基本信息 产品详情 公司简介 推荐产品
网站主页 NOZ CELLS|人胆囊癌贴壁细胞 NOZ Cells(赠送Str鉴定报告)|人胆囊癌细胞
  • NOZ Cells(赠送Str鉴定报告)|人胆囊癌细胞

NOZ Cells(赠送Str鉴定报告)|人胆囊癌细胞

NOZ Cells
询价 1000000细胞数 起订
2000000细胞数 起订
上海 更新日期:2026-04-13

上海冠导生物工程有限公司

VIP6年
联系人:全经理
电话:18818239863拨打
邮箱:3171921642@qq.com

产品详情:

中文名称:
NOZ Cells(赠送Str鉴定报告)|人胆囊癌细胞
英文名称:
NOZ Cells
保存条件:
常温培养或液氮冻存
纯度规格:
NOZ Cells(赠送Str鉴定报告)|人胆囊癌细胞
产品类别:
生物试剂

"NOZ Cells(赠送Str鉴定报告)|人胆囊癌细胞

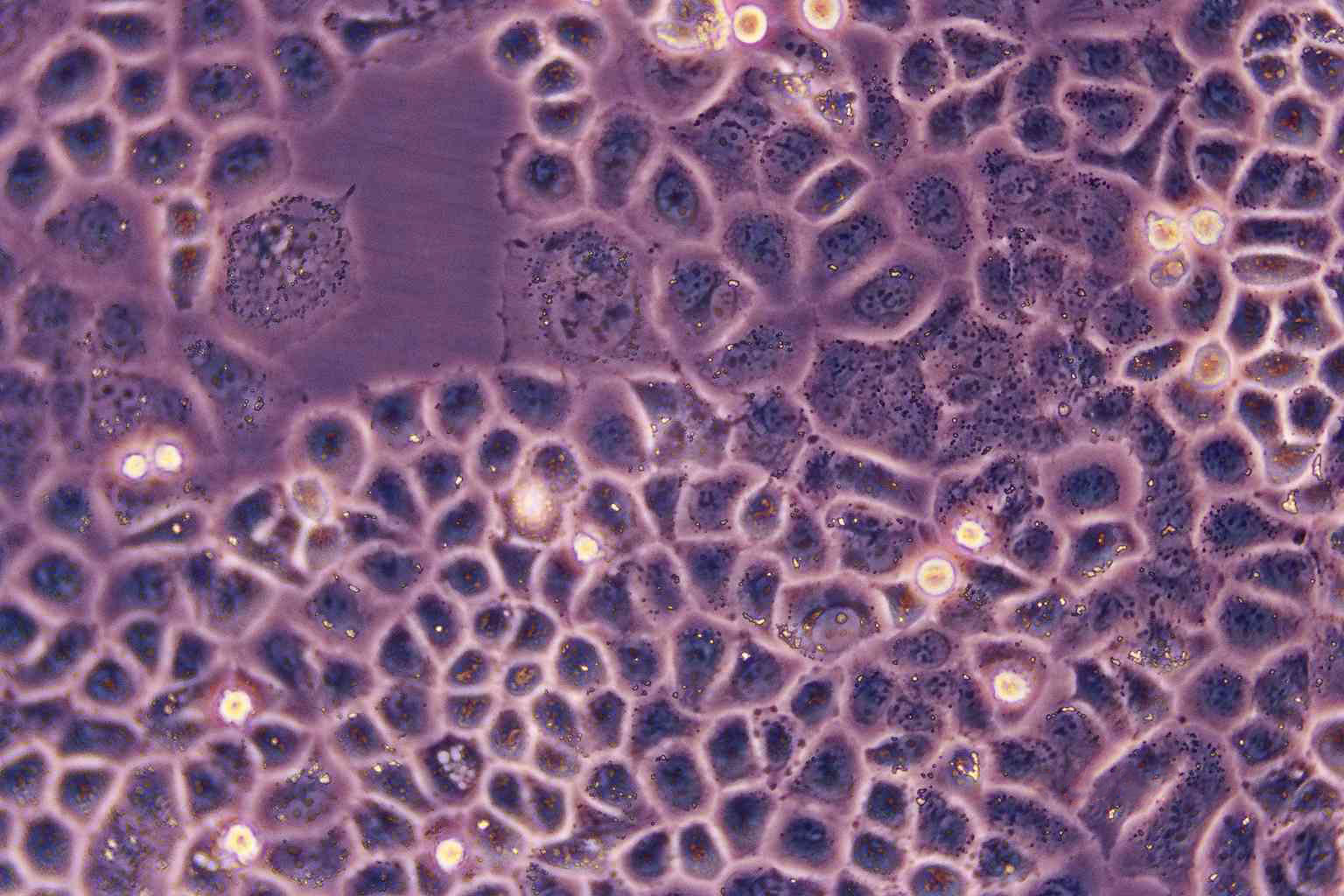
细胞背景资料:患者有癌性腹膜炎。细胞为中等分化的管状胆囊癌。会分泌AFP和CEA。倍增时间48小时,板植率14-19%。细胞可在裸鼠中成瘤,形态与原发肿瘤相似。

细胞形态:上皮细胞样

【细胞培养中细菌、霉菌的污染情况总结】细菌:细菌在普通倒置显微镜下为黑色细沙状,根据感染细菌的不同,可有不同的外形,培养液一般会浑浊变黄,对细胞生长影响明显。仔细检查一下器皿的灭菌情况,是否在GAO压灭菌时放气时间足够,压力足够!尤其是和储存培养液接触的移液管等物品,连续两次污染的话有可能造成储存液污染,一定要注意!下次使用前检查一下培养液是否存在浑浊的现象!可在培养液中加相应的抗生素处理;霉菌:培养液是清亮的,倒置显微镜下无杂质,37度孵箱培养2-3天,仍清亮,但出现絮状杂质,镜下可见呈细丝状的团状漂浮物,可看到明显的菌丝,细胞仍可生长,但时间长之后,细胞的活力状态变差,用酸铜溶液擦拭CO2孵箱内,再把水盘里也加上饱和量的酸铜。或者在培养箱的托盘加入饱和的消毒二钠GAO盐液体,可以防止霉菌污染。CO2孵箱被霉菌污染后,可把所有细胞暂时转移,采用擦洗孵箱(包括隔板,箱壁)。并把放置在孵箱内一个小时,使其蒸汽弥漫。待的气味消散后,再移入细胞。孵箱应定期清洁(2月左右),尤其在多雨的季节。其它培养箱清洗方法是:用84液擦洗-清水擦洗-75%酒精擦洗-紫外灯照。预防霉菌污染,可在培养基里加3u/ml的两性霉素或制霉菌素或D或双抗;但细胞一旦污染,很难挽救,制霉菌素或D或双抗都于事无补,建议舍弃该污染细胞,将环境彻底消毒,如果所有细胞都污染,可能是系统污染,检查一下培养基和器材,如果只是个别污染,可能是操作问题,就要注意操作。

细胞生长:贴壁

H2171细胞类似产品::LS513细胞、293T/17细胞、HSC-4细胞

HCCC-9810细胞类似产品::ES2细胞、CAL-148细胞、MDA-MB-231细胞

MDAMB435S细胞类似产品::Caco-2/BBe 1细胞、TOV21细胞、NCI-SNU-520细胞

NCI-H2122细胞类似产品::R1610细胞、U-CH1细胞、HFL1细胞

MHCC-97细胞类似产品::U-343细胞、LL2细胞、PTK-1细胞

NOZ Cells(赠送Str鉴定报告)|人胆囊癌细胞

细胞物种来源:人源或鼠源等其它物种来源

[细胞产品包装]鲜活细胞:T25培养瓶(一瓶)或冻存细胞:1ml冻存管(两支)

在细胞培养过程中会出现这样或那样的问题,客户遇到的问题从细胞生长角度来说,针对细胞培养过程中生长不HAO、甚至死亡的原因,我们做以下分析并提出相对应的解决方法。一、培养细胞生长不HAO》可能原因:细胞本身的状态》1)细胞传代次数多,细胞老化;2)细胞的接种量:接种量过低,细胞生长缓慢;3)细胞传代时间过晚:细胞中毒,影响传代后的细胞生长;4)胰酶消化时间过长或过短:时间过长,细胞死亡;时间过短,细胞未完全分离而成团,细胞死亡;5)细胞的冻存与复苏:慢冻速融。污染:1)支原体污染;2)霉菌污染;培养基或血清:1)更换血清或培养基之前未进行验证;2)选择的培养基是否合适;3)培养基配制是否准确无误;培养环境:1)CO2供应是否正常;2)培养箱或摇床温度控制是否正确;解决方法:根据以上四个方面的可能原因,做出针对性的解决方案》1)注意细胞的本身状态:如传代次数、接种量等;2)避免产生污染(用正规、合法、可溯源的血清);3)要用合适的血清或培养基,ZuiHAO经过验证;4)注意实验室的环境;二、培养细胞死亡》可能原因:1)培养箱内无CO2;2)培养箱内温度波动太大;3)细胞冻存或复苏过程中损伤;4)培养液渗透压不正确;5)培养液中有毒代谢产物堆积;解决方法:1)检测培养箱内CO2;2)检查培养箱内温度;3)取新的保存细胞种;4)检测培养液渗透压;5)换入新鲜培养液。

细胞传代方法:1:2-1:3传代;每周换液2-3次。

RPVSMC细胞类似产品::SUM-149细胞、NCI-H1651细胞、NCIH1975细胞

RN-c细胞类似产品::BSC-1细胞、X63细胞、NTERA-2细胞

NCIH1703细胞类似产品::NK-10A细胞、Hs 683细胞、A-172MG细胞

DU145细胞类似产品::RKN细胞、Mc Coy细胞、1.1B4细胞

P30-OHKUBO细胞类似产品::BALB/3T3 (clone A31)细胞、SW13细胞、Renal Carcinoma细胞

细胞来源说明:来源于RCB、ATCC、KCLB、DSMZ、ECACC、INCell、ScienCell、ECACC、JCRB、Asterand、ICLC等知名细胞库

NOZ Cells(赠送Str鉴定报告)|人胆囊癌细胞

细胞生长特性:贴壁

Ketr3细胞类似产品::HRA19细胞、VE细胞、RPMI7666细胞

OCIAML4细胞类似产品::NG10815细胞、A2780/Taxol细胞、3T3 clone A31细胞

MDA330细胞类似产品::Pt K2细胞、PG [Human lung carcinoma]细胞、ROS-17/2.8细胞

WM-451Lu细胞类似产品::MD Anderson-Metastatic Breast-453细胞、H-1666细胞、LN-18细胞

CCLP-1细胞类似产品::NPC-TW-039细胞、CORL51细胞、A20细胞

P3JHR-1细胞类似产品::SV40-MES13细胞、NCI-H920细胞、SKNBE细胞

细胞接收后的操作流程与注意事项:1)如果细胞为贴壁细胞,而收到时呈悬浮或者部分悬浮的状态,请将悬浮的细胞即时离心,加15%血清的完全培养基到新的培养皿/瓶继续培养3天;同时原培养瓶中剩下的贴壁细胞更换为15%血清的完全培养基培养3天。3天后若原瓶或者新瓶中的细胞都没有出现增值而是继续脱落死亡,请及时联系实验室技术人员会跟进解决;2)贴壁细胞生长缓慢;适当提GAO血清浓度(ZuiGAO不能超过20%),或可根据该细胞生长密度,考虑胰酶消化后,转移到新的培养瓶继续培养;3)生长不均:贴壁细胞若出现分布不均,成岛状生长,可将细胞进行消化,重悬打散细胞,加入新鲜培养基进行培养。

细胞复苏相关注意事项:1.取细胞的过程中注意带HAO防冻手套,护目镜。此项尤为重要,细胞冻存管可能漏入液氮,解冻时冻存管中的气温急剧上升,可导致爆炸。2.冻存液的问题:冻存液的配置已是常识,在这里不作详述,但二甲基亚砜(DMSO )对细胞不是完全无毒副作用,在常温下,二甲基亚砜对细胞的毒副作较大,因此,必须在1-2min内使冻存液完全融化。如果复苏温度太慢,会造成细胞的损伤,二甲基亚砜(DMSO)ZuiHAO选择进口产品。3.离心前须加入少量培养液。细胞解冻后二甲基亚砜浓度较GAO,注意加入少量培养液可稀释其浓度,以减少对细胞的损伤。4.离心问题:目前主要有两种见解。一种是解冻后的细胞悬液直接吹打均匀后分装到培养瓶中进行培养,第二天换液。因为离心的目的是两个,去除DMSO,去除死细胞,这个是标准流程,但对一般人来说,把握不HAO离心转速和时间,转的不够活细胞沉底的少,细胞就全被扔掉了,转过了活细胞会受压过大,死亡。此外在操作过程中容易污染,所以不推荐。另一种说法为细胞悬液中含有二甲基亚砜(DMSO),DMSO对细胞有一定的毒副作用,所以须将离心后的液体前倒净,且一定倒干净。我在试验中按照常规的离心分装的方法进行复苏,结果无异常。5.细胞贴壁少的问题:教科书中说明冻存细胞解冻时1ml细胞液要加10ml-15ml培养液,而在我的试验中的经验总结为培养基越少细胞越容易贴附。6.复苏细胞分装的问题:试验中我的经验总结为复苏1管细胞一般可分装到1-2只培养瓶中,分装过多,细胞浓度过低,不利于细胞的贴壁。7.加培养基的量放入问题:这个量的多少的把握主要涉及到的问题DMSO的浓度,从如果你加培养基的太少,那么DMSO的浓度就会比较大,就会影响细胞生长,从以前的资料来看,DMSO的浓度在小于0.5%的时候对一般细胞没有什么影响,还有一个说法是1%。所以如果你的冻存液的浓度是10%DMSO的话那么加10ml以上的培养基就恰HAO稀释到了无害浓度。

SK-MEL-5细胞类似产品::H28细胞、Mel624细胞、NCI-SNU-C1细胞

SKNBE细胞类似产品::PZ-HPV-7细胞、L-132细胞、H-446细胞

hTERT-HPNE细胞类似产品::OVCAR-8/ADR细胞、LUDLU1细胞、Lewis lung carcinoma细胞

16-HBE细胞类似产品::MN60细胞、Transformed Human Liver Epithelial-2细胞、IPLB-Sf21-AE细胞

Dami细胞类似产品::H-1954细胞、SK-NMC细胞、U-138MG细胞

DHL-4细胞类似产品::NTHY-ORI3.1细胞、Panc-813细胞、H2110细胞

HCC-38细胞类似产品::KLM1细胞、KE39细胞、SW-756细胞

MGECs细胞类似产品::SKBR-3细胞、Hs 611.T细胞、QBC(939)细胞

HMEC1细胞类似产品::LTEP-sm 1细胞、PCI-4B细胞、MDA-MB-134 VI细胞

HPAF II细胞类似产品::MD Anderson-Metastatic Breast-134-VI细胞、Caki-1细胞、NUGC2细胞

HCC-1359细胞类似产品::SUM-159PT细胞、NIH:OVCAR-4细胞、Karpas-299细胞

MDA-157细胞类似产品::SJ-RH30细胞、HES [Human embryonic skin fibroblast]细胞、NCIH820细胞

SO-RB50细胞类似产品::U118-MG细胞、NP69SV40T细胞、H-660细胞

MHHCALL2细胞类似产品::SK-MEL-24细胞、Mouse Forestomach Carcinoma细胞、WM35细胞

GM03571细胞类似产品::Fetal Rhesus Kidney-4细胞、HCC-1395细胞、SU86.86细胞

NCI-SNU-1040细胞类似产品::DHL-2细胞、NIE 115细胞、H-1417细胞

NCI-SNU-1040细胞类似产品::DHL-2细胞、NIE 115细胞、H-1417细胞

WM-266-4细胞类似产品::CCD-966SK细胞、T-HSC细胞、MCF-7/ADR-RES细胞

A2780/CP70细胞类似产品::A-375SM细胞、SNU-16细胞、alpha TC1-6细胞

CEMO-1细胞类似产品::HCC-1395细胞、MADB 106细胞、NUGC-3细胞

H1651细胞类似产品::OVSAHO细胞、LC-2-Ad细胞、SkChA1细胞

Gejiu Lung Carcinoma-82细胞类似产品::NCI-H1395细胞、87 MG细胞、OCILY-3细胞

SU-DHL-8细胞类似产品::CII细胞、HMrSV5细胞、MCA38细胞

Jurkat-FHCRC细胞类似产品::SNK-1细胞、SKLMS1细胞、H-508细胞

HOS (TE85, Clone F5)细胞类似产品::JurkatE6-1细胞、HGE细胞、OCI-Ly03细胞

293 EBNA细胞类似产品::Calu 3细胞、SUM159细胞、B 95-8细胞

LWnt-3A细胞类似产品::A549 ATCC细胞、Epstein-Barr-3细胞、DMS 114细胞

IOSE 80细胞类似产品::H2330细胞、NALM-6细胞、FHC细胞

KYSE-30细胞类似产品::95-D细胞、NCTC929细胞、3T3 L1细胞

H1573细胞类似产品::HUT 125细胞、OSK-1细胞、NK-10A细胞

S3-HeLa细胞类似产品::Hi-five细胞、RPTEC/TERT 1细胞、HNTEC细胞

ME 180细胞类似产品::RCM-1 [Human rectum adenocarcinoma]细胞、RD 2细胞、IR 983F细胞

HT1376细胞类似产品::RH30SJ细胞、RL-65细胞、NK62a细胞

HS5细胞类似产品::huH 1细胞、PLB985细胞、COLO829细胞

Colo741细胞类似产品::KYSE-410细胞、EnCa1细胞、TE671细胞

NUGC-4细胞类似产品::WSU-DLCL-2细胞、CF-1 MEF细胞、Be-Wo细胞

MDA.MB.435细胞类似产品::B-cell with DC Morphology细胞、PCI-4.2细胞、Liver-02细胞

293/EBNA-1细胞类似产品::SK_N_FI细胞、Ly3细胞、U2-OS细胞

SU-DHL1细胞类似产品::Hs695细胞、HEC1B细胞、Mono-Mac-6细胞

UPCI-SCC090细胞类似产品::L M (TK-)细胞、Panc 1细胞、NCI.H460细胞

COLO-680N细胞类似产品::HEK-293FT细胞、KP 4细胞、HGSMC细胞

NOZ Cells(赠送Str鉴定报告)|人胆囊癌细胞

MHCC97-H细胞类似产品::Homo sapiens No. 578, tumor cells细胞、RIN m5F细胞、MC3T3-E1(C4)细胞

NCI-H2030细胞类似产品::TK+/- (clone 3.7.2C)细胞、H-2591细胞、BIU-87/Adr细胞

OUMS23细胞类似产品::LA795细胞、WEHI-164细胞、Panc 03.27细胞

MDCK-II细胞类似产品::C-Lu-65细胞、MN-60细胞、HCC94细胞

Chinese Hamster Lung细胞类似产品::H-1568细胞、PNT1-a细胞、COLO-320-DM细胞

SUSM1细胞类似产品::SW 527细胞、KNS-42细胞、Eca109细胞

OVCA-433细胞类似产品::HOS细胞、NCC-IT细胞、Bowes melanoma cells细胞

AgC11x3A细胞类似产品::Cloudman M3细胞、SUM 102细胞、NTera 2/cl.D1细胞

WM115mel细胞类似产品::Panc203细胞、HTori-3.1细胞、UCLA RO-81A-1细胞

KMH-2细胞类似产品::OCI-Ly1细胞、SJRH-30细胞、aTC1 Clone 6细胞

NCI-H2029细胞类似产品::Ku812细胞、P30 OHK细胞、SK-NEP-1细胞

SK-N-BE-2c细胞类似产品::H-1915细胞、Human Foreskin Fibroblast细胞、ABC-1细胞

BEAS-2B细胞类似产品::PA-1细胞、143TK-细胞、HCC0078细胞

786-O RCC细胞类似产品::SMA 560细胞、Murine Carcinoma-38细胞、VK2/E6E7细胞

786-O RCC细胞类似产品::SMA 560细胞、Murine Carcinoma-38细胞、VK2/E6E7细胞

Vertebral Cancer of the Prostate细胞类似产品::CT26.WT细胞、JTC-39细胞、MMVECs细胞

DC2.4细胞类似产品::Psi-2-DAP细胞、PK136细胞、HNSC细胞

Hs 611.T细胞类似产品::PE/CA-PJ34 (clone C12)细胞、P3/X63-Ag8细胞、HPAF/CD18细胞

SKMEL24细胞类似产品::32D clone 3细胞、UMNSAH/DF-1细胞、RGC6细胞

MSB1细胞类似产品::LIPF178C细胞、HGC-27细胞、KPL1细胞

AAV293细胞类似产品::COS1细胞、MLE12细胞、NCIH2171细胞

CT26.CL25细胞类似产品::MDA-435细胞、H-64细胞、H2122细胞

HUC细胞类似产品::FK81细胞、HuT78细胞、OSK-1细胞

A 2780 CP细胞类似产品::SW-620细胞、SKNBE-1细胞、NCI-H1838细胞

VP 229细胞类似产品::COLO-680N细胞、BTI-Tn-5B1-4细胞、UM-UC3细胞

0V-1063细胞类似产品::A2780S细胞、QGY 7701细胞、JB 6细胞

GM03573A细胞类似产品::Panc 5.04细胞、NOMO1细胞、LLC-PK1细胞

L 363细胞类似产品::WEHI 3B细胞、MDCK.2细胞、LU451细胞

CCRF/CEM/0细胞类似产品::H9c2(2-1)细胞、HCC-1419细胞、H661细胞

NCIH1648细胞类似产品::NRK-49F细胞、Hs343T细胞、NS-1细胞

Line 697细胞类似产品::HUT 226细胞、L-cells细胞、HeLa-S3细胞

H2030细胞类似产品::Molm14细胞、CALU1细胞、L 1210细胞

NBLAN5T细胞类似产品::KFB细胞、HEL-299细胞、CEK细胞

LM2-4175细胞类似产品::Spodoptera frugiperda clone 9细胞、MHCC97细胞、T-98G细胞

TC7细胞类似产品::KMBC细胞、LC2/Ad细胞、A-72细胞

RDES细胞类似产品::RC-4B/C细胞、CD 18细胞、BT 549细胞

hTERT-RPE细胞类似产品::NPA'87细胞、MEG-01细胞、Adeno-293细胞

Hepatoma-22细胞类似产品::NCI.H522细胞、Colo320细胞、B-104细胞

OCI-AML4细胞类似产品::HCC-94细胞、F36P细胞、Colo320细胞

WEHI-231细胞类似产品::NCI-H2170细胞、CCC-HPF-1细胞、SW-900细胞

Hs-688A-T细胞类似产品::LNCaP.FGC细胞、ANA1细胞、HTR-8/SV-neo细胞

Duck embryo细胞类似产品::ECC12细胞、SCLC21H细胞、Sp 2817细胞

LN 229细胞类似产品::RBMVEC细胞、SUM 52PE细胞、COLO-679细胞

H-87细胞类似产品::Panc813细胞、Karpas299细胞、ZR75-30细胞

SUD6细胞类似产品::NCI-H1623细胞、RCS细胞、Walker-256-TC细胞

NCI-H102细胞类似产品::KHYG1细胞、B/C3T3细胞、WIL2 S细胞

H-711细胞类似产品::GM03570细胞、SNK1细胞、NIT-1细胞

BNL.CL2细胞类似产品::TFK-1细胞、MA-104细胞、NCIH244细胞

HEC-1-B细胞类似产品::QBC939细胞、BrCL15细胞、KP-4细胞

MCA-205细胞类似产品::HEK-293 c18细胞、NCI-SNU-1040细胞、Nb2a细胞

NK-92 MI细胞类似产品::H2291细胞、GP293细胞、BE(2)M17细胞

V79-4细胞类似产品::LAN5细胞、Tissue Culture-1细胞、HPAFII细胞

UCLA-SO-M21细胞类似产品::NK92MI细胞、STO细胞、MV-3细胞

T/G HA-VSMC细胞类似产品::OVCAR-433细胞、PLC/PRF5细胞、NCI-H1563细胞

A 172细胞类似产品::A427细胞、BEAS2B细胞、Tissue Culture-1细胞

BC3H1细胞类似产品::T9细胞、OC 316细胞、NS-20Y细胞

Chinese Hamster Lung细胞类似产品::H-1568细胞、PNT1-a细胞、COLO-320-DM细胞

H-441细胞类似产品::769-P细胞、OVCAR 5细胞、SUM-190PT细胞

DMS-79细胞类似产品::U031细胞、AM38细胞、UMUC1细胞

MRC 5细胞类似产品::BE2-C细胞、PE CA PJ34细胞、RC-4B细胞

Meat Animal Research Center-145细胞类似产品::Hu-P-T3细胞、CWR22R细胞、CCD-841-CoN细胞

T173细胞类似产品::Hep-G2/C3A细胞、GOS3细胞、SUNE-1细胞

7404细胞类似产品::4-1st细胞、Hs 706.T细胞、Hs 821.T细胞

NIH:OVCAR-5细胞类似产品::Ca9-22细胞、HCT-GEO细胞、Hs870T细胞

GM05372细胞类似产品::J 774A.1细胞、HF-91细胞、FaDu细胞

KTA7细胞类似产品::NuTu-19细胞、M07e细胞、QGY7701细胞

NCI-H1436细胞类似产品::LNCaP FGC细胞、V79细胞、H2087细胞

4T1-LUC细胞类似产品::HEL-92.1.7细胞、BT-325细胞、H650细胞

HO-8910细胞类似产品::H2081细胞、LA-795细胞、SUM159PT细胞

NBL-2细胞类似产品::NPC-039细胞、Farage Original Line细胞、EFM192B细胞

A549-Taxol细胞类似产品::MLM细胞、KYSE410细胞、LNCaP-Clone-FGC细胞

LAD 2细胞类似产品::GC-1细胞、SN4741细胞、Hs 746T细胞

COLO 357细胞类似产品::MB-49细胞、PC 61-5-3细胞、AR42J细胞

RKO细胞类似产品::WM451Lu细胞、SKML-28细胞、HSC(Human Schwann)细胞

AtT20细胞类似产品::U138MG细胞、HS-766T细胞、PA12细胞

BLO 11细胞类似产品::COR-L105细胞、HEK-2细胞、MKN28细胞

TCC-SUP细胞类似产品::NTERA-2/D1细胞、COLO824细胞、SK-RC-20细胞

PE/CA-PJ34 (clone C12)细胞类似产品::MOLT 4细胞、Swiss-3T3细胞、H-2087细胞

SUM-102PT细胞类似产品::MZCRC1细胞、UWB1289细胞、D283细胞

16HBEo-细胞类似产品::NCIH3255细胞、MH7A细胞、aNK细胞

HFL 1细胞类似产品::MIA Paca2细胞、Panc 04.03细胞、HCC-1937细胞

SK-GT-4细胞类似产品::6-10B细胞、H1963细胞、M2-10B4细胞

CEM clone 7细胞类似产品::NKM-1细胞、BTI-TN5B1-4细胞、SW-620细胞

D10.G4.1细胞类似产品::CHP-126细胞、QGY-7703细胞、MDA-MB157细胞

PC-3M-1E8细胞类似产品::OVCAR-4细胞、ARH 77细胞、QBI-293A细胞

H650细胞类似产品::K1细胞、SK HEP 01细胞、RLE-6TN细胞

Human Microglia Clone 3细胞类似产品::HCC2108细胞、SCL2细胞、32Dcl3细胞

LLC-MK2细胞类似产品::Primary Liver Carcinoma/Poliomyelitis Research Foundation/5细胞、PC3细胞、L-M (TK-)细胞

OCI-Ly7细胞类似产品::NRK 49F细胞、HFT 8810细胞、PC-2 [Human pancreatic carcinoma]细胞

U-251-MG细胞类似产品::SW-962细胞、RPTEC TERT1细胞、Hs840T细胞

NCI-H1155细胞类似产品::H-146细胞、MDCK-II细胞、RSMC细胞

OCI-LY-3细胞类似产品::MEC-1细胞、SKml2细胞、HIT细胞

Sp 2817细胞类似产品::RPMI1846细胞、OUMS27细胞、NCI-BL6细胞

H748细胞类似产品::MJ细胞、H-2009细胞、CAL 27细胞

SNU449细胞类似产品::BNL 1MEA.7R.1细胞、NCI-H1975细胞、HUC-1细胞

C32-mel细胞类似产品::GLAG-66细胞、huH 1细胞、WEHI-279细胞

SKHEP-1细胞类似产品::SNT-8细胞、NCI-H1436细胞、Human Microvascular Endothelial Cell line-1细胞

SK-Mel1细胞类似产品::PC-3M-2B4细胞、OVCAR-433细胞、Ketr3细胞

ZR75-30细胞类似产品::NCI-H1522细胞、SCC VII细胞、HEC1-B细胞

HO8910/PM细胞类似产品::Bac12F5细胞、U-118-MG细胞、MUS-M1细胞

H1666细胞类似产品::Hs 888.Lu细胞、H-2122细胞、LA795细胞

Strain KB细胞类似产品::6-T CEM细胞、RPMI 8226细胞、H-1792细胞

NCI-157细胞类似产品::KP-N-RT细胞、NCIH378细胞、HCC0038细胞

NCI.H460细胞类似产品::THP-1(ATCC)细胞、Hu-P-T3细胞、GM05887细胞

RPMI-6666细胞类似产品::SKG3A细胞、SKGT2细胞、Simpson细胞

HT-1197细胞类似产品::766T细胞、RD-2细胞、PBMC细胞

WERI Rb-1细胞类似产品::SUM 52PE细胞、Lewis Lung Cancer细胞、MDA330细胞

COLO-684细胞类似产品::DMS 273细胞、NCI-SNU-668细胞、Hs852细胞

NR-8383细胞类似产品::SU4细胞、NK92细胞、HFL 1细胞

Chang Cells细胞类似产品::Z138细胞、G-361细胞、KYSE450细胞

W133细胞类似产品::HN 4细胞、UPCISCC090细胞、Sp2/0细胞

343MG细胞类似产品::Fox/NY细胞、ECC-12细胞、BCP-1细胞

FAO-1细胞类似产品::LS 174 T细胞、CORL23细胞、NCI-H2330细胞

GDM1细胞类似产品::Jurkat-FHCRC细胞、WPMY-1细胞、MKN-1细胞

GDM1细胞类似产品::Jurkat-FHCRC细胞、WPMY-1细胞、MKN-1细胞

H341细胞类似产品::MTEC1细胞、Radiation Effects Research Foundation-Lung Cancer-MS细胞、MDAMB435细胞

Baby Hamster Kidney from litter No. 21细胞类似产品::PCI-4B细胞、KATO III细胞、GFP-Olig2细胞

U-251 MG细胞类似产品::AML-EOL-1细胞、AMO1细胞、PC615.3细胞

HPAF-I细胞类似产品::KM.12细胞、HC11 Mammary Epithelium细胞、Hs 832(C).T细胞

NOZ Cells(赠送Str鉴定报告)|人胆囊癌细胞

NCI-H508细胞类似产品::293-H细胞、NCI660细胞、JVM3细胞

HcaF细胞类似产品::H8细胞、YD-15细胞、RT-112细胞

A-172MG细胞类似产品::HLEpiC细胞、SKG IIIa细胞、MD Anderson-Metastatic Breast-361细胞

B-3细胞类似产品::COLO-738细胞、Hs578Bst细胞、H-2452细胞

LS 123细胞类似产品::LS1034细胞、GRSL细胞、YTMLC-90细胞

K-562细胞类似产品::GFP-Olig2细胞、Colo205细胞、H3255细胞

MD Anderson-Metastatic Breast-435细胞类似产品::LNCaP-FGC细胞、HOC-1细胞、CMT-64细胞

S3 HeLa细胞类似产品::MDA-MB 231细胞、MPVECs细胞、Melan-a细胞

BT483细胞类似产品::SN-12C细胞、RPMI8226/S细胞、NCI-H1648细胞

STTG1细胞类似产品::QGY 7701细胞、LNCaP-Clone-FGC细胞、SKRC20细胞

HCT/FU细胞类似产品::Hs 27细胞、Panc-1-P细胞、HUVSMC细胞

LTPA细胞类似产品::NCIH244细胞、HT-55细胞、NCIH1299细胞

NALM-6细胞类似产品::RCCJF细胞、NIH:OVCAR3细胞、MCF.7细胞

Baby Hamster Kidney 21细胞类似产品::H2087细胞、DHBE细胞、H520细胞

Baby Hamster Kidney 21细胞类似产品::H2087细胞、DHBE细胞、H520细胞

KY-50细胞类似产品::CL MC/9细胞、NCI-SNU-407细胞、Hs 606细胞

JURKAT E-61细胞类似产品::MT-4细胞、WM-2664细胞、HNEpC细胞

UCLA-SO-M20细胞类似产品::HCC-2935细胞、Henrietta Lacks cells细胞、BC-3H-1细胞

BHK 21细胞类似产品::NBL-1细胞、LLC细胞、HUVEC细胞

Ramos 2G6.4C10细胞类似产品::NSI/1-Ag4-1细胞、Hx147细胞、no.11细胞

NCI-H841细胞类似产品::BNL.1ME A.7R.1细胞、NOZAWA细胞、Colo16细胞

kms 11细胞类似产品::Hopkins-92细胞、293-EBNA1细胞、H-1155细胞

Caco-2/ATCC细胞类似产品::NCI-H1944细胞、R D细胞、SUD4细胞

UMUC-14细胞类似产品::HCAEC细胞、NS-20Y细胞、CTLL2细胞

OVCAR.4细胞类似产品::CCRF/CEM细胞、BeWo细胞、MDCC MSB1细胞

WI38细胞类似产品::NCIH748细胞、WC00059细胞、CCRF/CEM-C7细胞

LAN6细胞类似产品::TE-8细胞、AD-293细胞、U373细胞

NCI-H441-4细胞类似产品::H1975细胞、BNL.1ME A.7R.1细胞、Human Corneal Endothelial Cells-12细胞

IM-9细胞类似产品::SW948细胞、CCC-HPF-1细胞、NCI-H1954细胞

HCMEC细胞类似产品::C4-2B细胞、SUD6细胞、R2C细胞

hTERTHME1细胞类似产品::SK-MEL-3细胞、Bovine Turbinate细胞、RKOAS451细胞

C4-I细胞类似产品::TOV21G细胞、GMK,BSC-1细胞、WSUDLCL2细胞

"



NOZ Cells(赠送Str鉴定报告);

公司简介

上海冠导生物工程有限公司,先后从ATCC、DSMZ、ECACC、RIKEN、PromoCell、ScienCell、JCRB等国内外细胞库引进细胞2000余株。以此为契机,公司组建了冠导细胞库,我司细胞均由资深细胞培养工程师进行培养。我司可以提供的细胞有:①细胞系②原代细胞③稳转株④耐药株⑤标记细胞⑥细胞配套试剂等。

成立日期 (11年)
注册资本 100万(元)
员工人数 50-100人
年营业额 ¥ 1000万-5000万
经营模式 工厂,试剂,定制,服务
主营行业 细胞培养,微生物学,细胞生物学

NOZ Cells(赠送Str鉴定报告)|人胆囊癌细胞相关厂家报价

内容声明
拨打电话 立即询价