基本信息 产品详情 公司简介 推荐产品
网站主页 化工产品目录 生物 细胞培养 细胞系 大鼠细胞系 H4-II-E CELLS|大鼠肝贴壁细胞 H4-II-E Cells|大鼠肝克隆细胞
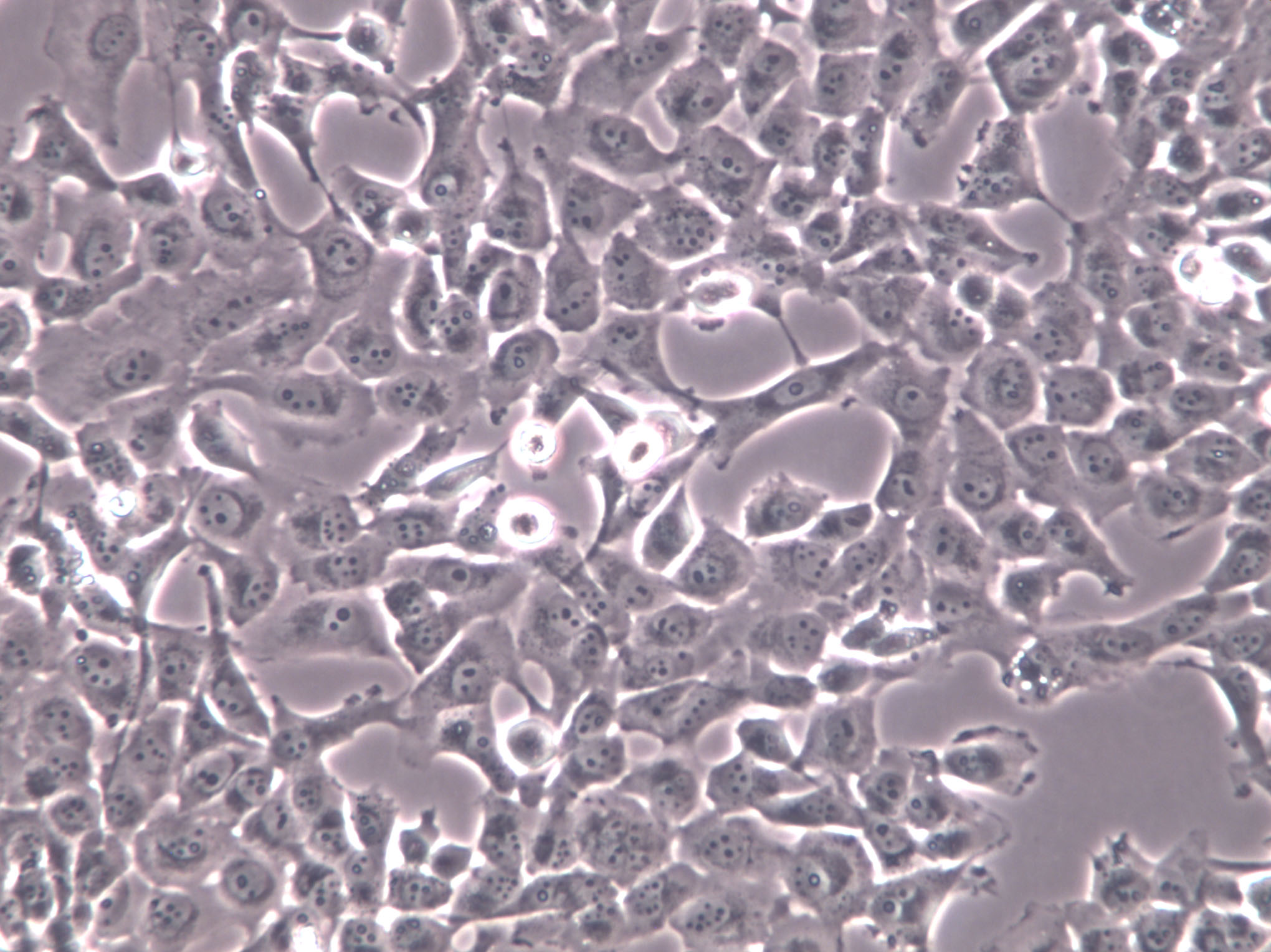
  • H4-II-E Cells|大鼠肝克隆细胞

H4-II-E Cells|大鼠肝克隆细胞

H4-II-E Cells
询价 1000000细胞数 起订
2000000细胞数 起订
上海 更新日期:2026-04-19

上海冠导生物工程有限公司

VIP6年
联系人:全经理
电话:18818239863拨打
邮箱:3171921642@qq.com

产品详情:

中文名称:
H4-II-E Cells|大鼠肝克隆细胞
英文名称:
H4-II-E Cells
保存条件:
常温培养或液氮冻存
纯度规格:
H4-II-E Cells|大鼠肝克隆细胞
产品类别:
生物试剂

"H4-II-E Cells|大鼠肝克隆细胞

细胞形态:上皮细胞样

细胞生长:贴壁

悬浮细胞收到货后操作流程:打开包装箱,检查离心管是否漏液,若有漏液,请拍照留存,并于24h内及时联系客服;用75%酒精擦拭离心管表面,然后转移至二氧化碳培养箱中静置4h,仔细阅读细胞说明书,了解细胞培养信息;静置4h后,110g(1000rpm)离心3min,转移至安全柜中操作,用完全培养基重悬细胞沉淀至培养瓶或培养皿中培养;显微镜下观察细胞状态和密度,进行拍照;若细胞密度达到80%,可根据具体实验要求直接使用;否则置于培养箱中继续培养,至细胞密度达80%后再进行实验。

3T6 Swiss AlbinoCells;细胞背景资料:胚胎;成纤维;自发永生;雄性;Swiss albino;细胞传代方法:1:2-1:3传代;每周换液2-3次。;细胞生长特性:贴壁;细胞形态特性:详见细胞说明书;相关细胞有:D283-MEDCells、NCI H23Cells、TI-73细胞

G-292 clone A141B1Cells;细胞背景资料:详见相关文献介绍;细胞传代方法:1:2-1:3传代;每周换液2-3次。;细胞生长特性:贴壁或悬浮,详见细胞说明书部分;细胞形态特性:详见细胞说明书;相关细胞有:EB2Cells、NCIH244Cells、LLC1细胞

Anip-973Cells;细胞背景资料:肺腺癌;细胞传代方法:1:2-1:3传代;每周换液2-3次。;细胞生长特性:贴壁;细胞形态特性:详见细胞说明书;相关细胞有:D 407Cells、HR-8348Cells、RKOE6细胞

JHH7Cells;细胞背景资料:详见相关文献介绍;细胞传代方法:1:2-1:3传代;每周换液2-3次。;细胞生长特性:贴壁或悬浮,详见细胞说明书部分;细胞形态特性:详见细胞说明书;相关细胞有:TE354.TCells、GM03190Cells、WERI-Rb-1细胞

细胞物种来源:人源或鼠源等其它物种来源

H4-II-E Cells|大鼠肝克隆细胞

[细胞产品包装]鲜活细胞:T25培养瓶(一瓶)或冻存细胞:1ml冻存管(两支)

细胞分化(cell differentiation)是指同一来源的细胞逐渐产生出形态结构、功能征各不相同的细胞类群的过程,其结果是在空间上细胞产生差异,在时间上同一细胞与其从前的状态有所不同。细胞分化的本质是基因组在时间和空间上的选择性表达,通过不同基因表达的开启或关闭,终产生标志性蛋白质。一般情况下,细胞分化过程是不可逆的。然而,在某些条件下,分化了的细胞也不稳定,其基因表达模式也可以发生可逆性变化,又回到其未分化状态,这一过程称为去分化(dedifferentiation)。细胞分化的点包括:细胞分化的潜能随个体发育进程逐渐“缩窄”,在胚胎发育过程中,细胞逐渐由“全能”到“多能”,后向“单能”的趋向,是细胞分化的一般规律;细胞分化具有时空性,在个体发育过程中,多细胞生物细胞既有时间上的分化,也有空间上的分化;细胞分化与细胞的分裂状态和速度相适应,分化必须建立在分裂的基础上,即分化必然伴随着分裂,但分裂的细胞不一定就分化。分化程度越GAO,分裂能力也就越差;细胞分化具有GAO度的稳定性,正常生理条件下,已经分化为某种异的、稳定类型的细胞一般不可能逆转到未分化状态或者成为其他类型的分化细胞;细胞分化具有可塑性,已分化的细胞在殊条件下重新进入未分化状态或转分化为另一种类型细胞的现象。

细胞背景资料:详见相关文献介绍

C2BBe 1Cells;细胞背景资料:详见相关文献介绍;细胞传代方法:1:6—1:10传代,每周换液2次;细胞生长特性:贴壁生长;细胞形态特性:上皮Cells;相关细胞有:KYSE-510Cells、Hepa-RGCells、130T细胞

SUM 149PTCells;细胞背景资料:乳腺癌;女性;细胞传代方法:1:2-1:3传代;每周换液2-3次。;细胞生长特性:贴壁;细胞形态特性:详见细胞说明书;相关细胞有:3-LLCells、SHEECells、PE CA PJ34细胞

X63.Ag8.653Cells;细胞背景资料:详见相关文献介绍;细胞传代方法:1:2-1:3传代;每周换液2-3次。;细胞生长特性:贴壁或悬浮,详见细胞说明书部分;细胞形态特性:详见细胞说明书;相关细胞有:NCIH211Cells、GC9811-PCells、NCI-BL1339细胞

ACCMCells;细胞背景资料:涎腺腺样囊性癌;男性;细胞传代方法:1:2-1:3传代;每周换液2-3次。;细胞生长特性:贴壁;细胞形态特性:详见细胞说明书;相关细胞有:Rat Skin 1Cells、143BCells、SW626细胞

细胞传代方法:1:2-1:3传代;每周换液2-3次。

H4-II-E Cells|大鼠肝克隆细胞

细胞来源说明:来源于RCB、ATCC、KCLB、DSMZ、ECACC、INCell、ScienCell、ECACC、JCRB、Asterand、ICLC等知名细胞库

培养条件的标准化对于维持表现稳定是必需的。尽管由于实验需要可改变某些条件,但建立细胞、生产和日常维持应固守标准的、已确定的条件。培养基所使用的培养基品种会影响不同细胞类型的选择及其表型表达的调节。因此,一旦选定了一种培养基,用该培养基进行标准化,如果购买现成的,选定一个供应商。血清去掉血清波动后的办法就是换为无血清培养基,尽管很不幸不是所有的细胞都有无血清的配方,而且无血清培养的转换昂贵且费时。血清替代品可得到很GAO的稳定性且一般来说较血清和生长因子添加物便宜很多,但不能控制无血清培养基所提供的生理环境。如必需血清,选一批,在培养的每个阶段包括细胞的冻存都使用这批血清。塑料制品多数有名品牌的细胞培养瓶和培养皿细胞培养的结果相似,但由于组织培养塑料制品处理的不同会有轻微不同。因此选定一种培养瓶、皿及供应商。细胞系的维持如果不进行标准方法维持细胞会改变性,维持方法应进行YOU化并在整个处理过程中保持一致。培养物还应该定期更换冷冻保存管。

细胞生长特性:贴壁或悬浮,详见细胞说明书部分

细胞培养中的污染分为两类,化学污染和生物污染;生物污染包括比较容易发现的细菌、霉菌和酵母的污染,和较难发现的病毒、支原体和其他细胞的污染。细菌、霉菌和酵母到处存在,它们能在合适的环境中非常快速的生长。这些污染比较容易观察到,它们往往会使其污染的培养液产生可见的变化,或者通过显微镜观察就可以看见。由于病毒有种属异性,所以病毒污染的概率比较小。但是病毒污染难于发现,因为病毒颗粒别微小,一般的实验室都没能力检查细胞培养中污染的病毒。由于病毒一般潜伏在细胞内,对整个细胞培养不是致死的,所以它可能会使研究人员长期得到受病毒影响的细胞的实验结果。1956年Robinson及其同事首次发现细胞培养中的支原体污染。90年代初的一个调查发现,在美国培养的细胞中,至少有15%被支原体污染。由于支原体没有细胞壁,在细胞培养液中几乎是透明的,同时对常用于细胞培养中的抗生素不敏感,不引起pH变化,不使培养液浑浊,所以支原体污染不容易被发现,但是其存在会影响实验的结果。培养多种细胞时操作不当,会导致细胞的交叉污染。由于不同细胞的生产速率不同,污染的生长速率快的细胞终会完全取代被污染的细胞。

SuDHL 5细胞类似产品::Hs 578.Bst细胞、LS-411细胞、ChaGo K-1细胞

PA1细胞类似产品::Nb2a细胞、EJ-1细胞、K-562细胞

NCI-H2452细胞类似产品::SKMEL28细胞、L1210细胞、SCC-4细胞

FRhK4细胞类似产品::NCIH508细胞、CCLP-1细胞、Tn 5B1-4细胞

CAL27细胞类似产品::MDA MB 231细胞、R.K.13细胞、TO175T细胞

SUM 159PT细胞类似产品::GM02132细胞、TE-5细胞、P3-X63Ag8.653细胞

SW-1088细胞类似产品::CEMO-1细胞、C17细胞、PL45细胞

OE33细胞类似产品::HPMC细胞、Ramos 2G6 4C10细胞、SK Hep1细胞

HEC1-A细胞类似产品::C33A细胞、hA549细胞、LAPC-4细胞

SUM 52PE细胞类似产品::OKa-C-1细胞、HT 1376细胞、NCI-H2198细胞

H4-II-E Cells|大鼠肝克隆细胞

CAL 78细胞类似产品::SNU-387细胞、U138-MG细胞、MB49细胞

MC-38细胞类似产品::OE-21细胞、SUDHL8细胞、HeLa S3细胞

C8166-CD4细胞类似产品::KRCY细胞、CAL 27细胞、SMMC 7721细胞

THP-1细胞类似产品::OVCAR420细胞、P388-D1细胞、High Five细胞

EOC 20细胞类似产品::SK-N-BE(1)n细胞、HRMC细胞、CORL23细胞

OVHM细胞类似产品::MV-522细胞、NCIH1963细胞、H9c2(2-1)细胞

OVHM细胞类似产品::MV-522细胞、NCIH1963细胞、H9c2(2-1)细胞

RCSMC细胞类似产品::OVCAR.8细胞、H-2073细胞、LAN-5细胞

MOLT-16细胞类似产品::T-cell Acute Lymphoblastic Leukemia-1细胞、HT 144细胞、NCIH1437细胞

I90细胞类似产品::MES 13细胞、SW1463细胞、INS-1细胞

BCaP-37细胞类似产品::HCT-FET细胞、High Five细胞、H22-H8D8细胞

NCI-H524细胞类似产品::DHL8细胞、IMR32细胞、UPCI-SCC090细胞

COLO-738细胞类似产品::Roswell Park Memorial Institute 1846细胞、M3 Clone M-3细胞、GM05862细胞

HCC1438细胞类似产品::SK-N-BE-2细胞、OVCA-433细胞、A-673细胞

OCI/AML-3细胞类似产品::MDST8细胞、293FT细胞、He La细胞

H-345细胞类似产品::V79细胞、X63.Ag8.653细胞、MDA-PCa-2b细胞

MB231细胞类似产品::MKN 45细胞、KNS-81细胞、NRK 49F细胞

JeKo-1细胞类似产品::UM2细胞、BCP-1细胞、H1734细胞

H-889细胞类似产品::NCI-H1930细胞、NS-I/1细胞、SCL-1细胞

HBE细胞类似产品::NCI-446细胞、RL细胞、mIMCD3细胞

159PT细胞类似产品::NCI-H2122细胞、SuDHL 8细胞、CCD-1112sk细胞

PA-TU-8988S细胞类似产品::NCI-H2286细胞、OVCA 420细胞、MDA1386细胞

SR-786细胞类似产品::OCI/AML-4细胞、EFM-192B细胞、SK-RC-52细胞

HT144-mel细胞类似产品::MDA MB 436细胞、C6细胞、IHH细胞

MPC5细胞类似产品::COLO-HSR细胞、CCRF.CEM细胞、H-2052细胞

GT1-1细胞类似产品::LY-R细胞、BCaP 37细胞、2B4细胞

RFL 6细胞类似产品::BT 325细胞、HEC1-A细胞、SUM52细胞

GM12878细胞类似产品::KM-12细胞、COR-L26细胞、HDLM2细胞

HEC1B细胞类似产品::PTK 2细胞、MIMVEC细胞、OE-21细胞

KM-12细胞类似产品::T8细胞、MZCRC1细胞、U-251 MG细胞

H-2171细胞类似产品::H-2030细胞、MO59J细胞、HIT T-15细胞

SNU-719细胞类似产品::HcerEpic细胞、P36细胞、Sp2/0-Ag14细胞

MDA.MB.435细胞类似产品::B-cell with DC Morphology细胞、PCI-4.2细胞、Liver-02细胞

SW48细胞类似产品::NCI-H2452细胞、LAN5细胞、RS4:11细胞

HBEpiC细胞类似产品::RWPE-2细胞、SKO3细胞、GM03571细胞

LS-174T细胞类似产品::H4-II-EC3细胞、NCIH1869细胞、SKCol1细胞

EOMA细胞类似产品::P3/NSI/1-AG4-1细胞、OB2细胞、H-548细胞

RCC-JF细胞类似产品::HUVEC-C[HUVEC]细胞、T47D细胞、EFM19细胞

THPI细胞类似产品::SK-N-BE(2C)细胞、NBL-12细胞、HS940细胞

F-81细胞类似产品::BIC细胞、WM266细胞、X63细胞

NBLS细胞类似产品::CEF细胞、RT-BM 1细胞、RK 13细胞

N-9细胞类似产品::PK15细胞、MSF细胞、CG4细胞

PANC-04-03细胞类似产品::MPC-83细胞、ADR-RES细胞、H-II-E-C3细胞

H7721细胞类似产品::OCI-Ly 18细胞、NCIH2073细胞、PY8119细胞

SW 48细胞类似产品::HCe-8693细胞、MFHL-2细胞、Detroit-562细胞

H1563细胞类似产品::GM00346细胞、T98细胞、MT2细胞

MM-1S细胞类似产品::C12细胞、Human Embryonic Skin细胞、G 292 Clone A 141B1细胞

A 72Cells;细胞背景资料:癌Cells;金毛猎犬;细胞传代方法:1:2-1:3传代;每周换液2-3次。;细胞生长特性:贴壁;细胞形态特性:详见细胞说明书;相关细胞有:AC29Cells、SW-579Cells、UPCISCC154细胞

WiDr/SCells;细胞背景资料:结肠癌;女性;细胞传代方法:1:2-1:3传代;每周换液2-3次。;细胞生长特性:贴壁;细胞形态特性:详见细胞说明书;相关细胞有:WERI-Rb1Cells、MDCK (NBL-2)Cells、Hs-343-T细胞

IOSE-29Cells;细胞背景资料:卵巢;上皮Cells;女性;细胞传代方法:1:2-1:3传代;每周换液2-3次。;细胞生长特性:贴壁;细胞形态特性:详见细胞说明书;相关细胞有:LTEP-a-2Cells、SNU-C2BCells、MAntle cell VERona-1细胞

MPC11Cells;细胞背景资料:详见相关文献介绍;细胞传代方法:1:2传代;细胞生长特性:悬浮生长;细胞形态特性:详见细胞说明书;相关细胞有:GalK 1Cells、H1238Cells、CF-PAC1细胞

Hs-729-TCells;细胞背景资料:详见相关文献介绍;细胞传代方法:1:2传代;每周换液2-3次。;细胞生长特性:贴壁生长;细胞形态特性:成纤维Cells;相关细胞有:RPMI8226Cells、OCILY-10Cells、MM96L细胞

H9Cells;细胞背景资料:H9细胞是HUT78(ATCCTIB161)的克隆系(Callo,RC,etal)。细胞表面带有CD3、CD4标记。研究表明,该细胞系对人体免疫缺陷病毒(HIV-1)敏感,可用于检测、分离和增殖HIV-1,也可用于其它人类Tcell病毒的研究。;细胞传代方法:1:3传代,2-3天传一代;细胞生长特性:悬浮生长;细胞形态特性:淋巴母细胞样;相关细胞有:8402Cells、TE-10Cells、HEK 293细胞

NCIH740Cells;细胞背景资料:详见相关文献介绍;细胞传代方法:1:2-1:3传代;每周换液2-3次。;细胞生长特性:贴壁或悬浮,详见细胞说明书部分;细胞形态特性:详见细胞说明书;相关细胞有:95CCells、NCI-H3255Cells、CCC-HHM-2细胞

SK-N-BE-2Cells;细胞背景资料:1972年11月从一们多次化疗及放疗的扩散性神经母细胞瘤患儿骨髓穿刺物中建立了SK-N-BE(2)神经母细胞瘤细胞株。 该细胞显示中等水平的多巴胺-β-羟基酶活性。 有报道称SK-N-BE(2)细胞的饱和浓度超过1x106细胞/平方厘米。细胞形态多样,有的有长突触,有的呈上皮细胞样。 细胞会聚集,形成团块并浮起;细胞传代方法:1:2传代;细胞生长特性:贴壁生长;细胞形态特性:上皮细胞样;相关细胞有:ID8/MOSECCells、BpRc1Cells、SK-CO-1细胞

C81-61Cells;细胞背景资料:皮肤黑色素瘤;腹壁转移;女性;细胞传代方法:1:2-1:3传代;每周换液2-3次。;细胞生长特性:贴壁;细胞形态特性:详见细胞说明书;相关细胞有:JB 6Cells、Hs 445Cells、Panc8.13细胞

H4-II-E Cells|大鼠肝克隆细胞

LSECsCells;细胞背景资料:详见相关文献介绍;细胞传代方法:1:2-1:3传代;每周换液2-3次。;细胞生长特性:贴壁或悬浮,详见细胞说明书部分;细胞形态特性:详见细胞说明书;相关细胞有:NCI-H295Cells、QGY7701Cells、DHL10细胞

T2Cells;细胞背景资料:详见相关文献介绍;细胞传代方法:1:3—1:6传代,每周换液2—3次;细胞生长特性:悬浮生长;细胞形态特性:淋巴母细胞样;相关细胞有:HCC-38Cells、Mel-624Cells、Hs-695-T细胞

MG-HU-3Cells;细胞背景资料:详见相关文献介绍;细胞传代方法:1:2-1:3传代;每周换液2-3次。;细胞生长特性:贴壁或悬浮,详见细胞说明书部分;细胞形态特性:详见细胞说明书;相关细胞有:TE-32Cells、CCD-1112skCells、LTEPa2细胞

CAL85-1Cells;细胞背景资料:详见相关文献介绍;细胞传代方法:1:2-1:3传代;每周换液2-3次。;细胞生长特性:贴壁或悬浮,详见细胞说明书部分;细胞形态特性:详见细胞说明书;相关细胞有:COLO-684Cells、GM03569DCells、SGC-7901/DDP细胞

Merwin Plasma Cell tumor-11Cells;细胞背景资料:详见相关文献介绍;细胞传代方法:1:2传代;细胞生长特性:悬浮生长;细胞形态特性:详见细胞说明书;相关细胞有:PAICells、SUM 190Cells、MCF12A细胞

6-T CEMCells;细胞背景资料:详见相关文献介绍;细胞传代方法:1:2传代;细胞生长特性:贴壁生长 ;细胞形态特性:详见细胞说明书;相关细胞有:1.1B4Cells、TR146Cells、Walker256细胞

H-35 ReuberCells;细胞背景资料:在糖皮质激素、胰岛素或cAMP衍生物的诱导下可以产生酪酸基转移酶;可被逆转录病毒感染;可产生白蛋白、转铁蛋白、凝血酶原;在AxC大鼠中可以成瘤。;细胞传代方法:1:2传代;细胞生长特性:贴壁生长;细胞形态特性:上皮样;相关细胞有:COLO 394Cells、SHSY5YCells、HCC1569细胞

H-35 ReuberCells;细胞背景资料:在糖皮质激素、胰岛素或cAMP衍生物的诱导下可以产生酪酸基转移酶;可被逆转录病毒感染;可产生白蛋白、转铁蛋白、凝血酶原;在AxC大鼠中可以成瘤。;细胞传代方法:1:2传代;细胞生长特性:贴壁生长;细胞形态特性:上皮样;相关细胞有:COLO 394Cells、SHSY5YCells、HCC1569细胞

HEBCells;细胞背景资料:详见相关文献介绍;细胞传代方法:1:2传代;细胞生长特性:贴壁生长 ;细胞形态特性:详见细胞说明书;相关细胞有:KMS26Cells、H-847Cells、EB1细胞

CAL 51Cells;细胞背景资料:乳腺癌;胸腔积液转移;女性;细胞传代方法:1:2-1:3传代;每周换液2-3次。;细胞生长特性:贴壁;细胞形态特性:详见细胞说明书;相关细胞有:Bac 1.2F5Cells、Hs27Cells、L540细胞

HCC1143Cells;细胞背景资料:详见相关文献介绍;细胞传代方法:1:2—1:4传代,每周换液2—3次;细胞生长特性:贴壁生长;细胞形态特性:上皮样;相关细胞有:Biopsy xenograft of Pancreatic Carcinoma line-3Cells、NL-20Cells、MDCK-II细胞

IAR 20Cells;细胞背景资料:肝; BDVI;细胞传代方法:1:2-1:3传代;每周换液2-3次。;细胞生长特性:贴壁;细胞形态特性:详见细胞说明书;相关细胞有:NG-108-15Cells、N9Cells、293 F细胞

MDA-MB436Cells;细胞背景资料:该细胞源于一名43岁患有乳腺腺癌女性的胸腔积液。;细胞传代方法:1:2传代,每周换液2—3次;细胞生长特性:贴壁生长;细胞形态特性:多角形;相关细胞有:LA-795Cells、X63Ag8.653Cells、Colon 38细胞

S.B.Cells;细胞背景资料:急性T淋巴细胞白血病;男性;细胞传代方法:1:2-1:3传代;每周换液2-3次。;细胞生长特性:悬浮;细胞形态特性:详见细胞说明书;相关细胞有:BEL7402Cells、HEK-293-EBNACells、DU 145细胞

MLMCells;细胞背景资料:急性粒白血病;细胞传代方法:1:2-1:3传代;每周换液2-3次。;细胞生长特性:悬浮;细胞形态特性:详见细胞说明书;相关细胞有:NCI-H1581Cells、NPA-87Cells、GM03320D细胞

SKLU1Cells;细胞背景资料:该细胞系源于一位60岁的白人女性患者的肺腺癌组织。;细胞传代方法:1:2传代;每周换液2次。;细胞生长特性:贴壁生长;细胞形态特性:上皮细胞样;相关细胞有:BTI-Tn-5B1-4Cells、H2085Cells、CNE2细胞

B16F10Cells;细胞背景资料:B16-F10是B16-F0的亚系。;细胞传代方法:消化3-5分钟。1:2。3天内可长满。;细胞生长特性:贴壁生长;细胞形态特性:详见细胞说明书;相关细胞有:CFPACCells、SupB15WTCells、NB1RGB细胞

J-774A.1Cells;细胞背景资料:详见相关文献介绍;细胞传代方法:1:2-1:3传代;每周换液2-3次。;细胞生长特性:贴壁或悬浮,详见细胞说明书部分;细胞形态特性:详见细胞说明书;相关细胞有:CEM-CCRFCells、OCI-Ly 19Cells、PC12(高分化)细胞

DHL10Cells;细胞背景资料:详见相关文献介绍;细胞传代方法:1:2-1:3传代;每周换液2-3次。;细胞生长特性:悬浮;细胞形态特性:淋巴母Cells;相关细胞有:H1793Cells、TB-1 LuCells、32D CL3细胞

PL-11Cells;细胞背景资料:详见相关文献介绍;细胞传代方法:1:2传代;细胞生长特性:贴壁生长;细胞形态特性:上皮样;相关细胞有:PA1Cells、RINm-5FCells、B 95.8细胞

EoL-1 cellCells;细胞背景资料:急性髓系白血病;男性;细胞传代方法:1:2-1:3传代;每周换液2-3次。;细胞生长特性:悬浮;细胞形态特性:详见细胞说明书;相关细胞有:Hs746-TCells、NGPCells、143BTK-细胞

201TCells;细胞背景资料:肺腺癌;男性;细胞传代方法:1:2-1:3传代;每周换液2-3次。;细胞生长特性:贴壁;细胞形态特性:详见细胞说明书;相关细胞有:Fetal Bovine Heart EndothelialCells、KALS-1Cells、MDBK (NBL-1)细胞

NU-GC-4Cells;细胞背景资料:胃癌;女性;细胞传代方法:1:2-1:3传代;每周换液2-3次。;细胞生长特性:半贴壁;细胞形态特性:详见细胞说明书;相关细胞有:TK-1Cells、Ramos G6.C10Cells、BERH-2细胞

NCIH1437Cells;细胞背景资料:详见相关文献介绍;细胞传代方法:1:2-1:6传代,每周换液2次。;细胞生长特性:贴壁生长;细胞形态特性:上皮样;相关细胞有:H1385Cells、Madison lungCells、PL11细胞

NCIH64Cells;细胞背景资料:详见相关文献介绍;细胞传代方法:1:2-1:3传代;每周换液2-3次。;细胞生长特性:贴壁或悬浮,详见细胞说明书部分;细胞形态特性:详见细胞说明书;相关细胞有:Colo-201Cells、HL-1Cells、HOP62细胞

C3H10T1/2CL8Cells;细胞背景资料:详见相关文献介绍;细胞传代方法:1:2-1:3传代;每周换液2-3次。;细胞生长特性:贴壁或悬浮,详见细胞说明书部分;细胞形态特性:详见细胞说明书;相关细胞有:SKNFICells、TE-15Cells、H-2073细胞

HCMEC(BL12-H)Cells;细胞背景资料:结肠微血管;内皮Cells;细胞传代方法:1:2-1:3传代;每周换液2-3次。;细胞生长特性:贴壁;细胞形态特性:详见细胞说明书;相关细胞有:OVCAR10Cells、NCI-H1404Cells、AMO-1细胞

COLO 206FCells;细胞背景资料:详见相关文献介绍;细胞传代方法:1:2-1:3传代;每周换液2-3次。;细胞生长特性:贴壁或悬浮,详见细胞说明书部分;细胞形态特性:详见细胞说明书;相关细胞有:PLA 802Cells、CCD 966 SKCells、Hi-five细胞

MDA361Cells;细胞背景资料:该细胞源自40岁女性乳腺癌的脑转移组织。;细胞传代方法: 1:2—1:6传代,每周换液2—3次;细胞生长特性:松散贴壁生长;细胞形态特性:上皮细胞样;相关细胞有:HCC0038Cells、RCC 786-OCells、QG56细胞

OCI-Ly7Cells;细胞背景资料:弥漫大B淋巴瘤;男性;细胞传代方法:1:2-1:3传代;每周换液2-3次。;细胞生长特性:悬浮;细胞形态特性:详见细胞说明书;相关细胞有:NRK 49FCells、HFT 8810Cells、PC-2 [Human pancreatic carcinoma]细胞

Panc 4.03Cells;细胞背景资料:详见相关文献介绍;细胞传代方法:1:2传代;细胞生长特性:贴壁生长;细胞形态特性:上皮样;相关细胞有:WEHI-3Cells、RTECells、NCI-H2452细胞

H-1944Cells;细胞背景资料:详见相关文献介绍;细胞传代方法:1:3—1:6传代,每周换液2—3次;细胞生长特性:贴壁生长;细胞形态特性:上皮细胞样;相关细胞有:SNB.19Cells、H-35Cells、Rat 2细胞

COLO 357Cells;细胞背景资料:胰腺癌;女性;细胞传代方法:1:2-1:3传代;每周换液2-3次。;细胞生长特性:贴壁;细胞形态特性:详见细胞说明书;相关细胞有:MB-49Cells、PC 61-5-3Cells、AR42J细胞

"


H4-II-E Cells|大鼠肝克隆细;

公司简介

上海冠导生物工程有限公司,先后从ATCC、DSMZ、ECACC、RIKEN、PromoCell、ScienCell、JCRB等国内外细胞库引进细胞2000余株。以此为契机,公司组建了冠导细胞库,我司细胞均由资深细胞培养工程师进行培养。我司可以提供的细胞有:①细胞系②原代细胞③稳转株④耐药株⑤标记细胞⑥细胞配套试剂等。

成立日期 (11年)
注册资本 100万(元)
员工人数 50-100人
年营业额 ¥ 1000万-5000万
经营模式 工厂,试剂,定制,服务
主营行业 细胞培养,微生物学,细胞生物学

H4-II-E Cells|大鼠肝克隆细胞相关厂家报价

  • H4IIE细胞
  • H4IIE细胞
  • 吉奥蓝图(广东)生命科学技术中心 VIP
  • 2026-04-17
  • 询价
内容声明
拨打电话 立即询价