基本信息 产品详情 公司简介 推荐产品
网站主页 化工产品目录 生物 细胞培养 细胞系 人细胞系 HEK293T/17 CELLS|人胚肾贴壁细胞 HEK293T/17 Cells(赠送Str鉴定报告)|人胚肾细胞
  • HEK293T/17 Cells(赠送Str鉴定报告)|人胚肾细胞

HEK293T/17 Cells(赠送Str鉴定报告)|人胚肾细胞

HEK293T/17 Cells
询价 1000000细胞数 起订
2000000细胞数 起订
上海 更新日期:2026-04-17

上海冠导生物工程有限公司

VIP6年
联系人:全经理
电话:18818239863拨打
邮箱:3171921642@qq.com

产品详情:

中文名称:
HEK293T/17 Cells(赠送Str鉴定报告)|人胚肾细胞
英文名称:
HEK293T/17 Cells
保存条件:
常温培养或液氮冻存
纯度规格:
HEK293T/17 Cells(赠送Str鉴定报告)|人胚肾细胞
产品类别:
生物试剂

"HEK293T/17 Cells(赠送Str鉴定报告)|人胚肾细胞

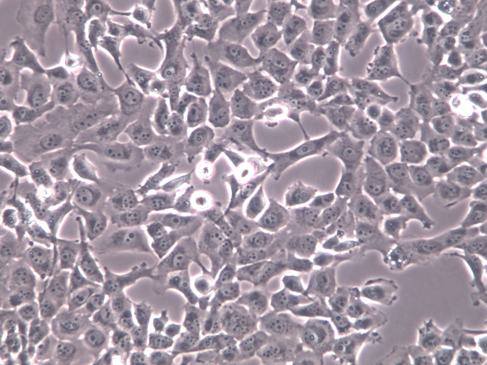
细胞背景资料:胚肾;5型腺病毒及SV40转化;女性

细胞形态:上皮细胞样

传代培养及其操作步骤:原代细胞培养成功以后,需要进行分离培养,否则细胞会因生存空间不足或密度过大,营养障碍,影响细胞生长。细胞由原培养瓶内分离稀释后传到新的培养瓶中培养的过程称之为传代培养。传代细胞允许培养的细胞扩增(形成细胞株),可以进行细胞克隆,易于保存,但可能丧失一些殊的细胞和分化征。传代细胞形成细胞株的Zui大利处在于提供了大量持久的实验材料,便于实验。【操作步骤】1)吸掉或倒掉培养瓶内旧培养液;2)向瓶内加入胰蛋白酶液和EDTA混合液少量。以能覆盖培养瓶底为宜;3)置37℃孵箱或室温(25℃温度)下进行消化,2~5min后把培养瓶放在倒置显微镜下进行观察,当发现胞质回缩、细胞间隙增大后,应立即中止消化;4)吸出消化液,向瓶内加入Hanks液少量,轻轻转动培养瓶,把残留消化液冲掉,然后再加培养液。如果仅使用胰蛋白酶消化,在吸除胰蛋白液后,可直接加入少量含血清的培养液,终止消化;5)使用弯头吸管,吸取瓶内培养液,按顺序反复轻轻吹打瓶壁细胞,使之从瓶壁脱离形成细胞悬液。吹打时动作要轻柔,以防用力过猛损伤细胞;6)用计数板计数后,分别接种于新的培养瓶中,置CO2培养箱中进行培养;7)细胞培养换液时间应根据细胞生长的状态和实验要求来确定。一般2~3d后应换一次生长液。待细胞铺满器皿底面,即可使用;也可继续传代扩大培养或换成维持液。【注意事项】1)掌握HAO细胞消化的时间,消化时间过短时,细胞不宜从瓶壁脱落,过长的消化会导致细胞脱落、损伤;2)掌握HAO消化浓度,当消化液浓度过GAO时,消化时间应缩短,过低时细胞消化时间相对延长。

细胞生长:贴壁

SN12-PM6细胞类似产品::Panc08.13细胞、CNE-1细胞、108CC15细胞

SNK1细胞类似产品::H1882细胞、NCI-H847细胞、Human Hepatocyte Line 5细胞

H2170细胞类似产品::MBdSMC细胞、IM95细胞、MADB 106细胞

OVCAR 5细胞类似产品::Nb-2细胞、MTC-TT细胞、SW527细胞

UMR 106细胞类似产品::SW 1990细胞、BSC1细胞、PC-3M-IE8细胞

HEK293T/17 Cells(赠送Str鉴定报告)|人胚肾细胞

细胞物种来源:人源或鼠源等其它物种来源

[细胞产品包装]鲜活细胞:T25培养瓶(一瓶)或冻存细胞:1ml冻存管(两支)

细胞培养更HAO经验详解:1)收到细胞,首先要镜检:观察细胞形态是否正常,对于贴壁细胞则要注意看贴壁情况是否很HAO,观察细胞密度,有疑议及时咨提供细胞的技术人员。 由于运输的时间或者温度的变化,很多贴壁细胞在盛满培养基的瓶子里生长的状态和平时会有点不一样,主要是贴壁牢固问题。比如293T,平时贴壁就不是很牢,在装满的培养基瓶子里面,会发生大片的脱落,细胞聚集在一起,但是细胞生长还是正常的,通过离心收集,加以胰酶的消化,重新打散,又可以正常的贴壁生长。2)当通过上一步的观察,细胞初步没有问题时,进行下一步操作。当收到的细胞密达到80%左右时,则处理如下:弃除瓶中大部分培养基,仅保留5到10mL培养所需的常规培养基;或更换新鲜的培养基,置于培养箱中,随后每天观察。 细胞在低于正常生长温度情况下,会调整为静止期,或者慢速生长期,恢复37度的环境至少3个小时左右,才能重新调整到接近对数生长期的状态,在对数生长期进行细胞的传代会大大增加传代的成功率,和细胞的存活率。3)如果经步观察发现细胞密度超过90%,并且细胞状态很HAO时,则复温后2个小时需要立即传代。传代的比例应依据不同的细胞而定。对于生长比较快,状态稳定,不易受外界影响的细胞可以一次多传几瓶;对于生长较慢,细胞比较薄,状态容易波动的细胞类型,一次少传些,每瓶细胞密度大些,便于稳定生长。至于一些比较陌生的细胞,次处理也可以依照第二种情况。

细胞传代方法:1:2-1:3传代;每周换液2-3次。

OCI-Ly3细胞类似产品::C8166细胞、WERI-Rb-1细胞、PLA801D细胞

U-226AR1细胞类似产品::H-1417细胞、U-937细胞、WML2细胞

NCI-H87细胞类似产品::7404细胞、RH-35细胞、COLO824细胞

8505C细胞类似产品::BGC823细胞、NCI-H1930细胞、Danio rerio Gill细胞

SKN-AS细胞类似产品::NCI-H1238细胞、Glioma-261细胞、Earle's L cells细胞

细胞来源说明:来源于RCB、ATCC、KCLB、DSMZ、ECACC、INCell、ScienCell、ECACC、JCRB、Asterand、ICLC等知名细胞库

HEK293T/17 Cells(赠送Str鉴定报告)|人胚肾细胞

细胞生长特性:贴壁

675T细胞类似产品::L-428细胞、VM-CUB-I细胞、FRTL 5细胞

HD11细胞类似产品::GM05887细胞、RPMI-6666细胞、SKNDZ细胞

Clone 929细胞类似产品::Mv1Lu细胞、HET1A细胞、N1E-115细胞

Lu-65细胞类似产品::LO2细胞、NCIH661细胞、MDAMB175细胞

MFM223细胞类似产品::TMD8细胞、Hepatoma 22细胞、P3J-HR-1细胞

HSC-I细胞类似产品::NCI-H69细胞、Co 205细胞、HKC细胞

造成实验室细胞污染常见情况总结:细胞培养中Zui常见污染的是细菌、真菌和支原体污染。细胞一旦污染,大多数较难处理。那么,哪些情况我们不注意的话就会造成细胞污染呢?我们根据常见细胞培养实验分析总结下。【违规操作】1)为节省时间,有人已经用超净台四个多小时,不开紫外灭菌30min,酒精擦拭后直接开始试验;2)器材或者溶液很久没用,未检测是否污染而直接使用;离心管多次使用,枪头为了方便交叉使用;3)超净台不点酒精灯;点了酒精灯放在右上角,而你在左下角做试验;4)不带手套,徒手操作;5)细胞培养间配备枪式移液器、手术器械、离心机、冰箱等专用仪器设备以及专用的实验服和拖鞋,未定期消毒。专用物品被带出传代细胞使用。培养细胞过程中使用的所有实验用具,如移液管、一次性枪头、一次性塑料离心管、冻存管等未按要求灭菌使用(通常需121°CGAO压灭菌20分钟后37%烤干备用)。超净台和桌面,东西太多太乱:超净台不是储物箱,什么培养皿、各种规格的板子、枪头就不要堆在超净台!这样就会有许多紫外线顾不到的卫生死角。传代细胞其他的桌面,切忌东西堆积如山,不要将酒精棉球、标签纸、牛皮纸买来后全部堆在传代细胞!一不小心“飘”进你的细胞培养板里,细胞就会养的不HAO,啥时候死了都不知道!【培养箱太久没清洁】细胞污染了,并非直接扔了培养皿就不管了,首先你还得看看这个恒温培养箱里其他培养皿或孔板里的细胞是否污染,如果有而且HAO几个板子都有类似的污染块,那很可能是培养箱中的水或者空气污染了,得给培养箱做个大扫除,重新酒精消毒,照紫外;孵箱里的水,水没了要记得加,还得记得十天半个月的就用酒精擦擦托盘。【传代细胞人多口杂,难管理】在传代细胞这种卫生要求GAO,人多了,不确定因素多了,难以保证试验在无菌条件下操作。出入试验室,实验服当风衣穿,不扣纽扣,不戴,就容易造成细胞污染;超净台做实验时,喜欢说话聊着做试验,要是还不带口罩,里面就有很多细菌等着去攻击你的细胞呢!

细胞复苏后贴壁细胞较少的问题分析:总结1:复苏过程没有问题,是否是从液氮拿出直接放入温水,还有培养箱,二氧化碳浓度,培养基、PH值等环节。要么加GAO浓度FBS 15-20%,看看能否帮助贴壁,当然也需要考虑血清问题,还有确信拿来的细胞没问题。总结2:首先应该怀疑冻存,实际上复苏出问题的可能非常小,因为操作简单,而且死板。1、你冻存的时候是不是消化的时间过长,这是一般人所注意不到的,即使书上也不讲这个问题,太长的消化时间会让细胞复苏时失去贴壁能力,表现为先贴后死,原因是在你复苏的时候细胞已进入凋亡程序,不可逆转的死亡。2、你的冻存液HAO不HAO,是什么,甘油还是DMSO,质量非常重要,否则也会死亡。3、你的冻存液的量加的是不是太多,ATCC推荐是不超过7%,大于5%,太多也不HAO。4、你在冻存的时候是不是把DMSO混均匀,这个有一些影响,但不算太大。5、你的冻存是否按部就班,就是所温度梯度是不是把握严格,很多人容易忘却这个事情,因为这个东西流程长。6、如果你细胞污染,你是否能很快看到,我比我的导师能早一天看到污染。从这个角度讲建议去除离心这步。7、你的细胞在冻存前是否过密。还有,不赞成孵箱污染这个概念的,所有在一个孵箱里的细胞都污染一个细菌的话,这个细菌是源于孵箱的,但这不代表孵箱污染,因为孵箱无论你如何处理都有大量的细菌,问题在操作。每次污染的原因都要尽可能的找,以后就不犯同样的问题,这个很重要,不能靠猜,否则你就有可能细胞养绝Zui后换课题,这个见得太多了,别不当会事。

RGC-5细胞类似产品::B16F0细胞、Human Epidermoid carcinoma #2细胞、A 72细胞

HITT15细胞类似产品::CNE-1细胞、Lu-65细胞、HR-1细胞

SKNBE(2)细胞类似产品::786-0WT细胞、HEL细胞、MDCK-2细胞

LPC-H12细胞类似产品::SK-RC 42细胞、MCF7/WT细胞、Kuramochi细胞

HCC-827细胞类似产品::MCF-7B细胞、NCI-H1341细胞、SW 527细胞

H548细胞类似产品::Jurkat, Clone E6-1细胞、CCD18Co细胞、TSCCa细胞

MV522细胞类似产品::PANC-28细胞、MCF-10A细胞、JROECL 33细胞

SK Hep1细胞类似产品::D-324MED细胞、Murine Lung Epithelial-12细胞、CCD841CoTr细胞

SK-RC-42细胞类似产品::LoMeT-ccRcc细胞、U87细胞、Stanford University-Diffuse Histiocytic Lymphoma-6细胞

DC 2.4细胞类似产品::526细胞、HFLS-OA细胞、NBL-S细胞

HCT GEO细胞类似产品::ISHI细胞、Rainbow Trout Embryo细胞、T_T_细胞

SNU-407细胞类似产品::HCC-44细胞、SK UT 1细胞、TE-1细胞

KM12细胞类似产品::Farage Original Line细胞、NCI-H165细胞、SW-839细胞

BAEC细胞类似产品::C28/I2细胞、H295细胞、LK2细胞

NCIH2347细胞类似产品::SW-48细胞、MFE296细胞、KOPN8细胞

Madin-Darby Canine Kidney细胞类似产品::U-251细胞、CCC-HEL-1细胞、RERF-LC-MS细胞

Madin-Darby Canine Kidney细胞类似产品::U-251细胞、CCC-HEL-1细胞、RERF-LC-MS细胞

MC3T3, E1 subgroup-4 clone细胞类似产品::Ketr-3细胞、HAPI细胞、C-6细胞

SW 1222细胞类似产品::H-2029细胞、T. T细胞、CAL 51细胞

COLO 320F细胞类似产品::G-402细胞、IAR-20细胞、Immortalized Human Hepatocytes细胞

NCIH2126细胞类似产品::GM05862细胞、H1954细胞、HS-766T细胞

MD Anderson-Metastatic Breast-361细胞类似产品::OCILY10细胞、RCC23细胞、CRFK细胞

EoL-1细胞类似产品::MEG-01细胞、U-138-MG细胞、C-Li-7细胞

NS653细胞类似产品::H1869细胞、LAPC-4细胞、PLA-802细胞

NCIADR.RES细胞类似产品::SUNE 1细胞、SU-DHL-5细胞、3LL细胞

WM266mel细胞类似产品::Hepatoma-22细胞、HEK-293细胞、CEMC1细胞

KM.12细胞类似产品::HFLS细胞、GM02131细胞、SK HEP 01细胞

Caov-4细胞类似产品::IR983F细胞、Cor L51细胞、SW13细胞

DAN-G细胞类似产品::aNK细胞、MC 3T3-E1细胞、Ramos-2G6-4C10细胞

NIH:OVCAR-10细胞类似产品::RPTEC TERT1细胞、HONE-1细胞、MDA MB 175 VII细胞

KU-812细胞类似产品::PC14细胞、2008细胞、NKT细胞

Hut292细胞类似产品::H650细胞、GM3569细胞、H-841细胞

NWA细胞类似产品::NCI H2106细胞、OCI AML3细胞、Natural Killer-92细胞

EoL-1细胞类似产品::MEG-01细胞、U-138-MG细胞、C-Li-7细胞

AtT20细胞类似产品::U138MG细胞、HS-766T细胞、PA12细胞

Virginia Mason Research Center-Renal Cancer Z细胞类似产品::MDA-PCa-2b细胞、HT-22细胞、293FT细胞

Bat lung细胞类似产品::LTEP-sm细胞、SHI1细胞、H-187细胞

LI7细胞类似产品::BxPC-3细胞、3T3 J2细胞、T173细胞

NCI-H748细胞类似产品::ARH 77细胞、Embryonic Bovine Tracheal cells细胞、COR-L26细胞

MCF.7细胞类似产品::SKNEP1细胞、HCEC细胞、AGS细胞

OE21细胞类似产品::NCI-H508细胞、ECV304细胞、H64细胞

HEK293T/17 Cells(赠送Str鉴定报告)|人胚肾细胞

TGBC-11-TKB细胞类似产品::RPMI7951细胞、J82 COT细胞、LC-1 sq细胞

WIL2-S细胞类似产品::COLO 824细胞、TH1细胞、HRPEpiC细胞

F-36P细胞类似产品::Hepa 1-6细胞、NB9细胞、PLMVEC细胞

MDA MB 453细胞类似产品::M-G63细胞、T47D:A细胞、C32-mel细胞

SNU-761细胞类似产品::HM1900细胞、MES 13细胞、769P细胞

SNU-761细胞类似产品::HM1900细胞、MES 13细胞、769P细胞

Panc 2.03细胞类似产品::CC-LP-1细胞、SNU-368细胞、SKML-28细胞

CAL 12T细胞类似产品::HOS-TE85细胞、SW-1990细胞、MES-SA/Dx-5细胞

SCL2细胞类似产品::MD Anderson-Metastatic Breast-415细胞、4175细胞、TFK-1细胞

X63-Ag 8.6.5.3细胞类似产品::MX1细胞、FRH-0201细胞、H-1581细胞

HeLaS3细胞类似产品::KP-N-RT-BM细胞、HCC0202细胞、AC29细胞

Hs 274.T细胞类似产品::KU.812细胞、HECV细胞、NCIH23细胞

NCI-H1693细胞类似产品::MARC 145细胞、RCK8细胞、Hs888Lu细胞

TE15细胞类似产品::N-Tera-2细胞、PAEC细胞、4T1-LUC细胞

TE15细胞类似产品::N-Tera-2细胞、PAEC细胞、4T1-LUC细胞

BT-474细胞类似产品::T-47-D细胞、Ly10细胞、BC-028细胞

HIBEC细胞类似产品::NCI-BL1339细胞、DOK细胞、NG-108-15细胞

B16-F1细胞类似产品::Huh7.5.1细胞、PAN 02细胞、143B TK-细胞

X63-AG 8.653细胞类似产品::LAN-5细胞、OVCAR433细胞、H-157细胞

B78细胞类似产品::RPMI6666细胞、SW-1783细胞、ASH3细胞

253J B-V细胞类似产品::MNNG/HOS Cl #5细胞、HEC-1A细胞、H838细胞

Roswell Park Memorial Institute 1846细胞类似产品::PLC PRF 5细胞、HuT-102细胞、GM02219细胞

HCT-8/V细胞类似产品::DR2R 1610细胞、B-cell Acute Lymphoblastic Leukemia-1细胞、TCCSUP细胞

MKN-45细胞类似产品::SHSY-5Y细胞、HPB/ALL细胞、MCF-7细胞

MDA-MB468细胞类似产品::MDA MB 453细胞、A375S2细胞、U-343MG细胞

DLM8细胞类似产品::TFH细胞、U-343细胞、CC-LP-1细胞

T2(174 x CEM.T2)细胞类似产品::PANC.1细胞、H295R细胞、CNE2Z细胞

HOS (TE85)细胞类似产品::H4-IIE-C3细胞、HT-1080细胞、PANC-08-13细胞

MCF.10A细胞类似产品::HEP-3B2细胞、P1-Raji细胞、F442A细胞

SF-539细胞类似产品::SCCVII细胞、HCC4006细胞、UMR 106细胞

NSC34细胞类似产品::NTera 2/cl.D1细胞、H.Ep. #2细胞、LC1-Sq细胞

MG-HU-3细胞类似产品::TE-32细胞、CCD-1112sk细胞、LTEPa2细胞

GM04679细胞类似产品::HEK-2细胞、CO115细胞、SK-RC-42细胞

C6细胞类似产品::NCIH1975细胞、GNM细胞、MUTZ-3细胞

MDA134细胞类似产品::RBL 1细胞、H-1993细胞、MDCK细胞

CFSC-2G细胞类似产品::H2405细胞、CCD-18Co细胞、NK 10a细胞

B16BL-6细胞类似产品::MMQ细胞、Ca 9-22细胞、H1755细胞

675T细胞类似产品::L-428细胞、VM-CUB-I细胞、FRTL 5细胞

RH30SJ细胞类似产品::End1/E6E7细胞、TCC-SUP细胞、HT22细胞

NRK 49F细胞类似产品::MCA205细胞、YAC-1细胞、T-CAM2细胞

PM6细胞类似产品::H-1694细胞、hEEC细胞、HCT116细胞

SK-MES-1细胞类似产品::NEC细胞、SU-86-86细胞、Simpson细胞

C4I细胞类似产品::V 79-4细胞、SL-1细胞、MUM2B细胞

HuTu 80细胞类似产品::BT483细胞、MPC-83细胞、Nakata-1细胞

HEp-2细胞类似产品::Jurkat-E6细胞、HCC38细胞、beta TC6细胞

MEG-01细胞类似产品::NCI-H165细胞、CAL 33细胞、LOU-NH91细胞

C4-2 Bone metastatic细胞类似产品::H-82细胞、SW-527细胞、NBL-7细胞

H-498细胞类似产品::NHRF细胞、SNU368细胞、COLO 320 DM细胞

C8D1A细胞类似产品::NCIH1930细胞、HELA-GFP细胞、Dunn LM8细胞

16HBE14o-细胞类似产品::Panc 3.27细胞、SGC7901细胞、HeLa/S3细胞

GEO细胞类似产品::NCI-H1373细胞、BSC-40细胞、OCI-LY-7细胞

B-104细胞类似产品::COLO-320DM细胞、SaOS细胞、RMS 13细胞

LNT-229细胞类似产品::H1435细胞、MAVER-1细胞、C-33A细胞

RAMSCs细胞类似产品::H920细胞、DHL-6细胞、A3细胞

CA-OV-3细胞类似产品::HIT T15细胞、VK2 (E6/E7)细胞、L6565细胞

NHEK细胞类似产品::MDA 435细胞、526 mel细胞、OCI-Ly 18细胞

LO2细胞类似产品::IOSE 29细胞、NR 8383细胞、Hs 695T细胞

OVCAR-8/ADR细胞类似产品::Psi2 DAP细胞、MDAMB134VI细胞、X63-Ag8-653细胞

Okayama University Medical School-27细胞类似产品::EHEB细胞、HT 1080.T细胞、2008细胞

RWPE-2细胞类似产品::C 643细胞、SF-539细胞、NT2D1细胞

GAK细胞类似产品::RSC-364细胞、C-28I2细胞、SVEC4-10细胞

OE33细胞类似产品::HPMC细胞、Ramos 2G6 4C10细胞、SK Hep1细胞

MC/9细胞类似产品::A7r5细胞、H-1355细胞、CMEC/D3细胞

FHC细胞类似产品::HELA-GFP细胞、T-24细胞、S91细胞

HOC细胞类似产品::H-2073细胞、293S细胞、H1648细胞

Sun Yat-sen university Ophtalmic center-Retinoblastoma 50细胞类似产品::Hs822T细胞、SNU-449细胞、U266 B1细胞

MDA-231细胞类似产品::HOS(TE85)细胞、MNNG/HOS Clone F-5细胞、OC 316细胞

CCD-841-CoTr细胞类似产品::MEF (CF-1)细胞、LS513细胞、HCoEpiC细胞

Detroit562细胞类似产品::NALM-6细胞、OE-33细胞、UCD-MLA-144细胞

Panc-02细胞类似产品::UM-UC3细胞、LC-2 ad细胞、MARC-145细胞

Mino细胞类似产品::EoL-1-cell细胞、LM6细胞、RPMI.8226细胞

Caki2细胞类似产品::BE2C细胞、OKT 3细胞、CAL-78细胞

KYSE140细胞类似产品::H1573细胞、BJ1细胞、H1299细胞

Jurkat77细胞类似产品::HCEC细胞、P3.times.63 Ag8.653细胞、H766T细胞

COV-434细胞类似产品::HT-1376细胞、PNT-1A细胞、B16BL6细胞

CF PAC-1细胞类似产品::WSU-DLCL(2)细胞、NCI-H841细胞、TE12细胞

HCC70细胞类似产品::NCIH1819细胞、KHYG-1细胞、MCF-10 Attached细胞

MSTO-211细胞类似产品::HSC2细胞、TFK1细胞、SK.MEL.2细胞

VMRC-RCZ细胞类似产品::SW-839细胞、H-358细胞、Panc02.03细胞

NK92-MI细胞类似产品::MPP 89细胞、CHP 126细胞、BRL3A细胞

CA46细胞类似产品::H-69细胞、C22 (Clara)细胞、Kasumi-6细胞

H-2198细胞类似产品::KMS-11细胞、NCCIT细胞、JJN-3细胞

C4-I细胞类似产品::BpRc1细胞、D-341 Med细胞、Hs 888.Lu细胞

MDA157细胞类似产品::Mink Lung细胞、T-cell Acute Lymphoblastic Leukemia-1细胞、UCLA NPA-87-1细胞

End1/E6E7细胞类似产品::Vero E6细胞、HECCL-1细胞、H1869细胞

Mel-624细胞类似产品::CCK81细胞、OCI-Ly8细胞、KYSE-30细胞

TE354T细胞类似产品::A2008细胞、RPMI6666细胞、PANC 813细胞

P3J-HR-1细胞类似产品::HFF1细胞、HIEC6细胞、MCF7-GFP细胞

FC33细胞类似产品::MonoMac1细胞、HEK-A细胞、AM38细胞

LN382细胞类似产品::526mel细胞、PL5细胞、GC1-SPG细胞

RPMI.8226细胞类似产品::NCIH250细胞、KYSE 50细胞、KMB 17细胞

RPMI #8226细胞类似产品::He La细胞、LICR-LON-HN6-R细胞、SKNBE-2细胞

GM03573A细胞类似产品::Panc 5.04细胞、NOMO1细胞、LLC-PK1细胞

BIC-1细胞类似产品::BALB/c 3T3 clone A31细胞、SW-756细胞、ONS76细胞

REC细胞类似产品::JROECL21细胞、SUD6细胞、C4-2B细胞

MEL-526细胞类似产品::Tj-905细胞、HEK 293-H细胞、WILL2细胞

BGC823细胞类似产品::KM12SM细胞、Hep G2/C3A细胞、MLMA细胞

SUM102PT细胞类似产品::H-920细胞、TE 354.T细胞、Chang liver细胞

ECV细胞类似产品::S91细胞、NCIH522细胞、H1954细胞

CMT-93细胞类似产品::Bac1 2F5细胞、D341MD细胞、H1105细胞

A704细胞类似产品::VP229细胞、HFLS细胞、Hs606细胞

Experimental Mammary Tumour-6细胞类似产品::TE 354.T细胞、bEND.3细胞、QGY7703细胞

KATO 3细胞类似产品::WTRL1细胞、L929细胞、HCC1438细胞

G-292, clone A141B1细胞类似产品::Hs 766.T细胞、CAL-78细胞、NCIH292细胞

LNCaP C4-2B细胞类似产品::EB1细胞、H-847细胞、MRC-5细胞

NWA细胞类似产品::NCI H2106细胞、LTEPa2细胞、P388-D1细胞

BEAS 2B细胞类似产品::He La细胞、293FT细胞、NRK52E细胞

OCI-AML5细胞类似产品::JURKAT E-6.1细胞、HCe-8693细胞、GM07404A细胞

RMG-1细胞类似产品::V79-GalK1细胞、LOU-NH-91细胞、OSC-19细胞

CCRF.CEM细胞类似产品::OCIAML2细胞、SUDHL-16细胞、Hs 688(A).T细胞

NG 108-15细胞类似产品::GM03569B细胞、MDA-MB-436细胞、A431细胞

AZ-521细胞类似产品::MADISON LUNG TA-109细胞、MOLT.4细胞、T98-G细胞

H-1618细胞类似产品::PCI:SG-231细胞、JROECL 33细胞、BC-019细胞

H-1915细胞类似产品::S180细胞、NPC-TW039细胞、Pt-K2细胞

KYSE 450细胞类似产品::Med 283细胞、WM239细胞、SNU354细胞

SGC-7901细胞类似产品::NCIH596细胞、NK-92细胞、V-79-4细胞

MHCC97细胞类似产品::SK N SH细胞、BPH1细胞、LN299细胞

HUCEC细胞类似产品::RKO细胞、SUD-4细胞、HT-29/CX-1细胞

SJRH30细胞类似产品::HMEL细胞、SKOV3细胞、WEHI 164 TC细胞

HEK293T/17 Cells(赠送Str鉴定报告)|人胚肾细胞

H-1915细胞类似产品::S180细胞、NPC-TW039细胞、Pt-K2细胞

MC-26细胞类似产品::HCC-1428细胞、C3A细胞、Hs 683细胞

TN5B14细胞类似产品::MV4;11细胞、SKES-1细胞、F56 [Human neoplasm]细胞

M-07e细胞类似产品::KP-2细胞、TGW-nu-1细胞、NCI-H2108细胞

Centre Antoine Lacassagne-39细胞类似产品::Mv 1 Lu (NBL-7)细胞、High 5细胞、CD 18细胞

UT-7细胞类似产品::HCCC-9810细胞、Panc_04_03细胞、FL62891细胞

MBVP细胞类似产品::COLO-16细胞、Human Corneal Endothelial Cells-12细胞、SK-N-DZ细胞

EB1细胞类似产品::Colo320细胞、CCFSTTG1细胞、J774A1细胞

L-Wnt3A细胞类似产品::Hk-2细胞、Hs1.Tes细胞、MUGCHOR1细胞

Panc_03_27细胞类似产品::A2780/Taxol细胞、Strain KB细胞、GP293细胞

NRK细胞类似产品::DC2.4细胞、Sp2/O-Ag14细胞、NCTC-3960细胞

MM-1S细胞类似产品::C12细胞、Human Embryonic Skin细胞、G 292 Clone A 141B1细胞

HEK AD293细胞类似产品::P3-X63.Ag8.653细胞、C918细胞、SF-767细胞

UMRC-2细胞类似产品::RBL细胞、NCI-H740细胞、CMT-93细胞

NOZ细胞类似产品::H196细胞、NCI-H-69细胞、THP-1细胞

SNU-1细胞类似产品::MDA436细胞、U-138MG细胞、U373-MG细胞

SK-ChA1细胞类似产品::Sc-1细胞、BetaTC6细胞、SCaBER细胞

TALL-104细胞类似产品::Mino细胞、LTEP-sm 1细胞、HEK-293-EBNA细胞

H295R细胞类似产品::Mia PACA 2细胞、MM134细胞、H660细胞

OUMS-23细胞类似产品::210RCY3-Ag1.2.3细胞、SF 763细胞、COLO206F细胞

HPDLF细胞类似产品::HCC2935细胞、MLO-Y4细胞、J774 A.1细胞

M.D. Anderson-Prostate Cancer-2b细胞类似产品::1E8-H细胞、H548细胞、Panc-03.27细胞

TOV-21G细胞类似产品::H22-H8D8细胞、H865细胞、SNU-251细胞

Jurkat77细胞类似产品::HCEC细胞、P3.times.63 Ag8.653细胞、H766T细胞

S37细胞类似产品::HBE135-E6E7细胞、Jurkat, Clone E6-1细胞、NCIH716细胞

SU-DHL-4细胞类似产品::NCI-522细胞、SW 579细胞、NIHOVCAR3细胞

CemT4细胞类似产品::HCC-1937细胞、X63-Ag8细胞、GM2219C细胞

NCIH2066细胞类似产品::CAL-62细胞、hTERT-HME-1细胞、SUDHL10细胞

NCI-H1944细胞类似产品::RBL2H3细胞、C41细胞、SUM-190PT细胞

HCS2/8细胞类似产品::SUSM-1细胞、B16BL6细胞、TC7细胞

SKNBE(2)细胞类似产品::786-0WT细胞、AGS细胞、Vero 76 clone E6细胞

Ca759细胞类似产品::H8细胞、H-2081细胞、L-1210细胞

"



HEK293T/17 Cells(赠送S;

公司简介

上海冠导生物工程有限公司,先后从ATCC、DSMZ、ECACC、RIKEN、PromoCell、ScienCell、JCRB等国内外细胞库引进细胞2000余株。以此为契机,公司组建了冠导细胞库,我司细胞均由资深细胞培养工程师进行培养。我司可以提供的细胞有:①细胞系②原代细胞③稳转株④耐药株⑤标记细胞⑥细胞配套试剂等。

成立日期 (11年)
注册资本 100万(元)
员工人数 50-100人
年营业额 ¥ 1000万-5000万
经营模式 工厂,试剂,定制,服务
主营行业 细胞培养,微生物学,细胞生物学

HEK293T/17 Cells(赠送Str鉴定报告)|人胚肾细胞相关厂家报价

内容声明
拨打电话 立即询价