4.1细胞、RPMI No. 1846细胞、HCa/16A3-F细胞

SK BR 03细胞类似产品::3T3NIH细胞、KTC1细胞、Hs 739.T细胞

JHH2细胞类似产品::DMS 153细胞、KCL22细胞、675T细胞

AK细胞类似产品::Virginia Mason Research Center-Renal Cancer Z细胞、HGMC细胞、TE-13细胞

CA46细胞类似产品::H-69细胞、C22 (Clara)细胞、Kasumi-6细胞

MFE-296细胞类似产品::PIG1细胞、H-747细胞、A375mel细胞

AG06814-J细胞类似产品::BAC1.2F5细胞、Pt K2细胞、LWnt-3A细胞

HCC1500细胞类似产品::OEC33细胞、HTR-8/SV neo细胞、H1417细胞

HO8910/PM细胞类似产品::Bac12F5细胞、U-118-MG细胞、MUS-M1细胞

H526细胞类似产品::PLCPRF5细胞、HMy2.CIR细胞、GTL-16细胞

J774A.1细胞类似产品::32D:cl3细胞、UCLA-SO-14细胞、U-138-MG细胞

P3-X63Ag8.653细胞类似产品::PL-11细胞、RMS1598细胞、MUTZ-1细胞

aTC1 Clone 6细胞类似产品::D407 RPE细胞、NCTC 1469细胞、4T1细胞

UK Pan-1细胞类似产品::HPMEC细胞、DAN-G细胞、RBE4细胞

HLEpiC细胞类似产品::Tca8113细胞、AAV293细胞、DHL5细胞

McA-RH8994细胞类似产品::LAN1细胞、PL-45细胞、Mel624细胞

IFRS1细胞类似产品::SNU-423细胞、GM06141细胞、TE13细胞

BL6细胞类似产品::UO-31细胞、MC-38细胞、NIH:OVCAR-8细胞

786.O细胞类似产品::NCIH2347细胞、Caov-3细胞、NCIH1838细胞

Hs 343.T细胞类似产品::TN5B14细胞、HKC细胞、V79-1细胞

LAD 2细胞类似产品::GC-1细胞、SN4741细胞、Hs 746T细胞

PC-10细胞类似产品::NCI-HUT-69细胞、NCIH2591细胞、P3X63NS1细胞

NGEC细胞类似产品::Duke University 145细胞、TCam-2细胞、SF-763细胞

32D.3细胞类似产品::TKB-1细胞、Hs 636.T细胞、Capan1细胞

U-118 MG细胞类似产品::DH82细胞、NTHY-ORI3.1细胞、Ontario Cancer Institute-Acute Myeloid Leukemia-3细胞

C4-2 Bone metastatic细胞类似产品::H-82细胞、SW-527细胞、NBL-7细胞

Human fetal lung fibroblast 1细胞类似产品::OCI AML3细胞、LC-1 sq细胞、WM239细胞

OCI-LY-3细胞类似产品::MEC-1细胞、SKml2细胞、HIT细胞

TE 32.T细胞类似产品::SF 767细胞、WEHI-3B细胞、C1498细胞

Clone 929细胞类似产品::Mv1Lu细胞、HET1A细胞、N1E-115细胞

BRL 3A细胞类似产品::PFSK细胞、UO.31细胞、HCC1954BL细胞

SL-1细胞类似产品::C22 (Clara)细胞、Mouse INsulinoma 6细胞、CHP 100细胞

CHP-126细胞类似产品::OKT 3细胞、MOLT-4细胞、MDBK (NBL-1)细胞

GM2131细胞类似产品::RT-112细胞、RINm5F细胞、H-719细胞

U-138MG细胞类似产品::SUM 149PT细胞、KM933细胞、TE-32细胞

Ball 1细胞类似产品::KM-H2细胞、HMEC1细胞、GM03569B细胞

UK Pan-1细胞类似产品::HPMEC细胞、DAN-G细胞、RBE4细胞

H-841细胞类似产品::SUM 102PT细胞、MES-SA细胞、CEM/0细胞

CAOV3细胞类似产品::CEL细胞、ACHN细胞、B16-F1细胞

P3/X63/Ag8.653细胞类似产品::TE-5细胞、CTLL2细胞、CD18/HPAF细胞

TK.10细胞类似产品::HeLa/DDP细胞、ECV-304细胞、TOV112细胞

ATC241细胞类似产品::HT 1080.T细胞、CA922细胞、MDBK细胞

Hs 445细胞类似产品::OP9细胞、TK.10细胞、H-1963细胞

EU-3细胞类似产品::PANC0203细胞、Vero 76细胞、DHL-5细胞

MiaPaCa-2细胞类似产品::TW-039细胞、FET细胞、Potorous tridactylus Kidney 1细胞

LWnt-3A细胞类似产品::A549 ATCC细胞、Epstein-Barr-3细胞、DMS 114细胞

VAESBJ细胞类似产品::ELD-1细胞、NCI-H322T细胞、MyLa2059细胞

K1 Cells(赠送Str鉴定报告)|人甲状腺癌细胞

PNT1/A细胞类似产品::HCC-1599细胞、Hs729T细胞、NRK-49F细胞

C4-2 B细胞类似产品::AR41P细胞、EB-3细胞、Panc-813细胞

NCIH211细胞类似产品::NIH:OVCAR-10细胞、MDA-361细胞、NCI-H740细胞

C38细胞类似产品::SUDHL1细胞、NCI-H441-4细胞、RBL 2H3细胞

HOMEC细胞类似产品::SK-MES细胞、KYSE-510细胞、BEL 7404细胞

Human Microvascular Endothelial Cell line-1细胞类似产品::Transformed C3H Mouse Kidney-1细胞、201T细胞、Hs695T细胞

Danio rerio Gill细胞类似产品::SKG-3a细胞、343MG细胞、FHs74Int细胞

OCM-1A细胞类似产品::A.704细胞、Bronchial Epithelium transformed with Ad12-SV40 2B细胞、OCILY3细胞

MNNG/HOS Clone F-5细胞类似产品::SJSA1细胞、DHL-16细胞、GM02131A细胞

H-250细胞类似产品::H520细胞、Functional Liver Cell-7细胞、OUMS-27细胞

DMS153细胞类似产品::PL-9细胞、NCI-H1819细胞、SK-Mel1细胞

PTK 1细胞类似产品::Medical Research Council cell strain-9细胞、SKRC-42细胞、SHI-1细胞

H4IIEC3细胞类似产品::Virginia Mason Research Center-Lung Cancer D细胞、MM1-S细胞、HCC2108细胞

Roswell Park Memorial Institute 1788细胞类似产品::EM3细胞、SGC7901/DDP细胞、C3H10T1/2细胞

Roswell Park Memorial Institute 1788细胞类似产品::EM3细胞、SGC7901/DDP细胞、C3H10T1/2细胞

Ku812细胞类似产品::VK-2/E6E7细胞、HTh 74细胞、EFM192细胞

Jurkat-FHCRC细胞类似产品::SNK-1细胞、SKLMS1细胞、H-508细胞

As-PC1细胞类似产品::MDA-MB-435-S细胞、U373细胞、L5178Y TK+/- (clone 3.7.2C)细胞

NCI-BL2141细胞类似产品::UO31细胞、H3255_DA细胞、HO8910/PM细胞

HKF细胞类似产品::H-157细胞、OV1063细胞、NCIH520细胞

H-1975细胞类似产品::SK-MEL-28细胞、U-343-MG细胞、PT67细胞

JCA-1细胞类似产品::NTC-200细胞、H-1975细胞、Fox/NY细胞

TMK-1细胞类似产品::MGHU3细胞、SF 295细胞、BOWES细胞

HCC-94细胞类似产品::RPE D407细胞、8226/S细胞、H2081细胞

KRC/Y细胞类似产品::VMM5细胞、GT1-1细胞、P31/FUJ细胞

HeLa229细胞类似产品::RT-BM-1细胞、CA-46细胞、OCI-Ly 7细胞

LOU-NH91细胞类似产品::CAL-33细胞、MDA-MB-468细胞、RINm-5F细胞

253J B-V细胞类似产品::MNNG/HOS Cl #5细胞、HEC-1A细胞、H838细胞

526细胞类似产品::SK-RC-52细胞、MC3T3细胞、THP-1(ATCC)细胞

UPCI:SCC154细胞类似产品::PTK1细胞、CAL-51细胞、NCI-H2591细胞

HEC-1-A细胞类似产品::WSU-DLCL2细胞、H-2085细胞、Line 697细胞

C33-A细胞类似产品::JM细胞、M-1 myeloid leukemia细胞、IMCD3细胞

"



K1 Cells(赠送Str鉴定报告)|;

公司简介

上海冠导生物工程有限公司,先后从ATCC、DSMZ、ECACC、RIKEN、PromoCell、ScienCell、JCRB等国内外细胞库引进细胞2000余株。以此为契机,公司组建了冠导细胞库,我司细胞均由资深细胞培养工程师进行培养。我司可以提供的细胞有:①细胞系②原代细胞③稳转株④耐药株⑤标记细胞⑥细胞配套试剂等。

成立日期 (11年)
注册资本 100万(元)
员工人数 50-100人
年营业额 ¥ 1000万-5000万
经营模式 工厂,试剂,定制,服务
主营行业 细胞培养,微生物学,细胞生物学

K1 Cells(赠送Str鉴定报告)|人甲状腺癌细胞相关厂家报价 更多

内容声明
拨打电话 立即询价