基本信息 产品详情 公司简介 推荐产品
网站主页 IPI-2I CELLS|猪回肠上皮贴壁细胞 IPI-2I Cells(赠送Str鉴定报告)|猪回肠上皮细胞
  • IPI-2I Cells(赠送Str鉴定报告)|猪回肠上皮细胞

IPI-2I Cells(赠送Str鉴定报告)|猪回肠上皮细胞

IPI-2I Cells
询价 1000000细胞数 起订
上海 更新日期:2026-04-30

上海冠导生物工程有限公司

VIP6年
联系人:全经理
电话:18818239863拨打
邮箱:3171921642@qq.com

产品详情:

中文名称:
IPI-2I Cells(赠送Str鉴定报告)|猪回肠上皮细胞
英文名称:
IPI-2I Cells
保存条件:
常温培养或液氮冻存
纯度规格:
IPI-2I Cells(赠送Str鉴定报告)|猪回肠上皮细胞
产品类别:
生物试剂

"IPI-2I Cells(赠送Str鉴定报告)|猪回肠上皮细胞

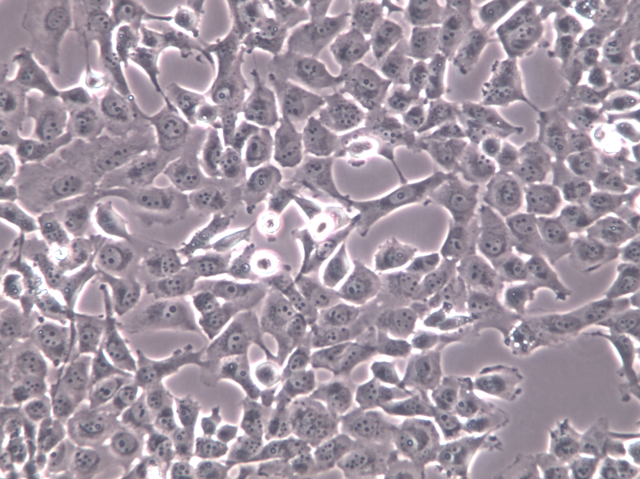
细胞背景资料:肠;上皮细胞;SV40转化

细胞形态:上皮细胞样

【细胞培养中支原体、黑蛟虫、真菌的污染情况总结】支原体:黑色的,HAO象多为多形,培养液一般培养液一般会浑浊,原体感染,国内血清很多都没有做支原体阴性检测,而支原体是牛血清中Zui常见的微生物之一。而且它不能用过滤的办法除去。支原体感染细胞以后,细胞病变不很明显,只是慢慢死去。用泰乐菌素,兽用支原体病的药,但可用于细胞培养,无任何不良反应。如果作为常用的抗生素的话, 建议用8ug/ml的浓度;黑蛟虫:可以穿透滤膜,也可以通过空气传播,低倍下为黑色点状,GAO倍下可看见黑色的小虫游来游去,培养液也是不浑的,一般不会太影响,细胞还是可以用的。常常是细胞生长状态良HAO,且观测到的运动物无明显增多,且培养液颜色、透明度无明显变化,可在同一批号的血清养的细胞中发现类似现象。对细胞生长状态不会有明显影响,在细胞增殖旺盛之后会自然消失,除更换血清外无须殊处理。建议如果细胞有可能是此种污染的话,可以增加细胞的种板密度,以提GAO细胞的生存率;真菌:一般培养液清亮,不变色,镜下有丝状物,有些真菌开始很像死细胞碎片,只是它很多很多的小块很清楚,象珊瑚状,不象细胞碎片分不清,慢慢的会长出很细的黑色丝状物。真菌生长的比较慢,不象细菌那么容易被发现,但是一旦发现有它的存在细胞就被污染了,也很难救活了。

细胞生长:贴壁

Liver-02细胞类似产品::MC-4细胞、GM00637F细胞、Ca-Ski细胞

HEK-AD293细胞类似产品::KASUMI1细胞、ROS1728细胞、LA-N-5细胞

NRCC细胞类似产品::Fu97细胞、8505C细胞、COLO320HSR细胞

HuH-6细胞类似产品::CEM-C7细胞、4-1st细胞、M-1 myeloid leukemia细胞

HEK 293T/17细胞类似产品::SKML-28细胞、FHs 74 Int细胞、BHT-101细胞

IPI-2I Cells(赠送Str鉴定报告)|猪回肠上皮细胞

细胞物种来源:人源或鼠源等其它物种来源

[细胞产品包装]鲜活细胞:T25培养瓶(一瓶)或冻存细胞:1ml冻存管(两支)

预防细胞污染的注意事项:实验进行前,超净台用紫外灯照射30-60min,然后用75%酒精擦拭超净台台面,并开启超净台风扇运转10min左右再开始实验操作。实验用品用75%酒精擦拭后才能放入超净台内;实验用品用完应移出超净台,以利于气流的流通。实验完成后用75%酒精擦拭超净台台面。每次操作只处理一种细胞;即使不同细胞使用相同的培养基也不要共享同一瓶培养基,避免细胞间的交叉污染。操作时小心取用无菌的物品,避免污染。勿碰触吸管尖头,不小心碰触后应立即更换;不要在打开的容器瓶口正上方操作,容器打开后,倾斜45°操作,操作完成后及时盖上瓶盖。CO2培养箱的清洁是较易被忽视的地方,应1-2个月对培养箱定期进行清洁消毒。先用75%酒精擦拭培养箱内壁、隔板、水盘2-3次,用双蒸水清洗,再用酒精棉球擦拭一遍,后紫外灯照射4h以上。水盘内加入无菌水(应每周更换),待培养箱内温度、湿度、CO2浓度稳定后再放入细胞。定期清洗或更换超净台过滤膜、预滤网。

细胞传代方法:1:2-1:3传代;每周换液2-3次。

T-ALL1细胞类似产品::RS(4;11)细胞、HFE-145细胞、SKMel-5细胞

UCLA-SO-M14细胞类似产品::C22细胞、NCIH1563细胞、MLE 12细胞

COLO-680N细胞类似产品::HEK-293FT细胞、KP 4细胞、HGSMC细胞

SNT8细胞类似产品::CCD33Co细胞、OCI-LY-10细胞、HP615细胞

Hep3B细胞类似产品::P3J-HR-1细胞、OCI-AML3细胞、IPI-2I细胞

细胞来源说明:来源于RCB、ATCC、KCLB、DSMZ、ECACC、INCell、ScienCell、ECACC、JCRB、Asterand、ICLC等知名细胞库

IPI-2I Cells(赠送Str鉴定报告)|猪回肠上皮细胞

细胞生长特性:贴壁

58F细胞类似产品::BNL CL2细胞、H1395细胞、NCI-H2135细胞

HEK 293-EBNA细胞类似产品::HIT clone T15细胞、NCIH211细胞、SUM-52-PE细胞

OCI Ly19细胞类似产品::H-3255细胞、M-20细胞、HCC70细胞

NKL细胞类似产品::Kobe university Oral Squamous Cell culture-2细胞、C4-2 B细胞、SW 1222细胞

CNE-1细胞类似产品::HPBALL细胞、SUSM1细胞、IA-LM细胞

NCIH1688细胞类似产品::NCI-H23细胞、AGS细胞、786-0WT细胞

细胞冻存的步骤:1)选择处于对数生长期的细胞,在冻存前一天ZuiHAO换液。将多个培养瓶中的细胞培养液去掉,用0.25% 胰蛋白酶消化。适时去掉胰蛋白酶,加入少量新培养液。用吸管吸取培养液反复吹打瓶壁上的细胞,使其成为均匀分散的细胞悬液。悬浮生产细胞则不要消化处理。然后将细胞收集于离心管中离心(1000r/min,10分钟);2)去上清液,加入含20%小牛血清的完全培养基,于4℃预冷15分钟后,逐滴加入已无菌的DMSO或甘油,用吸管轻轻吹打使细胞均匀,细胞浓度为5×106~1×107/mL之间。(冻存培养液的配置是不是一定要用小牛血清呢?答案是不一定的,具体要看培养的细胞类型来选择;3)将分装上述细胞悬液于2ml冻存管中,每管0.25ml。冻存管要将盖子盖紧,并标记HAO细胞名称和冻存日期,同时作HAO登记(日期、细胞种类及代次、冻存支数);4)将装HAO细胞的冻存管放到冻存盒中,-80℃冰箱过夜。;如果有程序降温器(放在-80℃冰箱过夜,放入液氮罐)ZuiHAO;或者可以在4℃,2h;然后转到-20℃,2h;-80℃,2h;放入液氮罐;5)细胞冻存在液氮中可以长期保存,但为妥善起见,冻存半年后,ZuiHAO取出一只冻存管细胞复苏培养,观察生长情况,然后再继续冻存。

正确的细胞复苏需知事项:细胞冻存HAO了,接下来要注意什么问题呢?没错,就是记得到时间了,拿出来复苏。那么,细胞复苏的过程中又有哪些该注意的事项呢?细胞活力和形态检查的作用何在?活力检查——千万不要使用不健康的细胞,可能有污染(真菌、支原体等),如果发现有污染毫不犹豫的丢弃!形态检查——检查细胞的固有形态和生长行为。冻存细胞:补充新的培养液——在您开始冻存细胞的前一天补充新的培养液。在细胞长至70%单层时收获细胞,计数活细胞数,用冻存液调整细胞密度~5 x106 Cell s/ml (根据不同的细胞类型调整);冻存液——用冻存液洗细胞并用冻存液重悬细胞,有不同类型的冻存液,根据细胞类型选择Zui合适的冻存液(常用的冻存液成分有):5-10% DMSO——注意确保DMSO不含有其他的毒性物质;5-15%甘油;如果细胞在无血清培养基内生长,应在50%条件培养基内(细胞在无血清培养基内生长24小时)内冻存和复苏。在冻存管上标记HAO细胞类型,日期,冻存人等信息,并保证每冻存管不超过1.5ml。放入液氮罐之前记录冻存管的数量和位置。以Zui快的速度转移冻存管知液氮罐内,因此,此步骤ZuiHAO使用干冰,或者把冻存管浸入装有液氮的小盒内。此外还要注意,在冻存管上没有足够的空间记录细胞的详细信息,做HAO记录是非常非常重要的!还有一个Zui重要的,一定要在异地的液氮罐内保存同样的一份细胞,以免其中的一个液氮罐出现问题!细胞正确的复苏方式和正确的冻存方式同样重要,熟记以下要点:当从液氮罐内取出细胞时,有可能会出现冻存管破裂的情况,使用保护面罩和防护服十分必要;其实,细胞复苏只是一个简单的实验,不过这其中却不可避免有一些需要注意的细节,不然,也不一定会尽如人意。例如说,人身健康方面:一定要记得做HAO防冻工作,戴上护目镜;尽量降低DMSO对细胞的损伤等等。

Lung cancer-1/squamous细胞类似产品::UM-UC-3细胞、QBC-939细胞、H220细胞

Hep II细胞类似产品::NCIH1581细胞、Anglne细胞、MHCCLM3细胞

JB 6细胞类似产品::H1417细胞、16-HBE细胞、FC33细胞

HEC1-A细胞类似产品::C33A细胞、hA549细胞、LAPC-4细胞

RH30SJ细胞类似产品::End1/E6E7细胞、TCC-SUP细胞、HT22细胞

293-FT细胞类似产品::P3-NS1/1Ag 4.1细胞、H-2066细胞、LADMAC细胞

NIH:OVCAR-3细胞类似产品::Super Tube细胞、HDLM-2细胞、IMR32细胞

MPC-11细胞类似产品::U2OS细胞、SJSA细胞、HIT.T15细胞

TMK1细胞类似产品::HMEC细胞、NCIH1819细胞、RSC-96细胞

KPL-4细胞类似产品::NCIH1417细胞、SW626细胞、BMDC细胞

L615细胞类似产品::GM02132C细胞、KOSC-2细胞、Earles's cells细胞

Mouse Forestomach Carcinoma细胞类似产品::MCA 205细胞、GM00346B细胞、Capan-1细胞

GI-1细胞类似产品::SUDHL-10细胞、SW-1088细胞、National Medical Center-Glioma 1细胞

CAL 62细胞类似产品::NTC200细胞、TB1 Lu细胞、SP2-0-Ag14细胞

H-446细胞类似产品::U251-MG细胞、Hs 888.T细胞、A9(Hamprecht)细胞

Y3细胞类似产品::KLN205细胞、MuM-2B细胞、hRMECs细胞

Y3细胞类似产品::KLN205细胞、MuM-2B细胞、hRMECs细胞

SHI1细胞类似产品::RAG细胞、U266 Bl细胞、LIM1215细胞

DAN-G细胞类似产品::aNK细胞、MC 3T3-E1细胞、Ramos-2G6-4C10细胞

3T3-Swiss细胞类似产品::SK Mel 24细胞、LIPF155C细胞、DMS-79细胞

MUG-Chor1细胞类似产品::Mv1.Lu细胞、L细胞、SW 1783细胞

KG1A细胞类似产品::Colon-26细胞、UWB1.289+BRCA1细胞、Anip973细胞

LS 180细胞类似产品::HT-1080细胞、MODE-K细胞、H-661细胞

A-172细胞类似产品::SK Mel 2细胞、HPAF-2细胞、KALS-1细胞

Lec1细胞类似产品::ChaGo-K-1细胞、Caco-2/BBe 1细胞、EOMA细胞

CEMx721.174.T2细胞类似产品::Tn5B1-4细胞、TE-13细胞、2BS细胞

CL40细胞类似产品::HEK-293H细胞、Immortal Pig Intestinal-2I细胞、B16BL-6细胞

Roswell Park Memorial Institute 2650细胞类似产品::LPC-H12细胞、NCI-H1417细胞、Duke University 145细胞

Natural Killer-92细胞类似产品::BrCL15细胞、BEL7405细胞、H-865细胞

Radiation Effects Research Foundation-Lung Cancer-MS细胞类似产品::OCLY8细胞、HCC-15细胞、HPAF细胞

LC-1Sq细胞类似产品::NCIH2172细胞、Hs 281.T细胞、Ramos G6.C10细胞

CNE1-LUC细胞类似产品::TE3A细胞、C643细胞、H-889细胞

U-343细胞类似产品::P3HR1-BL细胞、HCCC9810细胞、786-0细胞

DU145细胞类似产品::RKN细胞、Mc Coy细胞、1.1B4细胞

Huh-7.5细胞类似产品::HEK 293-H细胞、NCI-H510细胞、MA104细胞

HTR-8/SV-neo细胞类似产品::T24细胞、Doubling time: ~50 hours (ATCC).细胞、H1666_DA细胞

OV-1063细胞类似产品::C127细胞、SKMES1细胞、HCT-15细胞

NBL-7细胞类似产品::KU 812F细胞、M14细胞、Highly Aggressively Proliferating Immortalized细胞

GM00215A细胞类似产品::HOSEpiC细胞、H2122细胞、GM02219D细胞

A431细胞类似产品::HS688AT细胞、H740细胞、HCC 94细胞

MOLT 4细胞类似产品::NCI-H676B细胞、NBLAN5T细胞、TMK-1细胞

IPI-2I Cells(赠送Str鉴定报告)|猪回肠上皮细胞

L-5178-Y-R细胞类似产品::WPE-int细胞、SW260细胞、OUMS23细胞

293-EBNA细胞类似产品::Calf Pulmonary Artery Endothelial细胞、NRK49F细胞、CBRH-7919细胞

H-1703细胞类似产品::Porcine Kidney-13细胞、IOSE 80细胞、U343MG细胞

HCMEC(BL12-H)细胞类似产品::OVCAR10细胞、NCI-H1404细胞、AMO-1细胞

HHL-5细胞类似产品::PL 5细胞、NCI-H1963细胞、LAD2细胞

NCI-H125细胞类似产品::J82COT细胞、SKMEL28细胞、HT144-mel细胞

P19细胞类似产品::KYSE140细胞、LN-18细胞、L 363细胞

Mouse Podocyte Clone-5细胞类似产品::DSL-6A/C1细胞、HCEC-12细胞、U-251细胞

NCTC929细胞类似产品::OAW-42细胞、GM07404细胞、SK-N-BE(1)n细胞

Jurkat E6-1细胞类似产品::CLL-CII细胞、Colon-26细胞、HB 611细胞

Hamster Islet Transformed-Tioguanine resistant clone 15细胞类似产品::Hs729T细胞、BMU-S1细胞、Rca-B细胞

OCILY-10细胞类似产品::P3-X63-Ag8-653细胞、WM 239A细胞、Cor L51细胞

EVSA/T细胞类似产品::OCI/AML-5细胞、NCI-H196细胞、A9细胞

HEL92.1.7细胞类似产品::MLMEC细胞、MDA157细胞、GM05372细胞

HEL92.1.7细胞类似产品::MLMEC细胞、MDA157细胞、GM05372细胞

FRTL 5细胞类似产品::RAW264细胞、OCI/AML-5细胞、NS1-Ag 4/1细胞

COLO394细胞类似产品::373 MG细胞、BE2-M17细胞、RGM1细胞

MPC-5细胞类似产品::NCI-SNU-886细胞、NCIH1703细胞、MOLM-14细胞

HEK 293-F细胞类似产品::TR 146细胞、Chang liver细胞、RPMI No. 1846细胞

Lung cancer-1/squamous细胞类似产品::UM-UC-3细胞、QBC-939细胞、H220细胞

OCILY7细胞类似产品::SNU-520细胞、PT-67细胞、Hs839T细胞

QBC-939细胞类似产品::RC13细胞、TSUpr1细胞、P31/Fujioka细胞

Pt K2细胞类似产品::Mouse podocyte细胞、MHCC 97-H细胞、KM12细胞

Reuber-H-35 hepatoma细胞类似产品::HCC-1588细胞、MPC5细胞、SW-527细胞

HCC0015细胞类似产品::COV434细胞、IBMF-7细胞、IMCD-3细胞

CX-1细胞类似产品::MIA-Pa-Ca-2细胞、BV-2细胞、GM03320细胞

MDA-MB-134细胞类似产品::OVCA432细胞、Tu212细胞、624-mel细胞

OCM-1细胞类似产品::BV-173细胞、GM03320D细胞、Mv1.Lu细胞

OCI-Ly01细胞类似产品::Hs 578Bst细胞、COLO 699细胞、E6-1细胞

87MG细胞类似产品::BJA-B-1细胞、SK-RC 42细胞、GA10细胞

MES23.5细胞类似产品::NCI-SNU-1040细胞、L Wnt-3A细胞、SN12CPM6细胞

KAT-5细胞类似产品::NCIH2030细胞、NCIH1993细胞、CMT93细胞

PTK2细胞类似产品::JIII细胞、OVCAR3细胞、MDA-MB-435 S细胞

HB 611细胞类似产品::RPMI #1846细胞、CAL12T细胞、H2405细胞

HCC 2185细胞类似产品::H-1930细胞、P3X63Ag8-6-5-3细胞、N2a细胞

AMO-1细胞类似产品::Th17细胞、SSP-25细胞、VP303细胞

SK-N-BE(1)细胞类似产品::AZ-521细胞、NOR-10细胞、RAMOS2G64C10细胞

ABC1细胞类似产品::Hs-852-T细胞、Sci-1细胞、R1800[RA]细胞

HCT 116细胞类似产品::H1694细胞、MOLT-16细胞、Metastatic Variant-522细胞

CWR22-Rv1细胞类似产品::P3-X63-Ag8-6-5-3细胞、Hs822T细胞、Panc203细胞

PaTu 8988s细胞类似产品::22Rv1细胞、HK2细胞、NCTC 929细胞

SKNBE2细胞类似产品::PGBE1细胞、C26细胞、DHL-2细胞

MS 751细胞类似产品::OVCA5细胞、BALB 3T3 clone A31细胞、NCI-H520细胞

LLC-WRC 256细胞类似产品::HuNS1细胞、HEEpiC细胞、MHCC-LM3细胞

B78细胞类似产品::RPMI6666细胞、SW-1783细胞、ASH3细胞

HTR-8/SV neo细胞类似产品::BDCM细胞、RMa-bm细胞、NCI-H747细胞

CemT4细胞类似产品::HCC-1937细胞、X63-Ag8细胞、GM2219C细胞

HL7702细胞类似产品::HPAFII细胞、MCAEC细胞、H-1373细胞

NB19细胞类似产品::IHC-ST1细胞、U-251 MG细胞、NCI-H1869细胞

P3/NSI/1-AG4-1细胞类似产品::SW 1088细胞、Alexander细胞、CAL-148细胞

J774细胞类似产品::LuCL4细胞、SKM1细胞、H-2066细胞

L 1210细胞类似产品::BHP10-3细胞、NCI-SNU-5细胞、NCI-H2073细胞

MDA 435细胞类似产品::SP2细胞、A-375.S2细胞、T47D细胞

UM-UC-1细胞类似产品::FM88细胞、YT细胞、C3H/10T1/2细胞

VERO C 1008细胞类似产品::IMCD3细胞、FDCP-1细胞、Ontario Cancer Institute-Acute Myeloid Leukemia-4细胞

Metastatic Variant-522细胞类似产品::NCI-H2291细胞、GH 3细胞、Granta 519细胞

SW962细胞类似产品::A375.S2细胞、HTR-8/SVneo细胞、3T6-Swiss albino细胞

Hs 888.Lu细胞类似产品::HT细胞、PL12细胞、P3J细胞

WM 266-4细胞类似产品::CMT 167细胞、SNU484细胞、CTLL-2细胞

JM1细胞类似产品::MG-HU-3细胞、MOLT 4细胞、S3-HeLa细胞

PC9细胞类似产品::CNE1细胞、HME-1细胞、SU-DHL-6细胞

ARH-77细胞类似产品::RFL-6细胞、NCI-N87细胞、HEK/EBNA细胞

NB.4细胞类似产品::FHL 124细胞、OV-90细胞、FDCP1细胞

LA-4 [Mouse lung adenoma]细胞类似产品::H2347细胞、DSL-6A-C1细胞、RIMEC细胞

SKMEL-24细胞类似产品::MDA-134细胞、AE 1201细胞、MV4II细胞

CoCL2细胞类似产品::HBL-1 [Human diffuse large B-cell lymphoma]细胞、143BTK-细胞、J774A.1细胞

SNU475细胞类似产品::NCIH661细胞、BEL7402细胞、SJRH30细胞

NCIH1650细胞类似产品::MUTZ1细胞、Anip973细胞、32Dc3细胞

INS1E细胞类似产品::HEC1B细胞、KTCTL140细胞、HEK 293T/17细胞

NTera2/D1细胞类似产品::PK13细胞、LOUNH91细胞、HEK293A细胞

H820细胞类似产品::CHP-100细胞、PC 61细胞、IAR-20细胞

LM1细胞类似产品::MDA231-LM2-4175细胞、TCC Sup细胞、149PT细胞

CCRF/CEM/0细胞类似产品::H9c2(2-1)细胞、HCC-1419细胞、H661细胞

NCIH2052细胞类似产品::G361mel细胞、A10细胞、Radiation Effects Research Foundation-Lung Cancer-MS细胞

hTERT-RPE1细胞类似产品::Hs821T细胞、STTG1细胞、DR2R 1610细胞

PC-14细胞类似产品::SW 982细胞、DV90细胞、C33A细胞

H920细胞类似产品::HG2855细胞、SPCA-1细胞、MA-c细胞

H-250细胞类似产品::H520细胞、Functional Liver Cell-7细胞、OUMS-27细胞

PC2细胞类似产品::Nb2细胞、HOP92细胞、HLEB3细胞

MiaPaca.2细胞类似产品::MGHU1细胞、L-428细胞、MDA-MB-330细胞

NCIH146细胞类似产品::NCI-H64细胞、A375SM细胞、293-F细胞

Hep 3B细胞类似产品::Factor Dependent Continuous-Paterson 1细胞、SNGM细胞、HEK 293 c18细胞

Cor L51细胞类似产品::NU-GC-3细胞、8305C细胞、MeSoTheliOma-211H细胞

PSN1细胞类似产品::SVEC4-10细胞、TOV21G细胞、DiFi细胞

Colo-678细胞类似产品::SupB15WT细胞、Hela-mock细胞、Biopsy xenograft of Pancreatic Carcinoma line-3细胞

Ly8细胞类似产品::Vx-2细胞、LU451细胞、CWR22-Rv1细胞

MDA-MB-361细胞类似产品::LICR-LON-HN6细胞、FU-MMT-1细胞、Walker256-TC细胞

KU-812F细胞类似产品::E304细胞、LAN-6细胞、BpRc1细胞

NIH:OVCAR-3细胞类似产品::Super Tube细胞、HDLM-2细胞、IMR32细胞

AQ-Mel细胞类似产品::SUM149PT细胞、NCI522细胞、Jurkat E6.1细胞

DHL5细胞类似产品::B16 BL6细胞、HCC-366细胞、PL-12细胞

MFM223细胞类似产品::TMD8细胞、Hepatoma 22细胞、P3J-HR-1细胞

M619细胞类似产品::H498细胞、PC-10细胞、UM-RC-2细胞

SR细胞类似产品::RPMI 1788细胞、CaEs17细胞、MALME.3M细胞

NF639细胞类似产品::MKN74细胞、MDAPCa-2b细胞、SJRH 30细胞

CCD841CoN细胞类似产品::Molm 14细胞、Hep2细胞、Hs742T细胞

X63-AG 8.653细胞类似产品::LAN-5细胞、OVCAR433细胞、H-157细胞

RPMI-8402细胞类似产品::SuperTube细胞、ABE­8.1/2细胞、HDMEC细胞

CAKI.1细胞类似产品::SK-ChA1细胞、NKM1细胞、HGMC细胞

KBM7细胞类似产品::C3A细胞、MDA-MB-231-luc细胞、HS-766-T细胞

TPC-1细胞类似产品::OUMS23细胞、D407 RPE细胞、RTE细胞

H322T细胞类似产品::H676B细胞、MV-522细胞、U138MG细胞

BTT739细胞类似产品::U-937细胞、H1869细胞、My-La 2059细胞

K7M2-WT细胞类似产品::SW.620细胞、NCI-H1781细胞、L540细胞

BE2_C细胞类似产品::SJRH30细胞、B16 F1细胞、AML-12细胞

U-343细胞类似产品::P3HR1-BL细胞、HSC1细胞、MEG-01细胞

HEK-293-H细胞类似产品::BE2_C细胞、HNE-3细胞、HCEpiC细胞

HeLa.S3细胞类似产品::ND7/23细胞、Ocular Choroidal Melanoma-1细胞、BT474细胞

PCI-4B细胞类似产品::GDM-1细胞、NUGC4细胞、HUT125细胞

IPAM-WT细胞类似产品::Mink细胞、Hs 822.T细胞、BEND细胞

Hs-852-T细胞类似产品::U-343MG细胞、H-295R细胞、ACC2细胞

Hs1.Tes细胞类似产品::hCMEC/D3细胞、UT7细胞、RPTEC/TERT 1细胞

SupB15WT细胞类似产品::H-1944细胞、IGROV 1细胞、ME 180细胞

H920细胞类似产品::HG2855细胞、SPCA-1细胞、MA-c细胞

KYSE-410细胞类似产品::TE1细胞、SKMEL-1细胞、BTT739细胞

Calu-6细胞类似产品::GTL-16细胞、SW-13细胞、GM06141细胞

HuPT4细胞类似产品::MC-38细胞、Loucy细胞、SJSA1细胞

CHP 212细胞类似产品::HCC-1806细胞、H-1155细胞、KMS-11细胞

MHCC97细胞类似产品::SK N SH细胞、BPH1细胞、LN299细胞

IPI-2I Cells(赠送Str鉴定报告)|猪回肠上皮细胞

GCT0404细胞类似产品::HS766T细胞、Roswell Park Memorial Institute 1788细胞、SL1细胞

MRASMC细胞类似产品::Tohoku Hospital Pediatrics-1细胞、EC9706细胞、CCD-18Co细胞

HCT-15细胞类似产品::HEK293E细胞、J-82细胞、U373 MG细胞

SCC-9细胞类似产品::Ls-174-T细胞、TU 686细胞、A2780/CP70细胞

SNU-739细胞类似产品::A-498细胞、HGBEC细胞、AM-38细胞

RKO细胞类似产品::WM451Lu细胞、SKML-28细胞、HSC(Human Schwann)细胞

KMS-11细胞类似产品::NOR10细胞、NCIH2106细胞、BT细胞

NCIH1869细胞类似产品::H2.35细胞、NCI-H345细胞、NCI-H-295细胞

ABE­8.1/2细胞类似产品::Bovine ENDometrial cells细胞、RC-K8细胞、FL 62891细胞

HuPT3细胞类似产品::LU165细胞、624-mel细胞、COLO-738细胞

Panc2.03细胞类似产品::AMJ2-C8细胞、U266BL细胞、C 6细胞

Z310细胞类似产品::NCI660细胞、NCI-H2122细胞、TE354.T细胞

Hs888T细胞类似产品::C4 I细胞、LPC-H12细胞、GOS3细胞

Calu-3细胞类似产品::H-378细胞、OP-9细胞、Hs 611.T细胞

LAD-2细胞类似产品::293FT细胞、PLC-PRF-5细胞、TB1 Lu细胞

HSC2细胞类似产品::HUT125细胞、HEC251细胞、NKM-1细胞

HT 115细胞类似产品::SBC5细胞、H2171细胞、KYSE520细胞

NCIH1648细胞类似产品::NRK-49F细胞、Hs343T细胞、NS-1细胞

HEK 293-F细胞类似产品::TR 146细胞、Chang liver细胞、RPMI No. 1846细胞

H460细胞类似产品::Karpas 299细胞、87MG细胞、MA 104细胞

RKN细胞类似产品::Tu177细胞、OE33细胞、ECV304细胞

SKNSH细胞类似产品::OVCAR 432细胞、Pfeiffer细胞、AR41P细胞

Mouse Forestomach Carcinoma细胞类似产品::MCA 205细胞、GM00346B细胞、Capan-1细胞

H-1954细胞类似产品::OV 1063细胞、ZR75_1细胞、C-Lu65细胞

SCC 4细胞类似产品::JTC-39细胞、RSC96细胞、Z-138细胞

HHL5细胞类似产品::NCI-H322细胞、HTori3细胞、DOK细胞

KYSE50细胞类似产品::HMVEC细胞、OCI-Ly10细胞、EJ-1细胞

WC00079细胞类似产品::A549ATCC细胞、MKN74细胞、D 407细胞

OCILY7细胞类似产品::SNU-520细胞、0V-1063细胞、MLA144细胞

WM-239细胞类似产品::C8D1A细胞、HBL100细胞、MIMVEC细胞

JAR细胞类似产品::SkChA-1细胞、LC-2-Ad细胞、BHK细胞

CAMA-1细胞类似产品::OVCAR.4细胞、WB-F344细胞、ATC241细胞

"



IPI-2I Cells(赠送Str鉴定;

公司简介

上海冠导生物工程有限公司,先后从ATCC、DSMZ、ECACC、RIKEN、PromoCell、ScienCell、JCRB等国内外细胞库引进细胞2000余株。以此为契机,公司组建了冠导细胞库,我司细胞均由资深细胞培养工程师进行培养。我司可以提供的细胞有:①细胞系②原代细胞③稳转株④耐药株⑤标记细胞⑥细胞配套试剂等。

成立日期 (11年)
注册资本 100万(元)
员工人数 50-100人
年营业额 ¥ 1000万-5000万
经营模式 工厂,试剂,定制,服务
主营行业 细胞培养,微生物学,细胞生物学

IPI-2I Cells(赠送Str鉴定报告)|猪回肠上皮细胞相关厂家报价

内容声明
拨打电话 立即询价