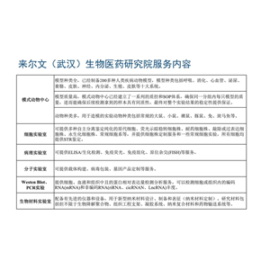
来尔文(武汉)生物医药研究院

首页 产品目录 产品目录(简版) 企业认证 联系我们

1of2

目录