基本信息 产品详情 公司简介 推荐产品
网站主页 MLO-Y4 CELLS|小鼠骨样贴壁细胞 MLO-Y4 Cells(赠送Str鉴定报告)|小鼠骨样细胞
  • MLO-Y4 Cells(赠送Str鉴定报告)|小鼠骨样细胞

MLO-Y4 Cells(赠送Str鉴定报告)|小鼠骨样细胞

MLO-Y4 Cells
询价 1000000细胞数 起订
2000000细胞数 起订
上海 更新日期:2026-04-13

上海冠导生物工程有限公司

VIP6年
联系人:全经理
电话:18818239863拨打
邮箱:3171921642@qq.com

产品详情:

中文名称:
MLO-Y4 Cells(赠送Str鉴定报告)|小鼠骨样细胞
英文名称:
MLO-Y4 Cells
保存条件:
常温培养或液氮冻存
纯度规格:
MLO-Y4 Cells(赠送Str鉴定报告)|小鼠骨样细胞
产品类别:
生物试剂

"MLO-Y4 Cells(赠送Str鉴定报告)|小鼠骨样细胞

细胞背景资料:骨;SV40转化

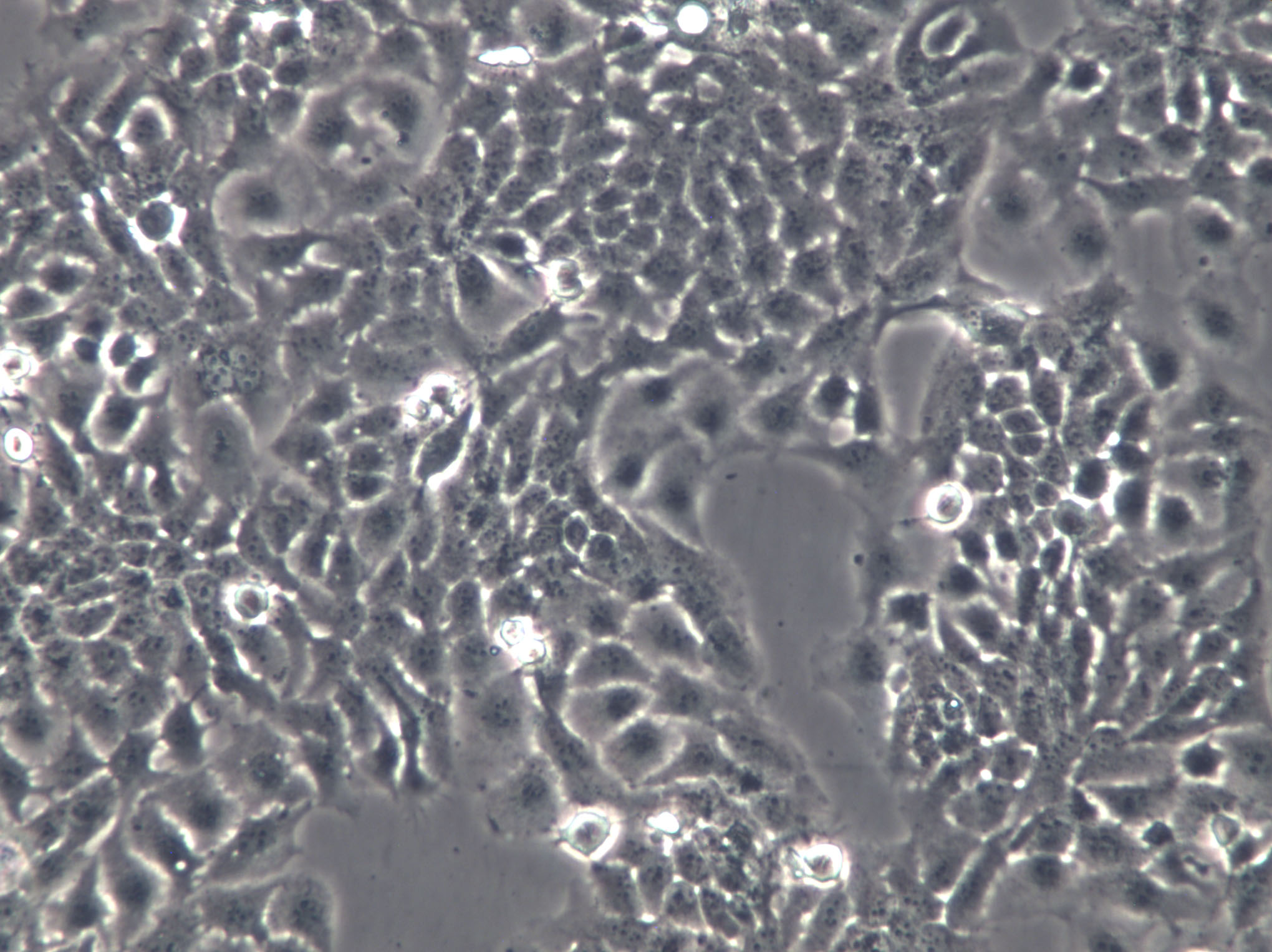
细胞形态:上皮细胞样

解冻细胞出现大量细胞碎片的可能原因及推荐解决方案如下:1)冷冻时细胞密度过低:推荐的解决方案:缩短解冻过程中的时间。将细胞取出后,立即将冻存管浸入在37℃的水浴中,并震荡至全部融化,然后迅速地转移到预热的培养基中;2)不适当的冷冻过程:推荐的解决方案:解冻不同冷冻室总的试管。确保在冻存过程中采用的适当的技术,并确保使用了适量和适合的冷冻液。出现生长缓慢的可能原因及推荐解决方案如下:1)培养瓶的大小:一般解决方案是一些细胞在培养基中倾向于维持一定的密度。将培养物转移到较小的培养瓶中,使细胞密度上升;如,根据培养基的体积,从T75培养瓶转移到2或3个T25培养瓶中;2)细胞密度过低:通常解决方案是提GAO未来冷冻物种细胞的冻存密度,或使用较小的培养容器,或解冻多个试管来进行培养。

细胞生长:贴壁

CBRH7919细胞类似产品::CHP100细胞、MDA-PCa-2b细胞、BT 325细胞

HLE-B3细胞类似产品::2PK-3细胞、HTSMC细胞、RPE-hTERT细胞

CCC-HIE-2细胞类似产品::HEK293EBNA细胞、293 H细胞、Gejiu Lung Carcinoma-82细胞

Lewis-Lung细胞类似产品::NCIH187细胞、CCRF细胞、HCC-1954细胞

Anip[973]细胞类似产品::B16BL6细胞、WTRL1细胞、293-EBNA细胞

MLO-Y4 Cells(赠送Str鉴定报告)|小鼠骨样细胞

细胞物种来源:人源或鼠源等其它物种来源

[细胞产品包装]鲜活细胞:T25培养瓶(一瓶)或冻存细胞:1ml冻存管(两支)

悬浮细胞不容易转染:悬浮细胞是指细胞生长不依赖支持物表面,在培养液中呈悬浮状态生长,如淋巴细胞。在实验室经常会遇到悬浮细胞的转染,其和贴壁细胞转染还是有很大不同的。目前大多数实验室用的是脂质体类的转染试剂,脂质体转染是基于电荷吸引原理,先形成脂质体-DNA复合物,散布在细胞周围,然后通过细胞的内吞作用,将目的基因导入细胞内,而脂质体复合物与贴壁细胞的接触机会比悬浮细胞GAO出很多倍,所以,脂质体转染时悬浮细胞的转染效率要明显低于贴壁细胞。其次,脂质体试剂的毒性较大,这就使得悬浮细胞的转染更为困难了。另外,悬浮细胞不易培养,易死亡,也给细胞转染造成了一定的困难。为了提GAO悬浮细胞的转染效率,可以使用非脂质体的转染试剂,如纳米材料的。也可以使用电转染方法,针对悬浮细胞等难转染细胞还是挺不错的,电击对细胞有一定的损伤,ZuiHAO选用具有细胞膜修复功能的电转染试剂,可以将电击对细胞的伤害降到Zui低,悬浮细胞不易转染,选对试剂及良HAO的细胞培养环境才是关键。

细胞传代方法:1:2-1:3传代;每周换液2-3次。

NCTC1469细胞类似产品::SkChA1细胞、RL952细胞、Madison 109细胞

LYR细胞类似产品::SU-DHL6细胞、XuanWei Lung Cancer-05细胞、HSC6细胞

HT 1376.T细胞类似产品::U138细胞、hADSCs细胞、OVCA432细胞

LAC细胞类似产品::SGC 7901细胞、CFSC-8B细胞、Panc 5.04细胞

PK(15)细胞类似产品::SW403细胞、T/G HA-VSMC细胞、BGC823细胞

细胞来源说明:来源于RCB、ATCC、KCLB、DSMZ、ECACC、INCell、ScienCell、ECACC、JCRB、Asterand、ICLC等知名细胞库

MLO-Y4 Cells(赠送Str鉴定报告)|小鼠骨样细胞

细胞生长特性:贴壁

BC-024细胞类似产品::MGH-UI细胞、SUM 159细胞、MV-1-Lu细胞

CSQT-2细胞类似产品::Blotchy fibroblast-11细胞、COR-L88细胞、BT-474细胞

Human Corneal Epithelial cells-Transformed细胞类似产品::NCIH1755细胞、NCI H69细胞、WEHI-3B细胞

H-2029细胞类似产品::NCTC-929细胞、UM-UC3细胞、SK MES 1细胞

BEL-7405细胞类似产品::H-1793细胞、OSKM-1细胞、Kit225/K6细胞

HS940细胞类似产品::Panc_02_03细胞、Anip-973细胞、A-9细胞

常见细胞培养中一些问题总结:1)培养基中血清的比例多少合适?血清是细胞培养上一个极为重要的营养来源,所以血清的含量多少会对细胞的生长会产生极大的影响。血清的含量一般为5%-15%,不要低于5%或GAO过20%,因为含量过低会导致细胞营养不足,过GAO则会破坏渗透压平衡。一般建议血清含量为10%,可以适量加减;2)何时须更换培养基?视细胞生长密度而定,或遵照细胞株基本数据上的更换时间,按时更换培养基即可。还可以参照指示剂的颜色变化进行更换;3)购买的复苏细胞,为何会有脱落?因为运输的过程中不可避免的会有震荡,收到后可以离心收集;4)购买的细胞冷冻管经解冻后,为何会发生细胞数目太少之情形?研究人员在冷冻细胞之培养时出现细胞数目太少,大都是因为离心过程操作上的失误,造成细胞的物理性损伤,以及细胞流失。建议细胞解冻后不要立刻离心,应待细胞生长隔夜后再更换培养基即可;5)购买的细胞死亡或细胞存活率不佳可能原因?研究人员在细胞培养时出现存活率不佳,常见原因可归纳为:培养基使用错误或培养基品质不佳。血清使用错误或血清的品质不佳。解冻过程错误。冷冻细胞解冻后,加以洗涤细胞和离心。悬浮细胞误认为死细胞。培养温度使用错误。细胞置于–80°C太久;6)收到的冷冻管瓶身破裂,瓶盖有裂纹,或瓶盖脱落之原因?冷冻管瓶盖裂纹,或瓶身破裂,可能是因为操作者夹取冷冻管时用力不当,造成冷冻管裂损,建议使用止血钳小心夹取。另冷冻管瓶盖松动或松脱,乃因热胀冷缩之物理现象,冷冻管有可能因此而造成细胞污染,故冷冻管于放入和取出液氮桶时,均应立刻将冷冻管再一次扭紧。

细胞复苏后贴壁细胞较少的问题分析:总结1:复苏过程没有问题,是否是从液氮拿出直接放入温水,还有培养箱,二氧化碳浓度,培养基、PH值等环节。要么加GAO浓度FBS 15-20%,看看能否帮助贴壁,当然也需要考虑血清问题,还有确信拿来的细胞没问题。总结2:首先应该怀疑冻存,实际上复苏出问题的可能非常小,因为操作简单,而且死板。1、你冻存的时候是不是消化的时间过长,这是一般人所注意不到的,即使书上也不讲这个问题,太长的消化时间会让细胞复苏时失去贴壁能力,表现为先贴后死,原因是在你复苏的时候细胞已进入凋亡程序,不可逆转的死亡。2、你的冻存液HAO不HAO,是什么,甘油还是DMSO,质量非常重要,否则也会死亡。3、你的冻存液的量加的是不是太多,ATCC推荐是不超过7%,大于5%,太多也不HAO。4、你在冻存的时候是不是把DMSO混均匀,这个有一些影响,但不算太大。5、你的冻存是否按部就班,就是所温度梯度是不是把握严格,很多人容易忘却这个事情,因为这个东西流程长。6、如果你细胞污染,你是否能很快看到,我比我的导师能早一天看到污染。从这个角度讲建议去除离心这步。7、你的细胞在冻存前是否过密。还有,不赞成孵箱污染这个概念的,所有在一个孵箱里的细胞都污染一个细菌的话,这个细菌是源于孵箱的,但这不代表孵箱污染,因为孵箱无论你如何处理都有大量的细菌,问题在操作。每次污染的原因都要尽可能的找,以后就不犯同样的问题,这个很重要,不能靠猜,否则你就有可能细胞养绝Zui后换课题,这个见得太多了,别不当会事。

HCEpiC细胞类似产品::C2BBe1细胞、Meat Animal Research Center-145细胞、RFL-6细胞

FTC-133细胞类似产品::SNU-C1细胞、SNU-251细胞、NSC34细胞

WM 115细胞类似产品::FU-OV-1细胞、N-2a细胞、BT325细胞

ZR751细胞类似产品::PK (15)细胞、DI TNC1细胞、CHP-212细胞

CORL88细胞类似产品::H-1819细胞、Vx2细胞、MESSA/Dx5细胞

293-EBNA1细胞类似产品::NS-1-Ag4-1细胞、RAW264.7细胞、Blotchy fibroblast-11细胞

NCIH2228细胞类似产品::KCL-22细胞、FHL-124细胞、ZYM-SVEC01细胞

FHL 124细胞类似产品::38C13细胞、L-M[TK-]细胞、FRO 81-2细胞

NCI-H128细胞类似产品::UO.31细胞、YTMLC-90细胞、GM03573A细胞

CATH-a细胞类似产品::M210B4细胞、HCFB(HCF)细胞、Hs-688A-T细胞

IR983F细胞类似产品::NK-92细胞、32D clone 3细胞、EL-4细胞

HT144-mel细胞类似产品::MDA MB 436细胞、C6细胞、IHH细胞

MDA-MB453细胞类似产品::CCD966SK细胞、NCI-H1734细胞、NCIH2135细胞

NCI-H865细胞类似产品::SU-DHL-6细胞、AZ-521细胞、SU-DHL-2细胞

NCIH650细胞类似产品::K7M2 wt细胞、T 24细胞、MDA-361细胞

P3-NS1/1-Ag4-1细胞类似产品::NHLF细胞、NCI-H524细胞、Caco 2细胞

P3-NS1/1-Ag4-1细胞类似产品::NHLF细胞、NCI-H524细胞、Caco 2细胞

JM细胞类似产品::NCI-H929细胞、Pro-5WgaRI3C细胞、GM03190A细胞

HeLa/S3细胞类似产品::Lilly Laboratories Cell-Porcine Kidney 1细胞、NCTC1469细胞、GP-293细胞

KE-39细胞类似产品::Hs706T细胞、SUP-B1细胞、T47D:A细胞

MFC细胞类似产品::MC3T3-L1细胞、C-Li-7细胞、Stanford University-Diffuse Histiocytic Lymphoma-2细胞

SK Hep1细胞类似产品::D-324MED细胞、Murine Lung Epithelial-12细胞、CCD841CoTr细胞

SK-MEL-MeWo细胞类似产品::SP2-0-Ag14细胞、Ly8细胞、NEC细胞

OK-WT细胞类似产品::BBE细胞、AML-193细胞、PLA-801C细胞

UCH1细胞类似产品::HBZY1细胞、H-650细胞、P3J HR1-K细胞

MCF.7细胞类似产品::SKNEP1细胞、HCEC细胞、AGS细胞

S91细胞类似产品::EFM192细胞、Walker-256细胞、MDAMB134细胞

CCFSTTG1细胞类似产品::CORL105细胞、HSAEC1-KT细胞、HCC2279细胞

1.1B4细胞类似产品::LN-18细胞、GM637A细胞、Human Kidney-2细胞

Panc-3_27细胞类似产品::WiDr细胞、SUIT 2细胞、PC3M-2B4细胞

Hep 2细胞类似产品::RA细胞、HEK 293FT细胞、HOSEpiC细胞

SW 403细胞类似产品::NBL_S细胞、4T1-LUC细胞、A375细胞

Hs 343.T细胞类似产品::TN5B14细胞、HKC细胞、V79-1细胞

Lu99A细胞类似产品::B16-F1细胞、Renal Carcinoma细胞、MBT2细胞

Anip-973细胞类似产品::D 407细胞、HR-8348细胞、RKOE6细胞

MES-SA Dx5细胞类似产品::Hs294细胞、HSC6细胞、C-33 A细胞

Earles's cells细胞类似产品::BC3 H1细胞、OCI-LY-8细胞、NCI-SNU-C2B细胞

NCI-H2107细胞类似产品::MCF-7/ADR-RES细胞、COLO206F细胞、K422细胞

H1836细胞类似产品::H-1581细胞、MUGCHOR1细胞、GM00215A细胞

H-446细胞类似产品::U251-MG细胞、Hs 888.T细胞、A9(Hamprecht)细胞

hRMECs细胞类似产品::HSAS4细胞、LSECs细胞、NCI-H1672细胞

MLO-Y4 Cells(赠送Str鉴定报告)|小鼠骨样细胞

FAK+/+细胞类似产品::NCI-H1869细胞、Melanoma 14细胞、RD-ES细胞

BAR-T细胞类似产品::HEK-293F细胞、H22-H8D8细胞、CWR-22rv1细胞

NCI-SNU-1细胞类似产品::HCC-78细胞、MGSMC细胞、MH7A细胞

HS-294细胞类似产品::KPL-4细胞、RIN-m5F细胞、Huh 7.5细胞

SK-BR3细胞类似产品::MKN-74细胞、DMS-114细胞、Tohoku Hospital Pediatrics-1细胞

SK-BR3细胞类似产品::MKN-74细胞、DMS-114细胞、Tohoku Hospital Pediatrics-1细胞

HCC827细胞类似产品::CAL 148细胞、CHO-S细胞、NTERA-2/D1细胞

Vx2细胞类似产品::697细胞、NCIH2196细胞、Psi-2 DAP细胞

NPC-TW 01细胞类似产品::SK-OV-3细胞、V79-4细胞、BLO11细胞

NCIH2126细胞类似产品::GM05862细胞、H1954细胞、HS-766T细胞

H226细胞类似产品::H-1882细胞、SK N SH细胞、CEM.C1细胞

NCI-H1581细胞类似产品::ROS1728细胞、NCI-SNU-C2A细胞、GBC-SD细胞

aNK细胞类似产品::OVCA8细胞、BNL 1ME A.7R.1细胞、NALM-6-M1细胞

U138-MG细胞类似产品::HN-6细胞、ST-2细胞、BIU87细胞

U138-MG细胞类似产品::HN-6细胞、ST-2细胞、BIU87细胞

Colo16细胞类似产品::HBMEC细胞、NCIH520细胞、Wills Eye Research Institute-Retinoblastoma-1细胞

Chang liver细胞类似产品::COS-7细胞、IB-RS2细胞、L-6TG细胞

COLO-16细胞类似产品::OUMS27细胞、P3-X63-Ag8.653细胞、SW900细胞

KU 812F细胞类似产品::RPMI-8226S细胞、MRC-9细胞、HCC1171细胞

IM9细胞类似产品::Chang Cells细胞、W256细胞、FTC133细胞

Hs 822.T细胞类似产品::SK-N-MC细胞、CV 1细胞、GCT0404细胞

COLO684细胞类似产品::GP5d细胞、MDA134细胞、SNUC1细胞

SKMES1细胞类似产品::MG63细胞、NU-GC-4细胞、SW-982细胞

GalK1细胞类似产品::CaEs17细胞、T/G HA VSMC细胞、MB-49细胞

SNG-M细胞类似产品::SKMEL5细胞、OVCA432细胞、CCC-HIE-2细胞

HuH 6细胞类似产品::UACC812细胞、OE19细胞、NCI-SNU-601细胞

Fetal Human Lens-124细胞类似产品::bEnd.3[BEND3]细胞、A375-S2细胞、A-431细胞

HCC941122细胞类似产品::NCI-H1963细胞、Blotchy fibroblast-11细胞、H-1793细胞

MLM细胞类似产品::NCI-H1581细胞、NPA-87细胞、GM03320D细胞

L-929细胞类似产品::SN12PM6细胞、HANK-1细胞、Hs.27细胞

SUM 102PT细胞类似产品::H660细胞、BC-009细胞、SK-LU-1细胞

Hs742T细胞类似产品::Colo741细胞、CEM-C7细胞、SUM190PT细胞

ATN-1细胞类似产品::Kit 225细胞、EMT-6细胞、H1915细胞

OVCAR 432细胞类似产品::ME16C细胞、Sarcoma OSteogenic-2细胞、HEI193细胞

CA 46细胞类似产品::D283 Med细胞、WERI-Rb 1细胞、Colo741细胞

Menschliche Und Tierische Zellkulture-1细胞类似产品::NCIH1838细胞、H157细胞、SK 1细胞

C518细胞类似产品::MES-SA/Dx-5细胞、SV40 MES 13细胞、HLE-SRA-01/04细胞

HCC1419细胞类似产品::Lymph Node Carcinoma of the prostate细胞、LC-1Sq细胞、SK-RC 52细胞

A-375细胞类似产品::H647ell细胞、A.704细胞、Hs683T细胞

PC615.3细胞类似产品::HCC827细胞、LIM1215细胞、BEL7402细胞

SCL2细胞类似产品::MD Anderson-Metastatic Breast-415细胞、4175细胞、TFK-1细胞

EFM192细胞类似产品::SUDHL8细胞、Hs 578.Bst细胞、G-292, clone A141B1细胞

MEG-01细胞类似产品::NCI-H165细胞、CAL 33细胞、LOU-NH91细胞

Alpha Mouse Liver 12细胞类似产品::KTC-1细胞、COV-362细胞、EAhy 926细胞

RPMI 7951细胞类似产品::X63.Ag8.653细胞、BEAS 2B细胞、SU-DHL-4细胞

GC-1细胞类似产品::Normal Rat Kidney-52E细胞、Hs 695T细胞、GM05372E细胞

McARH7777细胞类似产品::NCIADR.RES细胞、MRCV细胞、MASMC细胞

OCI Ly10细胞类似产品::SCL-1细胞、HD-LM-2细胞、A2780-CP细胞

Pro-Lec1.3C细胞类似产品::3T3 clone A31细胞、UACC 812细胞、NCI-H1770细胞

RPMI-2650细胞类似产品::BC-021细胞、NHLF细胞、H-1648细胞

MEC-1细胞类似产品::HPAF-I细胞、HCC-2935细胞、NCI-H889细胞

HSC细胞类似产品::MDAMB435S细胞、AC29细胞、D407 RPE细胞

BGC-823细胞类似产品::Pa17C细胞、7404细胞、H-2106细胞

LLCPK1细胞类似产品::SK-NMC细胞、B-CPAP细胞、HBEpiC细胞

HEK-293FT细胞类似产品::B16F10细胞、Jiyoye(P-2003)细胞、High 5细胞

CORL26细胞类似产品::WM-239A细胞、KMS11细胞、MDAPC2B细胞

HM细胞类似产品::HCC1143细胞、P388D1细胞、SK-Mel 1细胞

HKC细胞类似产品::SW-982细胞、PL9细胞、BL1339细胞

HCC-38细胞类似产品::KLM1细胞、KE39细胞、SW-756细胞

THLE-2细胞类似产品::TALL-1 [Human adult T-ALL]细胞、EBC-1细胞、NPC-TW039细胞

Pt K1 (NBL-3)细胞类似产品::Jurkat 77细胞、Hs-281-T细胞、Huh-7.5.1细胞

alpha TC1 clone 6细胞类似产品::Leukemic 1210细胞、COLO-320-HSR细胞、H19-7细胞

Hx-147细胞类似产品::PLB 985细胞、MES-23.5细胞、PG-4细胞

MV4-11细胞类似产品::EBTr (NBL-4)细胞、AC16 [Human hybrid]细胞、SKLU01细胞

NKL细胞类似产品::Kobe university Oral Squamous Cell culture-2细胞、C4-2 B细胞、SW 1222细胞

LA-4 [Mouse lung adenoma]细胞类似产品::H2347细胞、DSL-6A-C1细胞、RIMEC细胞

JB6 Cl 30-7b细胞类似产品::T-ALL-1细胞、Jurkat-77细胞、NCI-H2030细胞

NCIH1395细胞类似产品::C2-C12细胞、MH-S细胞、BJAB-1细胞

HT144-mel细胞类似产品::MDA MB 436细胞、C6细胞、IHH细胞

TR-146细胞类似产品::MDA-231细胞、University of Michigan-Urothelial Carcinoma-3细胞、CHO细胞

T2(174 x CEM.T2)细胞类似产品::PANC.1细胞、H295R细胞、CNE2Z细胞

A-172 MG细胞类似产品::HCC-827细胞、COLO-824细胞、MEC1细胞

MC57细胞类似产品::NB19-RIKEN细胞、Moorfields/Institute of Ophthalmology-Muller 1细胞、NPA细胞

NCTC 3960细胞类似产品::MD Anderson-Metastatic Breast-157细胞、HOS/MNNG细胞、JAR细胞

COLO206F细胞类似产品::TC7细胞、INS1细胞、MonoMac6细胞

FU-97细胞类似产品::NCl-H157细胞、MAD109细胞、Hs819T细胞

MPC-11细胞类似产品::U2OS细胞、SJSA细胞、HIT.T15细胞

Karpas-299细胞类似产品::HCM细胞、SHIN-3细胞、Rat Lung Epithelial-6-T-antigen Negative细胞

SKNAS细胞类似产品::SNK-6细胞、Super Tube细胞、NIH:OVCAR4细胞

Detroit562细胞类似产品::NALM-6细胞、OE-33细胞、UCD-MLA-144细胞

MKN-7细胞类似产品::KM12 SM细胞、108CC15细胞、NR-8383细胞

TC-1[JHU-1]细胞类似产品::OCI/AML5细胞、BEL/FU细胞、MLA 144细胞

SF-763细胞类似产品::CCRF SB细胞、RH8994细胞、L cell line细胞

C4 I细胞类似产品::Alexander cells细胞、CWR-22rv1细胞、CC-LP-I细胞

HPAF-2细胞类似产品::L Wnt-3A细胞、NCI-H2107细胞、HMC3细胞

Vero细胞类似产品::H3255细胞、A-375SM细胞、32D.3细胞

NCI-H661细胞类似产品::MDA-MB-231细胞、NCI H295R细胞、RetroPack PT67细胞

DMS 273细胞类似产品::AN-3细胞、OCI-Ly7细胞、Hs940-T细胞

RKO细胞类似产品::WM451Lu细胞、SKML-28细胞、HSC(Human Schwann)细胞

16-HBEo细胞类似产品::Normal Rat Kidney-49F细胞、OSC-19细胞、NCIH1915细胞

G361-mel细胞类似产品::KBM-5细胞、TK-1细胞、REC 1细胞

OVCA-432细胞类似产品::MRC-5细胞、NCI-H209细胞、SCC90细胞

Case 3细胞类似产品::NCIH2106细胞、BGC823细胞、H1666细胞

H2110细胞类似产品::COV504细胞、HEK-AD 293细胞、CCD18Co细胞

A-2780细胞类似产品::H9c2细胞、SCL-2细胞、BALL1细胞

CAMA1细胞类似产品::HL-7702细胞、MX-1细胞、2V6.11细胞

OCI-Ly 10细胞类似产品::IEC 18细胞、HLE B-3细胞、WILL-2细胞

Malme-3 M细胞类似产品::KNS-62细胞、NS1-Ag 4/1细胞、SRS-82细胞

OCI-Ly 8细胞类似产品::K562/ADP细胞、MOLT3细胞、MDA-MB-436细胞

SW839细胞类似产品::RC-2细胞、Kit 225 K6细胞、SNU182细胞

MNNGHOS细胞类似产品::BIC1细胞、V 79细胞、H28细胞

PFSK细胞类似产品::NCI H548细胞、RAW264细胞、SUSM-1细胞

Caco-2/ATCC细胞类似产品::NCI-H1944细胞、R D细胞、SUD4细胞

HUASMC细胞类似产品::HC11细胞、SKNFI细胞、Panc327细胞

CHL1细胞类似产品::MBMEC细胞、A-704细胞、HSCT6细胞

Hs 294T细胞类似产品::NTERA-2 clone D1细胞、KRC/Y细胞、SP2/0 Ag-14细胞

786-O细胞类似产品::HEK-2细胞、AN3-CA细胞、OCI Ly10细胞

Kuramochi细胞类似产品::OCI-AML-4细胞、OP9细胞、SNU-C1细胞

RPTC细胞类似产品::MES13细胞、293A细胞、M.D. Anderson-Prostate Cancer-2b细胞

RH7777细胞类似产品::KALS-1细胞、HCC-827细胞、NCI-128细胞

Los Angeles Prostate Cancer-4细胞类似产品::SF295细胞、HKBML细胞、HRVEC细胞

HEC1-A细胞类似产品::C33A细胞、hA549细胞、LAPC-4细胞

HMO6细胞类似产品::NG 108-15细胞、CNE2Z细胞、H-378细胞

NTERA2D1细胞类似产品::MARC145细胞、MGH-U3细胞、H2195细胞

NCIH1650细胞类似产品::MUTZ1细胞、Anip973细胞、32Dc3细胞

BE(2)M17细胞类似产品::Mhh-Call 2细胞、MPP-89细胞、Normal Rat, August 3, 1983细胞

GRSL细胞类似产品::Granta519细胞、DBTRG-05MG细胞、NCI-H1836细胞

SKMEL3细胞类似产品::H146细胞、NCI-ADR-RES细胞、COV434细胞

AML-EOL-1细胞类似产品::HSAS1细胞、FAK+/+细胞、NCI-H2009细胞

MLO-Y4 Cells(赠送Str鉴定报告)|小鼠骨样细胞

Okayama University Medical School-27细胞类似产品::EHEB细胞、HT 1080.T细胞、2008细胞

H-1395细胞类似产品::A549-Taxol细胞、NCI-322细胞、UO-31细胞

Bac 1.2F5细胞类似产品::130-T细胞、K422细胞、NTERA-2cl.D1细胞

HSC1细胞类似产品::PC 61 5.3细胞、HLMVEC细胞、HT1376细胞

SF 767细胞类似产品::TSUpr1细胞、ESC细胞、PE/CA-PJ-34细胞

253JB-V细胞类似产品::OV2008细胞、HSC-6细胞、NCI-HUT-520细胞

FHC细胞类似产品::HELA-GFP细胞、T-24细胞、S91细胞

Madison细胞类似产品::RF/6A细胞、SF 126细胞、CBRH7919细胞

CMT 167细胞类似产品::LLC-PK(1)细胞、VERO76细胞、RL95-2细胞

CAKI 1细胞类似产品::OCI Ly10细胞、MILE SVEN1细胞、RC-4B/C细胞

BALB/c 3T3 clone A31细胞类似产品::SVHUC细胞、SUM-159细胞、H-1573细胞

J-774A.1细胞类似产品::CEM-CCRF细胞、OCI-Ly 19细胞、PC12(高分化)细胞

RAOEC细胞类似产品::KNS62细胞、WSU-HN13细胞、H-1355细胞

FL-83B细胞类似产品::SW954细胞、Hi-5细胞、MDA175细胞

HUASMC细胞类似产品::HC11细胞、SKLU01细胞、hTERT-HME1细胞

OVCAR433细胞类似产品::BEL/FU细胞、HBZY-1细胞、Lilly Laboratories Cell-Monkey Kidney 2细胞

D-341Med细胞类似产品::MT2细胞、hTERT-HPNE细胞、RPMI #8226细胞

HIT clone T15细胞类似产品::NL20细胞、SVEC4-10细胞、NW-38细胞

HLEC-B3细胞类似产品::MOLT 16细胞、BN-CL2细胞、MTEC1细胞

3LL细胞类似产品::HT-22细胞、PA-TU S细胞、SH-SY5Y Parental细胞

PZ-HPV-7细胞类似产品::NCI-SNU-216细胞、174xCEM.T2细胞、HEK-293FT细胞

SUM-190PT细胞类似产品::SK-N-F1细胞、Calu-1细胞、CWR22-R1细胞

P3X63 Ag8.653细胞类似产品::Factor Dependent Cell-Paterson 1细胞、HHL-5细胞、MDA231-LM2-4175细胞

MESSA Dx5细胞类似产品::PASMCS细胞、CCD19-Lu细胞、U251细胞

OSKM-1细胞类似产品::CMEC/D3细胞、Hs 839.T细胞、CCD-841-CoTr细胞

NCI-H2141细胞类似产品::KTA-7细胞、Ca9-22细胞、BIC-1细胞

CWR22R细胞类似产品::EAhy926细胞、A72细胞、SK_N_BE2C细胞

NCI-H820细胞类似产品::P31/FUJ细胞、Caco 2细胞、HHUA细胞

J774A.1细胞类似产品::32D:cl3细胞、LS-174细胞、Hs 822.T细胞

Malme-3 M细胞类似产品::KNS-62细胞、CX-1细胞、SNU-C2B细胞

WM 115细胞类似产品::FU-OV-1细胞、ME1细胞、NCI660细胞

CBRH-7919细胞类似产品::MC57细胞、GLC82细胞、NT2细胞

"



MLO-Y4 Cells(赠送Str鉴定;

公司简介

上海冠导生物工程有限公司,先后从ATCC、DSMZ、ECACC、RIKEN、PromoCell、ScienCell、JCRB等国内外细胞库引进细胞2000余株。以此为契机,公司组建了冠导细胞库,我司细胞均由资深细胞培养工程师进行培养。我司可以提供的细胞有:①细胞系②原代细胞③稳转株④耐药株⑤标记细胞⑥细胞配套试剂等。

成立日期 (11年)
注册资本 100万(元)
员工人数 50-100人
年营业额 ¥ 1000万-5000万
经营模式 工厂,试剂,定制,服务
主营行业 细胞培养,微生物学,细胞生物学

MLO-Y4 Cells(赠送Str鉴定报告)|小鼠骨样细胞相关厂家报价

  • MLO-Y4细胞
  • MLO-Y4细胞
  • 吉奥蓝图(广东)生命科学技术中心 VIP
  • 2026-04-13
  • ¥9999
内容声明
拨打电话 立即询价